JavaScript is disabled in your browser. Please enable JavaScript to view this website.
AB52818

Anti-LDL Receptor antibody [EP1553Y]

4

(16 Reviews)

|

(185 Publications)

Anti-LDL Receptor antibody [EP1553Y] (ab52818) is a rabbit monoclonal antibody detecting LDL Receptor in Western Blot, IHC-P. Suitable for Human, Mouse.

- KO validated for confirmed specificity
- Biophysical QC for unrivalled batch-batch consistency
- Over 140 publications
- Trusted since 2007

View Alternative Names

Low-density lipoprotein receptor, LDL receptor, LDLR

10 Images
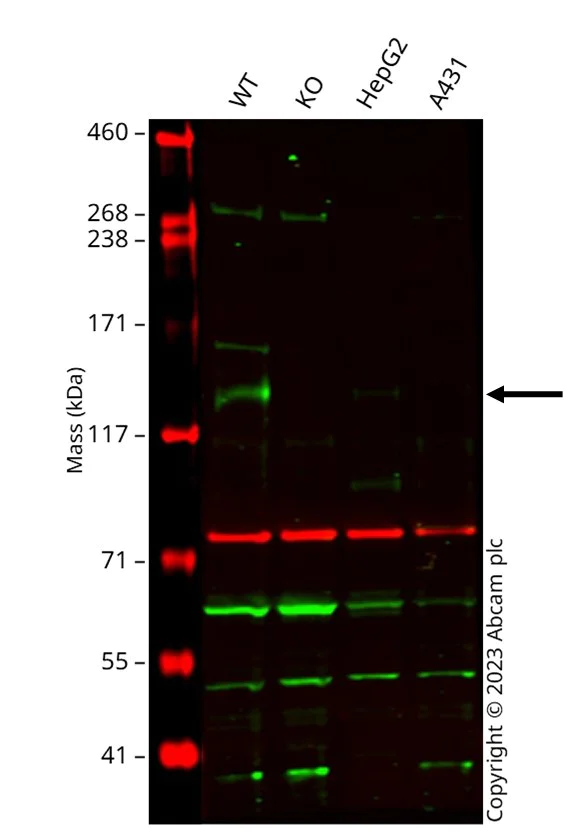
Western blot - Anti-LDL Receptor antibody [EP1553Y] (AB52818)
  • WB

Lab

Western blot - Anti-LDL Receptor antibody [EP1553Y] (AB52818)

Anti-LDLR antibody [EP1553Y] (ab52818) staining at 1/1000 dilution, shown in green; Mouse anti-CANX [CANX/1543] (ab238078) loading control staining at 1/20000 dilution, shown in red. In Western blot, ab52818 was shown to bind specifically to LDLR. A band was observed at 130/160 kDa in wild-type HeLa cell lysates with no signal observed at this size in LDLR knockout cell line ab273838 (knockout cell lysate ab273792). To generate this image, wild-type and LDLR knockout HeLa cell lysates were analysed. First, samples were run on an SDS-PAGE gel then transferred onto a nitrocellulose membrane. Membranes were blocked in 5 % milk in TBS-0.1 % Tween® 20 (TBS-T) before incubation with primary antibodies overnight at 4 °C. Blots were washed four times in TBS-T, incubated with secondary antibodies for 1 h at room temperature, washed again four times then imaged. Secondary antibodies used were Goat anti-Rabbit IgG H&L 800CW and Goat anti-Mouse IgG H&L 680RD at 1/20000 dilution.

All lanes:

Western blot - Anti-LDL Receptor antibody [EP1553Y] (ab52818) at 1/1000 dilution

Lane 1:

Wild-type HeLa cell lysate at 20 µg

Lane 2:

LDLR knockout HeLa cell lysate at 20 µg

Lane 3:

HepG2 cell lysate at 20 µg

Lane 3:

A431 cell lysate at 20 µg

Secondary

All lanes:

Goat anti-Rabbit IgG H&L 800CW and Goat anti-Mouse IgG H&L 680RD at 1/20000 dilution

Predicted band size: 95 kDa

Observed band size: 130 kDa,160 kDa

false

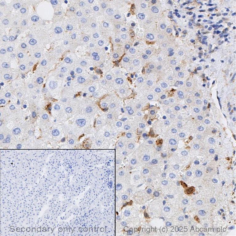
Immunohistochemistry (Formalin/PFA-fixed paraffin-embedded sections) - Anti-LDL Receptor antibody [EP1553Y] (AB52818)
  • IHC-P

Unknown

Immunohistochemistry (Formalin/PFA-fixed paraffin-embedded sections) - Anti-LDL Receptor antibody [EP1553Y] (AB52818)

Immunohistochemical analysis of paraffin-embedded human liver sections labeling LDL Receptor with purified ab52818 at dilution of 1 : 500. The secondary antibody used was ab97051; a goat anti-rabbit IgG H&L (HRP) at dilution of 1/500. The sample was counterstained with hematoxylin. Antigen retrieval was performed using EDTA Buffer; pH 9.0. PBS was used instead of the primary antibody as the negative control and is shown in the inset.

Immunohistochemistry (Formalin/PFA-fixed paraffin-embedded sections) - Anti-LDL Receptor antibody [EP1553Y] (AB52818)
  • IHC-P

Unknown

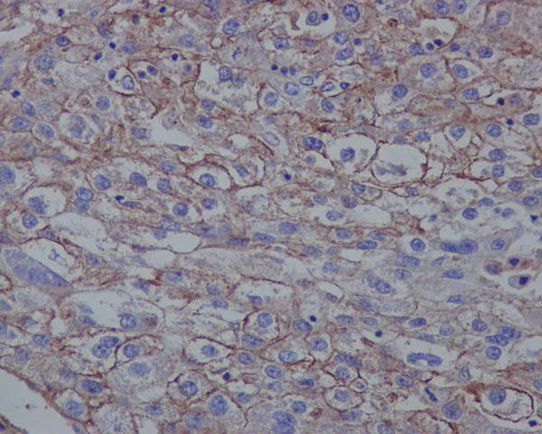
Immunohistochemistry (Formalin/PFA-fixed paraffin-embedded sections) - Anti-LDL Receptor antibody [EP1553Y] (AB52818)

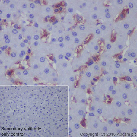
Immunohistochemical analysis of paraffin-embedded human hepatocellular carcinoma tissue labeling LDL Receptor with ab52818 at 1/100 dilution followed by goat anti-rabbit IgG H&L (HRP) (ab97051 1/500). The sample was counterstained with hematoxylin.

Immunohistochemistry (Formalin/PFA-fixed paraffin-embedded sections) - Anti-LDL Receptor antibody [EP1553Y] (AB52818)
  • IHC-P

Lab

Immunohistochemistry (Formalin/PFA-fixed paraffin-embedded sections) - Anti-LDL Receptor antibody [EP1553Y] (AB52818)

Immunohistochemical analysis of formalin fixed paraffin embedded human liver labelling LDL Receptor with ab52818 at a concentration of 0.5μg/ml. The immunostaining was performed on a Ventana DISCOVERY ULTRA (Roche Tissue Diagnostics) instrument with a OptiView DAB IHC Detection Kit. Heat mediated antigen retrieval was performed with DISCOVERY cell conditioning solution (CC1) 100°C, pH8.5 for 32mins.

ab52818 anti-LDL Receptor antibody [EP1553Y] was incubated for 16mins at 37°C. Sections were counterstained with Hematoxylin II. Image inset shows absence of staining in secondary antibody only control.

Customers are encouraged to optimise antigen retrieval conditions, antibody concentration, incubation times and temperature for best results in their own IHC assay workflow (automated and manual).

Western blot - Anti-LDL Receptor antibody [EP1553Y] (AB52818)
  • WB

Unknown

Western blot - Anti-LDL Receptor antibody [EP1553Y] (AB52818)

LDL Receptor contains a number of potential glycosylation sites (SwissProt) which may explain its migration at a higher molecular weight than predicted.

All lanes:

Western blot - Anti-LDL Receptor antibody [EP1553Y] (ab52818) at 1/500 dilution

All lanes:

Human plasma total protein lysate at 10 µg

Secondary

All lanes:

Western blot - Goat Anti-Rabbit IgG H&L (HRP) preadsorbed (<a href='/en-us/products/secondary-antibodies/goat-rabbit-igg-h-l-hrp-preadsorbed-ab97080'>ab97080</a>) at 1/5000 dilution

Predicted band size: 95 kDa

Observed band size: 100 kDa,27 kDa,48 kDa

true

Exposure time: 4min

Western blot - Anti-LDL Receptor antibody [EP1553Y] (AB52818)
  • WB

Unknown

Western blot - Anti-LDL Receptor antibody [EP1553Y] (AB52818)

Blocking/Diluting buffer 5% NFDM/TBST

All lanes:

Western blot - Anti-LDL Receptor antibody [EP1553Y] (ab52818) at 1/5000 dilution

All lanes:

Mouse liver at 15 µg

Secondary

All lanes:

Western blot - Goat Anti-Rabbit IgG H&L (HRP) (<a href='/en-us/products/secondary-antibodies/goat-rabbit-igg-h-l-hrp-ab97051'>ab97051</a>)

Predicted band size: 95 kDa

Observed band size: 140 kDa

false

Western blot - Anti-LDL Receptor antibody [EP1553Y] (AB52818)
  • WB

Lab

Western blot - Anti-LDL Receptor antibody [EP1553Y] (AB52818)

Blocking buffer : 5% NFDM/TBST

Diltuion buffer : 5% NFDM/TBST

All lanes:

Western blot - Anti-LDL Receptor antibody [EP1553Y] (ab52818) at 1/1000 dilution

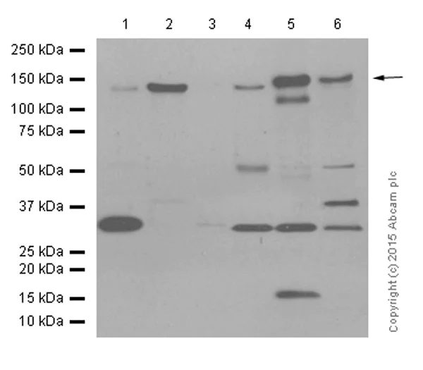
Lane 1:

HeLa (Human epithelial cell line from cervix adenocarcinoma) cell lysate at 20 µg

Lane 2:

HeLa treated with GW3965 for 8 hours at the final concentration of 5uM whole cell lysates at 20 µg

Lane 3:

HeLa treated with GW3965 for 24 hours at the final concentration of 5uM whole cell lysates at 20 µg

Lane 4:

Raw264.7 (Mouse macrophage cell line transformed with Abelson murine leukemia virus) whole cell lysates at 20 µg

Lane 5:

Raw264.7 treated with GW3965 for 8 hours at the final concentration of 5uM whole cell lysates at 20 µg

Lane 6:

Raw264.7 treated with GW3965 for 24 hours at the final concentration of 5uM whole cell lysates at 20 µg

Secondary

All lanes:

Western blot - Goat Anti-Rabbit IgG H&L (HRP) (<a href='/en-us/products/secondary-antibodies/goat-rabbit-igg-h-l-hrp-ab97051'>ab97051</a>) at 1/20000 dilution

Predicted band size: 95 kDa

Observed band size: 140 kDa

false

Exposure time: 1min

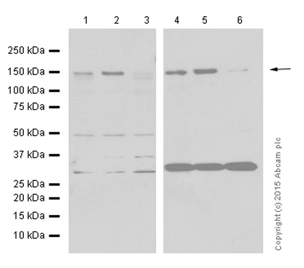
Western blot - Anti-LDL Receptor antibody [EP1553Y] (AB52818)
  • WB

Lab

Western blot - Anti-LDL Receptor antibody [EP1553Y] (AB52818)

Blocking buffer : 5% NFDM/TBST

Diluting buffer : 5% NFDM/TBST

All lanes:

Western blot - Anti-LDL Receptor antibody [EP1553Y] (ab52818) at 1/1000 dilution

Lane 1:

PC-3 (Human prostate adenocarcinoma epithelial cell) whole cell lysate at 20 µg

Lane 2:

LNCaP (Human prostate carcinoma epithelial cell) whole cell lysate at 20 µg

Lane 3:

Huh7 (Human hepatocellular carcinoma epithelial cell) whole cell lysate at 20 µg

Lane 4:

HepG2 (Human hepatocellular carcinoma epithelial cell) whole cell lysate at 20 µg

Lane 5:

HeLa (Human cervix adenocarcinoma epithelial cell) whole cell lysate at 20 µg

Lane 6:

A431 (Human epidermoid carcinoma epithelial cell) whole cell lysate at 20 µg

Lane 7:

HEK-293 (Human embryonic kidney epithelial cell) whole cell lysate at 20 µg

Secondary

All lanes:

Goat Anti-Rabbit IgG, (H+L), Peroxidase conjugated at 1/20000 dilution

Predicted band size: 95 kDa

Observed band size: 150 kDa

false

Western blot - Anti-LDL Receptor antibody [EP1553Y] (AB52818)
  • WB

Lab

Western blot - Anti-LDL Receptor antibody [EP1553Y] (AB52818)

Blocking and diluting buffer : 5% NFDM/TBST.

The molecular weight observed is consistent with the literature (PMID : 15199428, PMID : 8349823, PMID : 10906332, PMID : 24918045).

All lanes:

Western blot - Anti-LDL Receptor antibody [EP1553Y] (ab52818) at 0.4 µg/mL

All lanes:

HepG2 (Human hepatocellular carcinoma epithelial cell) whole cell lysate at 20 µg

Secondary

All lanes:

Western blot - Goat Anti-Rabbit IgG H&L (HRP) (<a href='/en-us/products/secondary-antibodies/goat-rabbit-igg-h-l-hrp-ab97051'>ab97051</a>) at 1/20000 dilution

Predicted band size: 95 kDa

false

Exposure time: 3min

Western blot - Anti-LDL Receptor antibody [EP1553Y] (AB52818)
  • WB

Lab

Western blot - Anti-LDL Receptor antibody [EP1553Y] (AB52818)

Blocking buffer : 5% NFDM/TBST

Diltuion buffer : 5% NFDM/TBST

All lanes:

Western blot - Anti-LDL Receptor antibody [EP1553Y] (ab52818) at 1/1000 dilution

Lane 1:

Mouse liver lysate at 20 µg

Lane 2:

Mouse lung lysate at 20 µg

Lane 3:

Mouse colon lysate at 20 µg

Lane 4:

Human liver lysate at 20 µg

Lane 5:

HepG2 (Human liver hepatocellular carcinoma cell line) cell lysate at 20 µg

Lane 6:

HeLa (Human epithelial cell line from cervix adenocarcinoma) cell lysate at 20 µg

Secondary

All lanes:

Western blot - Goat Anti-Rabbit IgG H&L (HRP) (<a href='/en-us/products/secondary-antibodies/goat-rabbit-igg-h-l-hrp-ab97051'>ab97051</a>) at 1/1000 dilution

Predicted band size: 95 kDa

Observed band size: 140 kDa

false

Exposure time: 3min

  • HRP

    HRP Anti-LDL Receptor antibody [EP1553Y]

  • Carrier free

    Anti-LDL Receptor antibody [EP1553Y] - BSA and Azide free

Key facts

Host species

Rabbit

Clonality

Monoclonal

Clone number

EP1553Y

Isotype

IgG

Carrier free

No

Reacts with

Mouse, Human

Applications

IHC-P, WB

applications

Immunogen

The exact immunogen used to generate this antibody is proprietary information.

Specificity

Some optimisation may be required for detection of the target protein due to low levels of endogenous expression in some samples. Please see images below for suitable positive controls.

Reactivity data

{ "title": "Reactivity Data", "filters": { "stats": ["", "Species", "Dilution Info", "Notes"], "tabs": { "all-applications": {"fullname" : "All Applications", "shortname": "All Applications"}, "FlowCyt" : {"fullname" : "Flow Cytometry", "shortname":"Flow Cyt"}, "WB" : {"fullname" : "Western blot", "shortname":"WB"}, "ICCIF" : {"fullname" : "Immunocytochemistry/ Immunofluorescence", "shortname":"ICC/IF"}, "IHCP" : {"fullname" : "Immunohistochemistry (Formalin/PFA-fixed paraffin-embedded sections)", "shortname":"IHC-P"} }, "product-promise": { "all": "all", "testedAndGuaranteed": "tested", "guaranteed": "expected", "predicted": "predicted", "notRecommended": "not-recommended" } }, "values": { "Human": { "FlowCyt-species-checked": "notRecommended", "FlowCyt-species-dilution-info": "", "FlowCyt-species-notes": "<p></p>", "WB-species-checked": "testedAndGuaranteed", "WB-species-dilution-info": "1/500 - 1/1000", "WB-species-notes": "<p></p>", "ICCIF-species-checked": "notRecommended", "ICCIF-species-dilution-info": "", "ICCIF-species-notes": "<p></p>", "IHCP-species-checked": "testedAndGuaranteed", "IHCP-species-dilution-info": "1/500", "IHCP-species-notes": "<p></p> Perform heat-mediated antigen retrieval with Tris/EDTA buffer pH 9.0 before commencing with IHC staining protocol." }, "Mouse": { "FlowCyt-species-checked": "notRecommended", "FlowCyt-species-dilution-info": "", "FlowCyt-species-notes": "<p></p>", "WB-species-checked": "testedAndGuaranteed", "WB-species-dilution-info": "1/500 - 1/1000", "WB-species-notes": "<p></p>", "ICCIF-species-checked": "notRecommended", "ICCIF-species-dilution-info": "", "ICCIF-species-notes": "<p></p>", "IHCP-species-checked": "guaranteed", "IHCP-species-dilution-info": "", "IHCP-species-notes": "" } } }

Product details

Product Specifications

Anti-LDL Receptor antibody [EP1553Y] (ab52818) was developed by Abcam using patented rabbit monoclonal antibody technology and is validated for use in IHC-P, WB in human, mouse samples.
Anti-LDL Receptor antibody [EP1553Y] (ab52818) specifically detects LDL Receptor (UniProt ID: P01130; Molecular weight: 93kDa) and is sold in 100 µL and 1 mL selling sizes.

Quality and Validation

Abcam's high quality manufacturing and validation processes ensure Anti-LDL Receptor antibody [EP1553Y] (ab52818) has high sensitivity and specificity alongside high lot-to-lot consistency and reproducibility.
Anti-LDL Receptor antibody [EP1553Y] (ab52818) has been cited over 145 times in peer reviewed journals and is trusted by the scientific community.
Anti-LDL Receptor antibody [EP1553Y] (ab52818) has 15 independent reviews from customers.

Related Products
Conjugation-ready, carrier free format available for antibody clone EP1553Y - ab271846.
Antibody clone EP1553Y is also available pre-conjugated to a variety of labels for your convenience - HRP (ab195516).

Patented technology
Our RabMAb® technology is a patented hybridoma-based technology for making rabbit monoclonal antibodies. For details on our patents, please refer to RabMAb® patents.

What are the advantages of a recombinant monoclonal antibody?
This product is a recombinant monoclonal antibody, which offers several advantages including:

  • - High batch-to-batch consistency and reproducibility
  • - Improved sensitivity and specificity
  • - Long-term security of supply
  • - Animal-free batch production

For more information, read more on recombinant antibodies.

Properties and storage information

Form
Liquid
Purification technique
Affinity purification Protein A
Storage buffer
pH: 7.2 - 7.4 Preservative: 0.01% Sodium azide Constituents: PBS, 40% Glycerol (glycerin, glycerine), 0.1% BSA
Shipped at conditions
Blue Ice
Appropriate short-term storage duration
1-2 weeks
Appropriate short-term storage conditions
+4°C
Appropriate long-term storage conditions
-20°C
Aliquoting information
Upon delivery aliquot
Storage information
Stable for 12 months at -20°C

Supplementary information

This supplementary information is collated from multiple sources and compiled automatically.

The LDL Receptor also called LDLR is a protein that plays an important role in the uptake and clearance of low-density lipoproteins (LDL) from the bloodstream. LDLR binds LDL particles facilitating their internalization through receptor-mediated endocytosis. This receptor is expressed mainly in the liver adrenal glands and other tissues involved in cholesterol metabolism. It has an approximate molecular weight of 160 kDa. Researchers often study LDLR using techniques like Western blotting to understand its presence and function.
Biological function summary

The LDL receptor interacts with LDL particles to regulate cholesterol levels in the body. It is part of a cell surface complex that recognizes and binds to apolipoprotein B-100 or apolipoprotein E present on LDL. This interaction initiates internalization of LDL leading to its degradation in lysosomes where cholesterol can be released and used by the cell. Mutations in the gene encoding LDLR can lead to inefficient cholesterol uptake influencing various metabolic processes.

Pathways

LDL receptor activities are integral to lipid metabolism and cholesterol homeostasis. Two important biological pathways that involve LDLR include the cholesterol biosynthesis pathway and the lipoprotein clearance pathway. Within these pathways LDLR collaborates closely with proteins like PCSK9 which modulates its expression and degradation and HMG-CoA reductase an important enzyme in cholesterol synthesis to balance cholesterol levels in the body.

Defects in the LDL receptor are strongly associated with familial hypercholesterolemia and atherosclerosis. These conditions arise from impaired clearance of LDL leading to elevated cholesterol levels which pose risks for cardiovascular diseases. LDLR dysfunctions are linked with the Protein PCSK9 whose gain-of-function mutations can exacerbate hypercholesterolemia by promoting degradation of LDLR while statins aim to increase LDLR expression to lower LDL cholesterol levels.

Product protocols

For this product, it's our understanding that no specific protocols are required. You can visit:

Target data

Binds low density lipoprotein /LDL, the major cholesterol-carrying lipoprotein of plasma, and transports it into cells by endocytosis. In order to be internalized, the receptor-ligand complexes must first cluster into clathrin-coated pits. Forms a ternary complex with PGRMC1 and TMEM97 receptors which increases LDLR-mediated LDL internalization (PubMed : 30443021).. (Microbial infection) Acts as a receptor for hepatitis C virus in hepatocytes, but not through a direct interaction with viral proteins.. (Microbial infection) Acts as a receptor for Vesicular stomatitis virus.. (Microbial infection) In case of HIV-1 infection, may function as a receptor for extracellular Tat in neurons, mediating its internalization in uninfected cells.. (Microbial infection) Acts as a receptor for Crimean-Congo hemorrhagic fever virus (CCHFV).. (Microbial infection) Acts as a receptor for many Alphavirus, including Getah virus (GETV), Ross river virus (RRV) and Semliki Forest virus.
See full target information Low-density lipoprotein receptor

Publications (185)

Recent publications for all applications. Explore the full list and refine your search

Cellular and molecular life sciences : CMLS 82:313 PubMed40802025

2025

RER1 regulates lipid metabolism in monocytes and macrophages.

Applications

Unspecified application

Species

Unspecified reactive species

Yanxia Liu,Sandra Theil,Mohamed H Yaghmour,Anja Kerksiek,Peng Chen,Ingo G H Schmidt-Wolf,Rebecca Barker,Eva Bartok,Dieter Lütjohann,Christoph Thiele,Jochen Walter

STAR protocols 6:103977 PubMed40705595

2025

Protocol for detecting LDLR on the cell surface of primary mouse hepatocytes using cell-surface biotinylation.

Applications

Unspecified application

Species

Unspecified reactive species

Fanglin Ma,Bishuang Cai

Cardiovascular research 121:1373-1384 PubMed40653676

2025

Sirtuin-1 directly binds and deacetylates hepatic PCSK9 thereby promoting the inhibition of LDL receptor degradation.

Applications

Unspecified application

Species

Unspecified reactive species

Srividya Velagapudi,Melroy X Miranda,Priyanka Adla,Simon Kraler,Shafeeq A Mohammed,Shekhar Baki,Jerome Robert,Lucia Rohrer,Hwan Lee,Hyun-Duk Jang,Slayman Obeid,Anne Tailleux,Bart Staels,Naresh Babu V Sepuri,Francesco Paneni,Ravi Kumar Gutti,Arnold von Eckardstein,Hyo-Soo Kim,Alexander Akhmedov,Giovanni G Camici,Thomas F Lüscher

JACC. Advances 4:101839 PubMed40579057

2025

Sodium-Glucose Cotransporter Inhibition Preserves Apolipoprotein M During Acute Inflammation in Mice and Humans.

Applications

Unspecified application

Species

Unspecified reactive species

Carla Valenzuela Ripoll,Aynaz Lotfinaghsh,Zhen Guo,Tripti Kumari,Kana N Miyata,Alireza Sargazi,Mualla Ozcan,Ahmed Diab,Anahita Ataran,Hamidreza Hajirezaei,Omid Rashidi,Wenjing Yu,Yoonje Cho,Attila Kovacs,Carla Weinheimer,Jess Nigro,Olivier Cases,Renata Kozyraki,Jan Oscarsson,Russell Esterline,Moshe Levi,Justin H Berger,Joel D Schilling,Rajendra S Apte,Marco Sardiello,Alexander Peikert,Mikhail Kosiborod,Luigi Adamo,Charlie Lowenstein,Christina Christoffersen,Jaehyung Cho,Ali Javaheri

Scientific reports 15:18761 PubMed40437103

2025

Marein from Coreopsis tinctoria Nutt. alleviates oxidative stress and lipid accumulation via SIRT1/Nrf2 signaling.

Applications

Unspecified application

Species

Unspecified reactive species

Lisha Zhao,Ruifeng Liu,Yutong Kang,Yanying Chen,Yuchan Xiao,Xiaorong Cheng,Lanlan Zhang

Scientific reports 15:15319 PubMed40312444

2025

The role of gut microbiota on skeletal muscle strength in LDLR knockdown aging mice.

Applications

Unspecified application

Species

Unspecified reactive species

Ying Li,Ziyang Fang,Yinjun Luo,Huiling Liu,Dianchen Zhao,Tao Feng,Xin Zhang,Songyi Mo,Xiaoyan Fang,Lingling Huang,Jinhua Wang

Nature 642:776-784 PubMed40269157

2025

Targeting PIKfyve-driven lipid metabolism in pancreatic cancer.

Applications

Unspecified application

Species

Unspecified reactive species

Caleb Cheng,Jing Hu,Rahul Mannan,Tongchen He,Rupam Bhattacharyya,Brian Magnuson,Jasmine P Wisniewski,Sydney Peters,Saadia A Karim,David J MacLean,Hüseyin Karabürk,Li Zhang,Nicholas J Rossiter,Yang Zheng,Lanbo Xiao,Chungen Li,Dominik Awad,Somnath Mahapatra,Yi Bao,Yuping Zhang,Xuhong Cao,Zhen Wang,Rohit Mehra,Pietro Morlacchi,Vaibhav Sahai,Marina Pasca di Magliano,Yatrik M Shah,Lois S Weisman,Jennifer P Morton,Ke Ding,Yuanyuan Qiao,Costas A Lyssiotis,Arul M Chinnaiyan

International journal of molecular medicine 55: PubMed40116083

2025

ABCG8‑mediated sterol efflux increases cancer cell progression via the LRP6/Wnt/β‑catenin signaling pathway in radiotherapy‑resistant MDA‑MB‑231 triple‑negative breast cancer cells.

Applications

Unspecified application

Species

Unspecified reactive species

Young Shin Ko,Ju Yeong Won,Hana Jin,Nam Binh Nguyen,Yaeram Won,Vedaste Nsanzimana,Seung Pil Yun,Sang Won Park,Hye Jung Kim

Scientific reports 15:6941 PubMed40011664

2025

PCSK9 with a gain of function D374Y mutation aggravates atherosclerosis by inhibiting PPARα expression.

Applications

Unspecified application

Species

Unspecified reactive species

Yuan Feng Cui,Xiao Cui Chen,Tuoluonayi Mijiti,Abidan Abudurusuli,Li Hui Deng,Xiang Ma,Bangdang Chen

Molecular therapy. Methods & clinical development 33:101390 PubMed39897642

2025

Silencing hepatic PCSK9 via novel chimeric AAV8 mitigates the progression of atherosclerosis by inhibiting inflammation in ApoE mice.

Applications

Unspecified application

Species

Unspecified reactive species

Xiaocui Chen,Minghui Sun,Xiang Ma,Yitong Ma,Bangdang Chen
View all publications

Product promise

We are committed to supporting your work with high-quality reagents, and we're here for you every step of the way. In the unlikely event that one of our products does not perform as expected, you're protected by our Product Promise.
For full details, please see our Terms & Conditions

Please note: All products are 'FOR RESEARCH USE ONLY. NOT FOR USE IN DIAGNOSTIC OR THERAPEUTIC PROCEDURES'.

For licensing inquiries, please contact partnerships@abcam.com