JavaScript is disabled in your browser. Please enable JavaScript to view this website.
AB215980

Anti-LDL Receptor antibody [EP1553Y] - Low endotoxin, Azide free

Be the first to review this product! Submit a review

|

(1 Publication)

Rabbit Recombinant Monoclonal LDL Receptor antibody. Carrier free. Suitable for WB, IHC-P and reacts with Human, Mouse samples. Cited in 1 publication.

View Alternative Names

Low-density lipoprotein receptor, LDL receptor, LDLR

4 Images
Immunohistochemistry (Formalin/PFA-fixed paraffin-embedded sections) - Anti-LDL Receptor antibody [EP1553Y] - Low endotoxin, Azide free (AB215980)
  • IHC-P

Unknown

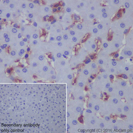
Immunohistochemistry (Formalin/PFA-fixed paraffin-embedded sections) - Anti-LDL Receptor antibody [EP1553Y] - Low endotoxin, Azide free (AB215980)

Immunohistochemical analysis of paraffin-embedded human liver sections labeling LDL Receptor with purified ab52818 at dilution of 1 : 500. The secondary antibody used was ab97051; a goat anti-rabbit IgG H&L (HRP) at dilution of 1/500. The sample was counterstained with hematoxylin. Antigen retrieval was performed using EDTA Buffer; pH 9.0. PBS was used instead of the primary antibody as the negative control and is shown in the inset.

This data was developed using the same antibody clone in a different buffer formulation containing PBS BSA glycerol and sodium azide (ab52818).

Immunohistochemistry (Formalin/PFA-fixed paraffin-embedded sections) - Anti-LDL Receptor antibody [EP1553Y] - Low endotoxin, Azide free (AB215980)
  • IHC-P

Unknown

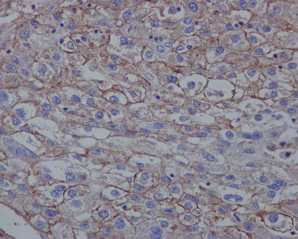
Immunohistochemistry (Formalin/PFA-fixed paraffin-embedded sections) - Anti-LDL Receptor antibody [EP1553Y] - Low endotoxin, Azide free (AB215980)

Immunohistochemical analysis of paraffin-embedded human hepatocellular carcinoma tissue labeling LDL Receptor with ab52818 at 1/100 dilution followed by goat anti-rabbit IgG H&L (HRP) (ab97051 1/500). The sample was counterstained with hematoxylin.

This data was developed using the same antibody clone in a different buffer formulation containing PBS BSA glycerol and sodium azide (ab52818).

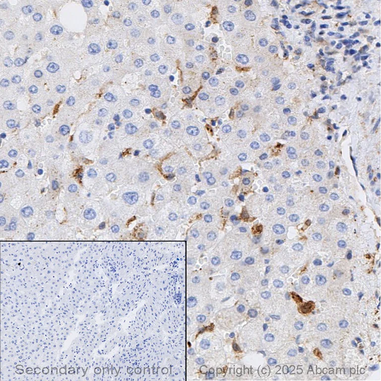
Immunohistochemistry (Formalin/PFA-fixed paraffin-embedded sections) - Anti-LDL Receptor antibody [EP1553Y] - Low endotoxin, Azide free (AB215980)
  • IHC-P

Lab

Immunohistochemistry (Formalin/PFA-fixed paraffin-embedded sections) - Anti-LDL Receptor antibody [EP1553Y] - Low endotoxin, Azide free (AB215980)

This data was developed using ab52818, the same antibody clone in a different buffer formulation.

Immunohistochemical analysis of formalin fixed paraffin embedded human liver labelling LDL Receptor with ab52818 at a concentration of 0.5μg/ml. The immunostaining was performed on a Ventana DISCOVERY ULTRA (Roche Tissue Diagnostics) instrument with a OptiView DAB IHC Detection Kit. Heat mediated antigen retrieval was performed with DISCOVERY cell conditioning solution (CC1) 100°C, pH8.5 for 32mins.

ab52818 anti-LDL Receptor antibody [EP1553Y] was incubated for 16mins at 37°C. Sections were counterstained with Hematoxylin II. Image inset shows absence of staining in secondary antibody only control.

Customers are encouraged to optimise antigen retrieval conditions, antibody concentration, incubation times and temperature for best results in their own IHC assay workflow (automated and manual).

Western blot - Anti-LDL Receptor antibody [EP1553Y] - Low endotoxin, Azide free (AB215980)
  • WB

Lab

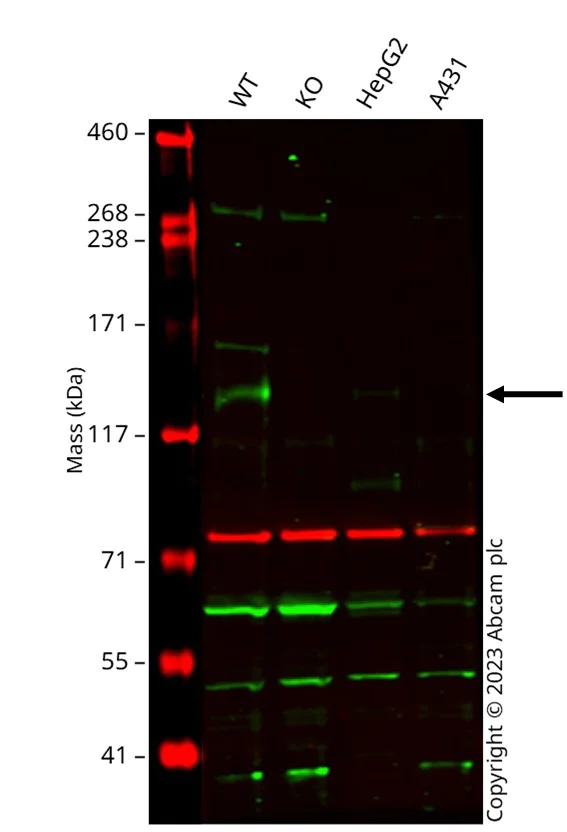
Western blot - Anti-LDL Receptor antibody [EP1553Y] - Low endotoxin, Azide free (AB215980)

This data was developed using the same antibody clone in a different buffer formulation containing PBS, BSA, glycerol, and sodium azide (ab52818). Anti-LDLR antibody [EP1553Y] (ab52818) staining at 1/1000 dilution, shown in green; Mouse anti-CANX [CANX/1543] (ab238078) loading control staining at 1/20000 dilution, shown in red. In Western blot, ab52818 was shown to bind specifically to LDLR. A band was observed at 130/160 kDa in wild-type HeLa cell lysates with no signal observed at this size in LDLR knockout cell line ab273838 (knockout cell lysate ab273792). To generate this image, wild-type and LDLR knockout HeLa cell lysates were analysed. First, samples were run on an SDS-PAGE gel then transferred onto a nitrocellulose membrane. Membranes were blocked in 5 % milk in TBS-0.1 % Tween® 20 (TBS-T) before incubation with primary antibodies overnight at 4 °C. Blots were washed four times in TBS-T, incubated with secondary antibodies for 1 h at room temperature, washed again four times then imaged. Secondary antibodies used were Goat anti-Rabbit IgG H&L 800CW and Goat anti-Mouse IgG H&L 680RD at 1/20000 dilution.

All lanes:

Western blot - Anti-LDL Receptor antibody [EP1553Y] (<a href='/en-us/products/primary-antibodies/ldl-receptor-antibody-ep1553y-ab52818'>ab52818</a>) at 1/1000 dilution

Lane 1:

Wild-type HeLa cell lysate at 20 µg

Lane 2:

LDLR knockout HeLa cell lysate at 20 µg

Lane 3:

HepG2 cell lysate at 20 µg

Lane 3:

A431 cell lysate at 20 µg

Secondary

All lanes:

Goat anti-Rabbit IgG H&L 800CW and Goat anti-Mouse IgG H&L 680RD at 1/20000 dilution

Predicted band size: 95 kDa

Observed band size: 130 kDa,160 kDa

false

  • HRP

    HRP Anti-LDL Receptor antibody [EP1553Y]

  • Unconjugated

    Anti-LDL Receptor antibody [EP1553Y]

  • Carrier free

    Anti-LDL Receptor antibody [EP1553Y] - BSA and Azide free

Key facts

Host species

Rabbit

Clonality

Monoclonal

Clone number

EP1553Y

Isotype

IgG

Carrier free

Yes

Reacts with

Mouse, Human

Applications

IHC-P, WB

applications

Immunogen

The exact immunogen used to generate this antibody is proprietary information.

Specificity

Some optimisation may be required for detection of the target protein due to low levels of endogenous expression in some samples. Please see images below for suitable positive controls.

Reactivity data

{ "title": "Reactivity Data", "filters": { "stats": ["", "Species", "Dilution Info", "Notes"], "tabs": { "all-applications": {"fullname" : "All Applications", "shortname": "All Applications"}, "FlowCyt" : {"fullname" : "Flow Cytometry", "shortname":"Flow Cyt"}, "WB" : {"fullname" : "Western blot", "shortname":"WB"}, "ICCIF" : {"fullname" : "Immunocytochemistry/ Immunofluorescence", "shortname":"ICC/IF"}, "IHCP" : {"fullname" : "Immunohistochemistry (Formalin/PFA-fixed paraffin-embedded sections)", "shortname":"IHC-P"} }, "product-promise": { "all": "all", "testedAndGuaranteed": "tested", "guaranteed": "expected", "predicted": "predicted", "notRecommended": "not-recommended" } }, "values": { "Human": { "FlowCyt-species-checked": "notRecommended", "FlowCyt-species-dilution-info": "", "FlowCyt-species-notes": "<p></p>", "WB-species-checked": "testedAndGuaranteed", "WB-species-dilution-info": "", "WB-species-notes": "<p></p>", "ICCIF-species-checked": "notRecommended", "ICCIF-species-dilution-info": "", "ICCIF-species-notes": "<p></p>", "IHCP-species-checked": "testedAndGuaranteed", "IHCP-species-dilution-info": "", "IHCP-species-notes": "<p></p> Perform heat-mediated antigen retrieval with Tris/EDTA buffer pH 9.0 before commencing with IHC staining protocol." }, "Mouse": { "FlowCyt-species-checked": "notRecommended", "FlowCyt-species-dilution-info": "", "FlowCyt-species-notes": "<p></p>", "WB-species-checked": "testedAndGuaranteed", "WB-species-dilution-info": "", "WB-species-notes": "<p></p>", "ICCIF-species-checked": "notRecommended", "ICCIF-species-dilution-info": "", "ICCIF-species-notes": "<p></p>", "IHCP-species-checked": "guaranteed", "IHCP-species-dilution-info": "", "IHCP-species-notes": "" } } }

Product details

ab215980 is the carrier-free version of ab52818.

Patented technology
Our RabMAb® technology is a patented hybridoma-based technology for making rabbit monoclonal antibodies. For details on our patents, please refer to RabMAb® patents.

What are the advantages of a recombinant monoclonal antibody?
This product is a recombinant monoclonal antibody, which offers several advantages including:

  • - High batch-to-batch consistency and reproducibility
  • - Improved sensitivity and specificity
  • - Long-term security of supply
  • - Animal-free batch production

For more information, read more on recombinant antibodies.

Conjugation ready
Our carrier-free antibodies are typically supplied in a PBS-only formulation, purified and free of BSA, sodium azide and glycerol. This conjugation-ready format is designed for use with fluorochromes, metal isotopes, oligonucleotides, and enzymes, which makes them ideal for antibody labelling, functional and cell-based assays, flow-based assays (e.g. mass cytometry) and Multiplex Imaging applications.

Use our conjugation kits for antibody conjugates that are ready-to-use in as little as 20 minutes with 1 minute hands-on-time and 100% antibody recovery: available for fluorescent dyes, HRP, biotin and gold.

Compatibility
This product is compatible with the Maxpar® Antibody Labeling Kit from Fluidigm, without the need for antibody preparation. Maxpar® is a trademark of Fluidigm Canada Inc.

What does low endotoxin mean?
Our low endotoxin, azide-free formats have low endotoxin level (1 EU/mg, determined by the TAL assay) and are free from azide, to achieve consistent experimental results in functional assays.

Properties and storage information

Form
Liquid
Purification technique
Affinity purification Protein A
Storage buffer
pH: 7.2 - 7.4 Constituents: PBS
Shipped at conditions
Blue Ice
Appropriate short-term storage conditions
+4°C
Appropriate long-term storage conditions
+4°C
Storage information
Do Not Freeze

Supplementary information

This supplementary information is collated from multiple sources and compiled automatically.

The LDL Receptor also called LDLR is a protein that plays an important role in the uptake and clearance of low-density lipoproteins (LDL) from the bloodstream. LDLR binds LDL particles facilitating their internalization through receptor-mediated endocytosis. This receptor is expressed mainly in the liver adrenal glands and other tissues involved in cholesterol metabolism. It has an approximate molecular weight of 160 kDa. Researchers often study LDLR using techniques like Western blotting to understand its presence and function.
Biological function summary

The LDL receptor interacts with LDL particles to regulate cholesterol levels in the body. It is part of a cell surface complex that recognizes and binds to apolipoprotein B-100 or apolipoprotein E present on LDL. This interaction initiates internalization of LDL leading to its degradation in lysosomes where cholesterol can be released and used by the cell. Mutations in the gene encoding LDLR can lead to inefficient cholesterol uptake influencing various metabolic processes.

Pathways

LDL receptor activities are integral to lipid metabolism and cholesterol homeostasis. Two important biological pathways that involve LDLR include the cholesterol biosynthesis pathway and the lipoprotein clearance pathway. Within these pathways LDLR collaborates closely with proteins like PCSK9 which modulates its expression and degradation and HMG-CoA reductase an important enzyme in cholesterol synthesis to balance cholesterol levels in the body.

Defects in the LDL receptor are strongly associated with familial hypercholesterolemia and atherosclerosis. These conditions arise from impaired clearance of LDL leading to elevated cholesterol levels which pose risks for cardiovascular diseases. LDLR dysfunctions are linked with the Protein PCSK9 whose gain-of-function mutations can exacerbate hypercholesterolemia by promoting degradation of LDLR while statins aim to increase LDLR expression to lower LDL cholesterol levels.

Product protocols

For this product, it's our understanding that no specific protocols are required. You can visit:

Target data

Binds low density lipoprotein /LDL, the major cholesterol-carrying lipoprotein of plasma, and transports it into cells by endocytosis. In order to be internalized, the receptor-ligand complexes must first cluster into clathrin-coated pits. Forms a ternary complex with PGRMC1 and TMEM97 receptors which increases LDLR-mediated LDL internalization (PubMed : 30443021).. (Microbial infection) Acts as a receptor for hepatitis C virus in hepatocytes, but not through a direct interaction with viral proteins.. (Microbial infection) Acts as a receptor for Vesicular stomatitis virus.. (Microbial infection) In case of HIV-1 infection, may function as a receptor for extracellular Tat in neurons, mediating its internalization in uninfected cells.. (Microbial infection) Acts as a receptor for Crimean-Congo hemorrhagic fever virus (CCHFV).. (Microbial infection) Acts as a receptor for many Alphavirus, including Getah virus (GETV), Ross river virus (RRV) and Semliki Forest virus.
See full target information Low-density lipoprotein receptor

Publications (1)

Recent publications for all applications. Explore the full list and refine your search

Frontiers in endocrinology 11:535 PubMed32982961

2020

CRLF1-MYH9 Interaction Regulates Proliferation and Metastasis of Papillary Thyroid Carcinoma Through the ERK/ETV4 Axis.

Applications

Unspecified application

Species

Unspecified reactive species

Shi-Tong Yu,Bai-Hui Sun,Jun-Na Ge,Jiao-Long Shi,Man-Sheng Zhu,Zhi-Gang Wei,Ting-Ting Li,Zhi-Cheng Zhang,Wei-Sheng Chen,Shang-Tong Lei
View all publications

Product promise

We are committed to supporting your work with high-quality reagents, and we're here for you every step of the way. In the unlikely event that one of our products does not perform as expected, you're protected by our Product Promise.
For full details, please see our Terms & Conditions

Please note: All products are 'FOR RESEARCH USE ONLY. NOT FOR USE IN DIAGNOSTIC OR THERAPEUTIC PROCEDURES'.

For licensing inquiries, please contact partnerships@abcam.com