JavaScript is disabled in your browser. Please enable JavaScript to view this website.
AB249429

Anti-LDLC antibody [EPR10896] - BSA and Azide free

Be the first to review this product! Submit a review

|

(0 Publication)

Rabbit Recombinant Monoclonal LDLC antibody. Carrier free. Suitable for IHC-P, WB and reacts with Human samples.

View Alternative Names

LDLC, COG2, Conserved oligomeric Golgi complex subunit 2, COG complex subunit 2, Component of oligomeric Golgi complex 2, Low density lipoprotein receptor defect C-complementing protein

3 Images
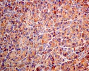
Immunohistochemistry (Formalin/PFA-fixed paraffin-embedded sections) - Anti-LDLC antibody [EPR10896] - BSA and Azide free (AB249429)
  • IHC-P

Unknown

Immunohistochemistry (Formalin/PFA-fixed paraffin-embedded sections) - Anti-LDLC antibody [EPR10896] - BSA and Azide free (AB249429)

This data was developed using ab167416, the same antibody clone in a different buffer formulation.

Immunohistochemical analysis of paraffin-embedded Human pancreas tissue labeling LDLC with ab167416 at 1/50 dilution.

Perform heat mediated antigen retrieval with citrate buffer pH 6 before commencing with IHC staining protocol.

Western blot - Anti-LDLC antibody [EPR10896] - BSA and Azide free (AB249429)
  • WB

Unknown

Western blot - Anti-LDLC antibody [EPR10896] - BSA and Azide free (AB249429)

This data was developed using ab167416, the same antibody clone in a different buffer formulation.

All lanes:

Western blot - Anti-LDLC antibody [EPR10896] (<a href='/en-us/products/primary-antibodies/ldlc-antibody-epr10896-ab167416'>ab167416</a>) at 1/1000 dilution

Lane 1:

Fetal lung tissue lysate at 10 µg

Lane 2:

Fetal brain tissue lysate at 10 µg

Lane 3:

HeLa cell lysate at 10 µg

Lane 4:

HepG2 cell lysate at 10 µg

Secondary

All lanes:

Goat anti-rabbit HRP antibody at 1/2000 dilution

Predicted band size: 83 kDa

false

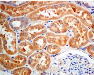
Immunohistochemistry (Formalin/PFA-fixed paraffin-embedded sections) - Anti-LDLC antibody [EPR10896] - BSA and Azide free (AB249429)
  • IHC-P

Unknown

Immunohistochemistry (Formalin/PFA-fixed paraffin-embedded sections) - Anti-LDLC antibody [EPR10896] - BSA and Azide free (AB249429)

This data was developed using ab167416, the same antibody clone in a different buffer formulation.

Immunohistochemical analysis of paraffin-embedded Human kidney tissue labeling LDLC with ab167416 at 1/50 dilution.

Perform heat mediated antigen retrieval with citrate buffer pH 6 before commencing with IHC staining protocol.

Key facts

Host species

Rabbit

Clonality

Monoclonal

Clone number

EPR10896

Isotype

IgG

Carrier free

Yes

Reacts with

Human

Applications

IHC-P, WB

applications

Immunogen

The exact immunogen used to generate this antibody is proprietary information.

Reactivity data

{ "title": "Reactivity Data", "filters": { "stats": ["", "Species", "Dilution Info", "Notes"], "tabs": { "all-applications": {"fullname" : "All Applications", "shortname": "All Applications"}, "IHCP" : {"fullname" : "Immunohistochemistry (Formalin/PFA-fixed paraffin-embedded sections)", "shortname":"IHC-P"}, "IP" : {"fullname" : "Immunoprecipitation", "shortname":"IP"}, "WB" : {"fullname" : "Western blot", "shortname":"WB"}, "ICCIF" : {"fullname" : "Immunocytochemistry/ Immunofluorescence", "shortname":"ICC/IF"} }, "product-promise": { "all": "all", "testedAndGuaranteed": "tested", "guaranteed": "expected", "predicted": "predicted", "notRecommended": "not-recommended" } }, "values": { "Human": { "IHCP-species-checked": "testedAndGuaranteed", "IHCP-species-dilution-info": "", "IHCP-species-notes": "<p></p> Perform heat-mediated antigen retrieval with citrate buffer pH 6 before commencing with IHC staining protocol.", "IP-species-checked": "notRecommended", "IP-species-dilution-info": "", "IP-species-notes": "<p></p>", "WB-species-checked": "testedAndGuaranteed", "WB-species-dilution-info": "", "WB-species-notes": "<p></p>", "ICCIF-species-checked": "notRecommended", "ICCIF-species-dilution-info": "", "ICCIF-species-notes": "<p></p>" }, "Mouse": { "IHCP-species-checked": "predicted", "IHCP-species-dilution-info": "", "IHCP-species-notes": "", "IP-species-checked": "notRecommended", "IP-species-dilution-info": "", "IP-species-notes": "", "WB-species-checked": "predicted", "WB-species-dilution-info": "", "WB-species-notes": "", "ICCIF-species-checked": "notRecommended", "ICCIF-species-dilution-info": "", "ICCIF-species-notes": "" }, "Rat": { "IHCP-species-checked": "predicted", "IHCP-species-dilution-info": "", "IHCP-species-notes": "", "IP-species-checked": "notRecommended", "IP-species-dilution-info": "", "IP-species-notes": "", "WB-species-checked": "predicted", "WB-species-dilution-info": "", "WB-species-notes": "", "ICCIF-species-checked": "notRecommended", "ICCIF-species-dilution-info": "", "ICCIF-species-notes": "" } } }

Product details

ab249429 is the carrier-free version of ab167416.

Patented technology
Our RabMAb® technology is a patented hybridoma-based technology for making rabbit monoclonal antibodies. For details on our patents, please refer to RabMAb® patents.

What are the advantages of a recombinant monoclonal antibody?
This product is a recombinant monoclonal antibody, which offers several advantages including:

  • - High batch-to-batch consistency and reproducibility
  • - Improved sensitivity and specificity
  • - Long-term security of supply
  • - Animal-free batch production

For more information, read more on recombinant antibodies.

Conjugation ready
Our carrier-free antibodies are typically supplied in a PBS-only formulation, purified and free of BSA, sodium azide and glycerol. This conjugation-ready format is designed for use with fluorochromes, metal isotopes, oligonucleotides, and enzymes, which makes them ideal for antibody labelling, functional and cell-based assays, flow-based assays (e.g. mass cytometry) and Multiplex Imaging applications.

Use our conjugation kits for antibody conjugates that are ready-to-use in as little as 20 minutes with 1 minute hands-on-time and 100% antibody recovery: available for fluorescent dyes, HRP, biotin and gold.

Compatibility
This product is compatible with the Maxpar® Antibody Labeling Kit from Fluidigm, without the need for antibody preparation. Maxpar® is a trademark of Fluidigm Canada Inc.

Properties and storage information

Form
Liquid
Purification technique
Affinity purification Protein A
Storage buffer
pH: 7.2 - 7.4 Constituents: PBS
Shipped at conditions
Blue Ice
Appropriate short-term storage conditions
+4°C
Appropriate long-term storage conditions
+4°C
Storage information
Do Not Freeze

Supplementary information

This supplementary information is collated from multiple sources and compiled automatically.

LDLC also known as Low-Density Lipoprotein Cholesterol is a significant component of the plasma lipid transport system. It plays a mechanical role in transporting cholesterol to peripheral tissues. The molecular mass of LDLC varies depending on the size of the lipoprotein particles typically ranging from 2000 to 3000 kDa. LDLC prominently circulates in the blood and is widely expressed throughout the body particularly in liver and intestines where it is synthesized and secreted.
Biological function summary

LDLC serves as the primary cholesterol carrier and is essential for cellular membrane synthesis and maintenance. It forms a complex with apolipoproteins such as ApoB-100 which facilitate interaction with LDL receptors on cell surfaces. This interaction enables the uptake of cholesterol for use in intracellular processes. LDL particles derive from very low-density lipoproteins (VLDL) following triglyceride depletion emphasizing their role in lipid metabolism.

Pathways

The cholesterol transport and lipid metabolism pathways involve LDLC as a core component. One important pathway is the mevalonate pathway where it links to biosynthesis of cholesterol steroids and isoprenoids. The protein SREBP (Sterol Regulatory Element Binding Protein) regulates the expression of LDL receptors impacting cholesterol uptake efficiency. Another relevant pathway is the reverse cholesterol transport pathway involving ApoA-I where excess cholesterol from tissues returns to the liver for excretion.

LDLC is strongly associated with cardiovascular diseases especially atherosclerosis. Elevated levels of LDLC contribute to plaque formation in arterial walls leading to heart diseases. Familial hypercholesterolemia a genetic disorder also links to increased LDLC levels due to defective LDL receptors caused by mutations in the LDLR gene. Apolipoprotein E (ApoE) polymorphisms further affect the clearance rate of LDLC influencing susceptibility to these conditions.

Product protocols

For this product, it's our understanding that no specific protocols are required. You can visit:

Target data

Required for normal Golgi morphology and function.
See full target information COG2

Product promise

We are committed to supporting your work with high-quality reagents, and we're here for you every step of the way. In the unlikely event that one of our products does not perform as expected, you're protected by our Product Promise.
For full details, please see our Terms & Conditions

Please note: All products are 'FOR RESEARCH USE ONLY. NOT FOR USE IN DIAGNOSTIC OR THERAPEUTIC PROCEDURES'.

For licensing inquiries, please contact partnerships@abcam.com