JavaScript is disabled in your browser. Please enable JavaScript to view this website.
AB53293

Anti-LEF1 antibody [EP2030Y]

4

(2 Reviews)

|

(17 Publications)

Rabbit Recombinant Monoclonal LEF1 antibody. Suitable for WB, ICC/IF, Flow Cyt (Intra), IHC-P and reacts with Human samples. Cited in 17 publications.

View Alternative Names

Lymphoid enhancer-binding factor 1, LEF-1, T cell-specific transcription factor 1-alpha, TCF1-alpha, LEF1

9 Images
Flow Cytometry (Intracellular) - Anti-LEF1 antibody [EP2030Y] (AB53293)
  • Flow Cyt (Intra)

Unknown

Flow Cytometry (Intracellular) - Anti-LEF1 antibody [EP2030Y] (AB53293)

Intracellular Flow Cytometry analysis of Jurkat (Human T cell leukemia T lymphocyte) cells labeling LEF1 with purified ab53293 at 1/20 dilution (10μg/ml) (red). Cells were fixed with 4% Paraformaldehyde and permeabilised with 90% Methanol. A Goat anti rabbit IgG (Alexa Fluorr® 488, ab150077) secondary antibody was used at 1/2000. Isotype control - Rabbit monoclonal IgG (Black). Unlabeled control - Cell without incubation with primary antibody and secondary antibody (Blue).

Immunohistochemistry (Formalin/PFA-fixed paraffin-embedded sections) - Anti-LEF1 antibody [EP2030Y] (AB53293)
  • IHC-P

Unknown

Immunohistochemistry (Formalin/PFA-fixed paraffin-embedded sections) - Anti-LEF1 antibody [EP2030Y] (AB53293)

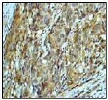
Paraffin-embedded human colon adenocarcinoma tissue stained for LEF1 using ab53293 (unpurified) at 1/50 dilution in immunohistochemical analysis.

Immunohistochemistry (Formalin/PFA-fixed paraffin-embedded sections) - Anti-LEF1 antibody [EP2030Y] (AB53293)
  • IHC-P

Unknown

Immunohistochemistry (Formalin/PFA-fixed paraffin-embedded sections) - Anti-LEF1 antibody [EP2030Y] (AB53293)

Immunohistochemistry (Formalin/PFA-fixed paraffin-embedded sections) analysis of Human tonsil tissue sections labeling LEF1 with purified ab53293 at 1/50 dilution (1.94 μg/ml). Heat mediated antigen retrieval was performed using heat mediated antigen retrieval using ab93684 (Tris/EDTA buffer, pH 9.0). ImmunoHistoProbe one step HRP Polymer (ready to use) was used as the secondary antibody. Negative control : PBS instead of the primary antibody. Hematoxylin was used as a counterstain.

Immunocytochemistry/ Immunofluorescence - Anti-LEF1 antibody [EP2030Y] (AB53293)
  • ICC/IF

Unknown

Immunocytochemistry/ Immunofluorescence - Anti-LEF1 antibody [EP2030Y] (AB53293)

Immunocytochemistry/ Immunofluorescence analysis of Jurkat (Human T cell leukemia T lymphocyte) cells labeling LEF1 with purified ab53293 at 1/50 dilution (2.0 μg/ml). Cells were fixed in 100% Methanol. Cells were counterstained with ab195889 Anti-alpha Tubulin antibody [DM1A] - Microtubule Marker (Alexa Fluor® 594) at 1 : 200 (2.5 μg/ml). Goat anti rabbit IgG (Alexa Fluor® 488, ab150077) was used as the secondary antibody at 1/1000 (2 μg/ml) dilution. DAPI (blue) was used as nuclear counterstain. PBS instead of the primary antibody was used as the secondary antibody only control.

Flow Cytometry (Intracellular) - Anti-LEF1 antibody [EP2030Y] (AB53293)
  • Flow Cyt (Intra)

Unknown

Flow Cytometry (Intracellular) - Anti-LEF1 antibody [EP2030Y] (AB53293)

Intracellular flow cytometric analysis of permeabilized Jurkat cells using ab53293 (unpurified) (red) or a rabbit IgG (negative) (green).

Western blot - Anti-LEF1 antibody [EP2030Y] (AB53293)
  • WB

Lab

Western blot - Anti-LEF1 antibody [EP2030Y] (AB53293)

False colour image of Western blot : Anti-LEF1 antibody [EP2030Y] staining at 1/5000 dilution, shown in black; Mouse anti-Alpha Tubulin [DM1A] (ab7291) loading control staining at 1/20000 dilution, shown in red. In Western blot, ab53293 was shown to bind specifically to LEF1. A band was observed at 40/53 kDa in wild-type Jurkat cell lysates with no signal observed at this size in Lef1 knockout cell line ab274898 (knockout cell lysate ab274956). To generate this image, wild-type and Lef1 knockout Jurkat cell lysates were analysed. First, samples were run on an SDS-PAGE gel then transferred onto a nitrocellulose membrane. Membranes were blocked in 3% milk in TBS-0.1 % Tween® 20 (TBS-T) before incubation with primary antibodies overnight at 4°C. Blots were washed four times in TBS-T, incubated with secondary antibodies for 1 h at room temperature, washed again four times before development with Optiblot (ECL reagent ab133456) and imaged with 8 minutes exposure time. Secondary antibodies used were HRP conjugated Goat anti-Rabbit (H+L) and Goat anti-Mouse IgG H&L (IRDye® 680RD) preabsorbed (ab216776) at 1/20000 dilution.

All lanes:

Western blot - Anti-LEF1 antibody [EP2030Y] (ab53293) at 1/5000 dilution

Lane 1:

Wild-type Jurkat cell lysate at 40 µg

Lane 2:

Lef1 knockout Jurkat cell lysate at 40 µg

Lane 2:

Western blot - Human LEF1 knockout Jurkat cell line (<a href='/en-us/products/cell-lines/human-lef1-knockout-jurkat-cell-line-ab274898'>ab274898</a>)

Lane 3:

Jurkat cell lysate at 20 µg

Predicted band size: 44 kDa

Observed band size: 40 kDa

false

Western blot - Anti-LEF1 antibody [EP2030Y] (AB53293)
  • WB

Lab

Western blot - Anti-LEF1 antibody [EP2030Y] (AB53293)

This antibody recognizes all 7 LEF1 isoforms with the MW ranging from 23 to 44 KD based on immunogen blast.

All lanes:

Western blot - Anti-LEF1 antibody [EP2030Y] (ab53293) at 1/5000 dilution

All lanes:

Jurkat (Human T cell leukemia T lymphocyte) whole cell lysates at 15 µg

Secondary

All lanes:

Western blot - Goat Anti-Rabbit IgG H&L (HRP) (<a href='/en-us/products/secondary-antibodies/goat-rabbit-igg-h-l-hrp-ab97051'>ab97051</a>) at 1/20000 dilution

Predicted band size: 44 kDa

Observed band size: 23-44 kDa

false

Immunocytochemistry/ Immunofluorescence - Anti-LEF1 antibody [EP2030Y] (AB53293)
  • ICC/IF

Unknown

Immunocytochemistry/ Immunofluorescence - Anti-LEF1 antibody [EP2030Y] (AB53293)

ab53293 (unpurified) staining LEF1 in RAMOS (human Burkitt's lymphoma) cells by ICC/IF (Immunocytochemistry/immunofluorescence). Cells were fixed with 4% paraformaldehyde and permeabilized with 0.1% Triton X-100. Samples were incubated with primary antibody at a dilution of 1/500. A goat anti rabbit IgG (Alexa Fluor® 488) (ab150077) was used as the secondary antibody at a dilution of 1/1000. DAPI was used as a nuclear counterstain and the negative control was PBS only.

Western blot - Anti-LEF1 antibody [EP2030Y] (AB53293)
  • WB

CiteAb

Western blot - Anti-LEF1 antibody [EP2030Y] (AB53293)

LEF1 western blot using anti-LEF1 antibody [EP2030Y] ab53293. Publication image and figure legend from Tang, L., Chen, Y., et al., 2020, J Cancer, PubMed 31897227.

ab53293 was used in this publication in western blot. This may not be the same as the application(s) guaranteed by Abcam. For a full list of applications guaranteed by Abcam for ab53293 please see the product overview.

DCST1-AS1 regulates the downstream proteins of miR-873-5p. (A) The expression level of IGF2BP1 in BRCA was analyzed by TCGA data. **, p < 0.0001. (B) TCGA data analysis showed that IGF2BP1 expressed higher levels in TNBC and luminal subtypes than normal controls, with significant differences. #, p < 0.05, *, p < 0.01. (C) The relationship between the expression of IGF2BP1 and the prognosis of BRCA patients was analyzed by TCGA data. P = 0.0054. (D) Western blot showed a decrease in the expression of IGF2BP1, MYC, LEF1 and CD44 in DCST1-AS1 interfering cells. (E) The miR-873-5p inhibitor was transfected into BT-549-si cells, and the expression of IGF2BP1 protein was measured by Western blot. (F) The miR-873-5p inhibitor was transfected into BT-549-si cells and cell proliferation was measured by CCK8 assay. *, p < 0.01. (G) The miR-873-5p inhibitor was transfected into BT-549-si cells and cell migration was measured by wound healing assay. *, p < 0.01.

false

  • 578 PE

    PE Anti-LEF1 antibody [EP2030Y]

  • Carrier free

    Anti-LEF1 antibody [EP2030Y] - BSA and Azide free

Key facts

Host species

Rabbit

Clonality

Monoclonal

Clone number

EP2030Y

Isotype

IgG

Carrier free

No

Reacts with

Human

Applications

ICC/IF, WB, Flow Cyt (Intra), IHC-P

applications

Immunogen

The exact immunogen used to generate this antibody is proprietary information.

Reactivity data

{ "title": "Reactivity Data", "filters": { "stats": ["", "Species", "Dilution Info", "Notes"], "tabs": { "all-applications": {"fullname" : "All Applications", "shortname": "All Applications"}, "WB" : {"fullname" : "Western blot", "shortname":"WB"}, "ICCIF" : {"fullname" : "Immunocytochemistry/ Immunofluorescence", "shortname":"ICC/IF"}, "FlowCytIntra" : {"fullname" : "Flow Cytometry (Intracellular)", "shortname":"Flow Cyt (Intra)"}, "IHCP" : {"fullname" : "Immunohistochemistry (Formalin/PFA-fixed paraffin-embedded sections)", "shortname":"IHC-P"} }, "product-promise": { "all": "all", "testedAndGuaranteed": "tested", "guaranteed": "expected", "predicted": "predicted", "notRecommended": "not-recommended" } }, "values": { "Human": { "WB-species-checked": "testedAndGuaranteed", "WB-species-dilution-info": "1/5000", "WB-species-notes": "<p><strong>For unpurified format use at 1/1000 dilution.</strong></p>", "ICCIF-species-checked": "testedAndGuaranteed", "ICCIF-species-dilution-info": "1/50 - 1/250", "ICCIF-species-notes": "<p></p>", "FlowCytIntra-species-checked": "testedAndGuaranteed", "FlowCytIntra-species-dilution-info": "1/20", "FlowCytIntra-species-notes": "<p><a href='/en-us/products/primary-antibodies/rabbit-igg-monoclonal-epr25a-isotype-control-ab172730'>ab172730</a> - Rabbit monoclonal IgG, is suitable for use as an isotype control with this antibody.</p>", "IHCP-species-checked": "testedAndGuaranteed", "IHCP-species-dilution-info": "1/50", "IHCP-species-notes": "<p></p> Perform heat-mediated antigen retrieval with Tris/EDTA buffer pH 9.0 before commencing with IHC staining protocol." } } }

Product details

Species reactivity
Mouse, Rat: We have preliminary internal testing data to indicate this antibody may not react with these species.
Please contact us for more information.

Patented technology
Our RabMAb® technology is a patented hybridoma-based technology for making rabbit monoclonal antibodies. For details on our patents, please refer to RabMAb® patents.

What are the advantages of a recombinant monoclonal antibody?
This product is a recombinant monoclonal antibody, which offers several advantages including:

  • - High batch-to-batch consistency and reproducibility
  • - Improved sensitivity and specificity
  • - Long-term security of supply
  • - Animal-free batch production

For more information, read more on recombinant antibodies.

Properties and storage information

Form
Liquid
Purification technique
Affinity purification Protein A
Storage buffer
pH: 7.2 - 7.4 Preservative: 0.01% Sodium azide Constituents: PBS, 40% Glycerol (glycerin, glycerine), 0.05% BSA
Shipped at conditions
Blue Ice
Appropriate short-term storage duration
1-2 weeks
Appropriate short-term storage conditions
+4°C
Appropriate long-term storage conditions
-20°C
Aliquoting information
Upon delivery aliquot
Storage information
Avoid freeze / thaw cycle

Supplementary information

This supplementary information is collated from multiple sources and compiled automatically.

LEF1 also known as lymphoid enhancer-binding factor 1 is a transcription factor important in the Wnt signaling pathway. It typically weighs around 44 kDa. This protein contains a high-mobility group (HMG) box domain that enables it to bind specifically to DNA and influence gene expression. LEF1 is primarily expressed in tissues with active Wnt signaling including developing organs and certain cell types like T-cells specifically Jurkat cells. Researchers use LEF1 protein immunohistochemistry (LEF1 IHC) and LEF1 markers for expression analysis in different tissues.
Biological function summary

The LEF1 transcription factor plays a significant role in cellular processes such as cell differentiation proliferation and embryonic development. As part of the Wnt signaling complex it interacts with β-catenin to regulate target gene expression. Activation of Wnt signaling by LEF1 can lead to changes in the cellular structure and function necessary for tissue development and regeneration. LEF1 also contributes to maintaining the pluripotency of stem cells by modulating gene networks critical for stem cell properties.

Pathways

The LEF1 protein is essential in Wnt/β-catenin signaling and influences the Hedgehog pathway. LEF1 pairs with β-catenin to drive the transcription of Wnt target genes involved in cell cycle and differentiation. These pathways maintain stem cell populations and regulate development. LEF1's function in these pathways links it closely to other factors like TCF7L2 and GLI family proteins which also play vital roles within these signaling cascades.

LEF1 can be linked to conditions such as cancer and immune-related diseases. Overexpression or mutation of the LEF1 protein can lead to various types of cancers including leukemia and colorectal cancer by promoting abnormal cell proliferation and survival. LEF1's role in the immune system also associates it with autoimmune diseases where dysregulation of Wnt signaling might contribute to disease progression. Altered interactions between LEF1 and β-catenin or other associated proteins can disrupt normal cellular activities leading to these pathologies.

Product protocols

For this product, it's our understanding that no specific protocols are required. You can visit:

Target data

Transcription factor that binds DNA in a sequence-specific manner (PubMed : 2010090). Participates in the Wnt signaling pathway (By similarity). Activates transcription of target genes in the presence of CTNNB1 and EP300 (By similarity). PIAG antagonizes both Wnt-dependent and Wnt-independent activation by LEF1 (By similarity). TLE1, TLE2, TLE3 and TLE4 repress transactivation mediated by LEF1 and CTNNB1 (PubMed : 11266540). Regulates T-cell receptor alpha enhancer function (PubMed : 19653274). Required for IL17A expressing gamma-delta T-cell maturation and development, via binding to regulator loci of BLK to modulate expression (By similarity). Acts as a positive regulator of odontoblast differentiation during mesenchymal tooth germ formation, expression is repressed during the bell stage by MSX1-mediated inhibition of CTNNB1 signaling (By similarity). May play a role in hair cell differentiation and follicle morphogenesis (By similarity).. Isoform 1. Transcriptionally activates MYC and CCND1 expression and enhances proliferation of pancreatic tumor cells.. Isoform 3. Lacks the CTNNB1 interaction domain and may therefore be an antagonist for Wnt signaling.. Isoform 5. Transcriptionally activates the fibronectin promoter, binds to and represses transcription from the E-cadherin promoter in a CTNNB1-independent manner, and is involved in reducing cellular aggregation and increasing cell migration of pancreatic cancer cells.
See full target information LEF1_HUMAN

Publications (17)

Recent publications for all applications. Explore the full list and refine your search

Annals of medicine 57:2490823 PubMed40219757

2025

Corticotropin-releasing hormone inhibits autophagy by suppressing PTEN to promote apoptosis in dermal papilla cells.

Applications

Unspecified application

Species

Unspecified reactive species

Wenzi Liang,Xiuwen Chen,Na Ni,Chutong Zhuang,Zhiying Yu,Ziqing Xu,Yingshi Li,Changmin Lin,Keng Huang

The ocular surface 29:301-310 PubMed37268293

2023

Manufacturing of human corneal endothelial grafts.

Applications

Unspecified application

Species

Unspecified reactive species

Ying-Ting Zhu,Sean Tighe,Shuang-Ling Chen,Yuan Zhang,Szu-Yu Chen,Winston W Y Kao,Scheffer C G Tseng

European journal of haematology 109:513-518 PubMed35871391

2022

Loss of LEF-1 expression as a diagnostic indicator for extranodal NK/T-cell lymphoma: An immunohistochemical study of 88 cases.

Applications

Unspecified application

Species

Unspecified reactive species

Cen Qiu,Guangye Du

International journal of molecular sciences 22: PubMed34639214

2021

LEF1 Enhances the Progression of Colonic Adenocarcinoma via Remodeling the Cell Motility Associated Structures.

Applications

Unspecified application

Species

Unspecified reactive species

Li Xiao,Caixia Zhang,Xinyao Li,Chenshuang Jia,Lirong Chen,Yue Yuan,Qian Gao,Zheng Lu,Yang Feng,Ruixia Zhao,Xuewei Zhao,Sinan Cheng,Zhan Shu,Jie Xu,Wei Duan,Guochao Nie,Yingchun Hou

Molecular therapy : the journal of the American So 28:946-962 PubMed31982037

2020

Long Noncoding RNA NHEG1 Drives β-Catenin Transactivation and Neuroblastoma Progression through Interacting with DDX5.

Applications

Unspecified application

Species

Unspecified reactive species

Xiang Zhao,Dan Li,Feng Yang,Heng Lian,Jianqun Wang,Xiaojing Wang,Erhu Fang,Huajie Song,Anpei Hu,Yanhua Guo,Yang Liu,Hongjun Li,Yajun Chen,Kai Huang,Liduan Zheng,Qiangsong Tong

Journal of Cancer 11:311-323 PubMed31897227

2020

Long Noncoding RNA Promotes Cell Proliferation and Metastasis in Triple-negative Breast Cancer by Forming a Positive Regulatory Loop with miR-873-5p and MYC.

Applications

Unspecified application

Species

Unspecified reactive species

Li Tang,Yuli Chen,Xun Tang,Da Wei,Xinyu Xu,Feng Yan

Cellular and molecular gastroenterology and hepatology 7:515-532 PubMed30528300

2018

NFKB1 and MANBA Confer Disease Susceptibility to Primary Biliary Cholangitis via Independent Putative Primary Functional Variants.

Applications

Unspecified application

Species

Unspecified reactive species

Yuki Hitomi,Ken Nakatani,Kaname Kojima,Nao Nishida,Yosuke Kawai,Minae Kawashima,Yoshihiro Aiba,Masao Nagasaki,Minoru Nakamura,Katsushi Tokunaga

Biomedicine & pharmacotherapy = Biomedecine & phar 108:817-827 PubMed30372893

2018

LEF-1 gene silencing inhibits pulmonary vascular remodeling and occurrence of pulmonary arterial hypertension through the β-catenin signaling pathway.

Applications

Unspecified application

Species

Unspecified reactive species

Xian-Feng Zhang,Yang Yang,Xin-Yu Yang,Qian Tong

Tumour biology : the journal of the International Society for Oncodevelopmental Biology and Medicine 39:1010428317709467 PubMed28639890

2017

MiR-557 works as a tumor suppressor in human lung cancers by negatively regulating LEF1 expression.

Applications

Unspecified application

Species

Unspecified reactive species

Jiayong Qiu,Yingying Hao,Shenshen Huang,Yaqing Ma,Xiaofang Li,Danyang Li,Yimin Mao

Archives of oral biology 81:110-120 PubMed28500952

2017

Isolation and characterization of lymphoid enhancer factor-1-positive deciduous dental pulp stem-like cells after transfection with a piggyBac vector containing LEF1 promoter-driven selection markers.

Applications

ICC/IF

Species

Human

Tomoya Murakami,Issei Saitoh,Masahiro Sato,Emi Inada,Miki Soda,Masataka Oda,Hisanori Domon,Yoko Iwase,Tadashi Sawami,Kazunari Matsueda,Yutaka Terao,Hayato Ohshima,Hirofumi Noguchi,Haruaki Hayasaki
View all publications

Product promise

We are committed to supporting your work with high-quality reagents, and we're here for you every step of the way. In the unlikely event that one of our products does not perform as expected, you're protected by our Product Promise.
For full details, please see our Terms & Conditions

Please note: All products are 'FOR RESEARCH USE ONLY. NOT FOR USE IN DIAGNOSTIC OR THERAPEUTIC PROCEDURES'.

For licensing inquiries, please contact partnerships@abcam.com