JavaScript is disabled in your browser. Please enable JavaScript to view this website.
AB227562

Anti-LEF1 antibody [EP2030Y] - BSA and Azide free

Be the first to review this product! Submit a review

|

(6 Publications)

Rabbit Recombinant Monoclonal LEF1 antibody. Carrier free. Suitable for WB, ICC/IF, Flow Cyt (Intra), IHC-P and reacts with Human samples. Cited in 6 publications.

View Alternative Names

Lymphoid enhancer-binding factor 1, LEF-1, T cell-specific transcription factor 1-alpha, TCF1-alpha, LEF1

7 Images
Immunocytochemistry/ Immunofluorescence - Anti-LEF1 antibody [EP2030Y] - BSA and Azide free (AB227562)
  • ICC/IF

Unknown

Immunocytochemistry/ Immunofluorescence - Anti-LEF1 antibody [EP2030Y] - BSA and Azide free (AB227562)

Immunocytochemistry/ Immunofluorescence analysis of Jurkat (Human T cell leukemia T lymphocyte) cells labeling LEF1 with purified ab53293 at 1/50 dilution (2.0 μg/ml). Cells were fixed in 100% Methanol. Cells were counterstained with ab195889 Anti-alpha Tubulin antibody [DM1A] - Microtubule Marker (Alexa Fluor® 594) at 1/200 (2.5 μg/ml). Goat anti rabbit IgG (Alexa Fluor® 488, ab150077) was used as the secondary antibody at 1/1000 (2 μg/ml) dilution. DAPI (blue) was used as nuclear counterstain. PBS instead of the primary antibody was used as the secondary antibody only control.

This data was developed using the same antibody clone in a different buffer formulation containing PBS, BSA, glycerol, and sodium azide (ab53293).

Immunohistochemistry (Formalin/PFA-fixed paraffin-embedded sections) - Anti-LEF1 antibody [EP2030Y] - BSA and Azide free (AB227562)
  • IHC-P

Unknown

Immunohistochemistry (Formalin/PFA-fixed paraffin-embedded sections) - Anti-LEF1 antibody [EP2030Y] - BSA and Azide free (AB227562)

This IHC data was generated using the same anti-LEF1 antibody clone, EP2030Y, in a different buffer formulation (cat# ab53293).

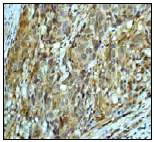
ab53293 (unpurified) (1 : 50) staining human LEF1 in human colon adenocarcinoma tissue by immunohistochemistry using paraffin embedded tissue.

Immunohistochemistry (Formalin/PFA-fixed paraffin-embedded sections) - Anti-LEF1 antibody [EP2030Y] - BSA and Azide free (AB227562)
  • IHC-P

Unknown

Immunohistochemistry (Formalin/PFA-fixed paraffin-embedded sections) - Anti-LEF1 antibody [EP2030Y] - BSA and Azide free (AB227562)

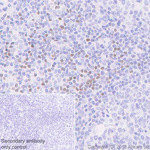
Immunohistochemistry (Formalin/PFA-fixed paraffin-embedded sections) analysis of Human tonsil tissue sections labeling LEF1 with purified ab53293 at 1/50 dilution (1.94 μg/ml). Heat mediated antigen retrieval was performed using ab93684 (Tris/EDTA buffer, pH 9.0). ImmunoHistoProbe one step HRP Polymer (ready to use) was used as the secondary antibody. Negative control : PBS instead of the primary antibody. Hematoxylin was used as a counterstain.

This data was developed using the same antibody clone in a different buffer formulation containing PBS, BSA, glycerol, and sodium azide (ab53293).

Flow Cytometry (Intracellular) - Anti-LEF1 antibody [EP2030Y] - BSA and Azide free (AB227562)
  • Flow Cyt (Intra)

Unknown

Flow Cytometry (Intracellular) - Anti-LEF1 antibody [EP2030Y] - BSA and Azide free (AB227562)

Intracellular flow cytometric analysis of permeabilized Jurkat cells using ab53293 (unpurified) (red) or a rabbit IgG (negative) (green).

This data was developed using the same antibody clone in a different buffer formulation containing PBS, BSA, glycerol, and sodium azide (ab53293).

Flow Cytometry (Intracellular) - Anti-LEF1 antibody [EP2030Y] - BSA and Azide free (AB227562)
  • Flow Cyt (Intra)

Unknown

Flow Cytometry (Intracellular) - Anti-LEF1 antibody [EP2030Y] - BSA and Azide free (AB227562)

Intracellular Flow Cytometry analysis of Jurkat (Human T cell leukemia T lymphocyte) cells labeling LEF1 with purified ab53293 at 1/20 dilution (10μg/ml) (red). Cells were fixed with 4% Paraformaldehyde and permeabilised with 90% Methanol. A Goat anti rabbit IgG (Alexa Fluor® 488, ab150077) secondary antibody was used at 1/2000. Isotype control - Rabbit monoclonal IgG (Black). Unlabeled control - Cell without incubation with primary antibody and secondary antibody (Blue).

This data was developed using the same antibody clone in a different buffer formulation containing PBS, BSA, glycerol, and sodium azide (ab53293).

Western blot - Anti-LEF1 antibody [EP2030Y] - BSA and Azide free (AB227562)
  • WB

Lab

Western blot - Anti-LEF1 antibody [EP2030Y] - BSA and Azide free (AB227562)

False colour image of Western blot : Anti-LEF1 antibody [EP2030Y] staining at 1/5000 dilution, shown in black; Mouse anti-Alpha Tubulin [DM1A] (ab7291) loading control staining at 1/20000 dilution, shown in red. In Western blot, ab53293 was shown to bind specifically to LEF1. A band was observed at 40/53 kDa in wild-type Jurkat cell lysates with no signal observed at this size in Lef1 knockout cell line ab274898 (knockout cell lysate ab274956). To generate this image, wild-type and Lef1 knockout Jurkat cell lysates were analysed. First, samples were run on an SDS-PAGE gel then transferred onto a nitrocellulose membrane. Membranes were blocked in 3 % milk in TBS-0.1 % Tween® 20 (TBS-T) before incubation with primary antibodies overnight at 4 °C. Blots were washed four times in TBS-T, incubated with secondary antibodies for 1 h at room temperature, washed again four times before development with Optiblot (ECL reagent ab133456) and imaged with 8 minutes exposure time. Secondary antibodies used were HRP conjugated Goat anti-Rabbit (H+L) and Goat anti-Mouse IgG H&L (IRDye® 680RD) preabsorbed (ab216776) at 1/20000 dilution.

This data was developed using the same antibody clone in a different buffer formulation containing PBS, BSA, glycerol, and sodium azide (ab53293).

All lanes:

Western blot - Anti-LEF1 antibody [EP2030Y] (<a href='/en-us/products/primary-antibodies/lef1-antibody-ep2030y-ab53293'>ab53293</a>) at 1/5000 dilution

Lane 1:

Wild-type Jurkat cell lysate at 40 µg

Lane 2:

Lef1 knockout Jurkat cell lysate at 40 µg

Lane 2:

Western blot - Human LEF1 knockout Jurkat cell line (<a href='/en-us/products/cell-lines/human-lef1-knockout-jurkat-cell-line-ab274898'>ab274898</a>)

Lane 3:

Jurkat cell lysate at 20 µg

Predicted band size: 44 kDa

Observed band size: 40 kDa

false

Immunocytochemistry/ Immunofluorescence - Anti-LEF1 antibody [EP2030Y] - BSA and Azide free (AB227562)
  • ICC/IF

Unknown

Immunocytochemistry/ Immunofluorescence - Anti-LEF1 antibody [EP2030Y] - BSA and Azide free (AB227562)

ab53293 (unpurified) staining LEF1 in RAMOS (human Burkitt's lymphoma) cells by ICC/IF (Immunocytochemistry/immunofluorescence). Cells were fixed with 4% paraformaldehyde and permeabilized with 0.1% Triton X-100. Samples were incubated with primary antibody at a dilution of 1/500. A goat anti rabbit IgG (Alexa Fluor® 488) (ab150077) was used as the secondary antibody at a dilution of 1/1000. DAPI was used as a nuclear counterstain and the negative control was PBS only.

This data was developed using the same antibody clone in a different buffer formulation containing PBS, BSA, glycerol, and sodium azide (ab53293).

  • Unconjugated

    Anti-LEF1 antibody [EP2030Y]

  • 578 PE

    PE Anti-LEF1 antibody [EP2030Y]

Key facts

Host species

Rabbit

Clonality

Monoclonal

Clone number

EP2030Y

Isotype

IgG

Carrier free

Yes

Reacts with

Human

Applications

IHC-P, WB, ICC/IF, Flow Cyt (Intra)

applications

Immunogen

The exact immunogen used to generate this antibody is proprietary information.

Reactivity data

{ "title": "Reactivity Data", "filters": { "stats": ["", "Species", "Dilution Info", "Notes"], "tabs": { "all-applications": {"fullname" : "All Applications", "shortname": "All Applications"}, "WB" : {"fullname" : "Western blot", "shortname":"WB"}, "ICCIF" : {"fullname" : "Immunocytochemistry/ Immunofluorescence", "shortname":"ICC/IF"}, "FlowCytIntra" : {"fullname" : "Flow Cytometry (Intracellular)", "shortname":"Flow Cyt (Intra)"}, "IHCP" : {"fullname" : "Immunohistochemistry (Formalin/PFA-fixed paraffin-embedded sections)", "shortname":"IHC-P"} }, "product-promise": { "all": "all", "testedAndGuaranteed": "tested", "guaranteed": "expected", "predicted": "predicted", "notRecommended": "not-recommended" } }, "values": { "Human": { "WB-species-checked": "testedAndGuaranteed", "WB-species-dilution-info": "", "WB-species-notes": "<p></p>", "ICCIF-species-checked": "testedAndGuaranteed", "ICCIF-species-dilution-info": "", "ICCIF-species-notes": "<p></p>", "FlowCytIntra-species-checked": "testedAndGuaranteed", "FlowCytIntra-species-dilution-info": "", "FlowCytIntra-species-notes": "<p><a href='/en-us/products/primary-antibodies/rabbit-igg-monoclonal-epr25a-isotype-control-low-endotoxin-azide-free-ab199376'>ab199376</a> - Rabbit monoclonal IgG (Low endotoxin, Azide free), is suitable for use as an isotype control with this antibody.</p>", "IHCP-species-checked": "testedAndGuaranteed", "IHCP-species-dilution-info": "", "IHCP-species-notes": "<p></p>" } } }

Product details

ab227562 is the carrier-free version of ab53293.

Species reactivity
Mouse, Rat: We have preliminary internal testing data to indicate this antibody may not react with these species.
Please contact us for more information.

Patented technology
Our RabMAb® technology is a patented hybridoma-based technology for making rabbit monoclonal antibodies. For details on our patents, please refer to RabMAb® patents.

What are the advantages of a recombinant monoclonal antibody?
This product is a recombinant monoclonal antibody, which offers several advantages including:

  • - High batch-to-batch consistency and reproducibility
  • - Improved sensitivity and specificity
  • - Long-term security of supply
  • - Animal-free batch production

For more information, read more on recombinant antibodies.

Conjugation ready
Our carrier-free antibodies are typically supplied in a PBS-only formulation, purified and free of BSA, sodium azide and glycerol. This conjugation-ready format is designed for use with fluorochromes, metal isotopes, oligonucleotides, and enzymes, which makes them ideal for antibody labelling, functional and cell-based assays, flow-based assays (e.g. mass cytometry) and Multiplex Imaging applications.

Use our conjugation kits for antibody conjugates that are ready-to-use in as little as 20 minutes with 1 minute hands-on-time and 100% antibody recovery: available for fluorescent dyes, HRP, biotin and gold.

Compatibility
This product is compatible with the Maxpar® Antibody Labeling Kit from Fluidigm, without the need for antibody preparation. Maxpar® is a trademark of Fluidigm Canada Inc.

Properties and storage information

Form
Liquid
Purification technique
Affinity purification Protein A
Storage buffer
pH: 7.2 - 7.4 Constituents: PBS
Shipped at conditions
Blue Ice
Appropriate short-term storage conditions
+4°C
Appropriate long-term storage conditions
+4°C
Storage information
Do Not Freeze

Supplementary information

This supplementary information is collated from multiple sources and compiled automatically.

LEF1 also known as lymphoid enhancer-binding factor 1 is a transcription factor important in the Wnt signaling pathway. It typically weighs around 44 kDa. This protein contains a high-mobility group (HMG) box domain that enables it to bind specifically to DNA and influence gene expression. LEF1 is primarily expressed in tissues with active Wnt signaling including developing organs and certain cell types like T-cells specifically Jurkat cells. Researchers use LEF1 protein immunohistochemistry (LEF1 IHC) and LEF1 markers for expression analysis in different tissues.
Biological function summary

The LEF1 transcription factor plays a significant role in cellular processes such as cell differentiation proliferation and embryonic development. As part of the Wnt signaling complex it interacts with β-catenin to regulate target gene expression. Activation of Wnt signaling by LEF1 can lead to changes in the cellular structure and function necessary for tissue development and regeneration. LEF1 also contributes to maintaining the pluripotency of stem cells by modulating gene networks critical for stem cell properties.

Pathways

The LEF1 protein is essential in Wnt/β-catenin signaling and influences the Hedgehog pathway. LEF1 pairs with β-catenin to drive the transcription of Wnt target genes involved in cell cycle and differentiation. These pathways maintain stem cell populations and regulate development. LEF1's function in these pathways links it closely to other factors like TCF7L2 and GLI family proteins which also play vital roles within these signaling cascades.

LEF1 can be linked to conditions such as cancer and immune-related diseases. Overexpression or mutation of the LEF1 protein can lead to various types of cancers including leukemia and colorectal cancer by promoting abnormal cell proliferation and survival. LEF1's role in the immune system also associates it with autoimmune diseases where dysregulation of Wnt signaling might contribute to disease progression. Altered interactions between LEF1 and β-catenin or other associated proteins can disrupt normal cellular activities leading to these pathologies.

Product protocols

For this product, it's our understanding that no specific protocols are required. You can visit:

Target data

Transcription factor that binds DNA in a sequence-specific manner (PubMed : 2010090). Participates in the Wnt signaling pathway (By similarity). Activates transcription of target genes in the presence of CTNNB1 and EP300 (By similarity). PIAG antagonizes both Wnt-dependent and Wnt-independent activation by LEF1 (By similarity). TLE1, TLE2, TLE3 and TLE4 repress transactivation mediated by LEF1 and CTNNB1 (PubMed : 11266540). Regulates T-cell receptor alpha enhancer function (PubMed : 19653274). Required for IL17A expressing gamma-delta T-cell maturation and development, via binding to regulator loci of BLK to modulate expression (By similarity). Acts as a positive regulator of odontoblast differentiation during mesenchymal tooth germ formation, expression is repressed during the bell stage by MSX1-mediated inhibition of CTNNB1 signaling (By similarity). May play a role in hair cell differentiation and follicle morphogenesis (By similarity).. Isoform 1. Transcriptionally activates MYC and CCND1 expression and enhances proliferation of pancreatic tumor cells.. Isoform 3. Lacks the CTNNB1 interaction domain and may therefore be an antagonist for Wnt signaling.. Isoform 5. Transcriptionally activates the fibronectin promoter, binds to and represses transcription from the E-cadherin promoter in a CTNNB1-independent manner, and is involved in reducing cellular aggregation and increasing cell migration of pancreatic cancer cells.
See full target information LEF1_HUMAN

Publications (6)

Recent publications for all applications. Explore the full list and refine your search

American journal of cancer research 6:2631-2640 PubMed27904776

2016

MicroRNA-195 suppresses colorectal cancer cells proliferation via targeting FGF2 and regulating Wnt/β-catenin pathway.

Applications

WB

Species

Human

Xianxiang Zhang,Ji Xu,Tao Jiang,Guangwei Liu,Dongsheng Wang,Yun Lu

The Journal of clinical endocrinology and metaboli 100:E836-44 PubMed25915569

2015

LGR5 Activates Noncanonical Wnt Signaling and Inhibits Aldosterone Production in the Human Adrenal.

Applications

IHC

Species

Human

Lalarukh Haris Shaikh,Junhua Zhou,Ada E D Teo,Sumedha Garg,Sudeshna Guha Neogi,Nichola Figg,Giles S Yeo,Haixiang Yu,Janet J Maguire,Wanfeng Zhao,Martin R Bennett,Elena A B Azizan,Anthony P Davenport,Grahame McKenzie,Morris J Brown

The Journal of cell biology 206:799-811 PubMed25202030

2014

Activation of RhoA-ROCK-BMP signaling reprograms adult human corneal endothelial cells.

Applications

Unspecified application

Species

Human

Ying-Ting Zhu,Fu Li,Bo Han,Sean Tighe,Suzhen Zhang,Szu-Yu Chen,Xin Liu,Scheffer C G Tseng

PloS one 7:e41335 PubMed22912670

2012

Silencing SOX2 induced mesenchymal-epithelial transition and its expression predicts liver and lymph node metastasis of CRC patients.

Applications

WB

Species

Human

Xu Han,Xuefeng Fang,Xiaoyan Lou,Dasong Hua,Wenchao Ding,Gregory Foltz,Leroy Hood,Ying Yuan,Biaoyang Lin

PloS one 7:e36864 PubMed22590627

2012

Selective activation of p120ctn-Kaiso signaling to unlock contact inhibition of ARPE-19 cells without epithelial-mesenchymal transition.

Applications

ICC/IF, WB

Species

Human, Human

Hung-Chi Chen,Ying-Ting Zhu,Szu-Yu Chen,Scheffer C G Tseng

Molecular & cellular proteomics : MCP 10:M111.010462 PubMed21566225

2011

Genome-wide characterization of miR-34a induced changes in protein and mRNA expression by a combined pulsed SILAC and microarray analysis.

Applications

WB

Species

Human

Markus Kaller,Sven-Thorsten Liffers,Silke Oeljeklaus,Katja Kuhlmann,Simone Röh,Reinhard Hoffmann,Bettina Warscheid,Heiko Hermeking
View all publications

Product promise

We are committed to supporting your work with high-quality reagents, and we're here for you every step of the way. In the unlikely event that one of our products does not perform as expected, you're protected by our Product Promise.
For full details, please see our Terms & Conditions

Please note: All products are 'FOR RESEARCH USE ONLY. NOT FOR USE IN DIAGNOSTIC OR THERAPEUTIC PROCEDURES'.

For licensing inquiries, please contact partnerships@abcam.com