JavaScript is disabled in your browser. Please enable JavaScript to view this website.
AB232870

Anti-Legumain antibody

Be the first to review this product! Submit a review

|

(2 Publications)

Rabbit Polyclonal Legumain antibody. Suitable for WB, IHC-P and reacts with Rat, Human samples. Cited in 2 publications. Immunogen corresponding to Recombinant Full Length Protein corresponding to Human LGMN.

View Alternative Names

PRSC1, LGMN, Legumain, Asparaginyl endopeptidase, AEP

8 Images
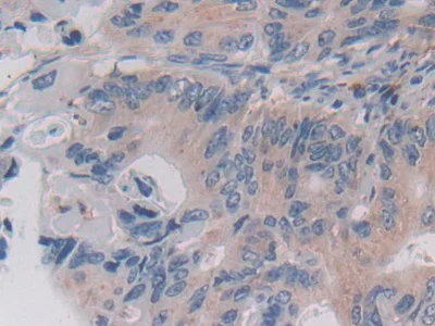
Immunohistochemistry (Formalin/PFA-fixed paraffin-embedded sections) - Anti-Legumain antibody (AB232870)
  • IHC-P

Supplier Data

Immunohistochemistry (Formalin/PFA-fixed paraffin-embedded sections) - Anti-Legumain antibody (AB232870)

Formalin-fixed, paraffin-embedded human colorectal cancer tissue stained for Legumain using ab232870 at 30 μg/ml in immunohistochemical analysis.

Secondary used : HRP-Linked Goat anti-Rabbit IgG Polyclonal at 2 μg/ml. DAB staining.

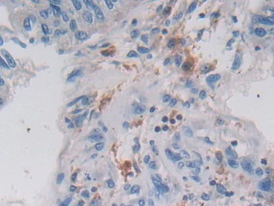
Immunohistochemistry (Formalin/PFA-fixed paraffin-embedded sections) - Anti-Legumain antibody (AB232870)
  • IHC-P

Supplier Data

Immunohistochemistry (Formalin/PFA-fixed paraffin-embedded sections) - Anti-Legumain antibody (AB232870)

Formalin-fixed, paraffin-embedded human breast cancer tissue stained for Legumain using ab232870 at 30 μg/ml in immunohistochemical analysis.

Secondary used : HRP-Linked Goat anti-Rabbit IgG Polyclonal at 2 μg/ml. DAB staining.

Immunohistochemistry (Formalin/PFA-fixed paraffin-embedded sections) - Anti-Legumain antibody (AB232870)
  • IHC-P

Supplier Data

Immunohistochemistry (Formalin/PFA-fixed paraffin-embedded sections) - Anti-Legumain antibody (AB232870)

Formalin-fixed, paraffin-embedded human stomach tissue stained for Legumain using ab232870 at 30 μg/ml in immunohistochemical analysis.

Secondary used : HRP-Linked Goat anti-Rabbit IgG Polyclonal at 2 μg/ml. DAB staining.

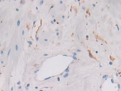
Immunohistochemistry (Formalin/PFA-fixed paraffin-embedded sections) - Anti-Legumain antibody (AB232870)
  • IHC-P

Supplier Data

Immunohistochemistry (Formalin/PFA-fixed paraffin-embedded sections) - Anti-Legumain antibody (AB232870)

Formalin-fixed, paraffin-embedded human prostate tissue stained for Legumain using ab232870 at 30 μg/ml in immunohistochemical analysis.

Secondary used : HRP-Linked Goat anti-Rabbit IgG Polyclonal at 2 μg/ml. DAB staining.

Immunohistochemistry (Formalin/PFA-fixed paraffin-embedded sections) - Anti-Legumain antibody (AB232870)
  • IHC-P

Supplier Data

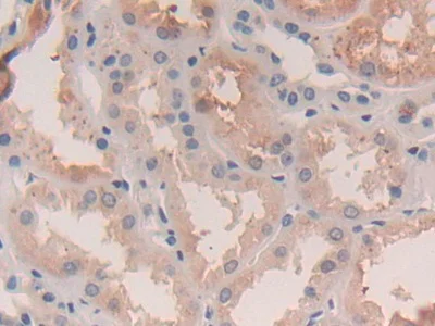
Immunohistochemistry (Formalin/PFA-fixed paraffin-embedded sections) - Anti-Legumain antibody (AB232870)

Formalin-fixed, paraffin-embedded human kidney tissue stained for Legumain using ab232870 at 30 μg/ml in immunohistochemical analysis.

Secondary used : HRP-Linked Goat anti-Rabbit IgG Polyclonal at 2 μg/ml. DAB staining.

Immunohistochemistry (Formalin/PFA-fixed paraffin-embedded sections) - Anti-Legumain antibody (AB232870)
  • IHC-P

Supplier Data

Immunohistochemistry (Formalin/PFA-fixed paraffin-embedded sections) - Anti-Legumain antibody (AB232870)

Formalin-fixed, paraffin-embedded human prostate cancer tissue stained for Legumain using ab232870 at 30 μg/ml in immunohistochemical analysis.

Secondary used : HRP-Linked Goat anti-Rabbit IgG Polyclonal at 2 μg/ml. DAB staining.

Western blot - Anti-Legumain antibody (AB232870)
  • WB

Supplier Data

Western blot - Anti-Legumain antibody (AB232870)

All lanes:

Western blot - Anti-Legumain antibody (ab232870) at 1 µg/mL

All lanes:

Recombinant human Legumain protein

Secondary

All lanes:

HRP-Linked Guinea pig Anti-Rabbit at 1/2000 dilution

Predicted band size: 49 kDa

false

Western blot - Anti-Legumain antibody (AB232870)
  • WB

Supplier Data

Western blot - Anti-Legumain antibody (AB232870)

All lanes:

Western blot - Anti-Legumain antibody (ab232870) at 1 µg/mL

All lanes:

Rat placenta tissue lysate

Secondary

All lanes:

HRP-Linked Guinea pig Anti-Rabbit at 1/2000 dilution

Predicted band size: 49 kDa

false

Key facts

Host species

Rabbit

Clonality

Polyclonal

Isotype

IgG

Carrier free

No

Reacts with

Rat, Human

Applications

WB, IHC-P

applications

Immunogen

Recombinant Full Length Protein corresponding to Human LGMN.

Q99538

Reactivity data

{ "title": "Reactivity Data", "filters": { "stats": ["", "Species", "Dilution Info", "Notes"], "tabs": { "all-applications": {"fullname" : "All Applications", "shortname": "All Applications"}, "WB" : {"fullname" : "Western blot", "shortname":"WB"}, "IHCP" : {"fullname" : "Immunohistochemistry (Formalin/PFA-fixed paraffin-embedded sections)", "shortname":"IHC-P"} }, "product-promise": { "all": "all", "testedAndGuaranteed": "tested", "guaranteed": "expected", "predicted": "predicted", "notRecommended": "not-recommended" } }, "values": { "Human": { "WB-species-checked": "testedAndGuaranteed", "WB-species-dilution-info": "0.5-2 µg/mL", "WB-species-notes": "<p></p>", "IHCP-species-checked": "testedAndGuaranteed", "IHCP-species-dilution-info": "5-20 µg/mL", "IHCP-species-notes": "<p></p>" }, "Rat": { "WB-species-checked": "testedAndGuaranteed", "WB-species-dilution-info": "0.5-2 µg/mL", "WB-species-notes": "<p></p>", "IHCP-species-checked": "guaranteed", "IHCP-species-dilution-info": "", "IHCP-species-notes": "" }, "Macaque monkey": { "WB-species-checked": "predicted", "WB-species-dilution-info": "", "WB-species-notes": "", "IHCP-species-checked": "predicted", "IHCP-species-dilution-info": "", "IHCP-species-notes": "" }, "Orangutan": { "WB-species-checked": "predicted", "WB-species-dilution-info": "", "WB-species-notes": "", "IHCP-species-checked": "predicted", "IHCP-species-dilution-info": "", "IHCP-species-notes": "" } } }

Properties and storage information

Form
Liquid
Purification technique
Affinity purification Protein A
Purification notes
Antigen-specific affinity chromatography followed by Protein A affinity chromatography.
Storage buffer
pH: 7.4 Preservative: 0.011% Proclin 300 Constituents: PBS, 55.77% Glycerol (glycerin, glycerine)
Shipped at conditions
Blue Ice
Appropriate short-term storage duration
1-2 weeks
Appropriate short-term storage conditions
+4°C
Appropriate long-term storage conditions
-20°C
Aliquoting information
Upon delivery aliquot
Storage information
Avoid freeze / thaw cycle

Supplementary information

This supplementary information is collated from multiple sources and compiled automatically.

Legumain also known as asparaginyl endopeptidase is an enzyme that plays a mechanical role as a protease. This enzyme has a molecular mass of approximately 56 kDa and it functions by catalyzing the hydrolysis of asparagine residues. Legumain is expressed in various tissues with higher levels observed in kidneys placenta and liver. Its proteolytic activity is essential for the breakdown of intracellular proteins within lysosomes and endosomal compartments.
Biological function summary

Legumain contributes to protein degradation and antigen processing. It does not operate alone as it is part of larger protein complexes which enhance its stability and function. Through its role in proteolysis legumain influences cellular processes like maturation of endolysosomal enzymes and processing of proenzymes. Additionally it assists in activating other proteases signifying its critical position in maintaining cellular proteostasis.

Pathways

Legumain participates in the regulation of immune responses and cellular homeostasis. It plays a significant role in the lysosomal pathway where it partners with cathepsins to assist in the degradation of proteins. Additionally legumain influences the MHC class II pathway by contributing to the cleavage of invariant chain aiding antigen presentation. Its interaction with cathepsins and the impact on antigen processing indicates its necessity in immune system functionality.

Legumain has been linked to disorders such as cancer and neurodegeneration. In cancer elevated legumain levels correlate with tumor invasiveness and metastasis especially in association with proteins like matrix metalloproteinases. Meanwhile in neurodegenerative conditions its dysregulation may contribute to abnormal protein accumulation and synaptic dysfunction. Understanding legumain's role and interactions can guide therapeutic strategies for these diseases.

Product protocols

For this product, it's our understanding that no specific protocols are required. You can visit:

Target data

Has a strict specificity for hydrolysis of asparaginyl bonds (PubMed : 23776206). Can also cleave aspartyl bonds slowly, especially under acidic conditions (PubMed : 23776206). Involved in the processing of proteins for MHC class II antigen presentation in the lysosomal/endosomal system (PubMed : 9872320). Also involved in MHC class I antigen presentation in cross-presenting dendritic cells by mediating cleavage and maturation of Perforin-2 (MPEG1), thereby promoting antigen translocation in the cytosol (By similarity). Required for normal lysosomal protein degradation in renal proximal tubules (By similarity). Required for normal degradation of internalized EGFR (By similarity). Plays a role in the regulation of cell proliferation via its role in EGFR degradation (By similarity).
See full target information LGMN

Publications (2)

Recent publications for all applications. Explore the full list and refine your search

Frontiers in molecular biosciences 8:764900 PubMed34966781

2021

ELK1 Enhances Pancreatic Cancer Progression Via LGMN and Correlates with Poor Prognosis.

Applications

Unspecified application

Species

Unspecified reactive species

Qiang Yan,Chenming Ni,Yingying Lin,Xu Sun,Zhenhua Shen,Minjie Zhang,Shuwen Han,Jiemin Shi,Jing Mao,Zhe Yang,Weilin Wang

Molecular medicine reports 23: PubMed33846796

2021

Berberine inhibits the proliferation, invasion and migration of endometrial stromal cells by downregulating miR‑429.

Applications

Unspecified application

Species

Unspecified reactive species

Yongjuan Gu,Zhigang Zhou
View all publications

Product promise

We are committed to supporting your work with high-quality reagents, and we're here for you every step of the way. In the unlikely event that one of our products does not perform as expected, you're protected by our Product Promise.
For full details, please see our Terms & Conditions

Please note: All products are 'FOR RESEARCH USE ONLY. NOT FOR USE IN DIAGNOSTIC OR THERAPEUTIC PROCEDURES'.

For licensing inquiries, please contact partnerships@abcam.com