JavaScript is disabled in your browser. Please enable JavaScript to view this website.
AB175410

Anti-LETMD1/HCCR-1 antibody

Be the first to review this product! Submit a review

|

(1 Publication)

Rabbit Polyclonal LETMD1/HCCR-1 antibody. Suitable for WB, IHC-P, ICC/IF and reacts with Human, Mouse, Rat samples. Cited in 1 publication. Immunogen corresponding to Recombinant Full Length Protein corresponding to Human LETM1 domain-containing protein 1.

View Alternative Names

LETM1 domain-containing protein 1, Cervical cancer 1 proto-oncogene protein p40, Cervical cancer proto-oncogene 2 protein, HCCR-1, HCRR-2, LETMD1

5 Images
Immunohistochemistry (Formalin/PFA-fixed paraffin-embedded sections) - Anti-LETMD1/HCCR-1 antibody (AB175410)
  • IHC-P

Supplier Data

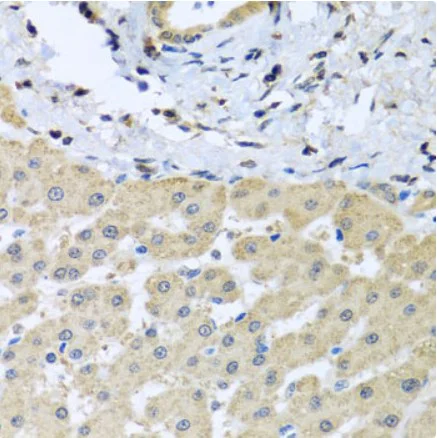
Immunohistochemistry (Formalin/PFA-fixed paraffin-embedded sections) - Anti-LETMD1/HCCR-1 antibody (AB175410)

Immunohistochemistry of paraffin-embedded human liver damage using ab175410 at dilution of 1 : 100

Immunocytochemistry/ Immunofluorescence - Anti-LETMD1/HCCR-1 antibody (AB175410)
  • ICC/IF

Unknown

Immunocytochemistry/ Immunofluorescence - Anti-LETMD1/HCCR-1 antibody (AB175410)

Immunocytochemistry/Immunofluorescence analysis of MCF7 cells using ab175410. Blue DAPI for nuclear staining.

Immunohistochemistry (Formalin/PFA-fixed paraffin-embedded sections) - Anti-LETMD1/HCCR-1 antibody (AB175410)
  • IHC-P

Supplier Data

Immunohistochemistry (Formalin/PFA-fixed paraffin-embedded sections) - Anti-LETMD1/HCCR-1 antibody (AB175410)

Immunohistochemistry of paraffin-embedded rat kidney damage using ab175410 at dilution of 1 : 100

Western blot - Anti-LETMD1/HCCR-1 antibody (AB175410)
  • WB

Supplier Data

Western blot - Anti-LETMD1/HCCR-1 antibody (AB175410)

All lanes:

Western blot - Anti-LETMD1/HCCR-1 antibody (ab175410) at 1/1000 dilution

Lane 1:

MCF7 cell lysate at 25 µg with 3% nonfat dry milk in TBST.

Lane 2:

Mouse liver lysate at 25 µg with 3% nonfat dry milk in TBST.

Secondary

All lanes:

HRP Goat Anti-Rabbit IgG (H+L) at 1/1000 dilution

Predicted band size: 42 kDa

true

Exposure time: 90s

Western blot - Anti-LETMD1/HCCR-1 antibody (AB175410)
  • WB

Supplier Data

Western blot - Anti-LETMD1/HCCR-1 antibody (AB175410)

All lanes:

Western blot - Anti-LETMD1/HCCR-1 antibody (ab175410) at 1/500 dilution

All lanes:

PANC1 cell extract

Predicted band size: 42 kDa

false

Key facts

Host species

Rabbit

Clonality

Polyclonal

Isotype

IgG

Carrier free

No

Reacts with

Mouse, Rat, Human

Applications

WB, ICC/IF, IHC-P

applications

Immunogen

Recombinant Full Length Protein corresponding to Human LETM1 domain-containing protein 1.

Q6P1Q0

Reactivity data

{ "title": "Reactivity Data", "filters": { "stats": ["", "Species", "Dilution Info", "Notes"], "tabs": { "all-applications": {"fullname" : "All Applications", "shortname": "All Applications"}, "WB" : {"fullname" : "Western blot", "shortname":"WB"}, "IHCP" : {"fullname" : "Immunohistochemistry (Formalin/PFA-fixed paraffin-embedded sections)", "shortname":"IHC-P"}, "ICCIF" : {"fullname" : "Immunocytochemistry/ Immunofluorescence", "shortname":"ICC/IF"} }, "product-promise": { "all": "all", "testedAndGuaranteed": "tested", "guaranteed": "expected", "predicted": "predicted", "notRecommended": "not-recommended" } }, "values": { "Human": { "WB-species-checked": "testedAndGuaranteed", "WB-species-dilution-info": "1/500 - 1/2000", "WB-species-notes": "<p></p>", "IHCP-species-checked": "testedAndGuaranteed", "IHCP-species-dilution-info": "1/50 - 1/200", "IHCP-species-notes": "<p></p>", "ICCIF-species-checked": "testedAndGuaranteed", "ICCIF-species-dilution-info": "", "ICCIF-species-notes": "<p></p>" }, "Mouse": { "WB-species-checked": "testedAndGuaranteed", "WB-species-dilution-info": "1/500 - 1/2000", "WB-species-notes": "<p></p>", "IHCP-species-checked": "guaranteed", "IHCP-species-dilution-info": "", "IHCP-species-notes": "", "ICCIF-species-checked": "guaranteed", "ICCIF-species-dilution-info": "", "ICCIF-species-notes": "" }, "Rat": { "WB-species-checked": "guaranteed", "WB-species-dilution-info": "", "WB-species-notes": "", "IHCP-species-checked": "testedAndGuaranteed", "IHCP-species-dilution-info": "1/50 - 1/200", "IHCP-species-notes": "<p></p>", "ICCIF-species-checked": "guaranteed", "ICCIF-species-dilution-info": "", "ICCIF-species-notes": "" } } }

Properties and storage information

Form
Liquid
Purification technique
Affinity purification Immunogen
Storage buffer
pH: 7.3 Preservative: 0.02% Sodium azide Constituents: 50% Glycerol (glycerin, glycerine), 49% PBS
Shipped at conditions
Blue Ice
Appropriate short-term storage duration
1-2 weeks
Appropriate short-term storage conditions
+4°C
Appropriate long-term storage conditions
-20°C
Aliquoting information
Upon delivery aliquot
Storage information
Avoid freeze / thaw cycle

Supplementary information

This supplementary information is collated from multiple sources and compiled automatically.

LETMD1 also known as HCCR-1 functions mechanically as a mitochondrial protein that plays a role in regulating mitochondrial activity and cellular apoptosis. With a mass of approximately 60 kDa LETMD1/HCCR-1 is expressed in various tissues including the liver kidney and lung. This protein has been identified to participate in the mitochondrial pathways and contribute to cellular homeostasis and energy metabolism.
Biological function summary

LETMD1/HCCR-1 affects cellular processes like cell growth and death by impacting the mitochondrial function critical to these processes. Although not specifically a component of a known complex this protein influences important cellular dynamics. Its role in the regulation of apoptosis links LETMD1/HCCR-1 to cellular survival implying its importance in balancing cell proliferation and death under physiological conditions.

Pathways

LETMD1/HCCR-1 is associated closely with apoptosis and mitochondrial pathways. The protein regulates apoptosis interacting with members of the Bcl-2 family of proteins which are important in apoptosis regulation. LETMD1/HCCR-1's connection to mitochondrial dynamics also overlaps with pathways involving mitochondrial fusion and fission highlighting its integrative role in maintaining cellular energy balance and function.

LETMD1/HCCR-1 links to cancer and neurodegenerative disorders. Overexpression of LETMD1/HCCR-1 has been noted in various cancers where it may promote tumor cell survival through inhibition of apoptosis. Neurodegenerative diseases such as Alzheimer's disease also show LETMD1/HCCR-1 involvement possibly through its interaction with proteins like p53 which is significant in cell cycle regulation and apoptosis. Understanding LETMD1/HCCR-1's interaction with these proteins aids in exploring therapeutic targets for these conditions.

Product protocols

For this product, it's our understanding that no specific protocols are required. You can visit:

Target data

Plays an essential role for mitochondrial structure and function, as well as thermogenesis of brown adipocytes. In brown adipose tissue also localizes in the nucleus where it interacts with the chromatin remodeler SMARCA4 to regulate thermogenic genes expression, such as UCP1 (By similarity). May regulate phagocytosis and inflammatory responses to lipopolysaccharide in macrophages (PubMed : 31980577). Involved in tumorigenesis and may function as a negative regulator of the p53/TP53 (PubMed : 12879013).
See full target information LETM1 domain-containing protein 1

Publications (1)

Recent publications for all applications. Explore the full list and refine your search

Journal of Cancer 10:3533-3542 PubMed31293658

2019

HCCR-1 is a Novel Prognostic Indicator for Gastric Cancer and Promotes Cell Proliferation.

Applications

Unspecified application

Species

Unspecified reactive species

Liang-Fei Zhu,Peng Ma,Yi-Lin Hu,Ying Feng,Peng Li,Hua Wang,Yi-Bing Guo,Qin-Sheng Mao,Wan-Jiang Xue
View all publications

Product promise

We are committed to supporting your work with high-quality reagents, and we're here for you every step of the way. In the unlikely event that one of our products does not perform as expected, you're protected by our Product Promise.
For full details, please see our Terms & Conditions

Please note: All products are 'FOR RESEARCH USE ONLY. NOT FOR USE IN DIAGNOSTIC OR THERAPEUTIC PROCEDURES'.

For licensing inquiries, please contact partnerships@abcam.com