JavaScript is disabled in your browser. Please enable JavaScript to view this website.
AB109434

Anti-Leukotriene A4 hydrolase/LTA4H antibody [EPR5712]

Be the first to review this product! Submit a review

|

(1 Publication)

Rabbit Recombinant Monoclonal Leukotriene A4 hydrolase/LTA4H antibody. Suitable for IHC-P, WB and reacts with Human samples. Cited in 1 publication.

View Alternative Names

LTA4, LTA4H, Leukotriene A-4 hydrolase, LTA-4 hydrolase, Leukotriene A(4) hydrolase, Tripeptide aminopeptidase LTA4H

4 Images
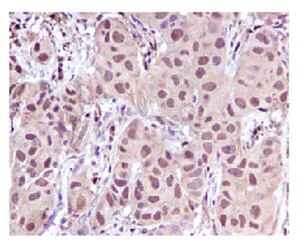
Immunohistochemistry (Formalin/PFA-fixed paraffin-embedded sections) - Anti-Leukotriene A4 hydrolase/LTA4H antibody [EPR5712] (AB109434)
  • IHC-P

Unknown

Immunohistochemistry (Formalin/PFA-fixed paraffin-embedded sections) - Anti-Leukotriene A4 hydrolase/LTA4H antibody [EPR5712] (AB109434)

Immunohistochemical analysis of Leukotriene A4 hydrolase/LTA4H in paraffin-embedded Human breast carcinoma tissue using ab109434 at 1/250 dilution.

Perform heat mediated antigen retrieval with citrate buffer pH 6 before commencing with IHC staining protocol.

Western blot - Anti-Leukotriene A4 hydrolase/LTA4H antibody [EPR5712] (AB109434)
  • WB

Lab

Western blot - Anti-Leukotriene A4 hydrolase/LTA4H antibody [EPR5712] (AB109434)

Lanes 1-4 : Merged signal (red and green). Green - ab109434 observed at 69 kDa. Red - loading control ab8245 observed at 36 kDa.

ab109434 Anti-Leukotriene A4 hydrolase/LTA4H antibody [EPR5712] was shown to specifically react with Leukotriene A4 hydrolase/LTA4H in wild-type HEK293T cells. Loss of signal was observed when knockout cell line ab266467 (knockout cell lysate ab258034) was used. Wild-type and Leukotriene A4 hydrolase/LTA4H knockout samples were subjected to SDS-PAGE. ab109434 and Anti-GAPDH antibody [6C5] - Loading Control (ab8245) were incubated overnight at 4°C at 1 in 1000 dilution and 1 in 20000 dilution respectively. Blots were developed with Goat anti-Rabbit IgG H&L (IRDye® 800CW) preadsorbed (ab216773) and Goat anti-Mouse IgG H&L (IRDye® 680RD) preadsorbed (ab216776) secondary antibodies at 1 in 20000 dilution for 1 hour at room temperature before imaging.

All lanes:

Western blot - Anti-Leukotriene A4 hydrolase/LTA4H antibody [EPR5712] (ab109434) at 1/1000 dilution

Lane 1:

Wild-type HEK293T cell lysate at 20 µg

Lane 2:

LTA4H knockout HEK293T cell lysate at 20 µg

Lane 2:

Western blot - Human LTA4H (Leukotriene A4 hydrolase) knockout HEK-293T cell line (<a href='/en-us/products/cell-lines/human-lta4h-leukotriene-a4-hydrolase-knockout-hek-293t-cell-line-ab266467'>ab266467</a>)

Lane 3:

T-47D cell lysate at 20 µg

Lane 4:

A549 cell lysate at 20 µg

Secondary

All lanes:

Western blot - Goat anti-Rabbit IgG H&L (IRDye® 800CW) preadsorbed (<a href='/en-us/products/secondary-antibodies/goat-rabbit-igg-h-l-irdye-800cw-preadsorbed-ab216773'>ab216773</a>) at 1/10000 dilution

Predicted band size: 19 kDa,40 kDa,44 kDa,47 kDa,69 kDa,80 kDa

Observed band size: 100 kDa,20 kDa,40 kDa,50 kDa,60 kDa,69 kDa

false

Western blot - Anti-Leukotriene A4 hydrolase/LTA4H antibody [EPR5712] (AB109434)
  • WB

Unknown

Western blot - Anti-Leukotriene A4 hydrolase/LTA4H antibody [EPR5712] (AB109434)

All lanes:

Western blot - Anti-Leukotriene A4 hydrolase/LTA4H antibody [EPR5712] (ab109434) at 1/10000 dilution

Lane 1:

HeLa cell lysate at 10 µg

Lane 2:

293T cell lysate at 10 µg

Lane 3:

T47D cell lysate at 10 µg

Lane 4:

A549 cell lysate at 10 µg

Predicted band size: 69 kDa

false

OI-RD Scanning - Anti-Leukotriene A4 hydrolase/LTA4H antibody [EPR5712] (AB109434)
  • OI-RD Scanning

Unknown

OI-RD Scanning - Anti-Leukotriene A4 hydrolase/LTA4H antibody [EPR5712] (AB109434)

We have systematically measured KD (the equilibrium dissociation constant between the antibody and its antigen), of more than 840 recombinant antibodies to assess not only their individual KD values but also to see the average affinity of antibody. Based on the comparison with published literature values for mouse monoclonal antibodies, Recombinant antibodies appear to be on average 1-2 order of magnitude higher affinity.

  • Carrier free

    Anti-Leukotriene A4 hydrolase/LTA4H antibody [EPR5712] - BSA and Azide free

Key facts

Host species

Rabbit

Clonality

Monoclonal

Clone number

EPR5712

Isotype

IgG

Carrier free

No

Reacts with

Human

Applications

IHC-P, WB

applications

Immunogen

The exact immunogen used to generate this antibody is proprietary information.

Reactivity data

{ "title": "Reactivity Data", "filters": { "stats": ["", "Species", "Dilution Info", "Notes"], "tabs": { "all-applications": {"fullname" : "All Applications", "shortname": "All Applications"}, "IHCP" : {"fullname" : "Immunohistochemistry (Formalin/PFA-fixed paraffin-embedded sections)", "shortname":"IHC-P"}, "ICCIF" : {"fullname" : "Immunocytochemistry/ Immunofluorescence", "shortname":"ICC/IF"}, "WB" : {"fullname" : "Western blot", "shortname":"WB"} }, "product-promise": { "all": "all", "testedAndGuaranteed": "tested", "guaranteed": "expected", "predicted": "predicted", "notRecommended": "not-recommended" } }, "values": { "Human": { "IHCP-species-checked": "testedAndGuaranteed", "IHCP-species-dilution-info": "1/250 - 1/500", "IHCP-species-notes": "<p>Antigen retrieval is recommended.</p>", "ICCIF-species-checked": "notRecommended", "ICCIF-species-dilution-info": "", "ICCIF-species-notes": "<p></p>", "WB-species-checked": "testedAndGuaranteed", "WB-species-dilution-info": "1/10000 - 1/50000", "WB-species-notes": "<p></p>" }, "Rat": { "IHCP-species-checked": "predicted", "IHCP-species-dilution-info": "", "IHCP-species-notes": "", "ICCIF-species-checked": "notRecommended", "ICCIF-species-dilution-info": "", "ICCIF-species-notes": "", "WB-species-checked": "predicted", "WB-species-dilution-info": "", "WB-species-notes": "" } } }

Product details

Species reactivity
Mouse: We have preliminary internal testing data to indicate this antibody may not react with this species.
Please contact us for more information.

Patented technology
Our RabMAb® technology is a patented hybridoma-based technology for making rabbit monoclonal antibodies. For details on our patents, please refer to RabMAb® patents.

What are the advantages of a recombinant monoclonal antibody?
This product is a recombinant monoclonal antibody, which offers several advantages including:

  • - High batch-to-batch consistency and reproducibility
  • - Improved sensitivity and specificity
  • - Long-term security of supply
  • - Animal-free batch production

For more information, read more on recombinant antibodies.

Properties and storage information

Form
Liquid
Purification technique
Affinity purification Protein A
Storage buffer
pH: 7.2 - 7.4 Preservative: 0.05% Sodium azide Constituents: 50% Tissue culture supernatant, 40% Glycerol (glycerin, glycerine), 9.85% Tris glycine, 0.1% BSA
Shipped at conditions
Blue Ice
Appropriate short-term storage conditions
+4°C
Appropriate long-term storage conditions
-20°C
Storage information
Stable for 12 months at -20°C

Supplementary information

This supplementary information is collated from multiple sources and compiled automatically.

Leukotriene A4 hydrolase often called LTA4H is an enzyme that converts leukotriene A4 into leukotriene B4 an important mediator in inflammation. It has a molecular mass of approximately 69 kDa and functions as a zinc metalloprotease. Expression of LTA4H is widespread detected in various tissues including the lung liver and kidney. This enzyme plays an essential role in modulating inflammatory responses due to its ability to catalyze the transformation of leukotriene A4.
Biological function summary

Leukotriene A4 hydrolase (LTA4H) transforms leukotriene A4 an unstable epoxide into leukotriene B4 a potent chemoattractant. The enzyme does not function within a multi-protein complex but interacts with small molecules during leukotriene biosynthesis. Leukotriene B4 produced by LTA4H recruits neutrophils to sites of inflammation enhancing immune defense. While its primary function is promoting inflammation this activity also regulates the resolution phase by facilitating tissue repair and return to homeostasis.

Pathways

Leukotriene A4 hydrolase plays a role in the arachidonic acid cascade an important biological pathway for synthesizing eicosanoids. This pathway involves several steps where arachidonic acid releases from cell membrane phospholipids and converts to intermediate leukotriene A4 by 5-lipoxygenase. LTA4H then converts leukotriene A4 into leukotriene B4 which orchestrates inflammatory responses. LTA4H connects to proteins like 5-lipoxygenase which also acts within this cascade.

Leukotriene A4 hydrolase associates with inflammatory diseases such as asthma and inflammatory bowel disease. In asthma the overproduction of leukotriene B4 can exacerbate airway inflammation and hyperresponsiveness. Here leukotrienes interact with receptors on effector cells which contributes to the pathology of asthma. Inflammatory bowel disease showcases a similar link where increased levels of leukotriene B4 potentiate intestinal inflammation. Effective management of these conditions may involve targeting leukotriene pathways specifically inhibiting the activity of LTA4H to ameliorate symptoms.

Product protocols

For this product, it's our understanding that no specific protocols are required. You can visit:

Target data

Bifunctional zinc metalloenzyme that comprises both epoxide hydrolase (EH) and aminopeptidase activities. Acts as an epoxide hydrolase to catalyze the conversion of LTA4 to the pro-inflammatory mediator leukotriene B4 (LTB4) (PubMed : 11917124, PubMed : 12207002, PubMed : 15078870, PubMed : 18804029, PubMed : 1897988, PubMed : 1975494, PubMed : 2244921). Has also aminopeptidase activity, with high affinity for N-terminal arginines of various synthetic tripeptides (PubMed : 18804029, PubMed : 20813919). In addition to its pro-inflammatory EH activity, may also counteract inflammation by its aminopeptidase activity, which inactivates by cleavage another neutrophil attractant, the tripeptide Pro-Gly-Pro (PGP), a bioactive fragment of collagen generated by the action of matrix metalloproteinase-9 (MMP9) and prolylendopeptidase (PREPL) (PubMed : 20813919, PubMed : 24591641). Involved also in the biosynthesis of resolvin E1 and 18S-resolvin E1 from eicosapentaenoic acid, two lipid mediators that show potent anti-inflammatory and pro-resolving actions (PubMed : 21206090).
See full target information LTA4H

Publications (1)

Recent publications for all applications. Explore the full list and refine your search

International journal of clinical and experimental 11:4545-4551 PubMed31949852

2018

Characteristics of peripheral and intrahepatic regulatory B cells in HBV-related liver cirrhosis.

Applications

Unspecified application

Species

Unspecified reactive species

Yali Xiong,Hongyan Wu,Yang Li,Rui Huang,Yong Liu,Yuxin Chen,Xiangan Zhao,Haiyan Chang,Jun Chen,Chao Wu
View all publications

Product promise

We are committed to supporting your work with high-quality reagents, and we're here for you every step of the way. In the unlikely event that one of our products does not perform as expected, you're protected by our Product Promise.
For full details, please see our Terms & Conditions

Please note: All products are 'FOR RESEARCH USE ONLY. NOT FOR USE IN DIAGNOSTIC OR THERAPEUTIC PROCEDURES'.

For licensing inquiries, please contact partnerships@abcam.com