JavaScript is disabled in your browser. Please enable JavaScript to view this website.
AB133512

Anti-Leukotriene A4 hydrolase/LTA4H antibody [EPR5713]

Be the first to review this product! Submit a review

|

(10 Publications)

Rabbit Recombinant Monoclonal Leukotriene A4 hydrolase/LTA4H antibody. Suitable for IHC-P, WB, Flow Cyt (Intra) and reacts with Human, Mouse, Rat samples. Cited in 10 publications.

View Alternative Names

LTA4, LTA4H, Leukotriene A-4 hydrolase, LTA-4 hydrolase, Leukotriene A(4) hydrolase, Tripeptide aminopeptidase LTA4H

6 Images
Flow Cytometry (Intracellular) - Anti-Leukotriene A4 hydrolase/LTA4H antibody [EPR5713] (AB133512)
  • Flow Cyt (Intra)

Unknown

Flow Cytometry (Intracellular) - Anti-Leukotriene A4 hydrolase/LTA4H antibody [EPR5713] (AB133512)

Overlay histogram showing Jurkat cells stained with ab133512 (red line). The cells were fixed with 80% methanol (5 min) and then permeabilized with 0.1% PBS-Tween for 20 min. The cells were then incubated in 1x PBS / 10% normal goat serum / 0.3M glycine to block non-specific protein-protein interactions followed by the antibody (ab133512, 1/1000 dilution) for 30 min at 22°C. The secondary antibody used was Alexa Fluor® 488 goat anti-rabbit IgG (H&L) (ab150077) at 1/2000 dilution for 30 min at 22°C. Isotype control antibody (black line) was rabbit IgG (monoclonal) (0.1μg/1x106 cells) used under the same conditions. Unlabelled sample (blue line) was also used as a control. Acquisition of >5,000 events were collected using a 20mW Argon ion laser (488nm) and 525/30 bandpass filter. This antibody gave a positive signal in Jurkat cells fixed with 4% paraformaldehyde (10 min)/permeabilized with 0.1% PBS-Tween for 20 min used under the same conditions.

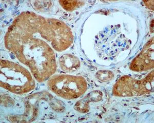
Immunohistochemistry (Formalin/PFA-fixed paraffin-embedded sections) - Anti-Leukotriene A4 hydrolase/LTA4H antibody [EPR5713] (AB133512)
  • IHC-P

Unknown

Immunohistochemistry (Formalin/PFA-fixed paraffin-embedded sections) - Anti-Leukotriene A4 hydrolase/LTA4H antibody [EPR5713] (AB133512)

Immunohistochemical analysis of paraffin-embedded Human kidney tissue labelling Leukotriene A4 hydrolase/LTA4H with ab133512 at 1/250 dilution.

Perform heat mediated antigen retrieval with citrate buffer pH 6 before commencing with IHC staining protocol.

Western blot - Anti-Leukotriene A4 hydrolase/LTA4H antibody [EPR5713] (AB133512)
  • WB

Lab

Western blot - Anti-Leukotriene A4 hydrolase/LTA4H antibody [EPR5713] (AB133512)

Lanes 1-4 : Merged signal (red and green). Green - ab133512 observed at 69 kDa. Red - loading control ab8245 observed at 36 kDa.

ab133512 Anti-Leukotriene A4 hydrolase/LTA4H antibody [EPR5713] was shown to specifically react with Leukotriene A4 hydrolase/LTA4H in wild-type HEK293T cells. Loss of signal was observed when knockout cell line ab266467 (knockout cell lysate ab258034) was used. Wild-type and Leukotriene A4 hydrolase/LTA4H knockout samples were subjected to SDS-PAGE. ab133512 and Anti-GAPDH antibody [6C5] - Loading Control (ab8245) were incubated overnight at 4°C at 1 in 1000 dilution and 1 in 20000 dilution respectively. Blots were developed with Goat anti-Rabbit IgG H&L (IRDye® 800CW) preadsorbed (ab216773) and Goat anti-Mouse IgG H&L (IRDye® 680RD) preadsorbed (ab216776) secondary antibodies at 1 in 20000 dilution for 1 hour at room temperature before imaging.

All lanes:

Western blot - Anti-Leukotriene A4 hydrolase/LTA4H antibody [EPR5713] (ab133512) at 1/1000 dilution

Lane 1:

Wild-type HEK293T cell lysate at 20 µg

Lane 2:

LTA4H knockout HEK293T cell lysate at 20 µg

Lane 2:

Western blot - Human LTA4H (Leukotriene A4 hydrolase) knockout HEK-293T cell line (<a href='/en-us/products/cell-lines/human-lta4h-leukotriene-a4-hydrolase-knockout-hek-293t-cell-line-ab266467'>ab266467</a>)

Lane 3:

T-47D cell lysate at 20 µg

Lane 4:

A549 cell lysate at 20 µg

Secondary

All lanes:

Western blot - Goat anti-Rabbit IgG H&L (IRDye® 800CW) preadsorbed (<a href='/en-us/products/secondary-antibodies/goat-rabbit-igg-h-l-irdye-800cw-preadsorbed-ab216773'>ab216773</a>) at 1/10000 dilution

Predicted band size: 69 kDa

Observed band size: 69 kDa

false

Western blot - Anti-Leukotriene A4 hydrolase/LTA4H antibody [EPR5713] (AB133512)
  • WB

Unknown

Western blot - Anti-Leukotriene A4 hydrolase/LTA4H antibody [EPR5713] (AB133512)

All lanes:

Western blot - Anti-Leukotriene A4 hydrolase/LTA4H antibody [EPR5713] (ab133512) at 1/10000 dilution

Lane 1:

HeLa cell lysate at 10 µg

Lane 2:

293T cell lysate at 10 µg

Lane 3:

T47D cell lysate at 10 µg

Lane 4:

A549 cell lysate at 10 µg

Secondary

All lanes:

Goat-anti-rabbit HRP at 1/2000 dilution

Predicted band size: 69 kDa

false

Western blot - Anti-Leukotriene A4 hydrolase/LTA4H antibody [EPR5713] (AB133512)
  • WB

Supplier Data

Western blot - Anti-Leukotriene A4 hydrolase/LTA4H antibody [EPR5713] (AB133512)

All lanes:

Western blot - Anti-Leukotriene A4 hydrolase/LTA4H antibody [EPR5713] (ab133512) at 1/5000 dilution

Lane 1:

Mouse brain tissue lysate

Lane 2:

Mouse heart tissue lysate

Lane 3:

Mouse kidney tissue lysate

Lane 4:

Mouse spleen tissue lysate

Lane 5:

Rat brain tissue lysate

Lane 6:

Rat heart tissue lysate

Lane 7:

Rat kidney tissue lysate

Lane 8:

Rat spleen tissue lysate

Predicted band size: 69 kDa

Observed band size: 70 kDa

false

Exposure time: 1min

OI-RD Scanning - Anti-Leukotriene A4 hydrolase/LTA4H antibody [EPR5713] (AB133512)
  • OI-RD Scanning

Unknown

OI-RD Scanning - Anti-Leukotriene A4 hydrolase/LTA4H antibody [EPR5713] (AB133512)

We have systematically measured KD (the equilibrium dissociation constant between the antibody and its antigen), of more than 840 recombinant antibodies to assess not only their individual KD values but also to see the average affinity of antibody. Based on the comparison with published literature values for mouse monoclonal antibodies, Recombinant antibodies appear to be on average 1-2 order of magnitude higher affinity.

  • Carrier free

    Anti-Leukotriene A4 hydrolase/LTA4H antibody [EPR5713] - BSA and Azide free

Key facts

Host species

Rabbit

Clonality

Monoclonal

Clone number

EPR5713

Isotype

IgG

Carrier free

No

Reacts with

Mouse, Rat, Human

Applications

IHC-P, Flow Cyt (Intra), WB

applications

Immunogen

The exact immunogen used to generate this antibody is proprietary information.

Reactivity data

{ "title": "Reactivity Data", "filters": { "stats": ["", "Species", "Dilution Info", "Notes"], "tabs": { "all-applications": {"fullname" : "All Applications", "shortname": "All Applications"}, "IHCP" : {"fullname" : "Immunohistochemistry (Formalin/PFA-fixed paraffin-embedded sections)", "shortname":"IHC-P"}, "IP" : {"fullname" : "Immunoprecipitation", "shortname":"IP"}, "WB" : {"fullname" : "Western blot", "shortname":"WB"}, "FlowCytIntra" : {"fullname" : "Flow Cytometry (Intracellular)", "shortname":"Flow Cyt (Intra)"} }, "product-promise": { "all": "all", "testedAndGuaranteed": "tested", "guaranteed": "expected", "predicted": "predicted", "notRecommended": "not-recommended" } }, "values": { "Human": { "IHCP-species-checked": "testedAndGuaranteed", "IHCP-species-dilution-info": "1/250 - 1/500", "IHCP-species-notes": "<p></p> Perform heat-mediated antigen retrieval with citrate buffer pH 6 before commencing with IHC staining protocol.", "IP-species-checked": "notRecommended", "IP-species-dilution-info": "", "IP-species-notes": "<p></p>", "WB-species-checked": "testedAndGuaranteed", "WB-species-dilution-info": "1/10000 - 1/50000", "WB-species-notes": "<p></p>", "FlowCytIntra-species-checked": "testedAndGuaranteed", "FlowCytIntra-species-dilution-info": "1/100 - 1/1000", "FlowCytIntra-species-notes": "<p><a href='/en-us/products/primary-antibodies/rabbit-igg-monoclonal-epr25a-isotype-control-ab172730'>ab172730</a> - Rabbit monoclonal IgG, is suitable for use as an isotype control with this antibody.</p>" }, "Mouse": { "IHCP-species-checked": "guaranteed", "IHCP-species-dilution-info": "", "IHCP-species-notes": "", "IP-species-checked": "notRecommended", "IP-species-dilution-info": "", "IP-species-notes": "<p></p>", "WB-species-checked": "testedAndGuaranteed", "WB-species-dilution-info": "1/10000 - 1/50000", "WB-species-notes": "<p></p>", "FlowCytIntra-species-checked": "guaranteed", "FlowCytIntra-species-dilution-info": "", "FlowCytIntra-species-notes": "" }, "Rat": { "IHCP-species-checked": "guaranteed", "IHCP-species-dilution-info": "", "IHCP-species-notes": "", "IP-species-checked": "notRecommended", "IP-species-dilution-info": "", "IP-species-notes": "<p></p>", "WB-species-checked": "testedAndGuaranteed", "WB-species-dilution-info": "1/10000 - 1/50000", "WB-species-notes": "<p></p>", "FlowCytIntra-species-checked": "guaranteed", "FlowCytIntra-species-dilution-info": "", "FlowCytIntra-species-notes": "" } } }

Product details

Patented technology
Our RabMAb® technology is a patented hybridoma-based technology for making rabbit monoclonal antibodies. For details on our patents, please refer to RabMAb® patents.

What are the advantages of a recombinant monoclonal antibody?
This product is a recombinant monoclonal antibody, which offers several advantages including:

  • - High batch-to-batch consistency and reproducibility
  • - Improved sensitivity and specificity
  • - Long-term security of supply
  • - Animal-free batch production

For more information, read more on recombinant antibodies.

Properties and storage information

Form
Liquid
Purity
Tissue culture supernatant
Storage buffer
pH: 7.2 - 7.4 Preservative: 0.05% Sodium azide Constituents: 50% Tissue culture supernatant, 40% Glycerol (glycerin, glycerine), 9.85% Tris glycine
Shipped at conditions
Blue Ice
Appropriate short-term storage conditions
+4°C
Appropriate long-term storage conditions
-20°C
Storage information
Stable for 12 months at -20°C

Supplementary information

This supplementary information is collated from multiple sources and compiled automatically.

Leukotriene A4 hydrolase often called LTA4H is an enzyme that converts leukotriene A4 into leukotriene B4 an important mediator in inflammation. It has a molecular mass of approximately 69 kDa and functions as a zinc metalloprotease. Expression of LTA4H is widespread detected in various tissues including the lung liver and kidney. This enzyme plays an essential role in modulating inflammatory responses due to its ability to catalyze the transformation of leukotriene A4.
Biological function summary

Leukotriene A4 hydrolase (LTA4H) transforms leukotriene A4 an unstable epoxide into leukotriene B4 a potent chemoattractant. The enzyme does not function within a multi-protein complex but interacts with small molecules during leukotriene biosynthesis. Leukotriene B4 produced by LTA4H recruits neutrophils to sites of inflammation enhancing immune defense. While its primary function is promoting inflammation this activity also regulates the resolution phase by facilitating tissue repair and return to homeostasis.

Pathways

Leukotriene A4 hydrolase plays a role in the arachidonic acid cascade an important biological pathway for synthesizing eicosanoids. This pathway involves several steps where arachidonic acid releases from cell membrane phospholipids and converts to intermediate leukotriene A4 by 5-lipoxygenase. LTA4H then converts leukotriene A4 into leukotriene B4 which orchestrates inflammatory responses. LTA4H connects to proteins like 5-lipoxygenase which also acts within this cascade.

Leukotriene A4 hydrolase associates with inflammatory diseases such as asthma and inflammatory bowel disease. In asthma the overproduction of leukotriene B4 can exacerbate airway inflammation and hyperresponsiveness. Here leukotrienes interact with receptors on effector cells which contributes to the pathology of asthma. Inflammatory bowel disease showcases a similar link where increased levels of leukotriene B4 potentiate intestinal inflammation. Effective management of these conditions may involve targeting leukotriene pathways specifically inhibiting the activity of LTA4H to ameliorate symptoms.

Product protocols

For this product, it's our understanding that no specific protocols are required. You can visit:

Target data

Bifunctional zinc metalloenzyme that comprises both epoxide hydrolase (EH) and aminopeptidase activities. Acts as an epoxide hydrolase to catalyze the conversion of LTA4 to the pro-inflammatory mediator leukotriene B4 (LTB4) (PubMed : 11917124, PubMed : 12207002, PubMed : 15078870, PubMed : 18804029, PubMed : 1897988, PubMed : 1975494, PubMed : 2244921). Has also aminopeptidase activity, with high affinity for N-terminal arginines of various synthetic tripeptides (PubMed : 18804029, PubMed : 20813919). In addition to its pro-inflammatory EH activity, may also counteract inflammation by its aminopeptidase activity, which inactivates by cleavage another neutrophil attractant, the tripeptide Pro-Gly-Pro (PGP), a bioactive fragment of collagen generated by the action of matrix metalloproteinase-9 (MMP9) and prolylendopeptidase (PREPL) (PubMed : 20813919, PubMed : 24591641). Involved also in the biosynthesis of resolvin E1 and 18S-resolvin E1 from eicosapentaenoic acid, two lipid mediators that show potent anti-inflammatory and pro-resolving actions (PubMed : 21206090).
See full target information LTA4H

Publications (10)

Recent publications for all applications. Explore the full list and refine your search

Cell reports. Medicine 6:102000 PubMed40056904

2025

LTA4H improves the tumor microenvironment and prevents HCC progression via targeting the HNRNPA1/LTBP1/TGF-β axis.

Applications

Unspecified application

Species

Unspecified reactive species

Shuai Yang,Xinyao Qiu,Yingcheng Yang,Jing Wu,Shan Wang,Bo Zheng,Jianmin Wu,Tao Zhou,Yangqianwen Zhang,Mixue Bai,Shuowu Liu,Zihan Zhao,Yani Zhang,Yixian Wang,Jinxia Bao,Mengye Wu,Dongdong Xue,Meiyu Bao,Ji Hu,Siyun Shen,Hongyang Wang,Lei Chen

Arteriosclerosis, thrombosis, and vascular biology 43:1900-1920 PubMed37589142

2023

Causal Role for Neutrophil Elastase in Thoracic Aortic Dissection in Mice.

Applications

Unspecified application

Species

Unspecified reactive species

Mei Yang,Xinmiao Zhou,Stuart W A Pearce,Zhisheng Yang,Qishan Chen,Kaiyuan Niu,Chenxin Liu,Jun Luo,Dan Li,Yue Shao,Cheng Zhang,Dan Chen,Qingchen Wu,Pedro R Cutillas,Lin Zhao,Qingzhong Xiao,Li Zhang

Nanotoxicology 17:249-269 PubMed37115655

2023

Multi-walled carbon nanotubes induce arachidonate 5-lipoxygenase expression and enhance the polarization and function of M1 macrophages .

Applications

Unspecified application

Species

Unspecified reactive species

Chol Seung Lim,Brandon Veltri,Michael Kashon,Dale W Porter,Qiang Ma

Journal of inflammation research 15:3285-3304 PubMed35676971

2022

Modulation of Inflammation-Related Lipid Mediator Pathways by Celastrol During Human Macrophage Polarization.

Applications

Unspecified application

Species

Unspecified reactive species

Kehong Zhang,Paul Mike Jordan,Simona Pace,Robert K Hofstetter,Markus Werner,Xinchun Chen,Oliver Werz

Immunology 166:47-67 PubMed35143048

2022

Staphylococcus aureus controls eicosanoid and specialized pro-resolving mediator production via lipoteichoic acid.

Applications

Unspecified application

Species

Unspecified reactive species

Laura Miek,Paul M Jordan,Kerstin Günther,Simona Pace,Timo Beyer,David Kowalak,Verena Hoerr,Bettina Löffler,Lorena Tuchscherr,Charles N Serhan,Jana Gerstmeier,Oliver Werz

Neurotherapeutics : the journal of the American Society for Experimental NeuroTherapeutics 17:282-293 PubMed31520306

2019

Early and Sustained Increases in Leukotriene B Levels Are Associated with Poor Clinical Outcome in Ischemic Stroke Patients.

Applications

Unspecified application

Species

Unspecified reactive species

Su Jing Chan,Mary P E Ng,Hui Zhao,Geelyn J L Ng,Chuan De Foo,Peter T-H Wong,Raymond C S Seet

FASEB journal : official publication of the Federa 33:6140-6153 PubMed30735438

2019

Targeting biosynthetic networks of the proinflammatory and proresolving lipid metabolome.

Applications

Unspecified application

Species

Unspecified reactive species

Markus Werner,Paul M Jordan,Erik Romp,Anna Czapka,Zhigang Rao,Christian Kretzer,Andreas Koeberle,Ulrike Garscha,Simona Pace,Hans-Erik Claesson,Charles N Serhan,Oliver Werz,Jana Gerstmeier

Scientific reports 7:12989 PubMed29021582

2017

Novel mechanism of regulation of the 5-lipoxygenase/leukotriene B pathway by high-density lipoprotein in macrophages.

Applications

Unspecified application

Species

Unspecified reactive species

Shigeyasu Tsuda,Masakazu Shinohara,Toshihiko Oshita,Manabu Nagao,Nobuaki Tanaka,Takeshige Mori,Tetsuya Hara,Yasuhiro Irino,Ryuji Toh,Tatsuro Ishida,Ken-Ichi Hirata

Arthritis research & therapy 16:496 PubMed25443625

2014

Leukotriene B4 activates intracellular calcium and augments human osteoclastogenesis.

Applications

ICC/IF

Species

Human

Neha Dixit,Dennis J Wu,Yesser H Belgacem,Laura N Borodinsky,M Eric Gershwin,Iannis E Adamopoulos

PloS one 9:e88423 PubMed24516658

2014

Immunohistochemical localization of key arachidonic acid metabolism enzymes during fracture healing in mice.

Applications

IHC-P

Species

Mouse

Hsuan-Ni Lin,J Patrick O'Connor
View all publications

Product promise

We are committed to supporting your work with high-quality reagents, and we're here for you every step of the way. In the unlikely event that one of our products does not perform as expected, you're protected by our Product Promise.
For full details, please see our Terms & Conditions

Please note: All products are 'FOR RESEARCH USE ONLY. NOT FOR USE IN DIAGNOSTIC OR THERAPEUTIC PROCEDURES'.

For licensing inquiries, please contact partnerships@abcam.com