JavaScript is disabled in your browser. Please enable JavaScript to view this website.
AB322960

Anti-Lewis a,b carbohydrate antibody [HEA164]

Be the first to review this product! Submit a review

|

(0 Publication)

Mouse Recombinant Monoclonal Lewis a,b carbohydrate antibody. Suitable for Flow Cyt (Intra), ICC/IF, IHC-P, WB and reacts with Human samples.

View Alternative Names

Lewis a, Lewis b, Le(a), Le(b)

7 Images
Immunohistochemistry (Formalin/PFA-fixed paraffin-embedded sections) - Anti-Lewis a,b carbohydrate antibody [HEA164] (AB322960)
  • IHC-P

Supplier Data

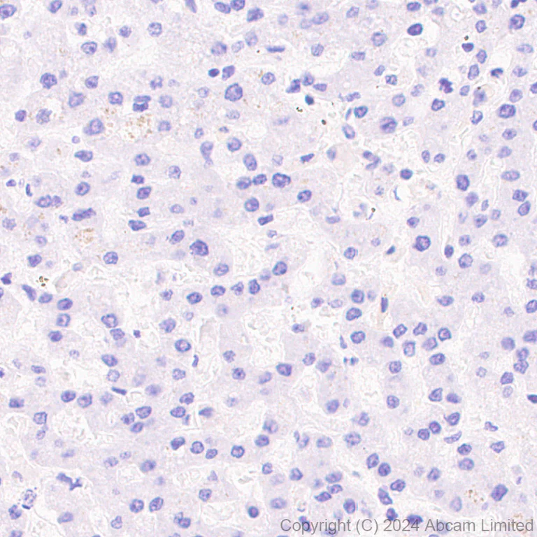
Immunohistochemistry (Formalin/PFA-fixed paraffin-embedded sections) - Anti-Lewis a,b carbohydrate antibody [HEA164] (AB322960)

Immunohistochemical analysis of paraffin-embedded Human liver tissue labeling Lewis a,b carbohydrate with ab322960 at 1/10000 dilution, followed by a ready to use LeicaDS9800 (Bond™ Polymer Refine Detection).

Low expression : no staining on human liver.
The section was incubated with ab322960 for 30 mins at room temperature.
The immunostaining was performed on a Leica Biosystems BOND® RX instrument

Counterstained with Hematoxylin.

Secondary antibody only control : Secondary antibody is a ready to use LeicaDS9800 (Bond™ Polymer Refine Detection).

Heat mediated antigen retrieval was performed with Tris-EDTA buffer (pH 9.0, Epitope Retrieval Solution2) for 20 mins

Flow Cytometry (Intracellular) - Anti-Lewis a,b carbohydrate antibody [HEA164] (AB322960)
  • Flow Cyt (Intra)

Supplier Data

Flow Cytometry (Intracellular) - Anti-Lewis a,b carbohydrate antibody [HEA164] (AB322960)

Flow cytometric analysis of 4% paraformaldehyde fixed 90% methanol permeabilized HepG2 (human hepatocellular carcinoma epithelial cell, Left) / BxPC-3 (human pancreas adenocarcinoma epithelial cell, Right) cells labeling Lewis a,b carbohydrate with ab322960 at 1/100 dilution (1ug) (Red) compared with a Rabbit monoclonal IgG (ab172730) (Black) isotype control and an unlabeled control (cells without incubation with primary antibody and secondary antibody) (Blue).

Goat Anti-Rabbit IgG (Alexa Fluor® 488, ab150081) at 1/5000 dilution was used as the secondary antibody.

Negative control : HepG2

Immunohistochemistry (Formalin/PFA-fixed paraffin-embedded sections) - Anti-Lewis a,b carbohydrate antibody [HEA164] (AB322960)
  • IHC-P

Supplier Data

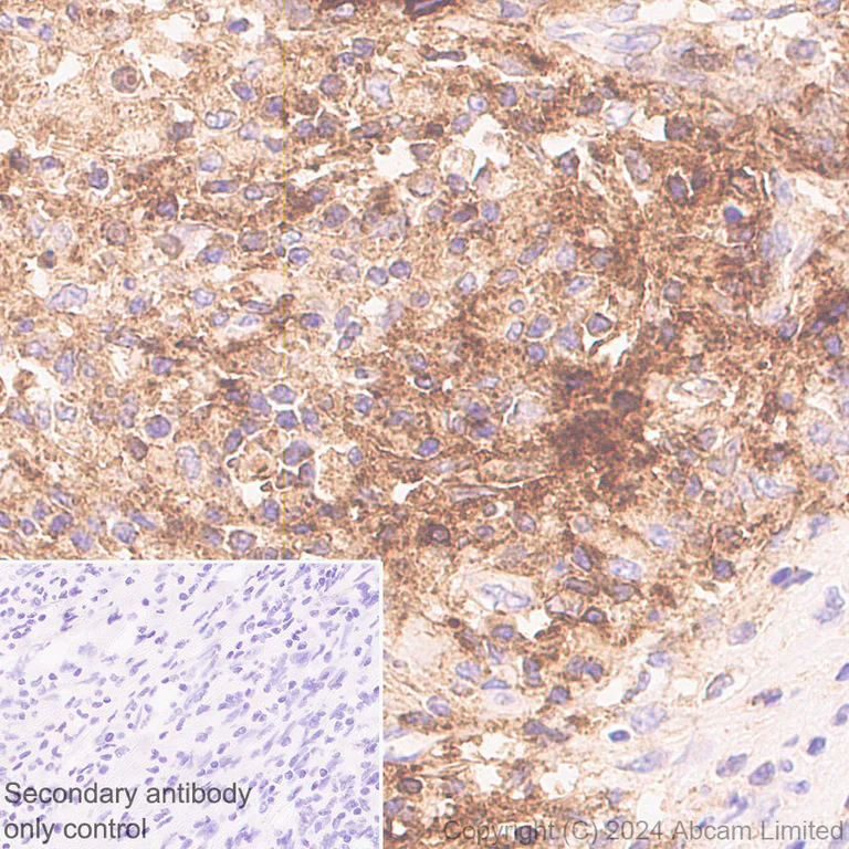
Immunohistochemistry (Formalin/PFA-fixed paraffin-embedded sections) - Anti-Lewis a,b carbohydrate antibody [HEA164] (AB322960)

Immunohistochemical analysis of paraffin-embedded Human pancreas cancer tissue labeling Lewis a,b carbohydrate with ab322960 at 1/10000 dilution, followed by a ready to use LeicaDS9800 (Bond™ Polymer Refine Detection).

Positive staining on human pancreas cancer.
The section was incubated with ab322960 for 30 mins at room temperature.
The immunostaining was performed on a Leica Biosystems BOND® RX instrument

Counterstained with Hematoxylin.

Secondary antibody only control : Secondary antibody is a ready to use LeicaDS9800 (Bond™ Polymer Refine Detection).

Heat mediated antigen retrieval was performed with Tris-EDTA buffer (pH 9.0, Epitope Retrieval Solution2) for 20 mins

Immunocytochemistry/ Immunofluorescence - Anti-Lewis a,b carbohydrate antibody [HEA164] (AB322960)
  • ICC/IF

Supplier Data

Immunocytochemistry/ Immunofluorescence - Anti-Lewis a,b carbohydrate antibody [HEA164] (AB322960)

Immunofluorescent analysis of 4% Paraformaldehyde-fixed, 0.1% TritonX-100 permeabilized BxPC-3 (human pancreas adenocarcinoma epithelial cell) cells labelling Lewis a,b carbohydrate with ab322960 at 1/2000 dilution, followed by ab150113 Goat Anti-Mouse IgG H&L (Alexa Fluor® 488) antibody at 1/1000 dilution (Green).

Confocal image showing cytoplasmic and membranous staining in BxPC-3 cell line (shown in green). The counterstain was observed in magenta. Nuclear DNA was labelled with DAPI (shown in blue).
Negative control : HepG2.
Image was taken with a confocal microscope (Leica-Microsystems, TCS SP8).

ab206369 Anti-beta Tubulin rabbit monoclonal antibody (Alexa Fluor® 594) was used to counterstain tubulin at 1/200 dilution (Magenta). The Nuclear counterstain was DAPI (Blue).

Secondary antibody only control : Secondary antibody is ab150113 Goat Anti-Mouse IgG H&L (Alexa Fluor® 488) at 1/1000 dilution.

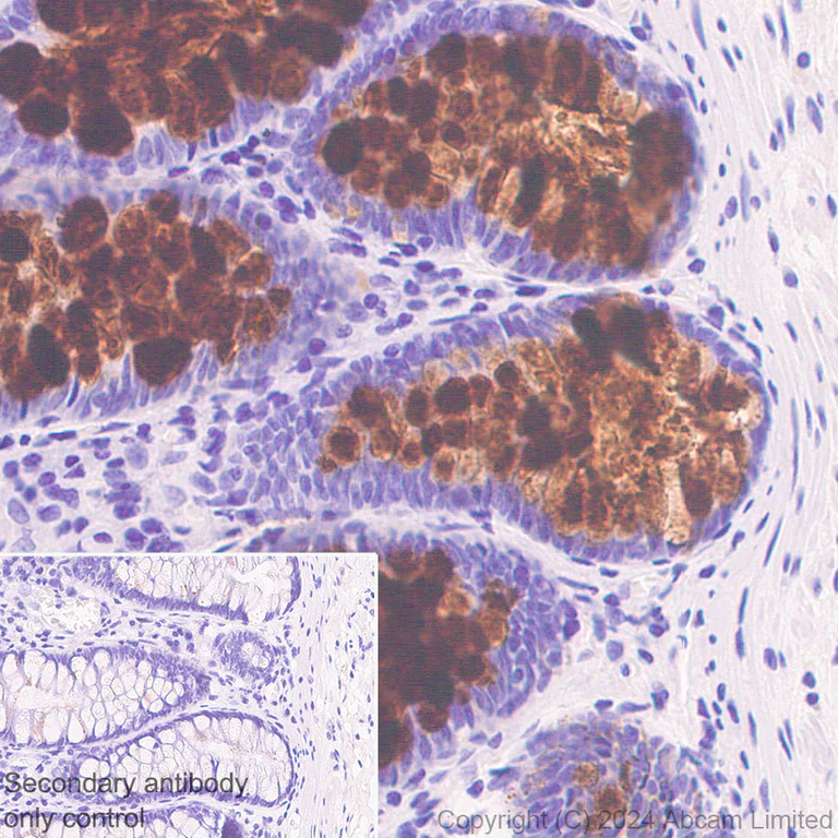
Immunohistochemistry (Formalin/PFA-fixed paraffin-embedded sections) - Anti-Lewis a,b carbohydrate antibody [HEA164] (AB322960)
  • IHC-P

Supplier Data

Immunohistochemistry (Formalin/PFA-fixed paraffin-embedded sections) - Anti-Lewis a,b carbohydrate antibody [HEA164] (AB322960)

Immunohistochemical analysis of paraffin-embedded Human colon cancer tissue labeling Lewis a,b carbohydrate with ab322960 at 1/10000 dilution, followed by a ready to use LeicaDS9800 (Bond™ Polymer Refine Detection).

Positive staining on human colon cancer.
The section was incubated with ab322960 for 30 mins at room temperature.
The immunostaining was performed on a Leica Biosystems BOND® RX instrument

Counterstained with Hematoxylin.

Secondary antibody only control : Secondary antibody is a ready to use LeicaDS9800 (Bond™ Polymer Refine Detection).

Heat mediated antigen retrieval was performed with Tris-EDTA buffer (pH 9.0, Epitope Retrieval Solution2) for 20 mins

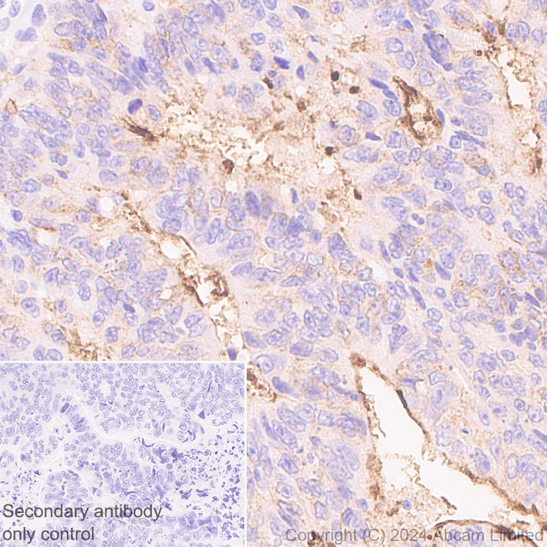
Immunohistochemistry (Formalin/PFA-fixed paraffin-embedded sections) - Anti-Lewis a,b carbohydrate antibody [HEA164] (AB322960)
  • IHC-P

Supplier Data

Immunohistochemistry (Formalin/PFA-fixed paraffin-embedded sections) - Anti-Lewis a,b carbohydrate antibody [HEA164] (AB322960)

Immunohistochemical analysis of paraffin-embedded Human colon tissue labeling Lewis a,b carbohydrate with ab322960 at 1/10000 dilution, followed by a ready to use LeicaDS9800 (Bond™ Polymer Refine Detection).

Positive staining on human colon.
The section was incubated with ab322960 for 30 mins at room temperature.
The immunostaining was performed on a Leica Biosystems BOND® RX instrument

Counterstained with Hematoxylin.

Secondary antibody only control : Secondary antibody is a ready to use LeicaDS9800 (Bond™ Polymer Refine Detection).

Heat mediated antigen retrieval was performed with Tris-EDTA buffer (pH 9.0, Epitope Retrieval Solution2) for 20 mins

Western blot - Anti-Lewis a,b carbohydrate antibody [HEA164] (AB322960)
  • WB

Supplier Data

Western blot - Anti-Lewis a,b carbohydrate antibody [HEA164] (AB322960)

Blocking and diluting buffer and concentration : 5% NFDM/TBST.

Negative control : HepG2
Low expression tissue : human liver

The identity of the lower MW band at approximately 150 kDa (in lane 3) is unknown.

Exposure time : Lane 1 : 8 seconds; Lane 2-4 : 59 seconds

In Western blot, Anti-GAPDH antibody [EPR16891] - Loading Control (ab181602) staining at 1/200000 dilution.

All lanes:

Western blot - Anti-Lewis a,b carbohydrate antibody [HEA164] (ab322960) at 1/1000 dilution

Lane 1:

BxPC-3 (human pancreas adenocarcinoma epithelial cell) whole cell lysate at 20 µg

Lane 2:

HepG2 (human hepatocellular carcinoma epithelial cell) whole cell lysate at 20 µg

Lane 3:

Human pancreas cancer tissue lysate at 20 µg

Lane 4:

Human liver tissue lysate at 20 µg

Secondary

All lanes:

Peroxidase-Conjugated Goat anti-Mouse IgG (H+L) at 1/10000 dilution

Observed band size: 250 kDa,36 kDa

false

Key facts

Host species

Mouse

Clonality

Monoclonal

Clone number

HEA164

Isotype

IgG1

Carrier free

No

Reacts with

Human

Applications

IHC-P, WB, ICC/IF, Flow Cyt (Intra)

applications

Immunogen

The exact immunogen used to generate this antibody is proprietary information.

Reactivity data

{ "title": "Reactivity Data", "filters": { "stats": ["", "Species", "Dilution Info", "Notes"], "tabs": { "all-applications": {"fullname" : "All Applications", "shortname": "All Applications"}, "FlowCytIntra" : {"fullname" : "Flow Cytometry (Intracellular)", "shortname":"Flow Cyt (Intra)"}, "ICCIF" : {"fullname" : "Immunocytochemistry/ Immunofluorescence", "shortname":"ICC/IF"}, "IHCP" : {"fullname" : "Immunohistochemistry (Formalin/PFA-fixed paraffin-embedded sections)", "shortname":"IHC-P"}, "IP" : {"fullname" : "Immunoprecipitation", "shortname":"IP"}, "WB" : {"fullname" : "Western blot", "shortname":"WB"} }, "product-promise": { "all": "all", "testedAndGuaranteed": "tested", "guaranteed": "expected", "predicted": "predicted", "notRecommended": "not-recommended" } }, "values": { "Human": { "FlowCytIntra-species-checked": "testedAndGuaranteed", "FlowCytIntra-species-dilution-info": "1/100", "FlowCytIntra-species-notes": "<p></p>", "ICCIF-species-checked": "testedAndGuaranteed", "ICCIF-species-dilution-info": "1/2000", "ICCIF-species-notes": "<p></p>", "IHCP-species-checked": "testedAndGuaranteed", "IHCP-species-dilution-info": "1/10000", "IHCP-species-notes": "<p></p> Perform heat-mediated antigen retrieval with Tris/EDTA buffer pH 9.0 before commencing with IHC staining protocol.", "IP-species-checked": "notRecommended", "IP-species-dilution-info": "", "IP-species-notes": "<p></p>", "WB-species-checked": "testedAndGuaranteed", "WB-species-dilution-info": "1/1000", "WB-species-notes": "<p></p>" } } }

Product details

What are the advantages of a recombinant monoclonal antibody?
This product is a recombinant monoclonal antibody, which offers several advantages including:

  • - High batch-to-batch consistency and reproducibility
  • - Improved sensitivity and specificity
  • - Long-term security of supply
  • - Animal-free batch production

For more information, read more on recombinant antibodies.

Want a custom formulation?
This antibody clone is manufactured by Abcam. If you require a custom buffer formulation or conjugation for your experiments, please contact orders@abcam.com

Properties and storage information

Form
Liquid
Purification technique
Affinity purification Protein A
Storage buffer
pH: 7.2 - 7.4 Preservative: 0.01% Sodium azide Constituents: PBS, 40% Glycerol (glycerin, glycerine), 0.05% BSA
Shipped at conditions
Blue Ice
Appropriate short-term storage duration
1-2 weeks
Appropriate short-term storage conditions
+4°C
Appropriate long-term storage conditions
-20°C
Aliquoting information
Upon delivery aliquot
Storage information
Avoid freeze / thaw cycle

Product protocols

For this product, it's our understanding that no specific protocols are required. You can visit:

Product promise

We are committed to supporting your work with high-quality reagents, and we're here for you every step of the way. In the unlikely event that one of our products does not perform as expected, you're protected by our Product Promise.
For full details, please see our Terms & Conditions

Please note: All products are 'FOR RESEARCH USE ONLY. NOT FOR USE IN DIAGNOSTIC OR THERAPEUTIC PROCEDURES'.

For licensing inquiries, please contact partnerships@abcam.com