JavaScript is disabled in your browser. Please enable JavaScript to view this website.
AB217572

Anti-LGALS3BP antibody [EPR21757-33]

Be the first to review this product! Submit a review

|

(9 Publications)

Rabbit Recombinant Monoclonal LGALS3BP antibody. Suitable for WB, Flow Cyt (Intra) and reacts with Mouse, Rat, Human samples. Cited in 9 publications.

View Alternative Names

M2BP, LGALS3BP, Galectin-3-binding protein, Basement membrane autoantigen p105, Lectin galactoside-binding soluble 3-binding protein, Mac-2-binding protein, Tumor-associated antigen 90K, MAC2BP, Mac-2 BP

5 Images
Flow Cytometry (Intracellular) - Anti-LGALS3BP antibody [EPR21757-33] (AB217572)
  • Flow Cyt (Intra)

Supplier Data

Flow Cytometry (Intracellular) - Anti-LGALS3BP antibody [EPR21757-33] (AB217572)

Intracellular flow cytometric analysis of 4% paraformaldehyde-fixed, 90% methanol permeabilized HepG2 (Human hepatocellular carcinoma epithelial cell) cell line labeling LGALS3BP with ab217572 at 1/60 (red) compared with a Rabbit monoclonal IgG (ab172730) (black) and an unlabeled control (cells incubated with secondary antibody only) (blue). Goat anti rabbit IgG (Alexa Fluor® 488, ab150077), at 1/2000 dilution was used as the secondary antibody.

Flow Cytometry (Intracellular) - Anti-LGALS3BP antibody [EPR21757-33] (AB217572)
  • Flow Cyt (Intra)

Supplier Data

Flow Cytometry (Intracellular) - Anti-LGALS3BP antibody [EPR21757-33] (AB217572)

Intracellular flow cytometric analysis of 4% paraformaldehyde-fixed, 90% methanol permeabilized MCF7 (Human breast adenocarcinoma epithelial cell) cell line labeling LGALS3BP with ab217572 at 1/60 (red) compared with a Rabbit monoclonal IgG (ab172730) (black) and an unlabeled control (cells incubated with secondary antibody only) (blue). Goat anti rabbit IgG (Alexa Fluor® 488, ab150077), at 1/2000 dilution was used as the secondary antibody.

Western blot - Anti-LGALS3BP antibody [EPR21757-33] (AB217572)
  • WB

Supplier Data

Western blot - Anti-LGALS3BP antibody [EPR21757-33] (AB217572)

Blocking/Dilution buffer : 5% NFDM/TBST.

Exposure time : Lanes 1 and 2 : 3 minutes; Lane 3 : 10 seconds.

The molecular mass observed is consistent with what has been described in the literature (PMID : 21526146, PMID : 21094132).

All lanes:

Western blot - Anti-LGALS3BP antibody [EPR21757-33] (ab217572) at 1/1000 dilution

Lane 1:

Human fetal brain lysate at 10 µg

Lane 2:

Human heart lysate at 10 µg

Lane 3:

Human fetal kidney lysate at 10 µg

Secondary

All lanes:

Western blot - VeriBlot for IP Detection Reagent (HRP) (<a href='/en-us/products/reagents/veriblot-for-ip-detection-reagent-hrp-ab131366'>ab131366</a>) at 1/2000 dilution

Predicted band size: 65 kDa

Observed band size: 70 kDa,97 kDa

false

Western blot - Anti-LGALS3BP antibody [EPR21757-33] (AB217572)
  • WB

Supplier Data

Western blot - Anti-LGALS3BP antibody [EPR21757-33] (AB217572)

Blocking/Dilution buffer : 5% NFDM/TBST.

Exposure times : Lanes 1 and 2 : 37 seconds; Lanes 3 and 4 : 15 seconds; Lanes 5 and 6 : 81 seconds.

The molecular mass observed is consistent with what has been described in the literature (PMID : 21526146, PMID : 21094132).

Lanes 1 - 4:

Western blot - Anti-LGALS3BP antibody [EPR21757-33] (ab217572) at 1/5000 dilution

Lanes 5 - 6:

Western blot - Anti-LGALS3BP antibody [EPR21757-33] (ab217572) at 1/1000 dilution

Lane 1:

HepG2 (Human hepatocellular carcinoma epithelial cell) whole cell lysate at 20 µg

Lane 2:

MCF7 (Human breast adenocarcinoma epithelial cell) whole cell lysate at 20 µg

Lane 3:

A549 (Human lung carcinoma epithelial cell) whole cell lysate at 20 µg

Lane 4:

HeLa (Human cervix adenocarcinoma epithelial cell) whole cell lysate at 20 µg

Lane 5:

4T1 (Mouse mammary gland carcinoma epithelial cell) whole cell lysate at 20 µg

Lane 6:

Hepa1-6 (Mouse hepatoma epithelial cell) whole cell lysate at 20 µg

Secondary

All lanes:

Western blot - Goat Anti-Rabbit IgG H&L (HRP) (<a href='/en-us/products/secondary-antibodies/goat-rabbit-igg-h-l-hrp-ab97051'>ab97051</a>) at 1/100000 dilution

Predicted band size: 65 kDa

Observed band size: 70 kDa,97 kDa

false

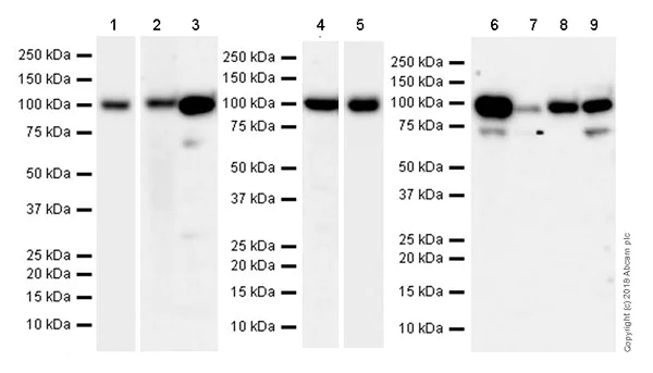
Western blot - Anti-LGALS3BP antibody [EPR21757-33] (AB217572)
  • WB

Supplier Data

Western blot - Anti-LGALS3BP antibody [EPR21757-33] (AB217572)

Blocking/Dilution buffer : 5% NFDM/TBST.

Exposure times : Lane 1 : 15 seconds; Lanes 3 and 4 : 136 seconds; Lane 4 : 3 minutes; Lane 5 : 15 seconds; Lanes 6,7,8 and 9 : 103 seconds.

The molecular mass observed is consistent with what has been described in the literature (PMID : 21526146, PMID : 21094132).

All lanes:

Western blot - Anti-LGALS3BP antibody [EPR21757-33] (ab217572) at 1/1000 dilution

Lane 1:

Rat brain lysate at 10 µg

Lane 2:

Rat liver lysate at 10 µg

Lane 3:

Rat spleen lysate at 10 µg

Lane 4:

Mouse heart lysate at 10 µg

Lane 5:

Mouse kidney lysate at 10 µg

Lane 6:

C6 (Rat glial tumor glial cell) whole cell lysate at 10 µg

Lane 7:

RAW 264.7 (Mouse Abelson murine leukemia virus-induced tumor macrophage) whole cell lysate at 10 µg

Lane 8:

PC-12 (Rat adrenal gland pheochromocytoma) whole cell lysate at 10 µg

Lane 9:

NIH/3T3 (Mouse embryonic fibroblast) whole cell lysate at 10 µg

Secondary

All lanes:

Western blot - Goat Anti-Rabbit IgG H&L (HRP) (<a href='/en-us/products/secondary-antibodies/goat-rabbit-igg-h-l-hrp-ab97051'>ab97051</a>) at 1/100000 dilution

Predicted band size: 65 kDa

Observed band size: 70 kDa,97 kDa

false

  • Carrier free

    Anti-LGALS3BP antibody [EPR21757-33] - BSA and Azide free

Key facts

Host species

Rabbit

Clonality

Monoclonal

Clone number

EPR21757-33

Isotype

IgG

Carrier free

No

Reacts with

Mouse, Rat, Human

Applications

WB, Flow Cyt (Intra)

applications

Immunogen

The exact immunogen used to generate this antibody is proprietary information.

Reactivity data

{ "title": "Reactivity Data", "filters": { "stats": ["", "Species", "Dilution Info", "Notes"], "tabs": { "all-applications": {"fullname" : "All Applications", "shortname": "All Applications"}, "WB" : {"fullname" : "Western blot", "shortname":"WB"}, "FlowCytIntra" : {"fullname" : "Flow Cytometry (Intracellular)", "shortname":"Flow Cyt (Intra)"} }, "product-promise": { "all": "all", "testedAndGuaranteed": "tested", "guaranteed": "expected", "predicted": "predicted", "notRecommended": "not-recommended" } }, "values": { "Human": { "WB-species-checked": "testedAndGuaranteed", "WB-species-dilution-info": "1/1000", "WB-species-notes": "<p></p>", "FlowCytIntra-species-checked": "testedAndGuaranteed", "FlowCytIntra-species-dilution-info": "1/60", "FlowCytIntra-species-notes": "<p></p>" }, "Mouse": { "WB-species-checked": "testedAndGuaranteed", "WB-species-dilution-info": "1/1000", "WB-species-notes": "<p></p>", "FlowCytIntra-species-checked": "guaranteed", "FlowCytIntra-species-dilution-info": "", "FlowCytIntra-species-notes": "" }, "Rat": { "WB-species-checked": "testedAndGuaranteed", "WB-species-dilution-info": "1/1000", "WB-species-notes": "<p></p>", "FlowCytIntra-species-checked": "guaranteed", "FlowCytIntra-species-dilution-info": "", "FlowCytIntra-species-notes": "" } } }

Product details

Patented technology
Our RabMAb® technology is a patented hybridoma-based technology for making rabbit monoclonal antibodies. For details on our patents, please refer to RabMAb® patents.

What are the advantages of a recombinant monoclonal antibody?
This product is a recombinant monoclonal antibody, which offers several advantages including:

  • - High batch-to-batch consistency and reproducibility
  • - Improved sensitivity and specificity
  • - Long-term security of supply
  • - Animal-free batch production

For more information, read more on recombinant antibodies.

Properties and storage information

Form
Liquid
Purification technique
Affinity purification Protein A
Storage buffer
pH: 7.2 - 7.4 Preservative: 0.01% Sodium azide Constituents: PBS, 40% Glycerol (glycerin, glycerine), 0.05% BSA
Shipped at conditions
Blue Ice
Appropriate short-term storage duration
1-2 weeks
Appropriate short-term storage conditions
+4°C
Appropriate long-term storage conditions
-20°C
Aliquoting information
Upon delivery aliquot
Storage information
Avoid freeze / thaw cycle

Supplementary information

This supplementary information is collated from multiple sources and compiled automatically.

LGALS3BP also known as Galectin-3-binding protein (Mac-2 binding protein 90K) is a multifaceted glycoprotein with a mass of approximately 90 kDa. It typically interacts with galectins especially galectin-3 and is known for its adhesive properties. Researchers frequently observe it in various tissues including epithelial cells immune cells and in the extracellular matrix highlighting its involvement across different biological functions.
Biological function summary

The LGALS3BP glycoprotein modulates cell-cell and cell-matrix interactions. It does not operate alone; researchers have identified its presence in multiple complexes impacting several cellular processes such as immune modulation cell adhesion and migration. LGALS3BP can affect the immune response by influencing T-cell and natural killer cell activities which can alter the body's defense against pathogens and tumors.

Pathways

LGALS3BP significantly influences the signaling pathways involved with immune function and cellular adhesion. It plays an important role in the galectin pathway where it interacts with galectin-3 contributing to processes like cell growth and apoptosis. Additionally it affects the integrin-mediated signaling pathway enhancing cell adhesion and motility which is vital for cell migration and signaling dynamics. These interactions involve proteins such as integrins and other adhesion molecules that influence cellular communication and structural integrity.

LGALS3BP is strongly linked to cancer and inflammation-related conditions. Its overexpression is correlated with tumor progression and metastasis as seen in various cancers such as breast and colorectal cancer. LGALS3BP modulates its effects by interacting with galectin-3 influencing tumor-immune escape mechanisms and promoting tumor growth. Further its role in inflammatory disorders suggests it contributes to pathological processes through interactions with proteins that mediate inflammation and immune response.

Product protocols

For this product, it's our understanding that no specific protocols are required. You can visit:

Target data

Promotes integrin-mediated cell adhesion. May stimulate host defense against viruses and tumor cells.
See full target information LGALS3BP

Publications (9)

Recent publications for all applications. Explore the full list and refine your search

BMC cancer 25:1313 PubMed40804612

2025

CircMORC1 downregulated in plasma EVs promotes gastric cancer cell proliferation and invasion via miR-103a-1-5p sponging.

Applications

Unspecified application

Species

Unspecified reactive species

Xiang-Ming Zhai,Yi-Qi Yang,Li Lin,Huan-Chang Luo,Zhi-Wei Guo,Ying-Song Wu

Scientific reports 15:26672 PubMed40696131

2025

The P4HB/LGALS3BP/NF-kB axis promotes the progression of MIA to IAC in lung adenocarcinoma.

Applications

Unspecified application

Species

Unspecified reactive species

Guang Mu,Wenhao Zhang,Yan Gu,Hongchang Wang,Jingjing Huang,Chengyu Bian,Ke Wei,Yang Xia,Jun Wang

Communications biology 8:228 PubMed39948151

2025

The proteomic landscape of stool-derived extracellular vesicles in patients with pre-cancerous lesions and colorectal cancer.

Applications

Unspecified application

Species

Unspecified reactive species

Emmalee J Northrop-Albrecht,Yohan Kim,William R Taylor,Shounak Majumder,John B Kisiel,Fabrice Lucien

BMC genomics 25:921 PubMed39363266

2024

A combined analysis of bulk RNA-seq and scRNA-seq was performed to investigate the molecular mechanisms associated with the occurrence of myocardial infarction.

Applications

Unspecified application

Species

Unspecified reactive species

Zheng Xie,Huicong Xie,Chen Xie,Saichao Yang,Yun Feng,Zhaohai Su,Tao Tang,Bilong Zhang,Jiangyong Yang,Yueting Wang,Ling Huang,Hengqing Zhu,Jun Cao,Rengui Jiang,Tian Li,Weiling Lu

Science advances 9:eadd8164 PubMed37205765

2023

Non-cell-autonomous regulation of interneuron specification mediated by extracellular vesicles.

Applications

Unspecified application

Species

Unspecified reactive species

Fabrizia Pipicelli,Natalia Baumann,Rossella Di Giaimo,Andrea Forero-Echeverry,Christina Kyrousi,Rebecca Bonrath,Giuseppina Maccarrone,Denis Jabaudon,Silvia Cappello

Investigative ophthalmology & visual science 63:25 PubMed35895036

2022

LGALS3BP in Microglia Promotes Retinal Angiogenesis Through PI3K/AKT Pathway During Hypoxia.

Applications

Unspecified application

Species

Unspecified reactive species

Chenyang Zhao,Yusen Liu,Jiayu Meng,Xiaotang Wang,Xianyang Liu,Wanqian Li,Qian Zhou,Junjie Xiang,Na Li,Shengping Hou

Nature cell biology 23:631-641 PubMed34108659

2021

Quantitative proteomics identifies the core proteome of exosomes with syntenin-1 as the highest abundant protein and a putative universal biomarker.

Applications

Unspecified application

Species

Unspecified reactive species

Fernanda G Kugeratski,Kelly Hodge,Sergio Lilla,Kathleen M McAndrews,Xunian Zhou,Rosa F Hwang,Sara Zanivan,Raghu Kalluri

Nature communications 12:3406 PubMed34099652

2021

SARS-CoV-2 RNAemia and proteomic trajectories inform prognostication in COVID-19 patients admitted to intensive care.

Applications

Unspecified application

Species

Unspecified reactive species

Clemens Gutmann,Kaloyan Takov,Sean A Burnap,Bhawana Singh,Hashim Ali,Konstantinos Theofilatos,Ella Reed,Maria Hasman,Adam Nabeebaccus,Matthew Fish,Mark Jw McPhail,Kevin O'Gallagher,Lukas E Schmidt,Christian Cassel,Marieke Rienks,Xiaoke Yin,Georg Auzinger,Salvatore Napoli,Salma F Mujib,Francesca Trovato,Barnaby Sanderson,Blair Merrick,Umar Niazi,Mansoor Saqi,Konstantina Dimitrakopoulou,Rafael Fernández-Leiro,Silke Braun,Romy Kronstein-Wiedemann,Katie J Doores,Jonathan D Edgeworth,Ajay M Shah,Stefan R Bornstein,Torsten Tonn,Adrian C Hayday,Mauro Giacca,Manu Shankar-Hari,Manuel Mayr

Heliyon 6:e05804 PubMed33385093

2020

Identification of novel substrates of a disintegrin and metalloprotease 17 by specific labeling of surface proteins.

Applications

Unspecified application

Species

Unspecified reactive species

Kazuki Omoteyama,Toshiyuki Sato,Masaaki Sato,Atsuhiro Tsutiya,Mitsumi Arito,Naoya Suematsu,Manae S Kurokawa,Tomohiro Kato
View all publications

Product promise

We are committed to supporting your work with high-quality reagents, and we're here for you every step of the way. In the unlikely event that one of our products does not perform as expected, you're protected by our Product Promise.
For full details, please see our Terms & Conditions

Please note: All products are 'FOR RESEARCH USE ONLY. NOT FOR USE IN DIAGNOSTIC OR THERAPEUTIC PROCEDURES'.

For licensing inquiries, please contact partnerships@abcam.com