JavaScript is disabled in your browser. Please enable JavaScript to view this website.
AB322977

Anti-LGALS3BP antibody [EPR26644-269]

Be the first to review this product! Submit a review

|

(0 Publication)

Rabbit Recombinant Monoclonal LGALS3BP antibody. Suitable for Flow Cyt (Intra), ICC/IF, WB and reacts with Human samples.

View Alternative Names

M2BP, LGALS3BP, Galectin-3-binding protein, Basement membrane autoantigen p105, Lectin galactoside-binding soluble 3-binding protein, Mac-2-binding protein, Tumor-associated antigen 90K, MAC2BP, Mac-2 BP

6 Images
Immunocytochemistry/ Immunofluorescence - Anti-LGALS3BP antibody [EPR26644-269] (AB322977)
  • ICC/IF

Supplier Data

Immunocytochemistry/ Immunofluorescence - Anti-LGALS3BP antibody [EPR26644-269] (AB322977)

Immunofluorescent analysis of 100% methanol-fixed, 0.1% TritonX-100 permeabilized HeLa (human cervical adenocarcinoma epithelial cell) cells labelling LGALS3BP with ab322977 at 1/100 (4.88 ug/ml) dilution, followed by ab150081 Goat Anti-Rabbit IgG H&L (Alexa Fluor® 488) preadsorbed antibody at 1/1000 2ug/ml dilution (Green).

Confocal image showing cytoplasmic staining in HeLa cell line (shown in green). The counterstain was observed in magenta. Nuclear DNA was labelled with DAPI (shown in blue).
Low expression : IMR-32.
Image was taken with a confocal microscope (Leica-Microsystems, TCS SP8).

ab195889 Anti-alpha Tubulin mouse monoclonal antibody - Microtubule Marker (Alexa Fluor® 594) was used to counterstain tubulin at 1/200 2.5ug/ml dilution (Magenta). The Nuclear counterstain was DAPI (Blue).

Secondary antibody only control : Secondary antibody is ab150081 Goat Anti-Rabbit IgG H&L (Alexa Fluor® 488) preadsorbed at 1/1000 2ug/ml dilution.

Flow Cytometry (Intracellular) - Anti-LGALS3BP antibody [EPR26644-269] (AB322977)
  • Flow Cyt (Intra)

Supplier Data

Flow Cytometry (Intracellular) - Anti-LGALS3BP antibody [EPR26644-269] (AB322977)

Flow cytometric analysis of 4% paraformaldehyde fixed 90% methanol permeabilized IMR-32(human neuroblastoma neuroblast, Left) / HeLa(human cervical adenocarcinoma epithelial cell, Right) cells labelling LGALS3BP with ab322977 at 1/500 dilution (0.1ug) (Red) compared with a Rabbit monoclonal IgG (ab172730) (Black) isotype control and an unlabelled control (cells without incubation with primary antibody and secondary antibody).

Goat Anti-Rabbit IgG (Alexa Fluor® 488, ab150081) at 1/5000 dilution was used as the secondary antibody.

Low expression : IMR-32

Western blot - Anti-LGALS3BP antibody [EPR26644-269] (AB322977)
  • WB

Supplier Data

Western blot - Anti-LGALS3BP antibody [EPR26644-269] (AB322977)

Blocking and diluting buffer and concentration : 5% NFDM/TBST.

The expression profile/ molecular weight observed is consistent with what has been described in the literature (PMID : 33076448, PMID : 26136428).

In Western blot, Anti-GAPDH antibody [EPR16891] - Loading Control (ab181602) staining at 1/200000 dilution.

All lanes:

Western blot - Anti-LGALS3BP antibody [EPR26644-269] (ab322977) at 1/1000 dilution

Lane 1:

Human salivary gland tissue lysate at 20 µg

Lane 2:

Human lung tissue lysate at 20 µg

Lane 3:

Human stomach tissue lysate at 20 µg

Lane 4:

Human brainstem tissue lysate at 20 µg

Lane 5:

Human small intestine tissue lysate at 20 µg

Lane 6:

Human colon tissue lysate at 20 µg

Secondary

All lanes:

Western blot - Goat Anti-Rabbit IgG H&L (HRP) (<a href='/en-us/products/secondary-antibodies/goat-rabbit-igg-h-l-hrp-ab97051'>ab97051</a>) at 1/100000 dilution

Observed band size: 37-100 kDa,36 kDa

false

Exposure time: 48s

Western blot - Anti-LGALS3BP antibody [EPR26644-269] (AB322977)
  • WB

Supplier Data

Western blot - Anti-LGALS3BP antibody [EPR26644-269] (AB322977)

Blocking and diluting buffer and concentration : 5% NFDM/TBST.

The expression profile/molecular weight observed is consistent with what has been described in the literature (PMID : 33076448, PMID : 26136428).

In Western blot, Anti-GAPDH antibody [EPR16891] - Loading Control (ab181602) staining at 1/200000 dilution.

All lanes:

Western blot - Anti-LGALS3BP antibody [EPR26644-269] (ab322977) at 1/1000 dilution

Lane 1:

HepG2 (human hepatocellular carcinoma epithelial cell) transfected with scrambled siRNA control whole cell lysate at 20 µg

Lane 2:

HepG2 transfected with siRNA specifically targeting LGALS3BP whole cell lysate at 20 µg

Secondary

All lanes:

Western blot - Goat Anti-Rabbit IgG H&L (HRP) (<a href='/en-us/products/secondary-antibodies/goat-rabbit-igg-h-l-hrp-ab97051'>ab97051</a>) at 1/100000 dilution

Observed band size: 37-100 kDa,36 kDa

false

Exposure time: 15s

Western blot - Anti-LGALS3BP antibody [EPR26644-269] (AB322977)
  • WB

Supplier Data

Western blot - Anti-LGALS3BP antibody [EPR26644-269] (AB322977)

Blocking and diluting buffer and concentration : 5% NFDM/TBST.

The expression profile/molecular weight observed is consistent with what has been described in the literature (PMID : 33076448, PMID : 26136428).

In Western blot, Anti-GAPDH antibody [EPR16891] - Loading Control (ab181602) staining at 1/200000 dilution.

All lanes:

Western blot - Anti-LGALS3BP antibody [EPR26644-269] (ab322977) at 1/1000 dilution

Lane 1:

HeLa (human cervical adenocarcinoma epithelial cell) transfected with scrambled siRNA control whole cell lysate at 40 µg

Lane 2:

HeLa transfected with siRNA specifically targeting LGALS3BP whole cell lysate at 40 µg

Secondary

All lanes:

Western blot - Goat Anti-Rabbit IgG H&L (HRP) (<a href='/en-us/products/secondary-antibodies/goat-rabbit-igg-h-l-hrp-ab97051'>ab97051</a>) at 1/100000 dilution

Observed band size: 75-100 kDa,36 kDa

false

Exposure time: 15s

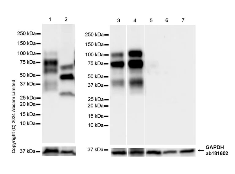
Western blot - Anti-LGALS3BP antibody [EPR26644-269] (AB322977)
  • WB

Supplier Data

Western blot - Anti-LGALS3BP antibody [EPR26644-269] (AB322977)

Blocking and diluting buffer and concentration : 5% NFDM/TBST.

Low expression : IMR-32, U-937, RKO.

LGALS3BP is a glycoprotein of approximately 37-100 kDa and detected as a 30-60 kDa band after treated with Peptide : N-glycosidase F (PNGase F).

The expression profile/molecular weight observed is consistent with what has been described in the literature (PMID : 33076448, PMID : 26136428).

In Western blot, Anti-GAPDH antibody [EPR16891] - Loading Control (ab181602) staining at 1/200000 dilution.

All lanes:

Western blot - Anti-LGALS3BP antibody [EPR26644-269] (ab322977) at 1/1000 dilution

Lane 1:

Untreated HepG2 (human hepatocellular carcinoma epithelial cell) whole cell lysate at 20 µg

Lane 2:

HepG2 whole cell lysate treated with Peptide: N-glycosidase F (PNGase F) at 20 µg

Lane 3:

SK-BR-3 (human breast adenocarcinoma epithelial cell) whole cell lysate at 20 µg

Lane 4:

HT-29 (human colorectal adenocarcinoma epithelial cell) whole cell lysate at 20 µg

Lane 5:

IMR-32 (human neuroblastoma neuroblast) whole cell lysate at 20 µg

Lane 6:

U-937 (human histiocytic lymphoma monocyte) whole cell lysate at 20 µg

Lane 7:

RKO (human colon epithelial cell) whole cell lysate at 20 µg

Secondary

All lanes:

Western blot - Goat Anti-Rabbit IgG H&L (HRP) (<a href='/en-us/products/secondary-antibodies/goat-rabbit-igg-h-l-hrp-ab97051'>ab97051</a>) at 1/100000 dilution

Observed band size: 30-60 kDa,37-100 kDa,36 kDa

false

Exposure time: 15s

Key facts

Host species

Rabbit

Clonality

Monoclonal

Clone number

EPR26644-269

Isotype

IgG

Carrier free

No

Reacts with

Human

Applications

ICC/IF, Flow Cyt (Intra), WB

applications

Immunogen

The exact immunogen used to generate this antibody is proprietary information.

Reactivity data

{ "title": "Reactivity Data", "filters": { "stats": ["", "Species", "Dilution Info", "Notes"], "tabs": { "all-applications": {"fullname" : "All Applications", "shortname": "All Applications"}, "FlowCytIntra" : {"fullname" : "Flow Cytometry (Intracellular)", "shortname":"Flow Cyt (Intra)"}, "ICCIF" : {"fullname" : "Immunocytochemistry/ Immunofluorescence", "shortname":"ICC/IF"}, "WB" : {"fullname" : "Western blot", "shortname":"WB"}, "IHCP" : {"fullname" : "Immunohistochemistry (Formalin/PFA-fixed paraffin-embedded sections)", "shortname":"IHC-P"} }, "product-promise": { "all": "all", "testedAndGuaranteed": "tested", "guaranteed": "expected", "predicted": "predicted", "notRecommended": "not-recommended" } }, "values": { "Human": { "FlowCytIntra-species-checked": "testedAndGuaranteed", "FlowCytIntra-species-dilution-info": "1/500", "FlowCytIntra-species-notes": "<p></p>", "ICCIF-species-checked": "testedAndGuaranteed", "ICCIF-species-dilution-info": "1/100", "ICCIF-species-notes": "<p></p>", "WB-species-checked": "testedAndGuaranteed", "WB-species-dilution-info": "1/1000", "WB-species-notes": "<p></p>", "IHCP-species-checked": "notRecommended", "IHCP-species-dilution-info": "", "IHCP-species-notes": "<p></p>" } } }

Product details

Patented technology
Our RabMAb® technology is a patented hybridoma-based technology for making rabbit monoclonal antibodies. For details on our patents, please refer to RabMAb® patents.

What are the advantages of a recombinant monoclonal antibody?
This product is a recombinant monoclonal antibody, which offers several advantages including:

  • - High batch-to-batch consistency and reproducibility
  • - Improved sensitivity and specificity
  • - Long-term security of supply
  • - Animal-free batch production

For more information, read more on recombinant antibodies.

Properties and storage information

Form
Liquid
Purification technique
Affinity purification Protein A
Storage buffer
pH: 7.2 - 7.4 Preservative: 0.01% Sodium azide Constituents: PBS, 40% Glycerol (glycerin, glycerine), 0.05% BSA
Shipped at conditions
Blue Ice
Appropriate short-term storage duration
1-2 weeks
Appropriate short-term storage conditions
+4°C
Appropriate long-term storage conditions
-20°C
Aliquoting information
Upon delivery aliquot
Storage information
Avoid freeze / thaw cycle

Product protocols

For this product, it's our understanding that no specific protocols are required. You can visit:

Target data

Promotes integrin-mediated cell adhesion. May stimulate host defense against viruses and tumor cells.
See full target information LGALS3BP

Product promise

We are committed to supporting your work with high-quality reagents, and we're here for you every step of the way. In the unlikely event that one of our products does not perform as expected, you're protected by our Product Promise.
For full details, please see our Terms & Conditions

Please note: All products are 'FOR RESEARCH USE ONLY. NOT FOR USE IN DIAGNOSTIC OR THERAPEUTIC PROCEDURES'.

For licensing inquiries, please contact partnerships@abcam.com