JavaScript is disabled in your browser. Please enable JavaScript to view this website.
AB137045

Anti-Lgi1/EPT antibody [EPR9084]

Be the first to review this product! Submit a review

|

(1 Publication)

Rabbit Recombinant Monoclonal Lgi1/EPT antibody. Suitable for IHC-P, WB and reacts with Human, Mouse, Rat samples. Cited in 1 publication.

View Alternative Names

EPT, UNQ775/PRO1569, LGI1, Leucine-rich glioma-inactivated protein 1, Epitempin-1

7 Images
Immunohistochemistry (Formalin/PFA-fixed paraffin-embedded sections) - Anti-Lgi1/EPT antibody [EPR9084] (AB137045)
  • IHC-P

Unknown

Immunohistochemistry (Formalin/PFA-fixed paraffin-embedded sections) - Anti-Lgi1/EPT antibody [EPR9084] (AB137045)

Immunohistochemical analysis of paraffin embedded Human brain tissue labelling Lgi1/EPT with ab137045 at 1/100 dilution.

Perform heat mediated antigen retrieval with citrate buffer pH 6 before commencing with IHC staining protocol.

Immunohistochemistry (Formalin/PFA-fixed paraffin-embedded sections) - Anti-Lgi1/EPT antibody [EPR9084] (AB137045)
  • IHC-P

Lab

Immunohistochemistry (Formalin/PFA-fixed paraffin-embedded sections) - Anti-Lgi1/EPT antibody [EPR9084] (AB137045)

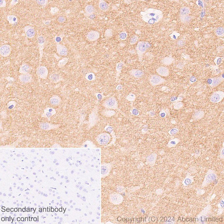
Immunohistochemical analysis of paraffin-embedded mouse cerebrum labeling Lgi1/EPT with ab137045 at 1/300 dilution, followed by a ready to use LeicaDS9800 (Bond Polymer Refine Detection).

Positive staining in mouse cerebrum.
The section was incubated with ab137045 for 30 mins at room temperature.
The immunostaining was performed on a Leica Biosystems BOND® RX instrument

Counterstained with Hematoxylin.

Secondary antibody only control : Secondary antibody is a ready to use LeicaDS9800 (Bond Polymer Refine Detection).

Heat mediated antigen retrieval was performed with Tris-EDTA buffer (pH 9.0, Epitope Retrieval Solution2) for 20 mins.

Immunohistochemistry (Formalin/PFA-fixed paraffin-embedded sections) - Anti-Lgi1/EPT antibody [EPR9084] (AB137045)
  • IHC-P

Lab

Immunohistochemistry (Formalin/PFA-fixed paraffin-embedded sections) - Anti-Lgi1/EPT antibody [EPR9084] (AB137045)

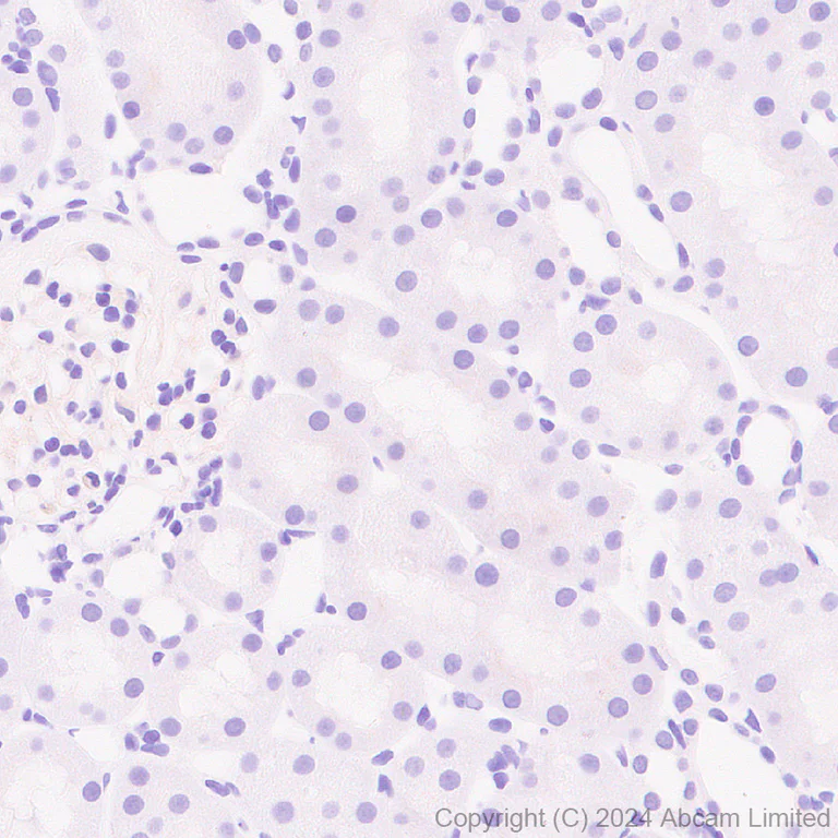
Immunohistochemical analysis of paraffin-embedded rat kidney labeling Lgi1/EPT with ab137045 at 1/300 dilution, followed by a ready to use LeicaDS9800 (Bond Polymer Refine Detection).

Negative control : no staining on rat kidney.
The section was incubated with ab137045 for 30 mins at room temperature.
The immunostaining was performed on a Leica Biosystems BOND® RX instrument

Counterstained with Hematoxylin.

Secondary antibody only control : Secondary antibody is a ready to use LeicaDS9800 (Bond Polymer Refine Detection).

Heat mediated antigen retrieval was performed with Tris-EDTA buffer (pH 9.0, Epitope Retrieval Solution2) for 20 mins.

Immunohistochemistry (Formalin/PFA-fixed paraffin-embedded sections) - Anti-Lgi1/EPT antibody [EPR9084] (AB137045)
  • IHC-P

Lab

Immunohistochemistry (Formalin/PFA-fixed paraffin-embedded sections) - Anti-Lgi1/EPT antibody [EPR9084] (AB137045)

Immunohistochemical analysis of paraffin-embedded mouse kidney labeling Lgi1/EPT with ab137045 at 1/300 dilution, followed by a ready to use LeicaDS9800 (Bond Polymer Refine Detection).

Negative control : no staining on mouse kidney.
The section was incubated with ab137045 for 30 mins at room temperature.
The immunostaining was performed on a Leica Biosystems BOND® RX instrument

Counterstained with Hematoxylin.

Secondary antibody only control : Secondary antibody is a ready to use LeicaDS9800 (Bond Polymer Refine Detection).

Heat mediated antigen retrieval was performed with Tris-EDTA buffer (pH 9.0, Epitope Retrieval Solution2) for 20 mins.

Immunohistochemistry (Formalin/PFA-fixed paraffin-embedded sections) - Anti-Lgi1/EPT antibody [EPR9084] (AB137045)
  • IHC-P

Lab

Immunohistochemistry (Formalin/PFA-fixed paraffin-embedded sections) - Anti-Lgi1/EPT antibody [EPR9084] (AB137045)

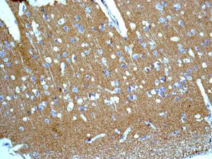
Immunohistochemical analysis of paraffin-embedded rat cerebrum labeling Lgi1/EPT with ab137045 at 1/300 dilution, followed by a ready to use LeicaDS9800 (Bond Polymer Refine Detection).

Positive staining in rat cerebrum.
The section was incubated with ab137045 for 30 mins at room temperature.
The immunostaining was performed on a Leica Biosystems BOND® RX instrument

Counterstained with Hematoxylin.

Secondary antibody only control : Secondary antibody is a ready to use LeicaDS9800 (Bond Polymer Refine Detection).

Heat mediated antigen retrieval was performed with Tris-EDTA buffer (pH 9.0, Epitope Retrieval Solution2) for 20 mins.

Western blot - Anti-Lgi1/EPT antibody [EPR9084] (AB137045)
  • WB

Lab

Western blot - Anti-Lgi1/EPT antibody [EPR9084] (AB137045)

Blocking and diluting buffer and concentration : 5% NFDM/TBST.

Low expression : heart, kidney, spleen.

The identity of the bands lower than 25 kDa is unknown.

In Western blot, Anti-GAPDH antibody [EPR16891] - Loading Control (ab181602) staining at 1/200000 dilution.

All lanes:

Western blot - Anti-Lgi1/EPT antibody [EPR9084] (ab137045) at 1/1000 dilution

Lane 1:

Mouse brain tissue lysate at 20 µg

Lane 2:

Mouse heart tissue lysate at 20 µg

Lane 3:

Mouse kidney tissue lysate at 20 µg

Lane 4:

Mouse spleen tissue lysate at 20 µg

Secondary

All lanes:

Western blot - Goat Anti-Rabbit IgG H&L (HRP) (<a href='/en-us/products/secondary-antibodies/goat-rabbit-igg-h-l-hrp-ab97051'>ab97051</a>) at 1/100000 dilution

Observed band size: 64 kDa

false

Exposure time: 180s

Western blot - Anti-Lgi1/EPT antibody [EPR9084] (AB137045)
  • WB

Unknown

Western blot - Anti-Lgi1/EPT antibody [EPR9084] (AB137045)

All lanes:

Western blot - Anti-Lgi1/EPT antibody [EPR9084] (ab137045) at 1/1000 dilution

Lane 1:

Human brain lysate at 10 µg

Lane 2:

HeLa lysate at 10 µg

Lane 3:

U87-MG lysate at 10 µg

Secondary

All lanes:

HRP conjugated Goat anti Rabbit IgG at 1/2000 dilution

Predicted band size: 64 kDa

false

  • Carrier free

    Anti-Lgi1/EPT antibody [EPR9084] - BSA and Azide free

Key facts

Host species

Rabbit

Clonality

Monoclonal

Clone number

EPR9084

Isotype

IgG

Carrier free

No

Reacts with

Human

Applications

WB, IHC-P

applications

Immunogen

The exact immunogen used to generate this antibody is proprietary information.

Reactivity data

{ "title": "Reactivity Data", "filters": { "stats": ["", "Species", "Dilution Info", "Notes"], "tabs": { "all-applications": {"fullname" : "All Applications", "shortname": "All Applications"}, "IHCP" : {"fullname" : "Immunohistochemistry (Formalin/PFA-fixed paraffin-embedded sections)", "shortname":"IHC-P"}, "FlowCyt" : {"fullname" : "Flow Cytometry", "shortname":"Flow Cyt"}, "WB" : {"fullname" : "Western blot", "shortname":"WB"}, "ICCIF" : {"fullname" : "Immunocytochemistry/ Immunofluorescence", "shortname":"ICC/IF"} }, "product-promise": { "all": "all", "testedAndGuaranteed": "tested", "guaranteed": "expected", "predicted": "predicted", "notRecommended": "not-recommended" } }, "values": { "Human": { "IHCP-species-checked": "testedAndGuaranteed", "IHCP-species-dilution-info": "1/100 - 1/300", "IHCP-species-notes": "<p></p> Perform heat-mediated antigen retrieval with citrate buffer pH 6 before commencing with IHC staining protocol.", "FlowCyt-species-checked": "notRecommended", "FlowCyt-species-dilution-info": "", "FlowCyt-species-notes": "<p></p>", "WB-species-checked": "testedAndGuaranteed", "WB-species-dilution-info": "1/1000 - 1/10000", "WB-species-notes": "<p></p>", "ICCIF-species-checked": "notRecommended", "ICCIF-species-dilution-info": "", "ICCIF-species-notes": "<p></p>" }, "Mouse": { "IHCP-species-checked": "testedAndGuaranteed", "IHCP-species-dilution-info": "1/100 - 1/300", "IHCP-species-notes": "<p></p> Perform heat-mediated antigen retrieval with Tris/EDTA buffer pH 9.0 before commencing with IHC staining protocol.", "FlowCyt-species-checked": "notRecommended", "FlowCyt-species-dilution-info": "", "FlowCyt-species-notes": "", "WB-species-checked": "guaranteed", "WB-species-dilution-info": "", "WB-species-notes": "", "ICCIF-species-checked": "notRecommended", "ICCIF-species-dilution-info": "", "ICCIF-species-notes": "" }, "Rat": { "IHCP-species-checked": "testedAndGuaranteed", "IHCP-species-dilution-info": "1/100 - 1/300", "IHCP-species-notes": "<p></p> Perform heat-mediated antigen retrieval with Tris/EDTA buffer pH 9.0 before commencing with IHC staining protocol.", "FlowCyt-species-checked": "notRecommended", "FlowCyt-species-dilution-info": "", "FlowCyt-species-notes": "", "WB-species-checked": "notRecommended", "WB-species-dilution-info": "", "WB-species-notes": "<p></p>", "ICCIF-species-checked": "notRecommended", "ICCIF-species-dilution-info": "", "ICCIF-species-notes": "" } } }

Product details

Patented technology
Our RabMAb® technology is a patented hybridoma-based technology for making rabbit monoclonal antibodies. For details on our patents, please refer to RabMAb® patents.

What are the advantages of a recombinant monoclonal antibody?
This product is a recombinant monoclonal antibody, which offers several advantages including:

  • - High batch-to-batch consistency and reproducibility
  • - Improved sensitivity and specificity
  • - Long-term security of supply
  • - Animal-free batch production

For more information, read more on recombinant antibodies.

Properties and storage information

Form
Liquid
Purification technique
Affinity purification Protein A
Storage buffer
pH: 7.2 - 7.4 Preservative: 0.01% Sodium azide Constituents: PBS, 40% Glycerol (glycerin, glycerine), 0.05% BSA
Shipped at conditions
Blue Ice
Appropriate short-term storage conditions
+4°C
Appropriate long-term storage conditions
-20°C
Aliquoting information
Upon delivery aliquot
Storage information
Avoid freeze / thaw cycle

Supplementary information

This supplementary information is collated from multiple sources and compiled automatically.

Lgi1 also known as leucine-rich glioma inactivated 1 is a synaptic protein with a mass of approximately 60 kDa. This protein is notably expressed in the brain where it plays a mechanical role in interacting with other synaptic molecules to mediate the formation and function of synaptic junctions. Lgi1 mainly associates with neuronal cell surfaces and is critical in synaptic stability and neurotransmitter release.
Biological function summary

Lgi1 influences synaptic transmission and plasticity. It forms a complex with the ADAM22 and ADAM23 proteins which are part of the disintegrin and metalloproteinase domain family. This complex regulates the activity and localization of ion channels involved in neuronal excitability influencing electrical signaling across neurons. These interactions are essential for maintaining proper neuronal communication and cognitive function.

Pathways

Several biological processes involve Lgi1 including the regulation of the voltage-gated potassium channel pathways and synaptic signaling pathways. Specifically Lgi1's interaction with ADAM22 facilitates the assembly of the postsynaptic density therefore contributing to synaptic strength. Moreover Lgi1 interacts with Kv1.1 an important partner in the modulation of ion channel activities that are central to neuronal signaling pathways.

Several conditions have a connection to Lgi1 especially autoimmune encephalitis and epilepsy. Autoimmune encephalitis often involves antibodies targeting Lgi1 affecting synaptic transmission and resulting in neurological symptoms. In epilepsy Lgi1 abnormalities potentially through disrupted interactions with related proteins like ADAM22 can lead to imbalances in neuronal excitability and trigger seizures. Understanding these connections helps in developing targeted therapies for these disorders.

Product protocols

For this product, it's our understanding that no specific protocols are required. You can visit:

Target data

Regulates voltage-gated potassium channels assembled from KCNA1, KCNA4 and KCNAB1. It slows down channel inactivation by precluding channel closure mediated by the KCNAB1 subunit. Ligand for ADAM22 that positively regulates synaptic transmission mediated by AMPA-type glutamate receptors (By similarity). Plays a role in suppressing the production of MMP1/3 through the phosphatidylinositol 3-kinase/ERK pathway. May play a role in the control of neuroblastoma cell survival.
See full target information LGI1

Publications (1)

Recent publications for all applications. Explore the full list and refine your search

Nature communications 16:3348 PubMed40199901

2025

Spatially resolved atlas of breast cancer uncovers intercellular machinery of venular niche governing lymphocyte extravasation.

Applications

Unspecified application

Species

Unspecified reactive species

Xin Wang,Zhanyu Wang,Qijun Liao,Pei Yuan,Junpu Mei,Yin Zhang,Chao Wu,Xiyu Kang,Sufei Zheng,Chenxuan Yang,Jiaxiang Liu,Qingyao Shang,Jiangtao Li,Bingning Wang,Liangyu Li,Hui Liu,Weining Hu,Zhensheng Dong,Jie Zhao,Linying Wang,Tao Liu,Yusheng Den,Chengrui Wang,Lijuan Han,Qianjun Chen,Huanming Yang,Xun Xu,Jie He,Zhen Yue,Nan Sun,Xiaodong Fang,Jianming Ying
View all publications

Product promise

We are committed to supporting your work with high-quality reagents, and we're here for you every step of the way. In the unlikely event that one of our products does not perform as expected, you're protected by our Product Promise.
For full details, please see our Terms & Conditions

Please note: All products are 'FOR RESEARCH USE ONLY. NOT FOR USE IN DIAGNOSTIC OR THERAPEUTIC PROCEDURES'.

For licensing inquiries, please contact partnerships@abcam.com