JavaScript is disabled in your browser. Please enable JavaScript to view this website.
AB262947

Anti-LH1 antibody

Be the first to review this product! Submit a review

|

(4 Publications)

Rabbit Polyclonal LH1 antibody. Suitable for IHC-P, WB and reacts with Human samples. Cited in 4 publications. Immunogen corresponding to Recombinant Fragment Protein within Human PLOD1 aa 300-400.

View Alternative Names

LLH, PLOD, PLOD1, Lysyl hydroxylase 1, LH1

2 Images
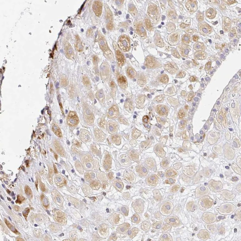
Immunohistochemistry (Formalin/PFA-fixed paraffin-embedded sections) - Anti-LH1 antibody (AB262947)
  • IHC-P

Unknown

Immunohistochemistry (Formalin/PFA-fixed paraffin-embedded sections) - Anti-LH1 antibody (AB262947)

Paraffin-embedded Human placenta tissue stained for LH1 using ab262947 at 1/50 dilution in immunohistochemical analysis.

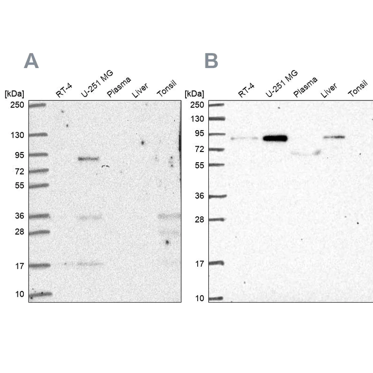
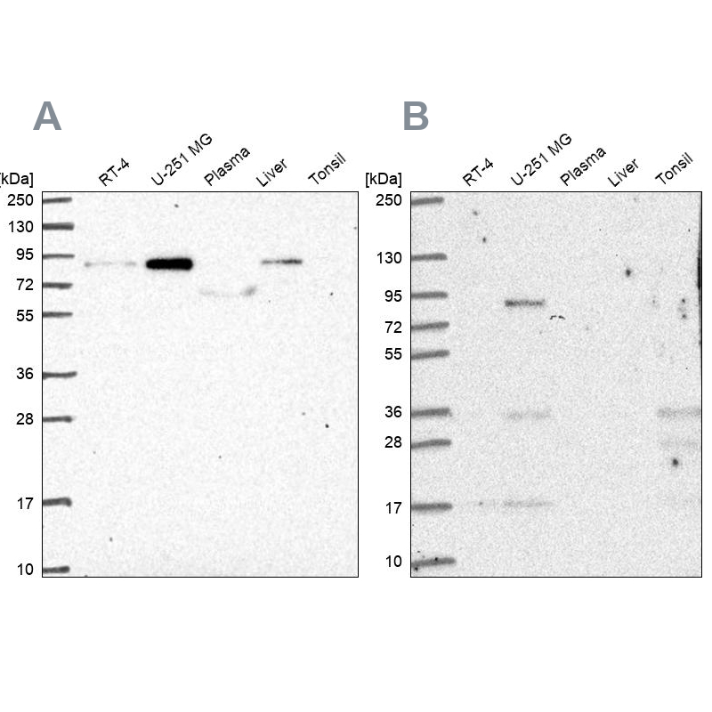
Western blot - Anti-LH1 antibody (AB262947)
  • WB

Unknown

Western blot - Anti-LH1 antibody (AB262947)

Western blot analysis using ab262947 shows a similar staining pattern as an independent antibody (B).

All lanes:

Western blot - Anti-LH1 antibody (ab262947) at 0.4 µg/mL

Lane 1:

RT4 cell lysate

Lane 2:

U-251 MG (formally U-373 MG) (human brain glioma cell line) whole cell lysate

Lane 3:

Human plasma

Lane 4:

Human liver tissue lysate

Lane 5:

Human tonsil tissue lysate

Predicted band size: 84 kDa

false

Key facts

Host species

Rabbit

Clonality

Polyclonal

Isotype

IgG

Carrier free

No

Reacts with

Human

Applications

IHC-P, WB

applications

Immunogen

Recombinant Fragment Protein within Human PLOD1 aa 300-400. The exact immunogen used to generate this antibody is proprietary information.

Q02809

Reactivity data

{ "title": "Reactivity Data", "filters": { "stats": ["", "Species", "Dilution Info", "Notes"], "tabs": { "all-applications": {"fullname" : "All Applications", "shortname": "All Applications"}, "IHCP" : {"fullname" : "Immunohistochemistry (Formalin/PFA-fixed paraffin-embedded sections)", "shortname":"IHC-P"}, "WB" : {"fullname" : "Western blot", "shortname":"WB"} }, "product-promise": { "all": "all", "testedAndGuaranteed": "tested", "guaranteed": "expected", "predicted": "predicted", "notRecommended": "not-recommended" } }, "values": { "Human": { "IHCP-species-checked": "testedAndGuaranteed", "IHCP-species-dilution-info": "1/50 - 1/200", "IHCP-species-notes": "<p></p> Perform heat-mediated antigen retrieval with citrate buffer pH 6 before commencing with IHC staining protocol.", "WB-species-checked": "testedAndGuaranteed", "WB-species-dilution-info": "0.4 µg/mL", "WB-species-notes": "<p></p>" } } }

Properties and storage information

Form
Liquid
Purification technique
Affinity purification Immunogen
Storage buffer
pH: 7.2 Preservative: 0.02% Sodium azide Constituents: PBS, 40% Glycerol (glycerin, glycerine)
Shipped at conditions
Blue Ice
Appropriate short-term storage duration
1-2 weeks
Appropriate short-term storage conditions
+4°C
Appropriate long-term storage conditions
-20°C
Aliquoting information
Upon delivery aliquot
Storage information
Avoid freeze / thaw cycle

Supplementary information

This supplementary information is collated from multiple sources and compiled automatically.

LH1 also known as Luteinizing Hormone subunit beta plays an important mechanical role in reproductive biology. The molecular mass of LH1 is approximately 15 kDa. It is chiefly expressed in the anterior pituitary gland. This expression is essential for mediating reproductive processes by interacting with other hormones and receptors located in various tissues including the gonads. The activity of LH1 involves binding and signaling through specific hormone receptors therefore instigating a cascade of biological responses.
Biological function summary

LH1 engages in regulatory functions within the reproductive system facilitating ovulation and stimulating the production of sex steroids such as testosterone and estradiol. LH1 operates as part of a dimeric glycoprotein hormone complex which includes the alpha and beta subunits that also construct other glycoprotein hormones like TSH and FSH. This complex plays a fundamental role in orchestrating the hormonal milieu necessary for reproductive organ function and development.

Pathways

LH1 operates within the hypothalamic-pituitary-gonadal (HPG) axis. This pathway involves a series of hormonal signals starting from GnRH release from the hypothalamus prompting the synthesis and release of LH1 from the pituitary. Within this axis LH1 works in conjunction with related proteins like FSH to regulate reproductive functions. These pathways ensure proper feedback regulation of hormone levels important for maintaining reproductive health and function.

LH1 abnormalities have associations with reproductive conditions such as polycystic ovary syndrome (PCOS) and hypogonadism. In PCOS an imbalance in LH1 and FSH levels can disrupt normal ovarian function leading to symptoms like irregular menstruation and infertility. In hypogonadism LH1 levels may be insufficient to stimulate normal gonadal activity. Prolactin another hormone interacting in these disorders can also influence the functioning of LH1 adding complexity to the underlying pathophysiology.

Product protocols

For this product, it's our understanding that no specific protocols are required. You can visit:

Target data

Part of a complex composed of PLOD1, P3H3 and P3H4 that catalyzes hydroxylation of lysine residues in collagen alpha chains and is required for normal assembly and cross-linkling of collagen fibrils (By similarity). Forms hydroxylysine residues in -Xaa-Lys-Gly- sequences in collagens (PubMed : 10686424, PubMed : 15854030, PubMed : 8621606). These hydroxylysines serve as sites of attachment for carbohydrate units and are essential for the stability of the intermolecular collagen cross-links (Probable).
See full target information PLOD1

Publications (4)

Recent publications for all applications. Explore the full list and refine your search

Biomacromolecules 25:6485-6502 PubMed39214607

2024

Harnessing the Biomimetic Effect of Macromolecular Crowding in the Cell-Derived Model of Clubfoot Fibrosis.

Applications

Unspecified application

Species

Unspecified reactive species

Martina Doubková,Jarmila Knitlová,David Vondrášek,Adam Eckhardt,Tomáš Novotný,Martin Ošt'ádal,Elena Filová,Lucie Bačáková

Laboratory investigation; a journal of technical methods and pathology 101:564-569 PubMed36775379

2023

PLODs are overexpressed in ovarian cancer and are associated with gap junctions via connexin 43.

Applications

Unspecified application

Species

Unspecified reactive species

Ting Guo,Chao Gu,Bin Li,Congjian Xu

Theranostics 11:9587-9604 PubMed34646388

2021

Lysyl hydroxylase 1 (LH1) deficiency promotes angiotensin II (Ang II)-induced dissecting abdominal aortic aneurysm.

Applications

Unspecified application

Species

Unspecified reactive species

Hao Li,Haochen Xu,Hongyan Wen,Hongyue Wang,Ranxu Zhao,Yingying Sun,Congxia Bai,Jiedan Ping,Li Song,Mingyao Luo,Jingzhou Chen

Laboratory investigation; a journal of technical m : PubMed33483598

2021

PLODs are overexpressed in ovarian cancer and are associated with gap junctions via connexin 43.

Applications

Unspecified application

Species

Unspecified reactive species

Ting Guo,Chao Gu,Bin Li,Congjian Xu
View all publications

Product promise

We are committed to supporting your work with high-quality reagents, and we're here for you every step of the way. In the unlikely event that one of our products does not perform as expected, you're protected by our Product Promise.
For full details, please see our Terms & Conditions

Please note: All products are 'FOR RESEARCH USE ONLY. NOT FOR USE IN DIAGNOSTIC OR THERAPEUTIC PROCEDURES'.

For licensing inquiries, please contact partnerships@abcam.com