JavaScript is disabled in your browser. Please enable JavaScript to view this website.
AB184337

Anti-Lhx2/LH2 antibody [EPR20449]

5

(6 Reviews)

|

(24 Publications)

Anti-Lhx2/LH2 antibody [EPR20449] (ab184337) is a rabbit monoclonal antibody detecting Lhx2/LH2 in Western Blot, IP, IHC-P, IHC-Fr. Suitable for Human, Mouse, Rat.

- Biophysical QC for unrivalled batch-batch consistency
- Over 10 publications

View Alternative Names

LH2, LHX2, LIM/homeobox protein Lhx2, Homeobox protein LH-2, LIM homeobox protein 2

13 Images
Immunohistochemistry (Formalin/PFA-fixed paraffin-embedded sections) - Anti-Lhx2/LH2 antibody [EPR20449] (AB184337)
  • IHC-P

Supplier Data

Immunohistochemistry (Formalin/PFA-fixed paraffin-embedded sections) - Anti-Lhx2/LH2 antibody [EPR20449] (AB184337)

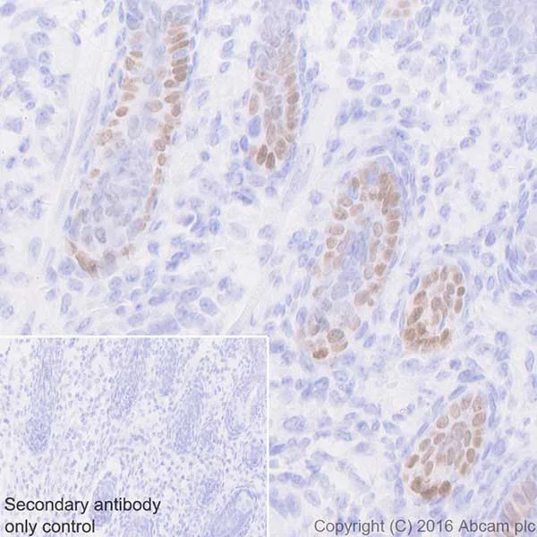
Immunohistochemical analysis of paraffin-embedded rat olfactory epithelium tissue labeling Lhx2/LH2 with ab184337 at 1/500 dilution, followed by Goat Anti-Rabbit IgG H&L (HRP) Ready to use. Nuclear staining on rat olfactory epithelium [PMID : 15456728].

Counter stained with Hematoxylin.

Secondary antibody only control : Used PBS instead of primary antibody, secondary antibody is Goat Anti-Rabbit IgG H&L (HRP) Ready to use.

Perform heat mediated antigen retrieval with Tris/EDTA buffer pH 9.0 before commencing with IHC staining protocol.

Immunohistochemistry (Formalin/PFA-fixed paraffin-embedded sections) - Anti-Lhx2/LH2 antibody [EPR20449] (AB184337)
  • IHC-P

Supplier Data

Immunohistochemistry (Formalin/PFA-fixed paraffin-embedded sections) - Anti-Lhx2/LH2 antibody [EPR20449] (AB184337)

Immunohistochemical analysis of paraffin-embedded nose skin of P0 rat labeling Lhx2/LH2 with ab184337 at 1/500 dilution, followed by Goat Anti-Rabbit IgG H&L (HRP) Ready to use. Nuclear staining on hair follicle of rat nose skin [PMID : 20386748].

Counter stained with Hematoxylin.

Secondary antibody only control : Used PBS instead of primary antibody, secondary antibody is Goat Anti-Rabbit IgG H&L (HRP) Ready to use.

Perform heat mediated antigen retrieval with Tris/EDTA buffer pH 9.0 before commencing with IHC staining protocol.

Immunohistochemistry (Formalin/PFA-fixed paraffin-embedded sections) - Anti-Lhx2/LH2 antibody [EPR20449] (AB184337)
  • IHC-P

Supplier Data

Immunohistochemistry (Formalin/PFA-fixed paraffin-embedded sections) - Anti-Lhx2/LH2 antibody [EPR20449] (AB184337)

Immunohistochemical analysis of paraffin-embedded Rat E14.5 labeling Lhx2/LH2 with ab184337 at 1/500 dilution, followed by Goat Anti-Rabbit IgG H&L (HRP) Ready to use. Nuclear staining on telencephalon and olfactory epithelium of rat E14.5 [PMID : 25071464].

Counter stained with Hematoxylin.

Secondary antibody only control : Used PBS instead of primary antibody, secondary antibody is Goat Anti-Rabbit IgG H&L (HRP) Ready to use.

Perform heat mediated antigen retrieval with Tris/EDTA buffer pH 9.0 before commencing with IHC staining protocol.

Immunohistochemistry (Formalin/PFA-fixed paraffin-embedded sections) - Anti-Lhx2/LH2 antibody [EPR20449] (AB184337)
  • IHC-P

Supplier Data

Immunohistochemistry (Formalin/PFA-fixed paraffin-embedded sections) - Anti-Lhx2/LH2 antibody [EPR20449] (AB184337)

Immunohistochemical analysis of paraffin-embedded Mouse E14.5 labeling Lhx2/LH2 with ab184337 at 1/500 dilution, followed by Goat Anti-Rabbit IgG H&L (HRP) Ready to use. Nuclear staining on telencephalon and olfactory epithelium of mouse E14.5 [PMID : 25071464].

Counter stained with Hematoxylin.

Secondary antibody only control : Used PBS instead of primary antibody, secondary antibody is Goat Anti-Rabbit IgG H&L (HRP) Ready to use.

Perform heat mediated antigen retrieval with Tris/EDTA buffer pH 9.0 before commencing with IHC staining protocol.

Immunohistochemistry (Formalin/PFA-fixed paraffin-embedded sections) - Anti-Lhx2/LH2 antibody [EPR20449] (AB184337)
  • IHC-P

Supplier Data

Immunohistochemistry (Formalin/PFA-fixed paraffin-embedded sections) - Anti-Lhx2/LH2 antibody [EPR20449] (AB184337)

Immunohistochemical analysis of paraffin-embedded mouse olfactory epithelium tissue labeling Lhx2/LH2 with ab184337 at 1/500 dilution, followed by Goat Anti-Rabbit IgG H&L (HRP) Ready to use. Nuclear staining on mouse olfactory epithelium [PMID : 15456728].

Counter stained with Hematoxylin.

Secondary antibody only control : Used PBS instead of primary antibody, secondary antibody is Goat Anti-Rabbit IgG H&L (HRP) Ready to use.

Perform heat mediated antigen retrieval with Tris/EDTA buffer pH 9.0 before commencing with IHC staining protocol.

Immunohistochemistry (Frozen sections) - Anti-Lhx2/LH2 antibody [EPR20449] (AB184337)
  • IHC-Fr

Supplier Data

Immunohistochemistry (Frozen sections) - Anti-Lhx2/LH2 antibody [EPR20449] (AB184337)

Immunohistochemical analysis of 4% paraformaldehyde-fixed, 0.2% Triton X-100 permeabilized frozen rat E14.5 labeling Lhx2/LH2 with ab184337 at 1/500 dilution, followed by Goat anti-rabbit IgG (Alexa Fluor® 488) (ab150077) secondary antibody at 1/1000 dilution (green). Nuclear staining on olfactory epithelium of rat E14.5 [PMID : 15456728].

The nuclear counterstain is DAPI (blue).

Secondary antibody only control : Used PBS instead of primary antibody, secondary antibody is Goat anti-rabbit IgG (Alexa Fluor® 488) (ab150077) secondary antibody at 1/1000 dilution.

Immunohistochemistry (Frozen sections) - Anti-Lhx2/LH2 antibody [EPR20449] (AB184337)
  • IHC-Fr

Supplier Data

Immunohistochemistry (Frozen sections) - Anti-Lhx2/LH2 antibody [EPR20449] (AB184337)

Immunohistochemical analysis of 4% paraformaldehyde-fixed, 0.2% Triton X-100 permeabilized frozen mouse E14.5 labeling Lhx2/LH2 with ab184337 at 1/500 dilution, followed by Goat anti-rabbit IgG (Alexa Fluor® 488) (ab150077) secondary antibody at 1/1000 dilution (green). Nuclear staining on vomeronasal organ of mouse E14.5 [PMID : 27521061].

The nuclear counterstain is DAPI (blue).

Secondary antibody only control : Used PBS instead of primary antibody, secondary antibody is Goat anti-rabbit IgG (Alexa Fluor® 488) (ab150077) secondary antibody at 1/1000 dilution.

Immunohistochemistry (Formalin/PFA-fixed paraffin-embedded sections) - Anti-Lhx2/LH2 antibody [EPR20449] (AB184337)
  • IHC-P

Supplier Data

Immunohistochemistry (Formalin/PFA-fixed paraffin-embedded sections) - Anti-Lhx2/LH2 antibody [EPR20449] (AB184337)

Immunohistochemical analysis of paraffin-embedded nose skin of P0 mouse labeling Lhx2/LH2 with ab184337 at 1/500 dilution, followed by Goat Anti-Rabbit IgG H&L (HRP) Ready to use. Nuclear staining on hair follicle of mouse nose skin [PMID : 20386748].

Counter stained with Hematoxylin.

Secondary antibody only control : Used PBS instead of primary antibody, secondary antibody is Goat Anti-Rabbit IgG H&L (HRP) Ready to use.

Perform heat mediated antigen retrieval with Tris/EDTA buffer pH 9.0 before commencing with IHC staining protocol.

Immunoprecipitation - Anti-Lhx2/LH2 antibody [EPR20449] (AB184337)
  • IP

Supplier Data

Immunoprecipitation - Anti-Lhx2/LH2 antibody [EPR20449] (AB184337)

Lhx2/LH2 was immunoprecipitated from 0.35 mg of E18 rat brain lysate with ab184337 at 1/30 dilution. Western blot was performed from the immunoprecipitate using ab184337 at 1/500 dilution. VeriBlot for IP Detection Reagent (HRP) (ab131366), was used for detection at 1/1000 dilution.

Lane 1 : E18 rat brain lysate, 10 μg (Input).

Lane 2 : ab184337 IP in E18 rat brain lysate.

Lane 3 : Rabbit monoclonal IgG (ab172730) instead of ab184337 in E18 rat brain lysate.

Blocking and dilution buffer and concentration : 5% NFDM/TBST.

Exposure time : 3 minutes.

All lanes:

Immunoprecipitation - Anti-Lhx2/LH2 antibody [EPR20449] (ab184337)

Predicted band size: 44 kDa

Observed band size: 47 kDa

false

Western blot - Anti-Lhx2/LH2 antibody [EPR20449] (AB184337)
  • WB

Supplier Data

Western blot - Anti-Lhx2/LH2 antibody [EPR20449] (AB184337)

Blocking/Dilution buffer : 5% NFDM/TBST.

Molecular weight observed is consistent with what has been described in the literature, PMID 22028024, PMID 25128627.

All lanes:

Western blot - Anti-Lhx2/LH2 antibody [EPR20449] (ab184337) at 1/200 dilution

All lanes:

E12.5 mouse brain lysate at 20 µg

Secondary

All lanes:

Western blot - Goat Anti-Rabbit IgG H&L (HRP) (<a href='/en-us/products/secondary-antibodies/goat-rabbit-igg-h-l-hrp-ab97051'>ab97051</a>) at 1/20000 dilution

Predicted band size: 44 kDa

Observed band size: 47 kDa

false

Exposure time: 30s

Western blot - Anti-Lhx2/LH2 antibody [EPR20449] (AB184337)
  • WB

Supplier Data

Western blot - Anti-Lhx2/LH2 antibody [EPR20449] (AB184337)

Blocking/Dilution buffer : 5% NFDM/TBST.

All lanes:

Western blot - Anti-Lhx2/LH2 antibody [EPR20449] (ab184337) at 1/1000 dilution

All lanes:

E18 rat brain lysate at 20 µg

Secondary

All lanes:

Western blot - Goat Anti-Rabbit IgG H&L (HRP) (<a href='/en-us/products/secondary-antibodies/goat-rabbit-igg-h-l-hrp-ab97051'>ab97051</a>) at 1/20000 dilution

Predicted band size: 44 kDa

Observed band size: 47 kDa

false

Exposure time: 3min

Western blot - Anti-Lhx2/LH2 antibody [EPR20449] (AB184337)
  • WB

Lab

Western blot - Anti-Lhx2/LH2 antibody [EPR20449] (AB184337)

Blocking buffer and concentration : 5% NFDM/TBST Diluting buffer and concentration : 5% NFDM/TBST

Lanes 1 - 2:

Western blot - Anti-Lhx2/LH2 antibody [EPR20449] - BSA and Azide free (<a href='/en-us/products/primary-antibodies/lhx2-lh2-antibody-epr20449-bsa-and-azide-free-ab236037'>ab236037</a>) at 1/1000 dilution

Lanes 1 - 2:

Western blot - Anti-Lhx2/LH2 antibody [EPR20449] (ab184337) at 1/1000 dilution

Lane 1:

293T (Human embryonic kidney epithelial cell) whole cell lysate at 20 µg

Lane 2:

293T transfected with human Lhx2/LH2 (WT) expression vector containing a GFP-tag, whole cell lysate at 20 µg

Secondary

All lanes:

Western blot - Goat Anti-Rabbit IgG H&L (HRP) (<a href='/en-us/products/secondary-antibodies/goat-rabbit-igg-h-l-hrp-ab97051'>ab97051</a>) at 1/20000 dilution

Predicted band size: 44 kDa

Observed band size: 80 kDa

false

Exposure time: 3s

Western blot - Anti-Lhx2/LH2 antibody [EPR20449] (AB184337)
  • WB

Supplier Data

Western blot - Anti-Lhx2/LH2 antibody [EPR20449] (AB184337)

Blocking/Dilution buffer : 5% NFDM/TBST.

All lanes:

Western blot - Anti-Lhx2/LH2 antibody [EPR20449] (ab184337) at 1/1000 dilution

Lane 1:

His-tagged rat Lhx2/LH2 recombinant protein fragment (aa43-426) at 0.01 µg

Lane 2:

His-tagged rat Lhx9 recombinant protein fragment (aa54-172) at 0.01 µg

Secondary

All lanes:

Western blot - Goat Anti-Rabbit IgG H&L (HRP) (<a href='/en-us/products/secondary-antibodies/goat-rabbit-igg-h-l-hrp-ab97051'>ab97051</a>) at 1/100000 dilution

Predicted band size: 44 kDa

Observed band size: 47 kDa

false

Exposure time: 3min

Key facts

Host species

Rabbit

Clonality

Monoclonal

Clone number

EPR20449

Isotype

IgG

Carrier free

No

Reacts with

Mouse, Rat, Human

Applications

IHC-Fr, IP, WB, IHC-P

applications

Immunogen

The exact immunogen used to generate this antibody is proprietary information.

Reactivity data

{ "title": "Reactivity Data", "filters": { "stats": ["", "Species", "Dilution Info", "Notes"], "tabs": { "all-applications": {"fullname" : "All Applications", "shortname": "All Applications"}, "IP" : {"fullname" : "Immunoprecipitation", "shortname":"IP"}, "WB" : {"fullname" : "Western blot", "shortname":"WB"}, "IHCFr" : {"fullname" : "Immunohistochemistry (Frozen sections)", "shortname":"IHC-Fr"}, "IHCP" : {"fullname" : "Immunohistochemistry (Formalin/PFA-fixed paraffin-embedded sections)", "shortname":"IHC-P"} }, "product-promise": { "all": "all", "testedAndGuaranteed": "tested", "guaranteed": "expected", "predicted": "predicted", "notRecommended": "not-recommended" } }, "values": { "Human": { "IP-species-checked": "guaranteed", "IP-species-dilution-info": "", "IP-species-notes": "", "WB-species-checked": "testedAndGuaranteed", "WB-species-dilution-info": "1/1000", "WB-species-notes": "<p></p>", "IHCFr-species-checked": "guaranteed", "IHCFr-species-dilution-info": "", "IHCFr-species-notes": "", "IHCP-species-checked": "guaranteed", "IHCP-species-dilution-info": "", "IHCP-species-notes": "" }, "Mouse": { "IP-species-checked": "guaranteed", "IP-species-dilution-info": "", "IP-species-notes": "", "WB-species-checked": "testedAndGuaranteed", "WB-species-dilution-info": "1/1000", "WB-species-notes": "<p></p>", "IHCFr-species-checked": "testedAndGuaranteed", "IHCFr-species-dilution-info": "1/500", "IHCFr-species-notes": "<p>Antigen retrieval: Heated citrate solution (10mM citrate pH 6.0 + 0.05% Tween-20).</p>", "IHCP-species-checked": "testedAndGuaranteed", "IHCP-species-dilution-info": "1/500", "IHCP-species-notes": "<p></p> Perform heat-mediated antigen retrieval with Tris/EDTA buffer pH 9.0 before commencing with IHC staining protocol." }, "Rat": { "IP-species-checked": "testedAndGuaranteed", "IP-species-dilution-info": "1/30", "IP-species-notes": "<p></p>", "WB-species-checked": "testedAndGuaranteed", "WB-species-dilution-info": "1/1000", "WB-species-notes": "<p></p>", "IHCFr-species-checked": "testedAndGuaranteed", "IHCFr-species-dilution-info": "1/500", "IHCFr-species-notes": "<p>Antigen retrieval: Heated citrate solution (10mM citrate pH 6.0 + 0.05% Tween-20).</p>", "IHCP-species-checked": "testedAndGuaranteed", "IHCP-species-dilution-info": "1/500", "IHCP-species-notes": "<p></p> Perform heat-mediated antigen retrieval with Tris/EDTA buffer pH 9.0 before commencing with IHC staining protocol." } } }

Product details

What is this antibody validated in?
Anti-Lhx2/LH2 antibody [EPR20449] (ab184337) is a rabbit recombinant monoclonal antibody and is validated for use in Western Blot (WB), Immunoprecipitation (IP), Immunohistochemistry (IHC-P), Immunohistochemistry (IHC-Fr) in Human, Mouse, Rat samples.

What is the molecular weight of Lhx2/LH2?
Anti-Lhx2/LH2 [EPR20449] (ab184337) specifically detects a band for Lhx2/LH2 (UniProt: P36198) at a molecular weight of 44kDa.

Trusted by the scientific community
Anti-Lhx2/LH2 [EPR20449] (ab184337) was first used in a scientific publication in 2017 and has been cited over 10 times in peer-reviewed journals.

Reviewed by scientists
Anti-Lhx2/LH2 [EPR20449] (ab184337) has over 5 independent reviews from customers.

Trial sizes available!
Test your antibody or perform pre-screening before committing to a larger quantity. Sold in 10µl. Discover our selection of trial-size antibodies.

Other related products
We have a range of other formats of antibody clone [EPR20449] also available for your convenience: ab184337, Carrier free - ab236037, Alexa Fluor® 647 - ab322021

Patented technology
Our RabMAb® technology is a patented hybridoma-based technology for making rabbit monoclonal antibodies. For details on our patents, please refer to RabMAb® patents.

What are the advantages of a recombinant monoclonal antibody?
This product is a recombinant monoclonal antibody, which offers several advantages including:

  • - High batch-to-batch consistency and reproducibility
  • - Improved sensitivity and specificity
  • - Long-term security of supply
  • - Animal-free batch production

For more information, read more on recombinant antibodies.

Properties and storage information

Form
Liquid
Purification technique
Affinity purification Protein A
Storage buffer
pH: 7.2 Preservative: 0.01% Sodium azide Constituents: PBS, 40% Glycerol (glycerin, glycerine), 0.05% BSA
Shipped at conditions
Blue Ice
Appropriate short-term storage duration
1-2 weeks
Appropriate short-term storage conditions
+4°C
Appropriate long-term storage conditions
-20°C
Aliquoting information
Upon delivery aliquot
Storage information
Avoid freeze / thaw cycle

Supplementary information

This supplementary information is collated from multiple sources and compiled automatically.

The Lhx2 protein also known as LH2 is a member of the LIM homeobox family of transcription factors. It has a molecular mass of approximately 45 kDa. Known for its dual LIM domains and a homeodomain Lhx2 directly binds DNA and regulates gene expression. This protein is expressed in various tissues including the developing brain retina and liver. Notably Lhx2 plays a role in embryonic development by impacting the growth and differentiation of several tissue types.
Biological function summary

Researchers link the Lhx2 protein to key processes in cellular differentiation and organ development. Lhx2 often partners within transcriptional complexes that guide cellular fate decisions. By interacting with other cofactors Lhx2 influences the expression of genes involved in tissue-specific differentiation and morphogenesis. This regulatory action is essential for the proper formation and function of certain organs and structures in the body.

Pathways

Lhx2 impacts several intricate biological pathways notably in neural development. It functions within the Wnt signaling pathway where it modulates neural progenitor cell populations in the central nervous system. Through this pathway Lhx2 associates with proteins like Β-catenin to control gene expression linked to brain development. Additionally Lhx2 is involved in the Sonic hedgehog (Shh) signaling pathway aligning with proteins such as Gli1 to influence neuronal patterning.

Mutations or dysregulation of Lhx2 have connections to conditions like anophthalmia and brain malformations. Aberrant expression of Lhx2 can disrupt normal development contributing to these congenital anomalies. Furthermore Lhx2's interaction with proteins including Pax6 plays a role in ocular development and anomalies in these interactions can lead to abnormal eye formation. Researchers continue to investigate the significance of Lhx2 in various developmental diseases to develop targeted therapeutic approaches.

Product protocols

For this product, it's our understanding that no specific protocols are required. You can visit:

Target data

Acts as a transcriptional activator. Stimulates the promoter of the alpha-glycoprotein gene. Transcriptional regulatory protein involved in the control of cell differentiation in developing lymphoid and neural cell types (By similarity).
See full target information LHX2

Publications (24)

Recent publications for all applications. Explore the full list and refine your search

Genes & development 39:1338-1354 PubMed40774817

2025

Mouse cortical cellular diversification through lineage progression of radial glia.

Applications

Unspecified application

Species

Unspecified reactive species

Lin Yang,Ziwu Wang,Yanjing Gao,Zhenmeiyu Li,Guoping Liu,Zhejun Xu,Zhuangzhi Zhang,Yan You,Zhengang Yang,Xiaosu Li

Biology open 14: PubMed40557565

2025

Altered epithelial development of the lateral ventricle choroid plexus in Mllt11 mutants.

Applications

Unspecified application

Species

Unspecified reactive species

Sam Moore,Danielle Stanton-Turcotte,Emily A Witt,Angelo Iulianella

Nature communications 16:5132 PubMed40461535

2025

Forebrain neural progenitors effectively integrate into host brain circuits and improve neural function after ischemic stroke.

Applications

Unspecified application

Species

Unspecified reactive species

Xiao He,Jiadong Chen,Yan Zhong,Peili Cen,Li Shen,Fei Huang,Jing Wang,Chentao Jin,Rui Zhou,Xiaohui Zhang,Anxin Wang,Jing Fan,Shuang Wu,Mengjiao Tu,Xiyi Qin,Xiaoyun Luo,Yu Zhou,Jieqiao Peng,Youyou Zhou,A Cahid Civelek,Mei Tian,Hong Zhang

The Journal of cell biology 224: PubMed39879198

2025

Sphingolipid metabolism orchestrates establishment of the hair follicle stem cell compartment.

Applications

Unspecified application

Species

Unspecified reactive species

Franziska Peters,Windie Höfs,Hunki Lee,Susanne Brodesser,Kai Kruse,Hannes C A Drexler,Jiali Hu,Verena K Raker,Dominika Lukas,Esther von Stebut,Martin Krönke,Carien M Niessen,Sara A Wickström

Science advances 10:eadi5791 PubMed38241368

2024

Tenascin-C expressing touch dome keratinocytes exhibit characteristics of all epidermal lineages.

Applications

Unspecified application

Species

Unspecified reactive species

Minh Binh Nguyen,Pooja Flora,Meagan C Branch,Madison Weber,Xiang Yu Zheng,Unnikrishnan Sivan,Simon Joost,Karl Annusver,Deyou Zheng,Maria Kasper,Elena Ezhkova

Nature : PubMed38057666

2023

A human embryonic limb cell atlas resolved in space and time.

Applications

Unspecified application

Species

Unspecified reactive species

Bao Zhang,Peng He,John E G Lawrence,Shuaiyu Wang,Elizabeth Tuck,Brian A Williams,Kenny Roberts,Vitalii Kleshchevnikov,Lira Mamanova,Liam Bolt,Krzysztof Polanski,Tong Li,Rasa Elmentaite,Eirini S Fasouli,Martin Prete,Xiaoling He,Nadav Yayon,Yixi Fu,Hao Yang,Chen Liang,Hui Zhang,Raphael Blain,Alain Chedotal,David R FitzPatrick,Helen Firth,Andrew Dean,Omer Ali Bayraktar,John C Marioni,Roger A Barker,Mekayla A Storer,Barbara J Wold,Hongbo Zhang,Sarah A Teichmann

Developmental cell 58:2652-2665.e6 PubMed37683631

2023

Neural plate progenitors give rise to both anterior and posterior pituitary cells.

Applications

Unspecified application

Species

Unspecified reactive species

Qiyu Chen,Dena Leshkowitz,Hanjie Li,Andreas van Impel,Stefan Schulte-Merker,Ido Amit,Karine Rizzoti,Gil Levkowitz

Stem cells (Dayton, Ohio) 41:1037-1046 PubMed37632456

2023

CGMP Compliant Microfluidic Transfection of Induced Pluripotent Stem Cells for CRISPR-Mediated Genome Editing.

Applications

Unspecified application

Species

Unspecified reactive species

Laura R Bohrer,Nicholas E Stone,Allison T Wright,Sewoon Han,Ian Sicher,Todd A Sulchek,Robert F Mullins,Budd A Tucker

International heart journal 64:750-758 PubMed37518356

2023

LIM Homeobox 2 Increases Adhesion-Regulating Molecule 1 Transcription to Facilitate the Pathological Progression of Oxidized Low-Density Lipoprotein-Stimulated Atherosclerotic Cell Models.

Applications

Unspecified application

Species

Unspecified reactive species

Junqi Xiao,Yang Xie,Qing Duan,Tao Liu,Rong Ye,Xunhong Duan,Zhibiao Le,Nan Deng,Fengen Liu

International journal of biological sciences 19:3226-3248 PubMed37416774

2023

Defective neurite elongation and branching in Nibp/Trappc9 deficient zebrafish and mice.

Applications

Unspecified application

Species

Unspecified reactive species

Min Hu,Brittany Bodnar,Yonggang Zhang,Fangxin Xie,Fang Li,Siying Li,Jin Zhao,Ruotong Zhao,Naveen Gedupoori,Yifan Mo,Lanyi Lin,Xue Li,Wentong Meng,Xiaofeng Yang,Hong Wang,Mary F Barbe,Shanthi Srinivasan,John R Bethea,Xianming Mo,Hong Xu,Wenhui Hu
View all publications

Product promise

We are committed to supporting your work with high-quality reagents, and we're here for you every step of the way. In the unlikely event that one of our products does not perform as expected, you're protected by our Product Promise.
For full details, please see our Terms & Conditions

Please note: All products are 'FOR RESEARCH USE ONLY. NOT FOR USE IN DIAGNOSTIC OR THERAPEUTIC PROCEDURES'.

For licensing inquiries, please contact partnerships@abcam.com