JavaScript is disabled in your browser. Please enable JavaScript to view this website.
AB227622

Anti-Lhx4 antibody

Be the first to review this product! Submit a review

|

(1 Publication)

Rabbit Polyclonal LHX4 antibody. Suitable for IHC-P and reacts with Human samples. Cited in 1 publication. Immunogen corresponding to Recombinant Fragment Protein within Human LHX4.

View Alternative Names

LIM/homeobox protein Lhx4, LIM homeobox protein 4, LHX4

1 Images
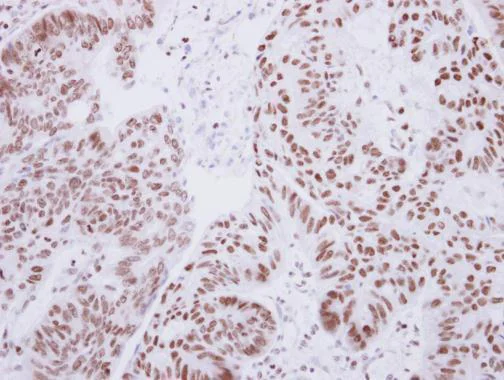
Immunohistochemistry (Formalin/PFA-fixed paraffin-embedded sections) - Anti-Lhx4 antibody (AB227622)
  • IHC-P

Supplier Data

Immunohistochemistry (Formalin/PFA-fixed paraffin-embedded sections) - Anti-Lhx4 antibody (AB227622)

Paraffin-embedded human colon carcinoma tissue stained for Lhx4 using ab227622 at 1/250 dilution in immunohistochemical analysis.

Key facts

Host species

Rabbit

Clonality

Polyclonal

Isotype

IgG

Carrier free

No

Reacts with

Human

Applications

IHC-P

applications

Immunogen

Recombinant Fragment Protein within Human LHX4. The exact immunogen used to generate this antibody is proprietary information.

Q969G2

Reactivity data

{ "title": "Reactivity Data", "filters": { "stats": ["", "Species", "Dilution Info", "Notes"], "tabs": { "all-applications": {"fullname" : "All Applications", "shortname": "All Applications"}, "IHCP" : {"fullname" : "Immunohistochemistry (Formalin/PFA-fixed paraffin-embedded sections)", "shortname":"IHC-P"} }, "product-promise": { "all": "all", "testedAndGuaranteed": "tested", "guaranteed": "expected", "predicted": "predicted", "notRecommended": "not-recommended" } }, "values": { "Human": { "IHCP-species-checked": "testedAndGuaranteed", "IHCP-species-dilution-info": "1/100 - 1/1000", "IHCP-species-notes": "<p></p>" }, "Mouse": { "IHCP-species-checked": "predicted", "IHCP-species-dilution-info": "", "IHCP-species-notes": "" }, "Cow": { "IHCP-species-checked": "predicted", "IHCP-species-dilution-info": "", "IHCP-species-notes": "" }, "Zebrafish": { "IHCP-species-checked": "predicted", "IHCP-species-dilution-info": "", "IHCP-species-notes": "" } } }

Properties and storage information

Form
Liquid
Purification technique
Affinity purification Immunogen
Storage buffer
pH: 7 Preservative: 0.01% Thimerosal (merthiolate) Constituents: 20% Glycerol (glycerin, glycerine), 1.21% Tris, 0.75% Glycine
Shipped at conditions
Blue Ice
Appropriate short-term storage duration
1-2 weeks
Appropriate short-term storage conditions
+4°C
Appropriate long-term storage conditions
-20°C
Aliquoting information
Upon delivery aliquot
Storage information
Avoid freeze / thaw cycle

Supplementary information

This supplementary information is collated from multiple sources and compiled automatically.

Lhx4 also known as LIM homeobox protein 4 serves as a transcription factor characterized by its LIM domain which allows interactions with other proteins. It has a molecular mass of approximately 45 kDa. Expressed mainly in the developing nervous system and certain endocrine tissues Lhx4 plays a role in the regulation of gene expression during developmental stages.
Biological function summary

Lhx4 contributes to neural differentiation and organogenesis by modulating the transcription of specific target genes. It acts as part of a complex with other LIM domain proteins to regulate gene expression patterns. Lhx4’s expression is pivotal for the development of structures such as the pituitary gland and central nervous system influencing cellular differentiation and specialization.

Pathways

The role of Lhx4 extends to several critical biological pathways particularly the Wnt/β-catenin signaling and Hedgehog pathways. Within these Lhx4 interacts with proteins like Lhx3 and β-catenin to help control cellular proliferation and differentiation. Through these pathways Lhx4 plays a role in cell fate decisions ensuring proper development of tissue and organ systems.

Lhx4 has a connection to congenital hypopituitarism and certain neural developmental disorders. Mutations or dysregulation in Lhx4 have associations with pituitary hormone deficits due to its role in pituitary organogenesis. Its interactions with related proteins such as Pit1 and PROP1 which are also involved in pituitary development highlight the importance of Lhx4 in maintaining proper endocrine function.

Product protocols

For this product, it's our understanding that no specific protocols are required. You can visit:

Target data

May play a critical role in the development of respiratory control mechanisms and in the normal growth and maturation of the lung. Binds preferentially to methylated DNA (PubMed : 28473536).
See full target information LHX4

Publications (1)

Recent publications for all applications. Explore the full list and refine your search

Journal of translational medicine 23:1034 PubMed41034905

2025

Interplay of axon regeneration genes and immune infiltration in spinal cord injury.

Applications

Unspecified application

Species

Unspecified reactive species

Zimin Xiang,Dingxi Fang,Danping Gao,Qi Zhang,Yuxuan Zhang,Yuping Sun,Liyan Li,Xiaoqian Zhang,Jiaxin Li,Lingzhi Ding
View all publications

Product promise

We are committed to supporting your work with high-quality reagents, and we're here for you every step of the way. In the unlikely event that one of our products does not perform as expected, you're protected by our Product Promise.
For full details, please see our Terms & Conditions

Please note: All products are 'FOR RESEARCH USE ONLY. NOT FOR USE IN DIAGNOSTIC OR THERAPEUTIC PROCEDURES'.

For licensing inquiries, please contact partnerships@abcam.com