JavaScript is disabled in your browser. Please enable JavaScript to view this website.
AB300442

Anti-LHX6 antibody [EPR26352-101] - BSA and Azide free

Be the first to review this product! Submit a review

|

(0 Publication)

Rabbit Recombinant Monoclonal LHX6 antibody. Carrier free. Suitable for IHC-P and reacts with Mouse, Rat samples.

View Alternative Names

Lhx6.1, Lhx6, LIM/homeobox protein Lhx6, LIM homeobox protein 6, LIM/homeobox protein Lhx6.1

3 Images
Immunohistochemistry (Formalin/PFA-fixed paraffin-embedded sections) - Anti-LHX6 antibody [EPR26352-101] - BSA and Azide free (AB300442)
  • IHC-P

Supplier Data

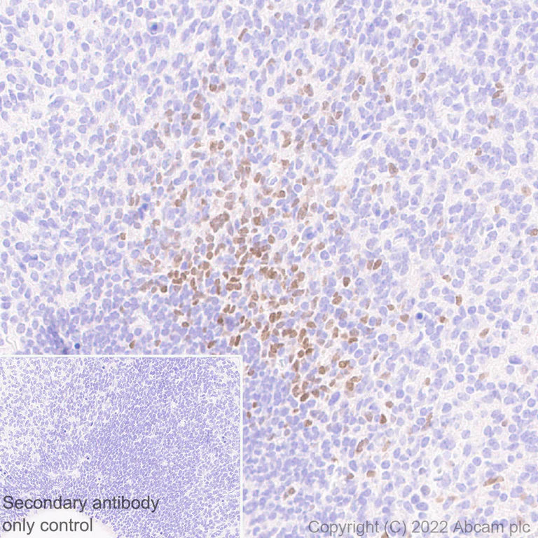
Immunohistochemistry (Formalin/PFA-fixed paraffin-embedded sections) - Anti-LHX6 antibody [EPR26352-101] - BSA and Azide free (AB300442)

This data was developed using ab300441, the same antibody clone in a different buffer formulation.Immunohistochemical analysis of paraffin-embedded Mouse embryonic cere tissue labeling LHX6 with ab300441 at 1/500 (0.942 ug/ml) followed by a ready to use LeicaDS9800 (Bond™ Polymer Refine Detection) was used. Nuclear staining on mouse embryonic cerebrum E14.5 (PMID : 33479483). The section was incubated with ab300441 for 30 mins at room temperature.The immunostaining was performed on a Leica Biosystems BOND® RX instrument Counterstained with Hematoxylin. Secondary antibody only control : Secondary antibody is a ready to use LeicaDS9800 (Bond™ Polymer Refine Detection) was used.Heat mediated antigen retrieval with Tris-EDTA buffer (pH 9.0, epitope retrieval solution2) for 20 mins

Immunohistochemistry (Formalin/PFA-fixed paraffin-embedded sections) - Anti-LHX6 antibody [EPR26352-101] - BSA and Azide free (AB300442)
  • IHC-P

Supplier Data

Immunohistochemistry (Formalin/PFA-fixed paraffin-embedded sections) - Anti-LHX6 antibody [EPR26352-101] - BSA and Azide free (AB300442)

This data was developed using ab300441, the same antibody clone in a different buffer formulation.Immunohistochemical analysis of paraffin-embedded Rat cerebrum tissue labeling LHX6 with ab300441 at 1/500 (0.942 ug/ml) followed by a ready to use LeicaDS9800 (Bond™ Polymer Refine Detection) was used. Nuclear staining on rat cerebrum. The section was incubated with ab300441 for 30 mins at room temperature.The immunostaining was performed on a Leica Biosystems BOND® RX instrument Counterstained with Hematoxylin. Secondary antibody only control : Secondary antibody is a ready to use LeicaDS9800 (Bond™ Polymer Refine Detection) was used.Heat mediated antigen retrieval with Tris-EDTA buffer (pH 9.0, epitope retrieval solution2) for 20 mins

Immunohistochemistry (Formalin/PFA-fixed paraffin-embedded sections) - Anti-LHX6 antibody [EPR26352-101] - BSA and Azide free (AB300442)
  • IHC-P

Supplier Data

Immunohistochemistry (Formalin/PFA-fixed paraffin-embedded sections) - Anti-LHX6 antibody [EPR26352-101] - BSA and Azide free (AB300442)

This data was developed using ab300441, the same antibody clone in a different buffer formulation.Immunohistochemical analysis of paraffin-embedded Mouse cerebrum tissue labeling LHX6 with ab300441 at 1/500 (0.942 ug/ml) followed by a ready to use LeicaDS9800 (Bond™ Polymer Refine Detection) was used. Nuclear staining on mouse cerebrum. The section was incubated with ab300441 for 30 mins at room temperature.The immunostaining was performed on a Leica Biosystems BOND® RX instrument Counterstained with Hematoxylin. Secondary antibody only control : Secondary antibody is a ready to use LeicaDS9800 (Bond™ Polymer Refine Detection) was used.Heat mediated antigen retrieval with Tris-EDTA buffer (pH 9.0, epitope retrieval solution2) for 20 mins

Key facts

Host species

Rabbit

Clonality

Monoclonal

Clone number

EPR26352-101

Isotype

IgG

Carrier free

Yes

Reacts with

Mouse, Rat

Applications

IHC-P

applications

Immunogen

The exact immunogen used to generate this antibody is proprietary information.

Reactivity data

{ "title": "Reactivity Data", "filters": { "stats": ["", "Species", "Dilution Info", "Notes"], "tabs": { "all-applications": {"fullname" : "All Applications", "shortname": "All Applications"}, "WB" : {"fullname" : "Western blot", "shortname":"WB"}, "IHCP" : {"fullname" : "Immunohistochemistry (Formalin/PFA-fixed paraffin-embedded sections)", "shortname":"IHC-P"}, "IHCFr" : {"fullname" : "Immunohistochemistry (Frozen sections)", "shortname":"IHC-Fr"}, "ICCIF" : {"fullname" : "Immunocytochemistry/ Immunofluorescence", "shortname":"ICC/IF"}, "FlowCytIntra" : {"fullname" : "Flow Cytometry (Intracellular)", "shortname":"Flow Cyt (Intra)"}, "IP" : {"fullname" : "Immunoprecipitation", "shortname":"IP"} }, "product-promise": { "all": "all", "testedAndGuaranteed": "tested", "guaranteed": "expected", "predicted": "predicted", "notRecommended": "not-recommended" } }, "values": { "Human": { "WB-species-checked": "notRecommended", "WB-species-dilution-info": "", "WB-species-notes": "<p></p>", "IHCP-species-checked": "notRecommended", "IHCP-species-dilution-info": "", "IHCP-species-notes": "", "IHCFr-species-checked": "notRecommended", "IHCFr-species-dilution-info": "", "IHCFr-species-notes": "", "ICCIF-species-checked": "notRecommended", "ICCIF-species-dilution-info": "", "ICCIF-species-notes": "<p></p>", "FlowCytIntra-species-checked": "notRecommended", "FlowCytIntra-species-dilution-info": "", "FlowCytIntra-species-notes": "", "IP-species-checked": "notRecommended", "IP-species-dilution-info": "", "IP-species-notes": "<p></p>" }, "Mouse": { "WB-species-checked": "notRecommended", "WB-species-dilution-info": "", "WB-species-notes": "<p></p>", "IHCP-species-checked": "testedAndGuaranteed", "IHCP-species-dilution-info": "", "IHCP-species-notes": "<p></p>", "IHCFr-species-checked": "notRecommended", "IHCFr-species-dilution-info": "", "IHCFr-species-notes": "<p></p>", "ICCIF-species-checked": "notRecommended", "ICCIF-species-dilution-info": "", "ICCIF-species-notes": "<p></p>", "FlowCytIntra-species-checked": "notRecommended", "FlowCytIntra-species-dilution-info": "", "FlowCytIntra-species-notes": "<p></p>", "IP-species-checked": "notRecommended", "IP-species-dilution-info": "", "IP-species-notes": "" }, "Rat": { "WB-species-checked": "notRecommended", "WB-species-dilution-info": "", "WB-species-notes": "<p></p>", "IHCP-species-checked": "testedAndGuaranteed", "IHCP-species-dilution-info": "", "IHCP-species-notes": "<p></p>", "IHCFr-species-checked": "notRecommended", "IHCFr-species-dilution-info": "", "IHCFr-species-notes": "<p></p>", "ICCIF-species-checked": "notRecommended", "ICCIF-species-dilution-info": "", "ICCIF-species-notes": "<p></p>", "FlowCytIntra-species-checked": "notRecommended", "FlowCytIntra-species-dilution-info": "", "FlowCytIntra-species-notes": "<p></p>", "IP-species-checked": "notRecommended", "IP-species-dilution-info": "", "IP-species-notes": "" } } }

Product details

Patented technology
Our RabMAb® technology is a patented hybridoma-based technology for making rabbit monoclonal antibodies. For details on our patents, please refer to RabMAb® patents.

What are the advantages of a recombinant monoclonal antibody?
This product is a recombinant monoclonal antibody, which offers several advantages including:

  • - High batch-to-batch consistency and reproducibility
  • - Improved sensitivity and specificity
  • - Long-term security of supply
  • - Animal-free batch production

For more information, read more on recombinant antibodies.

Conjugation ready
Our carrier-free antibodies are typically supplied in a PBS-only formulation, purified and free of BSA, sodium azide and glycerol. This conjugation-ready format is designed for use with fluorochromes, metal isotopes, oligonucleotides, and enzymes, which makes them ideal for antibody labelling, functional and cell-based assays, flow-based assays (e.g. mass cytometry) and Multiplex Imaging applications.

Use our conjugation kits for antibody conjugates that are ready-to-use in as little as 20 minutes with 1 minute hands-on-time and 100% antibody recovery: available for fluorescent dyes, HRP, biotin and gold.

Compatibility
This product is compatible with the Maxpar® Antibody Labeling Kit from Fluidigm, without the need for antibody preparation. Maxpar® is a trademark of Fluidigm Canada Inc.

Properties and storage information

Form
Liquid
Purification technique
Affinity purification Protein A
Storage buffer
pH: 7.2 - 7.4 Constituents: PBS
Shipped at conditions
Blue Ice
Appropriate short-term storage conditions
+4°C
Appropriate long-term storage conditions
+4°C
Storage information
Do Not Freeze

Supplementary information

This supplementary information is collated from multiple sources and compiled automatically.

LHX6 also known as LIM homeobox 6 acts as a transcription factor in the body. This protein has a molecular mass of about 44 kDa. LHX6 is expressed in specific regions of the brain especially in the developing and mature basal forebrain. Its expression is also noted during the early stages of embryogenesis indicating its role in development.
Biological function summary

The function of LHX6 centers around the regulation of cell differentiation particularly in neural progenitor cells. It does not function alone but operates as a part of a complex with other transcription factors influencing the development and migration of interneurons. LHX6 is pivotal for the specification of GABAergic interneurons which are essential for maintaining the balance of excitation and inhibition in the nervous system.

Pathways

LHX6 plays roles in several critical signaling pathways. It influences the Wnt signaling pathway which is key for cell differentiation. LHX6 also interacts with proteins like NKX2-1 and DLX1/2 participating in the pathway that determines interneuron fate. These interactions highlight its importance in directing the fate of neural cells during development.

Mutations or altered expression of LHX6 have associations with neurological conditions such as epilepsy and schizophrenia. Dysfunction in Wnt signaling in which LHX6 is involved can contribute to the pathogenesis of schizophrenia. Furthermore LHX6 may interact with protein pathways involving NKX2-1 with implications in the development of epilepsy emphasizing its significance in maintaining normal neural function.

Product protocols

For this product, it's our understanding that no specific protocols are required. You can visit:

Target data

Probable transcription factor required for the expression of a subset of genes involved in interneurons migration and development. Functions in the specification of cortical interneuron subtypes and in the migration of GABAergic interneuron precursors from the subpallium to the cerebral cortex.
See full target information Lhx6

Product promise

We are committed to supporting your work with high-quality reagents, and we're here for you every step of the way. In the unlikely event that one of our products does not perform as expected, you're protected by our Product Promise.
For full details, please see our Terms & Conditions

Please note: All products are 'FOR RESEARCH USE ONLY. NOT FOR USE IN DIAGNOSTIC OR THERAPEUTIC PROCEDURES'.

For licensing inquiries, please contact partnerships@abcam.com