JavaScript is disabled in your browser. Please enable JavaScript to view this website.
AB109190

Anti-LI Cadherin antibody [EPR3996]

  • BOND RX™ Validated
  • RabMAb
  • Recombinant
  • 20ul selling size
  • What is this?

Be the first to review this product! Submit a review

|

(2 Publications)

Anti-LI Cadherin antibody [EPR3996] (ab109190) is a rabbit monoclonal antibody detecting LI Cadherin in Western Blot, IHC-P. Suitable for Human.

- Biophysical QC for unrivalled batch-batch consistency

View Alternative Names

Cadherin-17, Intestinal peptide-associated transporter HPT-1, Liver-intestine cadherin, LI-cadherin, CDH17

11 Images
Immunohistochemistry (Formalin/PFA-fixed paraffin-embedded sections) - Anti-LI Cadherin antibody [EPR3996] (AB109190)
  • IHC-P

Unknown

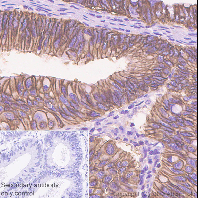
Immunohistochemistry (Formalin/PFA-fixed paraffin-embedded sections) - Anti-LI Cadherin antibody [EPR3996] (AB109190)

Immunohistochemistry (Formalin/PFA-fixed paraffin-embedded sections) analysis of human colon cancer tissue sections labeling LI Cadherin with purified ab109190 at 1/300 dilution (0.48 µg/mL). Heat mediated antigen retrieval using Bond™ Epitope Retrieval Solution 2 (pH 9.0). Rabbit specific IHC polymer detection kit HRP/DAB (ab209101) was used as the secondary antibody. Negative control : PBS instead of the primary antibody. Hematoxylin was used as a counterstain.

Immunohistochemistry (Formalin/PFA-fixed paraffin-embedded sections) - Anti-LI Cadherin antibody [EPR3996] (AB109190)
  • IHC-P

Unknown

Immunohistochemistry (Formalin/PFA-fixed paraffin-embedded sections) - Anti-LI Cadherin antibody [EPR3996] (AB109190)

Immunohistochemical staining of paraffin-embedded Human colon tissue using ab109190 at a dilution of 1/250.

Perform heat mediated antigen retrieval before commencing with IHC staining protocol.

Immunohistochemistry (Formalin/PFA-fixed paraffin-embedded sections) - Anti-LI Cadherin antibody [EPR3996] (AB109190)
  • IHC-P

Unknown

Immunohistochemistry (Formalin/PFA-fixed paraffin-embedded sections) - Anti-LI Cadherin antibody [EPR3996] (AB109190)

ab109190 showing negative staining in Normal tonsil tissue.

Perform heat mediated antigen retrieval before commencing with IHC staining protocol.

Immunohistochemistry (Formalin/PFA-fixed paraffin-embedded sections) - Anti-LI Cadherin antibody [EPR3996] (AB109190)
  • IHC-P

Unknown

Immunohistochemistry (Formalin/PFA-fixed paraffin-embedded sections) - Anti-LI Cadherin antibody [EPR3996] (AB109190)

Immunohistochemical staining of paraffin-embedded Human colonic adenocarcinoma tissue using ab109190 at a dilution of 1/250.

Perform heat mediated antigen retrieval before commencing with IHC staining protocol.

Western blot - Anti-LI Cadherin antibody [EPR3996] (AB109190)
  • WB

Unknown

Western blot - Anti-LI Cadherin antibody [EPR3996] (AB109190)

All lanes:

Western blot - Anti-LI Cadherin antibody [EPR3996] (ab109190) at 1/1000 dilution

Lane 1:

Human small intestine cell lysate at 10 µg

Lane 2:

Human colon cancer cell lysate at 10 µg

Lane 3:

HT-29 cell lysate at 10 µg

Predicted band size: 92 kDa

false

Western blot - Anti-LI Cadherin antibody [EPR3996] (AB109190)
  • WB

Unknown

Western blot - Anti-LI Cadherin antibody [EPR3996] (AB109190)

The expression profile and molecular weight observed are consistent with what has been described in the literature (PMID : 18552820).

All lanes:

Western blot - Anti-LI Cadherin antibody [EPR3996] (ab109190) at 1/1000 dilution

Lane 1:

LoVo (Human colorectal adenocarcinoma epithelial cell) whole cell lysate at 20 µg

Lane 2:

Human small intestine lysate at 20 µg

Lane 3:

Human colon lysate at 20 µg

Lane 4:

Human spleen lysate at 20 µg

Lane 5:

Human kidney lysate at 20 µg

Secondary

All lanes:

Goat Anti-Rabbit IgG (HRP) with minimal cross-reactivity with human IgG at 1/2000 dilution

Predicted band size: 92 kDa

Observed band size: 120 kDa

false

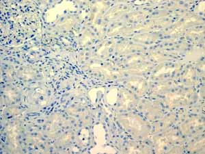
Immunohistochemistry (Formalin/PFA-fixed paraffin-embedded sections) - Anti-LI Cadherin antibody [EPR3996] (AB109190)
  • IHC-P

Unknown

Immunohistochemistry (Formalin/PFA-fixed paraffin-embedded sections) - Anti-LI Cadherin antibody [EPR3996] (AB109190)

ab109190 showing negative staining in Normal kidney tissue.

Perform heat mediated antigen retrieval before commencing with IHC staining protocol.

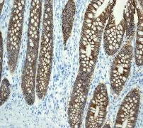
Immunohistochemistry (Formalin/PFA-fixed paraffin-embedded sections) - Anti-LI Cadherin antibody [EPR3996] (AB109190)
  • IHC-P

Unknown

Immunohistochemistry (Formalin/PFA-fixed paraffin-embedded sections) - Anti-LI Cadherin antibody [EPR3996] (AB109190)

ab109190 showing positive staining in Normal colon tissue.

Perform heat mediated antigen retrieval before commencing with IHC staining protocol.

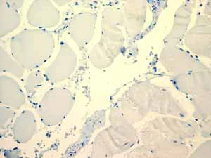
Immunohistochemistry (Formalin/PFA-fixed paraffin-embedded sections) - Anti-LI Cadherin antibody [EPR3996] (AB109190)
  • IHC-P

Unknown

Immunohistochemistry (Formalin/PFA-fixed paraffin-embedded sections) - Anti-LI Cadherin antibody [EPR3996] (AB109190)

ab109190 showing negative staining in Skeletal muscle tissue.

Perform heat mediated antigen retrieval before commencing with IHC staining protocol.

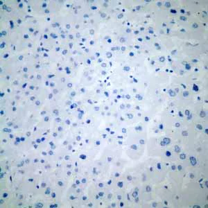
Immunohistochemistry (Formalin/PFA-fixed paraffin-embedded sections) - Anti-LI Cadherin antibody [EPR3996] (AB109190)
  • IHC-P

Unknown

Immunohistochemistry (Formalin/PFA-fixed paraffin-embedded sections) - Anti-LI Cadherin antibody [EPR3996] (AB109190)

ab109190 showing negative staining in Normal brain tissue.

Perform heat mediated antigen retrieval before commencing with IHC staining protocol.

OI-RD Scanning - Anti-LI Cadherin antibody [EPR3996] (AB109190)
  • OI-RD Scanning

Unknown

OI-RD Scanning - Anti-LI Cadherin antibody [EPR3996] (AB109190)

We have systematically measured KD (the equilibrium dissociation constant between the antibody and its antigen), of more than 840 recombinant antibodies to assess not only their individual KD values but also to see the average affinity of antibody. Based on the comparison with published literature values for mouse monoclonal antibodies, Recombinant antibodies appear to be on average 1-2 order of magnitude higher affinity.

  • Carrier free

    Anti-LI Cadherin antibody [EPR3996] - BSA and Azide free

  • HRP

    HRP Anti-LI Cadherin antibody [EPR3996]

  • 519 Alexa Fluor® 488

    Alexa Fluor® 488 Anti-LI Cadherin antibody [EPR3996]

  • 665 Alexa Fluor® 647

    Alexa Fluor® 647 Anti-LI Cadherin antibody [EPR3996]

Key facts

Host species

Rabbit

Clonality

Monoclonal

Clone number

EPR3996

Isotype

IgG

Carrier free

No

Reacts with

Human

Applications

WB, IHC-P

applications

Immunogen

The exact immunogen used to generate this antibody is proprietary information.

Reactivity data

{ "title": "Reactivity Data", "filters": { "stats": ["", "Species", "Dilution Info", "Notes"], "tabs": { "all-applications": {"fullname" : "All Applications", "shortname": "All Applications"}, "IHCP" : {"fullname" : "Immunohistochemistry (Formalin/PFA-fixed paraffin-embedded sections)", "shortname":"IHC-P"}, "ICCIF" : {"fullname" : "Immunocytochemistry/ Immunofluorescence", "shortname":"ICC/IF"}, "IP" : {"fullname" : "Immunoprecipitation", "shortname":"IP"}, "FlowCyt" : {"fullname" : "Flow Cytometry", "shortname":"Flow Cyt"}, "WB" : {"fullname" : "Western blot", "shortname":"WB"} }, "product-promise": { "all": "all", "testedAndGuaranteed": "tested", "guaranteed": "expected", "predicted": "predicted", "notRecommended": "not-recommended" } }, "values": { "Human": { "IHCP-species-checked": "testedAndGuaranteed", "IHCP-species-dilution-info": "1/250 - 1/500", "IHCP-species-notes": "<p></p> Perform heat-mediated antigen retrieval before commencing with IHC staining protocol.", "ICCIF-species-checked": "notRecommended", "ICCIF-species-dilution-info": "", "ICCIF-species-notes": "<p></p>", "IP-species-checked": "notRecommended", "IP-species-dilution-info": "1/10 - 1/100", "IP-species-notes": "<p></p>", "FlowCyt-species-checked": "notRecommended", "FlowCyt-species-dilution-info": "", "FlowCyt-species-notes": "<p></p>", "WB-species-checked": "testedAndGuaranteed", "WB-species-dilution-info": "1/1000 - 1/10000", "WB-species-notes": "<p></p>" } } }

Product details

What is this antibody validated in?
Anti-LI Cadherin antibody [EPR3996] (ab109190) is a rabbit recombinant monoclonal antibody and is validated for use in Western Blot (WB), Immunohistochemistry (IHC-P) in Human samples.

What is the molecular weight of LI Cadherin?
Anti-LI Cadherin [EPR3996] (ab109190) specifically detects a band for LI Cadherin (UniProt: Q12864) at a molecular weight of 92kDa.

Trial sizes available!
Test your antibody or perform pre-screening before committing to a larger quantity. Sold in 10µl. Discover our selection of trial-size antibodies.

Other related products
We have a range of other formats of antibody clone [EPR3996] also available for your convenience: ab109190, Carrier free - ab247786, HRP - ab323349, Alexa Fluor® 488 - ab323998, Alexa Fluor® 647 - ab324000

Species reactivity
Mouse, Rat: We have preliminary internal testing data to indicate this antibody may not react with these species.
Please contact us for more information.

Patented technology
Our RabMAb® technology is a patented hybridoma-based technology for making rabbit monoclonal antibodies. For details on our patents, please refer to RabMAb® patents.

What are the advantages of a recombinant monoclonal antibody?
This product is a recombinant monoclonal antibody, which offers several advantages including:

  • - High batch-to-batch consistency and reproducibility
  • - Improved sensitivity and specificity
  • - Long-term security of supply
  • - Animal-free batch production

For more information, read more on recombinant antibodies.

Properties and storage information

Form
Liquid
Purification technique
Affinity purification Protein A
Storage buffer
pH: 7.2 - 7.4 Preservative: 0.01% Sodium azide Constituents: PBS, 40% Glycerol (glycerin, glycerine), 0.05% BSA
Shipped at conditions
Blue Ice
Appropriate short-term storage duration
1-2 weeks
Appropriate short-term storage conditions
+4°C
Appropriate long-term storage conditions
-20°C
Aliquoting information
Upon delivery aliquot
Storage information
Avoid freeze / thaw cycle

Supplementary information

This supplementary information is collated from multiple sources and compiled automatically.

LI Cadherin also known as Cadherin-17 is a protein that plays a significant role in cell adhesion specifically in epithelial cells. This protein belongs to the cadherin family and has a molecular mass of approximately 88 kDa. LI Cadherin is mainly expressed in the gastrointestinal tract including areas like the stomach and small intestine. It is found on the surfaces of cells where it facilitates cell-cell interaction by binding with other cadherin proteins on adjacent cells.
Biological function summary

This cadherin protein is important for maintaining the integrity of epithelial layers in the gastrointestinal tract. It contributes to the formation of adherens junctions which are necessary for the maintenance of tissue architecture and cellular communication. As part of a larger protein complex in adherens junctions it interacts with cytoskeletal elements to help stabilize cell structures. This mechanical support ensures that cells remain tightly adhered under various physiological conditions.

Pathways

LI Cadherin is involved in pathways that govern cell adhesion and signal transduction. It participates in the Wnt signaling pathway which is vital for cell proliferation and differentiation. Moreover it interacts with E-cadherin and Β-catenin within the Wnt pathway aiding in the regulation of gene expression and cellular morphology. These interactions are important for maintaining normal cell behavior and preventing unwanted cell proliferation.

LI Cadherin's expression has been linked to gastrointestinal cancers particularly gastric and colorectal cancers. Aberrations in cadherin-mediated cell adhesion can lead to tumorigenesis as disrupted cell adhesion can cause increased cell motility and invasion. LI Cadherin also engages with proteins such as α-catenin in tumor cells affecting cellular responses to cancerous transformations. By understanding these relationships researchers aim to develop targeted therapies to address malignancies associated with disrupted cadherin function.

Product protocols

For this product, it's our understanding that no specific protocols are required. You can visit:

Target data

Cadherins are calcium-dependent cell adhesion proteins. They preferentially interact with themselves in a homophilic manner in connecting cells; cadherins may thus contribute to the sorting of heterogeneous cell types. LI-cadherin may have a role in the morphological organization of liver and intestine. Involved in intestinal peptide transport.
See full target information Cadherin-17

Publications (2)

Recent publications for all applications. Explore the full list and refine your search

Nature communications 16:1338 PubMed39915484

2025

Single-cell atlas of human pancreatic islet and acinar endothelial cells in health and diabetes.

Applications

Unspecified application

Species

Unspecified reactive species

Rebecca Craig-Schapiro,Ge Li,Kevin Chen,Jesus M Gomez-Salinero,Ryan Nachman,Aleksandra Kopacz,Ryan Schreiner,Xiaojuan Chen,Qiao Zhou,Shahin Rafii,David Redmond

European journal of nuclear medicine and molecular imaging 51:2547-2557 PubMed38625402

2024

Cadherin-17 as a target for the immunoPET of adenocarcinoma.

Applications

Unspecified application

Species

Unspecified reactive species

Samantha Delaney,Outi Keinänen,Dennis Lam,Andrew L Wolfe,Takao Hamakubo,Brian M Zeglis
View all publications

Product promise

We are committed to supporting your work with high-quality reagents, and we're here for you every step of the way. In the unlikely event that one of our products does not perform as expected, you're protected by our Product Promise.
For full details, please see our Terms & Conditions

Please note: All products are 'FOR RESEARCH USE ONLY. NOT FOR USE IN DIAGNOSTIC OR THERAPEUTIC PROCEDURES'.

For licensing inquiries, please contact partnerships@abcam.com