JavaScript is disabled in your browser. Please enable JavaScript to view this website.
AB246917

Anti-LIAS antibody

Be the first to review this product! Submit a review

|

(5 Publications)

Rabbit Polyclonal LIAS antibody. Suitable for IHC-P, ICC/IF, WB and reacts with Mouse, Human, Rat samples. Cited in 5 publications. Immunogen corresponding to Recombinant Fragment Protein within Human LIAS aa 200-350.

View Alternative Names

LAS, HUSSY-01, LIAS, Lipoate synthase, Lipoic acid synthase, LS, Lip-syn

10 Images
Immunohistochemistry (Formalin/PFA-fixed paraffin-embedded sections) - Anti-LIAS antibody (AB246917)
  • IHC-P

Supplier Data

Immunohistochemistry (Formalin/PFA-fixed paraffin-embedded sections) - Anti-LIAS antibody (AB246917)

Formalin-fixed, paraffin-embedded human small intestine tissue stained for LIAS with ab246917 at a 1/50 dilution in immunohistochemical analysis.

Immunohistochemistry (Formalin/PFA-fixed paraffin-embedded sections) - Anti-LIAS antibody (AB246917)
  • IHC-P

Supplier Data

Immunohistochemistry (Formalin/PFA-fixed paraffin-embedded sections) - Anti-LIAS antibody (AB246917)

Formalin-fixed, paraffin-embedded human hippocampus tissue stained for LIAS with ab246917 at a 1/50 dilution in immunohistochemical analysis.

Immunohistochemistry (Formalin/PFA-fixed paraffin-embedded sections) - Anti-LIAS antibody (AB246917)
  • IHC-P

Supplier Data

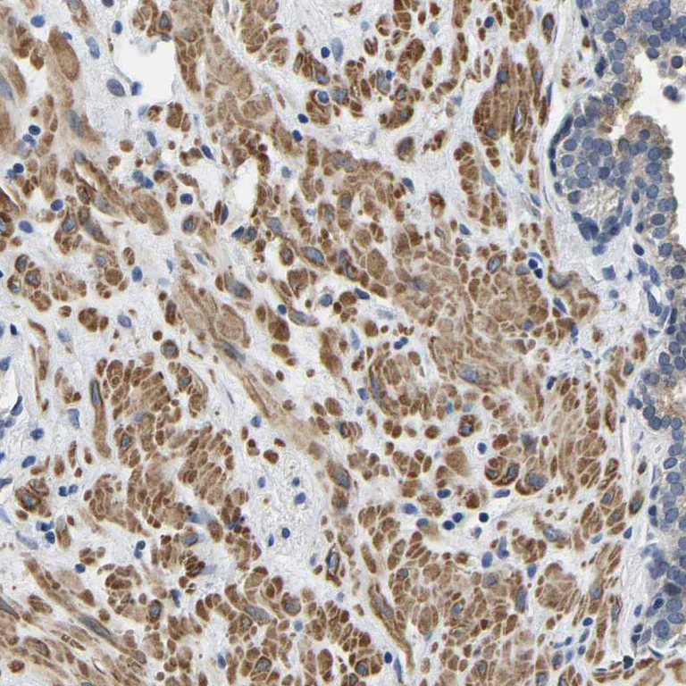
Immunohistochemistry (Formalin/PFA-fixed paraffin-embedded sections) - Anti-LIAS antibody (AB246917)

Formalin-fixed, paraffin-embedded human prostate tissue stained for LIAS with ab246917 at a 1/50 dilution in immunohistochemical analysis.

Immunohistochemistry (Formalin/PFA-fixed paraffin-embedded sections) - Anti-LIAS antibody (AB246917)
  • IHC-P

Supplier Data

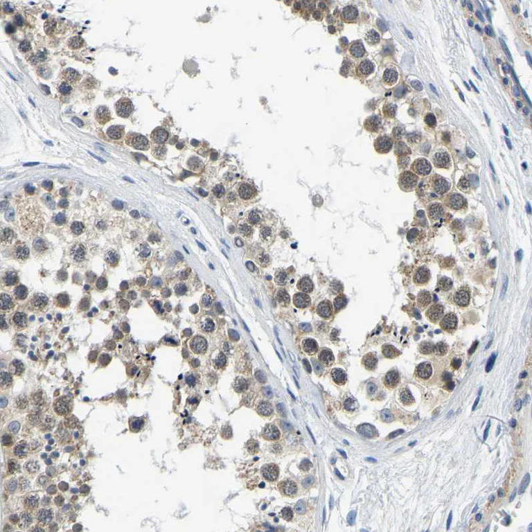
Immunohistochemistry (Formalin/PFA-fixed paraffin-embedded sections) - Anti-LIAS antibody (AB246917)

Formalin-fixed, paraffin-embedded human testis tissue stained for LIAS with ab246917 at a 1/50 dilution in immunohistochemical analysis.

Immunohistochemistry (Formalin/PFA-fixed paraffin-embedded sections) - Anti-LIAS antibody (AB246917)
  • IHC-P

Unknown

Immunohistochemistry (Formalin/PFA-fixed paraffin-embedded sections) - Anti-LIAS antibody (AB246917)

Formalin-fixed, paraffin-embedded human cerebellum tissue stained for LIAS with ab246917 at a 1/50 dilution in immunohistochemical analysis.

Immunocytochemistry/ Immunofluorescence - Anti-LIAS antibody (AB246917)
  • ICC/IF

Supplier Data

Immunocytochemistry/ Immunofluorescence - Anti-LIAS antibody (AB246917)

ab246917 staining LIAS in human U-2 OS cells by immunocytochemistry. Cells were fixed with PFA, permeabilized with Triton X-100 and incubated with ab246917 at 0.25 μg/ml.

Immunohistochemistry (Formalin/PFA-fixed paraffin-embedded sections) - Anti-LIAS antibody (AB246917)
  • IHC-P

Unknown

Immunohistochemistry (Formalin/PFA-fixed paraffin-embedded sections) - Anti-LIAS antibody (AB246917)

Formalin-fixed, paraffin-embedded mouse subfornical organ tissue stained for LIAS with ab246917 at a 1/50 dilution (green) in immunohistochemical analysis.

Immunohistochemistry (Formalin/PFA-fixed paraffin-embedded sections) - Anti-LIAS antibody (AB246917)
  • IHC-P

Supplier Data

Immunohistochemistry (Formalin/PFA-fixed paraffin-embedded sections) - Anti-LIAS antibody (AB246917)

Formalin-fixed, paraffin-embedded mouse cerebellum tissue stained for LIAS with ab246917 at a 1/50 dilution (green) in immunohistochemical analysis.

Immunohistochemistry (Formalin/PFA-fixed paraffin-embedded sections) - Anti-LIAS antibody (AB246917)
  • IHC-P

Supplier Data

Immunohistochemistry (Formalin/PFA-fixed paraffin-embedded sections) - Anti-LIAS antibody (AB246917)

Formalin-fixed, paraffin-embedded mouse lateral ventricle tissue stained for LIAS with ab246917 at a 1/50 dilution (green) in immunohistochemical analysis.

Western blot - Anti-LIAS antibody (AB246917)
  • WB

Unknown

Western blot - Anti-LIAS antibody (AB246917)

All lanes:

Western blot - Anti-LIAS antibody (ab246917) at 0.4 µg/mL

Lane 1:

NIH/3T3 (Mouse embryo fibroblast cell line) cell lysate

Lane 2:

NBT-II (Rat cell line) cell lysate

Predicted band size: 42 kDa

false

Key facts

Host species

Rabbit

Clonality

Polyclonal

Isotype

IgG

Carrier free

No

Reacts with

Mouse, Rat, Human

Applications

IHC-P, WB, ICC/IF

applications

Immunogen

Recombinant Fragment Protein within Human LIAS aa 200-350. The exact immunogen used to generate this antibody is proprietary information.

O43766

Reactivity data

{ "title": "Reactivity Data", "filters": { "stats": ["", "Species", "Dilution Info", "Notes"], "tabs": { "all-applications": {"fullname" : "All Applications", "shortname": "All Applications"}, "IHCP" : {"fullname" : "Immunohistochemistry (Formalin/PFA-fixed paraffin-embedded sections)", "shortname":"IHC-P"}, "ICCIF" : {"fullname" : "Immunocytochemistry/ Immunofluorescence", "shortname":"ICC/IF"}, "WB" : {"fullname" : "Western blot", "shortname":"WB"} }, "product-promise": { "all": "all", "testedAndGuaranteed": "tested", "guaranteed": "expected", "predicted": "predicted", "notRecommended": "not-recommended" } }, "values": { "Human": { "IHCP-species-checked": "testedAndGuaranteed", "IHCP-species-dilution-info": "1/50 - 1/200", "IHCP-species-notes": "<p></p> Perform heat-mediated antigen retrieval with citrate buffer pH 6 before commencing with IHC staining protocol.", "ICCIF-species-checked": "testedAndGuaranteed", "ICCIF-species-dilution-info": "0.25-2 µg/mL", "ICCIF-species-notes": "<p></p>", "WB-species-checked": "guaranteed", "WB-species-dilution-info": "", "WB-species-notes": "" }, "Mouse": { "IHCP-species-checked": "testedAndGuaranteed", "IHCP-species-dilution-info": "1/50 - 1/200", "IHCP-species-notes": "<p></p> Perform heat-mediated antigen retrieval with citrate buffer pH 6 before commencing with IHC staining protocol.", "ICCIF-species-checked": "guaranteed", "ICCIF-species-dilution-info": "", "ICCIF-species-notes": "", "WB-species-checked": "testedAndGuaranteed", "WB-species-dilution-info": "0.04-0.4 µg/mL", "WB-species-notes": "<p></p>" }, "Rat": { "IHCP-species-checked": "guaranteed", "IHCP-species-dilution-info": "", "IHCP-species-notes": "", "ICCIF-species-checked": "guaranteed", "ICCIF-species-dilution-info": "", "ICCIF-species-notes": "", "WB-species-checked": "testedAndGuaranteed", "WB-species-dilution-info": "0.04-0.4 µg/mL", "WB-species-notes": "<p></p>" }, "Cow": { "IHCP-species-checked": "predicted", "IHCP-species-dilution-info": "", "IHCP-species-notes": "", "ICCIF-species-checked": "predicted", "ICCIF-species-dilution-info": "", "ICCIF-species-notes": "", "WB-species-checked": "predicted", "WB-species-dilution-info": "", "WB-species-notes": "" } } }

Properties and storage information

Form
Liquid
Purification technique
Affinity purification Immunogen
Storage buffer
pH: 7.2 Preservative: 0.02% Sodium azide Constituents: PBS, 40% Glycerol (glycerin, glycerine)
Shipped at conditions
Blue Ice
Appropriate short-term storage duration
1-2 weeks
Appropriate short-term storage conditions
+4°C
Appropriate long-term storage conditions
-20°C
Aliquoting information
Upon delivery aliquot
Storage information
Avoid freeze / thaw cycle

Supplementary information

This supplementary information is collated from multiple sources and compiled automatically.

The biological target LIAS also known as lipoic acid synthase plays an important role in the synthesis of lipoic acid. LIAS is an enzyme with a molecular mass of approximately 40 kDa and it is present in many tissues showing high expression in liver and kidney. It functions as a homodimer in the mitochondria indicating its role as an important player in mitochondrial processes. The enzyme catalyzes the final step in the synthesis of lipoic acid by attaching sulfur atoms to octanoyl groups attached to protein domains.
Biological function summary

LIAS contributes to the activation of metabolic complexes by providing protein-bound lipoic acid. It integrates into multiprotein complexes facilitating their function. This lipoic acid acts as a cofactor for key mitochondrial enzyme complexes such as pyruvate dehydrogenase and α-ketoglutarate dehydrogenase which are important for energy production. These complexes are essential for the conversion of nutrients into usable energy highlighting the biochemical importance of LIAS in cellular respiration and metabolic regulation.

Pathways

Lipoic acid synthase is fundamental for mitochondrial energy metabolism and redox regulation pathways. It participates in the tricarboxylic acid cycle where it influences the activity of related enzymes. Through this activity LIAS interacts indirectly with proteins such as pyruvate dehydrogenase and dihydrolipoamide dehydrogenase both of which play a significant role in maintaining cellular energy balance. The efficient functioning of these pathways is important for cellular survival and homeostasis.

Mutations in LIAS have been linked to rare metabolic disorders like multiple mitochondrial dysfunctions syndrome. These mutations can lead to severe energy production deficits due to impaired enzyme complex assembly. In these conditions LIAS's connection to lipoic acid-dependent proteins like pyruvate dehydrogenase impacts disease progression further demonstrating its role in mitochondrial health. On a broader scale alterations in LIAS function might also relate to disorders involving energy metabolism such as neurodegenerative diseases.

Product protocols

For this product, it's our understanding that no specific protocols are required. You can visit:

Target data

Catalyzes the radical-mediated insertion of two sulfur atoms into the C-6 and C-8 positions of the octanoyl moiety bound to the lipoyl domains of lipoate-dependent enzymes, thereby converting the octanoylated domains into lipoylated derivatives.
See full target information LIAS

Publications (5)

Recent publications for all applications. Explore the full list and refine your search

Scientific reports 15:25012 PubMed40646006

2025

Tanshinone IIA induces oxidative stress in trophoblast cells and enhances copper dependent death.

Applications

Unspecified application

Species

Unspecified reactive species

Juemeng Du,Xuanyin Wang,Yuerui Zeng,Jingjing Feng,Lisha Yang,Yanxi Huang,Gaopi Deng

British journal of pharmacology 182:2409-2425 PubMed39933533

2025

Targeting FDX1 by trilobatin to inhibit cuproptosis in doxorubicin-induced cardiotoxicity.

Applications

Unspecified application

Species

Unspecified reactive species

Jiajia Wei,Guozhen Lan,Wenfang Zhang,Wang Ran,Yu Wei,Xin Liu,Yuandong Zhang,Qihai Gong,Haibo Li,Jianmei Gao

International journal of oral science 16:63 PubMed39511134

2024

Cuproptosis-related lncRNA JPX regulates malignant cell behavior and epithelial-immune interaction in head and neck squamous cell carcinoma via miR-193b-3p/PLAU axis.

Applications

Unspecified application

Species

Unspecified reactive species

Mouyuan Sun,Ning Zhan,Zhan Yang,Xiaoting Zhang,Jingyu Zhang,Lianjie Peng,Yaxian Luo,Lining Lin,Yiting Lou,Dongqi You,Tao Qiu,Zhichao Liu,Qianting Wang,Yu Liu,Ping Sun,Mengfei Yu,Huiming Wang

World journal of diabetes 15:2123-2134 PubMed39493567

2024

Effect of cuproptosis on acute kidney injury after cardiopulmonary bypass in diabetic patients.

Applications

Unspecified application

Species

Unspecified reactive species

Xi-Jin Deng,Yi-Nan Wang,Chuan-Bao Lv,Zhong-Zhi Qiu,Ling-Xin Zhu,Jing-Hui Shi,Si-Ri-Gu-Leng Sana

Cell proliferation 56:e13458 PubMed36977657

2023

Rps14 upregulation promotes inner ear progenitor proliferation and hair cell regeneration in the neonatal mouse cochlea.

Applications

Unspecified application

Species

Unspecified reactive species

Changling Xu,Jieyu Qi,Xiaojie Hu,Liyan Zhang,Qiuhan Sun,Nianci Li,Xin Chen,Fangfang Guo,Peina Wu,Yi Shi,Renjie Chai
View all publications

Product promise

We are committed to supporting your work with high-quality reagents, and we're here for you every step of the way. In the unlikely event that one of our products does not perform as expected, you're protected by our Product Promise.
For full details, please see our Terms & Conditions

Please note: All products are 'FOR RESEARCH USE ONLY. NOT FOR USE IN DIAGNOSTIC OR THERAPEUTIC PROCEDURES'.

For licensing inquiries, please contact partnerships@abcam.com