JavaScript is disabled in your browser. Please enable JavaScript to view this website.
AB244795

Anti-LIF antibody [EPR21713-25] - BSA and Azide free (Capture)

Be the first to review this product! Submit a review

|

(0 Publication)

Rabbit Recombinant Monoclonal LIF antibody. Carrier free. Suitable for sELISA and reacts with Mouse samples.

View Alternative Names

Leukemia inhibitory factor, LIF, Differentiation-stimulating factor, D factor, Lif

13 Images
Dot Blot - Anti-LIF antibody [EPR21713-25] - BSA and Azide free (Capture) (AB244795)
  • Dot

Supplier Data

Dot Blot - Anti-LIF antibody [EPR21713-25] - BSA and Azide free (Capture) (AB244795)

Dot blot analysis of KLF5 using ab324105 at 1 : 1000 (0.487 ug/ml) followed by a Goat Anti-Rabbit IgG, (H+L), Peroxidase conjugated (ab97051) at 1 : 10,000 dilution.

Lane1 : His-tagged human KLF5 recombinant protein
Lane2 : His-tagged human KLF2 recombinant protein
Lane3 : His-tagged human KLF3 recombinant protein
Lane4 : His-tagged human KLF4 recombinant protein
Lane5 : LIF-tagged human KLF1 recombinant protein

Exposure time : 70 seconds.

Blocking and diluting buffer and concentration : 5% NFDM/TBST.

This antibody does not cross-react with human KLF1, KLF2, KLF3 and KLF4.

In Dot Blot, Anti-6X His tag® antibody [EPR20547] - ChIP Grade (ab213204) staining at 1/5000 dilution.#In Dot Blot, Anti-LIF antibody [EPR21713-25] - BSA and Azide free staining at Capture dilution.

All lanes:

Dot Blot - Anti-KLF5 antibody [EPR29066-77] (<a href='/en-us/products/primary-antibodies/klf5-antibody-epr29066-77-ab324105'>ab324105</a>) at 1/1000 dilution

Lane 1:

His-tagged human KLF5 recombinant protein

Lane 2:

His-tagged human KLF2 recombinant protein

Lane 3:

His-tagged human KLF3 recombinant protein

Lane 4:

His-tagged human KLF4 recombinant protein

Lane 5:

LIF-tagged human KLF1 recombinant protein

Secondary

All lanes:

Dot Blot - Goat Anti-Rabbit IgG H&L (HRP) (<a href='/en-us/products/secondary-antibodies/goat-rabbit-igg-h-l-hrp-ab97051'>ab97051</a>) at 1/10000 dilution

false

Exposure time: 70s

Dot Blot - Anti-LIF antibody [EPR21713-25] - BSA and Azide free (Capture) (AB244795)
  • Dot

Supplier Data

Dot Blot - Anti-LIF antibody [EPR21713-25] - BSA and Azide free (Capture) (AB244795)

Dot blot analysis of CELSR1 using ab322043 at 1 : 1000 (0.518 ug/ml) followed by a Goat Anti-Rabbit IgG, (H+L), Peroxidase conjugated (ab97051) at 1 : 100,000 dilution.

Lane1 : LIF/His-tagged human CELSR1 protein fragment
Lane2 : LIF-tagged human CELSR2 protein fragment
Lane3 : LIF/His-tagged human CELSR3 protein fragment

Blocking and diluting buffer and concentration : 5% NFDM/TBST.

This antibody doesn't cross-react with Human CELSR2 and CELSR3.

All lanes:

Dot Blot - Anti-CELSR1 antibody [EPR26770-192] (<a href='/en-us/products/primary-antibodies/celsr1-antibody-epr26770-192-ab322043'>ab322043</a>) at 1/1000 dilution

Lane 1:

LIF/His-tagged human CELSR1 protein fragment at 20 ng

Lane 2:

LIF-tagged human CELSR2 protein fragment at 20 ng

Lane 3:

LIF/His-tagged human CELSR3 protein fragment at 20 ng

Secondary

All lanes:

Dot Blot - Goat Anti-Rabbit IgG H&L (HRP) (<a href='/en-us/products/secondary-antibodies/goat-rabbit-igg-h-l-hrp-ab97051'>ab97051</a>) at 1/100000 dilution

false

Exposure time: 180s

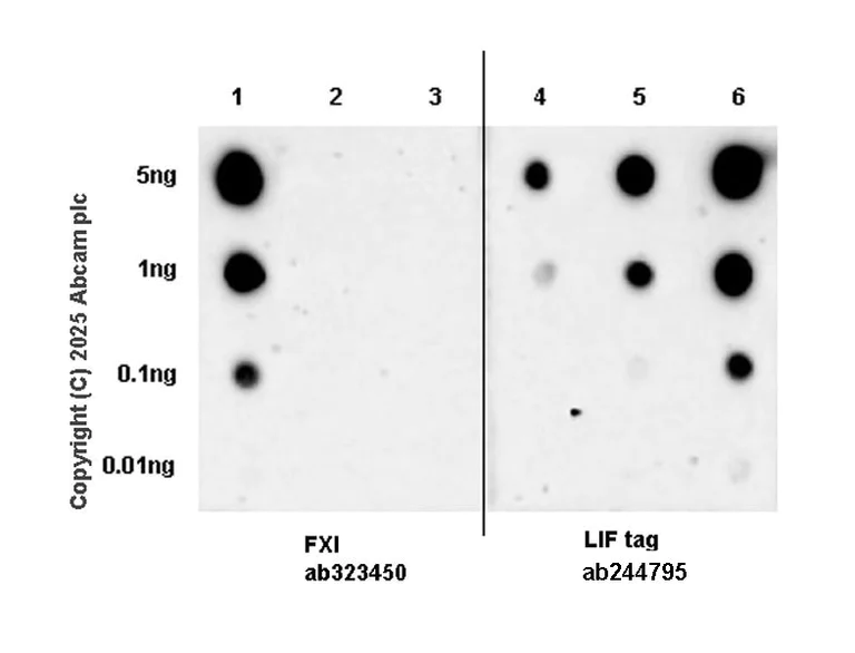
Dot Blot - Anti-LIF antibody [EPR21713-25] - BSA and Azide free (Capture) (AB244795)
  • Dot

Supplier Data

Dot Blot - Anti-LIF antibody [EPR21713-25] - BSA and Azide free (Capture) (AB244795)

Dot blot analysis of FXI using ab323450 at 1000 (0.493 ug/ml) followed by a Goat Anti-Rabbit IgG, (H+L), Peroxidase conjugated (ab97051) at 1 : 100,000 dilution.

Lane1 : LIF-tagged Human FXI light chain fragment
Lane2 : LIF-tagged Human FXI heavy chain fragment
Lane3 : LIF-tagged Human KLKB1 fragment

Exposure time : 180 seconds.

Blocking and diluting buffer and concentration : 5% NFDM/TBST.

This antibody does not cross-react with human FX1 heavy chain and Human KLKB1.

Total protein control : Anti-LIF antibody [EPR21713-25] - BSA and Azide free (Capture) (ab244795) (1 : 1000).

All lanes:

Dot Blot - Anti-FXI antibody [EPR29204-87] (<a href='/en-us/products/primary-antibodies/fxi-antibody-epr29204-87-ab323450'>ab323450</a>) at 1/1000 dilution

Lane 1:

LIF-tagged Human FXI light chain fragment

Lane 2:

LIF-tagged Human FXI heavy chain fragment

Lane 3:

LIF-tagged Human KLKB1 fragment

Secondary

All lanes:

Dot Blot - Goat Anti-Rabbit IgG H&L (HRP) (<a href='/en-us/products/secondary-antibodies/goat-rabbit-igg-h-l-hrp-ab97051'>ab97051</a>) at 1/100000 dilution

false

Exposure time: 180s

Dot Blot - Anti-LIF antibody [EPR21713-25] - BSA and Azide free (Capture) (AB244795)
  • Dot

Supplier Data

Dot Blot - Anti-LIF antibody [EPR21713-25] - BSA and Azide free (Capture) (AB244795)

Dot blot analysis of Tissue kallikrein using ab323796 at 1 : 1000 (0.49 ug/ml) followed by a Goat Anti-Rabbit IgG, (H+L), Peroxidase conjugated (ab97051) at 1 : 100,000 dilution.

Lane1 : LIF-tagged human KLK1 fragment
Lane2 : LIF-tagged human KLK2 fragment
Lane3 : LIF-tagged human KLK3 fragment

Exposure time : 180 seconds.

Blocking and diluting buffer and concentration : 5% NFDM/TBST.

In Dot Blot, Anti-LIF antibody [EPR21713-25] - BSA and Azide free (Capture) (ab244795) staining at 1 : 1000 dilution.

All lanes:

Dot Blot - Anti-Tissue kallikrein antibody [EPR25709-526] (<a href='/en-us/products/primary-antibodies/tissue-kallikrein-antibody-epr25709-526-ab323796'>ab323796</a>) at 1/1000 dilution

Lane 1:

LIF-tagged human KLK1 fragment

Lane 2:

LIF-tagged human KLK2 fragment

Lane 3:

LIF-tagged human KLK3 fragment

Secondary

All lanes:

Dot Blot - Goat Anti-Rabbit IgG H&L (HRP) (<a href='/en-us/products/secondary-antibodies/goat-rabbit-igg-h-l-hrp-ab97051'>ab97051</a>) at 1/100000 dilution

false

Exposure time: 180s

Dot Blot - Anti-LIF antibody [EPR21713-25] - BSA and Azide free (Capture) (AB244795)
  • Dot

Supplier Data

Dot Blot - Anti-LIF antibody [EPR21713-25] - BSA and Azide free (Capture) (AB244795)

Dot blot analysis of Wnt4 using ab322901 at 1 : 1000 (0.5 ug/ml) followed by a Goat Anti-Rabbit IgG, (H+L), Peroxidase conjugated (ab97051) at 1 : 100,000 dilution.

Lane1 : His-tagged human Wnt4 recombinant fragment
Lane2 : His-tagged human Wnt2b recombinant fragment
Lane3 : His-tagged human Wnt3a recombinant fragment
Lane4 : LIF-tagged human Wnt5a recombinant fragment

Blocking and diluting buffer and concentration : 5% NFDM/TBST.

This antibody does not cross-react with human Wnt2b, Wnt3a or Wnt5a.

In Dot Blot, Anti-6X His tag® antibody [EPR20547] - ChIP Grade (ab213204) staining at 1/5000 dilution.
In Dot Blot, Anti-LIF antibody [EPR21713-25] - BSA and Azide free (Capture) (ab244795) staining at 1/1000 dilution.

All lanes:

Dot Blot - Anti-Wnt4 antibody[EPR25073-14] (<a href='/en-us/products/primary-antibodies/wnt4-antibodyepr25073-14-ab322901'>ab322901</a>) at 1/1000 dilution

Lane 1:

His-tagged human Wnt4 recombinant fragment

Lane 2:

His-tagged human Wnt2b recombinant fragment

Lane 3:

His-tagged human Wnt3a recombinant fragment

Lane 4:

LIF-tagged human Wnt5a recombinant fragment

Secondary

All lanes:

Dot Blot - Goat Anti-Rabbit IgG H&L (HRP) (<a href='/en-us/products/secondary-antibodies/goat-rabbit-igg-h-l-hrp-ab97051'>ab97051</a>) at 1/100000 dilution

false

Exposure time: 180s

Dot Blot - Anti-LIF antibody [EPR21713-25] - BSA and Azide free (Capture) (AB244795)
  • Dot

Supplier Data

Dot Blot - Anti-LIF antibody [EPR21713-25] - BSA and Azide free (Capture) (AB244795)

Dot blot analysis of GBP2 using ab324736 at 1 : 1000 (0.499 ug/ml) followed by a Goat Anti-Rabbit IgG, (H+L), Peroxidase conjugated (ab97051) at 1 : 100,000 dilution.

Lane1 : LIF/His-tagged Mouse GBP2 recombinant fragment
Lane2 : LIF-tagged Mouse GBP1 recombinant fragment
Lane3 : LIF/His-tagged Mouse GBP3 recombinant fragment
Lane4 : His-tagged Mouse GBP4 recombinant fragment
Lane5 : His-tagged Mouse GBP5 recombinant fragment
Lane6 : LIF/His-tagged Mouse GBP6 recombinant fragment
Lane7 : His-tagged Mouse GBP7 recombinant fragment

Exposure time : 180 seconds.

Blocking and diluting buffer and concentration : 5% NFDM/TBST.

This antibody does not cross-react with mouse GBP1, GBP3, GBP4, GBP5, GBP6 or GBP7 by dot blot.

In Dot Blot, Anti-6X His tag® antibody [EPR20547] - ChIP Grade (ab213204) staining at 1/5000 dilution. In Dot Blot, Anti-LIF antibody [EPR21713-25] - BSA and Azide free staining at Capture dilution.

All lanes:

Dot Blot - Anti-GBP2 antibody [EPR29773-529] (<a href='/en-us/products/primary-antibodies/gbp2-antibody-epr29773-529-ab324736'>ab324736</a>) at 1/1000 dilution

Lane 1:

LIF/His-tagged Mouse GBP2 recombinant fragment

Lane 2:

LIF-tagged Mouse GBP1 recombinant fragment

Lane 3:

LIF/His-tagged Mouse GBP3 recombinant fragment

Lane 4:

His-tagged Mouse GBP4 recombinant fragment

Lane 5:

His-tagged Mouse GBP5 recombinant fragment

Lane 6:

LIF/His-tagged Mouse GBP6 recombinant fragment

Lane 7:

His-tagged Mouse GBP7 recombinant fragment

Secondary

All lanes:

Dot Blot - Goat Anti-Rabbit IgG H&L (HRP) (<a href='/en-us/products/secondary-antibodies/goat-rabbit-igg-h-l-hrp-ab97051'>ab97051</a>) at 1/100000 dilution

false

Exposure time: 180s

Sandwich ELISA - Anti-LIF antibody [EPR21713-25] - BSA and Azide free (Capture) (AB244795)
  • sELISA

Supplier Data

Sandwich ELISA - Anti-LIF antibody [EPR21713-25] - BSA and Azide free (Capture) (AB244795)

Representative standard curve from corresponding SimpleStep ELISA® Kit (ab238261).

Western blot - Anti-LIF antibody [EPR21713-25] - BSA and Azide free (Capture) (AB244795)
  • WB

Supplier Data

Western blot - Anti-LIF antibody [EPR21713-25] - BSA and Azide free (Capture) (AB244795)

Blocking and diluting buffer and concentration : 5% NFDM/TBST.

This antibody doesn't cross-react with Human ATP6V0D1.

The bands observed at higher mw could be detection of glycosylated forms of the overexpressed protein.

In Western blot, Anti-LIF antibody [EPR21713-25] - BSA and Azide free staining at Capture dilution.

All lanes:

Western blot - Anti-ATP6V0D2 antibody [EPR29173-521] (<a href='/en-us/products/primary-antibodies/atp6v0d2-antibody-epr29173-521-ab321809'>ab321809</a>) at 1/1000 dilution

Lane 1:

LIF/His-tagged human ATP6V0D2 protein fragment at 10 ng

Lane 2:

LIF/His-tagged human ATP6V0D1 protein fragment at 10 ng

Secondary

All lanes:

Western blot - Goat Anti-Rabbit IgG H&L (HRP) (<a href='/en-us/products/secondary-antibodies/goat-rabbit-igg-h-l-hrp-ab97051'>ab97051</a>) at 1/100000 dilution

Observed band size: 80 kDa

false

Exposure time: 180s

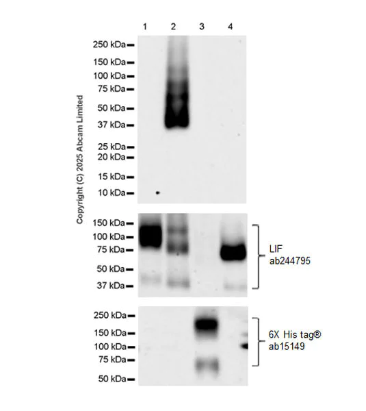
Western blot - Anti-LIF antibody [EPR21713-25] - BSA and Azide free (Capture) (AB244795)
  • WB

Supplier Data

Western blot - Anti-LIF antibody [EPR21713-25] - BSA and Azide free (Capture) (AB244795)

Blocking and diluting buffer and concentration : 5% NFDM/TBST.

This antibody does not cross-react with recombinant human UBQLN2 or UBQLN3 by western blot.

In Western blot, Anti-6X His tag® antibody [AD1.1.10] - (ab15149) staining at 1/1000 dilution.

In Western blot, Anti-LIF antibody [EPR21713-25] - (ab244795) staining at 1/1000 dilution.

All lanes:

Western blot - Anti-Ubiquilin/UBQLN1 antibody [EPR29585-56] (<a href='/en-us/products/primary-antibodies/ubiquilin-ubqln1-antibody-epr29585-56-ab325320'>ab325320</a>) at 1/1000 dilution

Lane 1:

His-tagged human UBQLN1 recombinant protein at 10 ng

Lane 2:

His-tagged human UBQLN2 recombinant protein at 10 ng

Lane 3:

LIF-tagged human UBQLN3 recombinant protein at 10 ng

Secondary

All lanes:

Western blot - Goat Anti-Rabbit IgG H&L (HRP) (<a href='/en-us/products/secondary-antibodies/goat-rabbit-igg-h-l-hrp-ab97051'>ab97051</a>) at 1/100000 dilution

Observed band size: 90 kDa

false

Exposure time: 15s

Western blot - Anti-LIF antibody [EPR21713-25] - BSA and Azide free (Capture) (AB244795)
  • WB

Supplier Data

Western blot - Anti-LIF antibody [EPR21713-25] - BSA and Azide free (Capture) (AB244795)

Blocking and diluting buffer and concentration : 5% NFDM/TBST.

This antibody does not cross-react with recombinant human Teneurin-1, Teneurin-3 or Teneurin-4 by western blot.

In Western blot, Anti-6X His tag® antibody [EPR20547] - ChIP Grade (ab213204) staining at 1/5000 dilution.

In Western blot, Anti-LIF antibody [EPR21713-25] - (ab244795) staining at 1/1000 dilution.

All lanes:

Western blot - Anti-Teneurin-2 (C-terminal) antibody [EPR29568-575] (<a href='/en-us/products/primary-antibodies/teneurin-2-c-terminal-antibody-epr29568-575-ab325134'>ab325134</a>) at 1/1000 dilution

Lane 1:

LIF-tagged human Teneurin-1 fragment at 10 ng

Lane 2:

LIF-tagged human Teneurin-2 fragment at 10 ng

Lane 3:

His-tagged human Teneurin-3 fragment at 10 ng

Lane 4:

LIF-tagged human Teneurin-4 fragment at 10 ng

Secondary

All lanes:

Western blot - Goat Anti-Rabbit IgG H&L (HRP) (<a href='/en-us/products/secondary-antibodies/goat-rabbit-igg-h-l-hrp-ab97051'>ab97051</a>) at 1/20000 dilution

Observed band size: 46 kDa,60 kDa,45 kDa

false

Exposure time: 103s

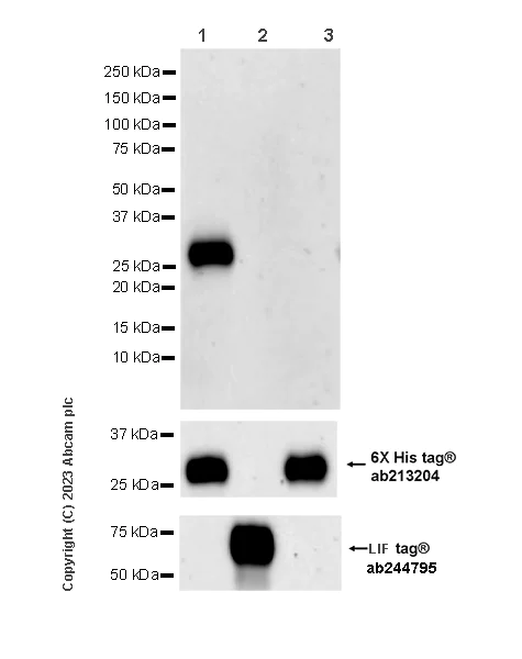
Western blot - Anti-LIF antibody [EPR21713-25] - BSA and Azide free (Capture) (AB244795)
  • WB

Supplier Data

Western blot - Anti-LIF antibody [EPR21713-25] - BSA and Azide free (Capture) (AB244795)

Blocking and diluting buffer and concentration : 5% NFDM/TBST This antibody does not react with human Fibrillin 2 and Fibrillin 3. The recombinant proteins of Fibrillin 1, Fibrillin 2 and Fibrillin 3 were made in house. In Western blot, Anti-LIF antibody [EPR21713-25] - BSA and Azide free staining at Capture dilution

All lanes:

Western blot - Anti-Fibrillin 1 antibody [EPR27362-76] (<a href='/en-us/products/primary-antibodies/fibrillin-1-antibody-epr27362-76-ab314547'>ab314547</a>) at 1/1000 dilution

Lane 1:

His-tagged human Fibrillin 1 recombinant protein at 20 ng

Lane 2:

LIF/His-tagged human Fibrillin 2 recombinant protein at 100 ng

Lane 3:

His-tagged human Fibrillin 3 recombinant protein at 100 ng

Secondary

All lanes:

Western blot - Goat Anti-Rabbit IgG H&L (HRP) (<a href='/en-us/products/secondary-antibodies/goat-rabbit-igg-h-l-hrp-ab97051'>ab97051</a>) at 1/20000 dilution

Observed band size: 30 kDa

false

Exposure time: 180s

Western blot - Anti-LIF antibody [EPR21713-25] - BSA and Azide free (Capture) (AB244795)
  • WB

Supplier Data

Western blot - Anti-LIF antibody [EPR21713-25] - BSA and Azide free (Capture) (AB244795)

Blocking and diluting buffer and concentration : 5% NFDM/TBST.

This antibody doesn't cross-react with Human ARSI and ARSJ.

In Western blot, Anti-6X His tag® antibody [EPR20547] - ChIP Grade (ab213204) staining at 1/5000 dilution.

In Western blot, Anti-LIF antibody [EPR21713-25] - BSA and Azide free (Capture) (ab244795) staining at 1/1000 dilution.

All lanes:

Western blot - Anti-ARSB antibody [EPR29282-12] (<a href='/en-us/products/primary-antibodies/arsb-antibody-epr29282-12-ab323379'>ab323379</a>) at 1/1000 dilution

Lane 1:

His-tagged human ARSB protein fragment at 10 ng

Lane 2:

His-tagged human ARSI recombinant protein at 10 ng

Lane 3:

LIF/His-tagged human ARSJ protein fragment at 10 ng

Secondary

All lanes:

Western blot - Goat Anti-Rabbit IgG H&L (HRP) (<a href='/en-us/products/secondary-antibodies/goat-rabbit-igg-h-l-hrp-ab97051'>ab97051</a>) at 1/20000 dilution

Observed band size: 60 kDa,100 kDa

false

Exposure time: 37s

Western blot - Anti-LIF antibody [EPR21713-25] - BSA and Azide free (Capture) (AB244795)
  • WB

Supplier Data

Western blot - Anti-LIF antibody [EPR21713-25] - BSA and Azide free (Capture) (AB244795)

In Western blot, Anti-6X His tag® antibody [EPR20547] - ChIP Grade (ab213204) staining at 1/5000 dilution.

In Western blot, Anti-LIF antibody [EPR21713-25] - BSA and Azide free staining at Capture dilution.

All lanes:

Western blot - Anti-Fibrillin 1 antibody [RM1179] (<a href='/en-us/products/primary-antibodies/fibrillin-1-antibody-rm1179-ab317580'>ab317580</a>) at 1/1000 dilution

Lane 1:

His-tagged human Fibrillin 1 recombinant protein fragment at 20 ng

Lane 2:

LIF/His-tagged human Fibrillin 2 recombinant protein fragment at 50 ng

Lane 3:

His-tagged human Fibrillin 3 recombinant protein fragment at 100 ng

Secondary

All lanes:

Western blot - Goat Anti-Rabbit IgG H&L (HRP) (<a href='/en-us/products/secondary-antibodies/goat-rabbit-igg-h-l-hrp-ab97051'>ab97051</a>) at 1/20000 dilution

Observed band size: 25 kDa,60 kDa

false

Exposure time: 180s

Key facts

Host species

Rabbit

Clonality

Monoclonal

Clone number

EPR21713-25

Isotype

IgG

Carrier free

Yes

Reacts with

Mouse

Applications

sELISA

applications

Immunogen

The exact immunogen used to generate this antibody is proprietary information.

Reactivity data

{ "title": "Reactivity Data", "filters": { "stats": ["", "Species", "Dilution Info", "Notes"], "tabs": { "all-applications": {"fullname" : "All Applications", "shortname": "All Applications"}, "sELISA" : {"fullname" : "Sandwich ELISA", "shortname":"sELISA"} }, "product-promise": { "all": "all", "testedAndGuaranteed": "tested", "guaranteed": "expected", "predicted": "predicted", "notRecommended": "not-recommended" } }, "values": { "Mouse": { "sELISA-species-checked": "guaranteed", "sELISA-species-dilution-info": "", "sELISA-species-notes": "<p></p>" } } }

Product details

ab244795 is a BSA and Azide Free antibody supplied in an unconjugated format and it is suitable for sandwich ELISAs to quantify Mouse LIF. The recommended pair for sandwich ELISA is:
Capture: ab244795, Mouse LIF Capture Antibody (unconjugated)
Detector: ab245068, Mouse LIF Detector Antibody (unconjugated)
The reference range value is 10.94 - 700 pg/ml.

Patented technology
Our RabMAb® technology is a patented hybridoma-based technology for making rabbit monoclonal antibodies. For details on our patents, please refer to RabMAb® patents.

What are the advantages of a recombinant monoclonal antibody?
This product is a recombinant monoclonal antibody, which offers several advantages including:

  • - High batch-to-batch consistency and reproducibility
  • - Improved sensitivity and specificity
  • - Long-term security of supply
  • - Animal-free batch production

For more information, read more on recombinant antibodies.

Conjugation ready
Our carrier-free antibodies are typically supplied in a PBS-only formulation, purified and free of BSA, sodium azide and glycerol. This conjugation-ready format is designed for use with fluorochromes, metal isotopes, oligonucleotides, and enzymes, which makes them ideal for antibody labelling, functional and cell-based assays, flow-based assays (e.g. mass cytometry) and Multiplex Imaging applications.

Use our conjugation kits for antibody conjugates that are ready-to-use in as little as 20 minutes with 1 minute hands-on-time and 100% antibody recovery: available for fluorescent dyes, HRP, biotin and gold.

Sandwich ELISA
The recommended antibody orientation is based on internal optimization for ELISA-based assays. Antibody orientation is assay dependent and needs to be optimized for each assay type. Please note that the range provided for this antibody is only an estimation based on the performance of the product using the recommended antibody pair. Performance of the antibody pair will depend on the specific characteristics of your assay. We guarantee the product works in sandwich ELISA, but we do not guarantee the sensitivity or dynamic range of the antibody in your assay.

Properties and storage information

Form
Liquid
Purification technique
Affinity purification Protein A
Storage buffer
Constituents: PBS
Shipped at conditions
Blue Ice
Appropriate short-term storage conditions
+4°C
Appropriate long-term storage conditions
+4°C

Supplementary information

This supplementary information is collated from multiple sources and compiled automatically.

Leukemia Inhibitory Factor (LIF) also known as LIF protein plays a critical mechanical role in cell communication and survival. It is a glycoprotein with a molecular weight (LIF MW) generally around 19 kilodaltons. In various tissues particularly in the mouse LIF expression occurs in the bone marrow muscle and notably the nervous system. Besides its presence in normal tissues it shows up in embryonic stem cells where it maintains their pluripotency in culture conditions.
Biological function summary

LIF influences cell differentiation growth and inflammatory response. As part of the interleukin-6 cytokine family LIF exerts its effects through a receptor complex involving LIFR (LIF receptor) and GP130. The LIF protein's signaling controls processes like neuronal cell differentiation and bone formation. It impacts hematopoietic cells and supports embryonic implantation and placental development by preparing the uterine environment.

Pathways

The LIF protein is essential in the JAK/STAT signaling pathway which regulates gene expression vital for survival and proliferation. It also interacts with the MAPK/ERK pathway ensuring diverse cellular responses. These pathways link LIF to related proteins like STAT3 and ERK1/2 which mediate further downstream effects. The interplay between these signaling cascades highlights LIF's role in managing cell survival and proliferation in various contexts.

LIF contributes to physiological and pathological states. In cancer such as leukemia LIF influences tumor growth and cancer cell survival. The interaction with other cytokines like Interleukin-6 enhances its effect in oncogenic processes. In inflammatory diseases like rheumatoid arthritis LIF's role relates to inflammation and joint destruction. Understanding its interaction with inflammatory mediators can aid in targeted therapeutic strategies.

Product protocols

For this product, it's our understanding that no specific protocols are required. You can visit:

Target data

LIF has the capacity to induce terminal differentiation in leukemic cells. Its activities include the induction of hematopoietic differentiation in normal and myeloid leukemia cells, the induction of neuronal cell differentiation, and the stimulation of acute-phase protein synthesis in hepatocytes.
See full target information Lif

Product promise

We are committed to supporting your work with high-quality reagents, and we're here for you every step of the way. In the unlikely event that one of our products does not perform as expected, you're protected by our Product Promise.
For full details, please see our Terms & Conditions

Please note: All products are 'FOR RESEARCH USE ONLY. NOT FOR USE IN DIAGNOSTIC OR THERAPEUTIC PROCEDURES'.

For licensing inquiries, please contact partnerships@abcam.com