JavaScript is disabled in your browser. Please enable JavaScript to view this website.
AB101228

Anti-LIFR antibody

4

(1 Review)

|

(14 Publications)

Rabbit Polyclonal LIFR antibody. Suitable for IHC-P, WB and reacts with Mouse samples. Cited in 14 publications.

View Alternative Names

CD118, Leukemia inhibitory factor receptor, LIF receptor, LIF-R, D-factor/LIF receptor, Lifr

2 Images
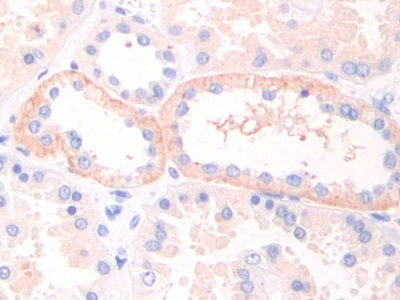
Immunohistochemistry (Formalin/PFA-fixed paraffin-embedded sections) - Anti-LIFR antibody (AB101228)
  • IHC-P

Unknown

Immunohistochemistry (Formalin/PFA-fixed paraffin-embedded sections) - Anti-LIFR antibody (AB101228)

IHC image of LIFR staining in mouse placenta formalin fixed paraffin embedded tissue section, performed on a Leica BondTM system using the standard protocol B. The section was pre-treated using heat mediated antigen retrieval with sodium citrate buffer (pH6, epitope retrieval solution 1) for 20 mins. The section was then incubated with ab101228, 1µg/ml, for 15 mins at room temperature. A goat anti-rabbit biotinylated secondary antibody was used to detect the primary, and visualized using an HRP conjugated ABC system. DAB was used as the chromogen. The section was then counterstained with haematoxylin and mounted with DPX.

For other IHC staining systems (automated and non-automated) customers should optimize variable parameters such as antigen retrieval conditions, primary antibody concentration and antibody incubation times.

Western blot - Anti-LIFR antibody (AB101228)
  • WB

Unknown

Western blot - Anti-LIFR antibody (AB101228)

All lanes:

Western blot - Anti-LIFR antibody (ab101228) at 1 µg/mL

All lanes:

Mouse Placenta Tissue Lysate at 10 µg

Secondary

All lanes:

Western blot - Goat Anti-Rabbit IgG H&L (HRP) preadsorbed (<a href='/en-us/products/secondary-antibodies/goat-rabbit-igg-h-l-hrp-preadsorbed-ab97080'>ab97080</a>) at 1/5000 dilution

Predicted band size: 124 kDa

Observed band size: 122 kDa,37 kDa

true

Exposure time: 90s

Key facts

Host species

Rabbit

Clonality

Polyclonal

Isotype

IgG

Carrier free

No

Reacts with

Mouse

Applications

WB, IHC-P

applications

Immunogen

The exact immunogen used to generate this antibody is proprietary information.

Reactivity data

{ "title": "Reactivity Data", "filters": { "stats": ["", "Species", "Dilution Info", "Notes"], "tabs": { "all-applications": {"fullname" : "All Applications", "shortname": "All Applications"}, "IHCP" : {"fullname" : "Immunohistochemistry (Formalin/PFA-fixed paraffin-embedded sections)", "shortname":"IHC-P"}, "WB" : {"fullname" : "Western blot", "shortname":"WB"} }, "product-promise": { "all": "all", "testedAndGuaranteed": "tested", "guaranteed": "expected", "predicted": "predicted", "notRecommended": "not-recommended" } }, "values": { "Human": { "IHCP-species-checked": "predicted", "IHCP-species-dilution-info": "", "IHCP-species-notes": "", "WB-species-checked": "predicted", "WB-species-dilution-info": "", "WB-species-notes": "" }, "Mouse": { "IHCP-species-checked": "testedAndGuaranteed", "IHCP-species-dilution-info": "1 µg/mL", "IHCP-species-notes": "<p></p>", "WB-species-checked": "testedAndGuaranteed", "WB-species-dilution-info": "1 µg/mL", "WB-species-notes": "<p></p>" }, "Rat": { "IHCP-species-checked": "predicted", "IHCP-species-dilution-info": "", "IHCP-species-notes": "", "WB-species-checked": "predicted", "WB-species-dilution-info": "", "WB-species-notes": "" }, "Chimpanzee": { "IHCP-species-checked": "predicted", "IHCP-species-dilution-info": "", "IHCP-species-notes": "", "WB-species-checked": "predicted", "WB-species-dilution-info": "", "WB-species-notes": "" }, "Horse": { "IHCP-species-checked": "predicted", "IHCP-species-dilution-info": "", "IHCP-species-notes": "", "WB-species-checked": "predicted", "WB-species-dilution-info": "", "WB-species-notes": "" }, "Macaque monkey": { "IHCP-species-checked": "predicted", "IHCP-species-dilution-info": "", "IHCP-species-notes": "", "WB-species-checked": "predicted", "WB-species-dilution-info": "", "WB-species-notes": "" }, "Orangutan": { "IHCP-species-checked": "predicted", "IHCP-species-dilution-info": "", "IHCP-species-notes": "", "WB-species-checked": "predicted", "WB-species-dilution-info": "", "WB-species-notes": "" }, "Pig": { "IHCP-species-checked": "predicted", "IHCP-species-dilution-info": "", "IHCP-species-notes": "", "WB-species-checked": "predicted", "WB-species-dilution-info": "", "WB-species-notes": "" } } }

Properties and storage information

Form
Liquid
Purification technique
Affinity purification Immunogen
Storage buffer
pH: 7.4 Preservative: 0.02% Sodium azide Constituents: PBS, 1% BSA
Shipped at conditions
Blue Ice
Appropriate short-term storage duration
1-2 weeks
Appropriate short-term storage conditions
+4°C
Appropriate long-term storage conditions
-20°C
Aliquoting information
Upon delivery aliquot
Storage information
Avoid freeze / thaw cycle

Supplementary information

This supplementary information is collated from multiple sources and compiled automatically.

The leukemia inhibitory factor receptor also known as LIFR is a protein that plays an important role in cellular signaling. It has a mass of approximately 190-210 kDa and it is widely expressed in various tissues such as the liver muscle and bone. LIFR is a member of the interleukin 6 (IL-6) receptor family. The 'LIFR selector' refers to its ability to bind and select its specific ligand leukemia inhibitory factor (LIF) which initiates signal transduction processes. LIFR expression tends to be higher in developing tissues indicating its involvement during embryogenesis.
Biological function summary

The leukemia inhibitory factor receptor is involved in various cellular processes including differentiation proliferation and survival. When LIF binds to LIFR it forms a complex with gp130 another receptor protein which then activates downstream signaling pathways that regulate these cellular processes. This complex formation is an important component in the maintenance of stem cell pluripotency which is important in early development. The LIFR meaning in this context is essential for translating extracellular signals into cellular responses.

Pathways

The leukemia inhibitory factor receptor plays a critical role in the JAK/STAT signaling pathway. This pathway is significant for transmitting information received from extracellular chemical signals to the cell nucleus resulting in DNA transcription. LIFR closely interacts with other proteins like STAT3 and JAK1 which further propagate the signaling cascade initiated by LIF binding. Another pathway involving LIFR is the MAPK/ERK pathway a major pathway that influences cell growth and differentiation. These pathways highlight the interconnectivity of LIFR in regulating key cellular functions.

LIFR has been linked to cancer progression and osteoporosis. Abnormal LIFR signaling can lead to unchecked cellular proliferation contributing to tumorigenesis in various cancers such as liver and breast cancer. LIFR also interacts with proteins like gp130 and the aforementioned STAT3 in the cancerous context. In osteoporosis altered LIFR expression affects bone metabolism potentially leading to increased bone resorption and weakening. The role of LIFR in these diseases demonstrates its potential as a therapeutic target and its importance in maintaining normal tissue homeostasis.

Product protocols

For this product, it's our understanding that no specific protocols are required. You can visit:

Target data

Signal-transducing molecule. May have a common pathway with IL6ST. The soluble form inhibits the biological activity of LIF by blocking its binding to receptors on target cells.
See full target information Lifr

Publications (14)

Recent publications for all applications. Explore the full list and refine your search

Scientific reports 15:35059 PubMed41062649

2025

Immunohistochemical expression pattern of leukemia inhibitory factor and its receptor may mark a tipping point in the progression of oral cancer.

Applications

Unspecified application

Species

Unspecified reactive species

Muhammed Yakin,Benedict Seo,Haizal Mohd Hussaini,Alison M Rich

Biomedicines 13: PubMed40002703

2025

Dysregulation of Leukaemia Inhibitory Factor (LIF) Signalling Pathway by Supraphysiological Dose of Testosterone in Female Sprague Dawley Rats During Development of Endometrial Receptivity.

Applications

Unspecified application

Species

Unspecified reactive species

Allia Najmie Muhammad Yusuf,Mohd Fariz Amri,Azizah Ugusman,Adila A Hamid,Izzat Zulhilmi Abd Rahman,Mohd Helmy Mokhtar

The Journal of neuroscience : the official journal of the Society for Neuroscience 44: PubMed39266301

2024

A miR-383-5p Signaling Hub Coordinates the Axon Regeneration Response to Inflammation.

Applications

Unspecified application

Species

Unspecified reactive species

Matthew A Hintermayer,Camille A Juźwik,Barbara Morquette,Elizabeth Hua,Julia Zhang,Sienna Drake,Shan Shan Shi,Isabel Rambaldi,Vamshi Vangoor,Jeroen Pasterkamp,Craig Moore,Alyson E Fournier

Molecular oncology 18:1665-1686 PubMed38381121

2024

Immunosuppressive role of BDNF in therapy-induced neuroendocrine prostate cancer.

Applications

Unspecified application

Species

Unspecified reactive species

Yen-Nien Liu,Wei-Yu Chen,Ming-Kun Liu,Hsiu-Lien Yeh,Wei-Hao Chen,Kuo-Ching Jiang,Han-Ru Li,Zi-Qing Chen,Wan-Hsin Wang,Wassim Abou-Kheir,Yu-Ching Wen

Hepatology (Baltimore, Md.) 78:1478-1491 PubMed35950514

2022

Intrahepatic paracrine signaling by cardiotrophin-like cytokine factor 1 ameliorates diet-induced NASH in mice.

Applications

Unspecified application

Species

Unspecified reactive species

Tongyu Liu,Qiuyu Wang,Linkang Zhou,Peng Zhang,Lin Mi,Xiaoxue Qiu,Zhimin Chen,Henry Kuang,Siming Li,Jiandie D Lin

Frontiers in physiology 12:674924 PubMed34248664

2021

GLUT4 in Mouse Endometrial Epithelium: Roles in Embryonic Development and Implantation.

Applications

Unspecified application

Species

Unspecified reactive species

Yun Long,Yi-Cheng Wang,Dong-Zhi Yuan,Xin-Hua Dai,Lin-Chuan Liao,Xue-Qin Zhang,Li-Xue Zhang,Yong-Dan Ma,Yi Lei,Zhi-Hui Cui,Jin-Hu Zhang,Li Nie,Li-Min Yue

Molecular metabolism :101164 PubMed33453419

2021

Essential roles of insulin and IGF-1 receptors during embryonic lineage development.

Applications

Unspecified application

Species

Unspecified reactive species

Erin R Okawa,Manoj K Gupta,Sevim Kahraman,Praneeth Goli,Masaji Sakaguchi,Jiang Hu,Kaiti Duan,Brittany Slipp,Jochen K Lennerz,Rohit N Kulkarni

Cell proliferation 53:e12757 PubMed31916327

2020

Retinal blood vessel-origin yes-associated protein (YAP) governs astrocytic maturation via leukaemia inhibitory factor (LIF).

Applications

Unspecified application

Species

Unspecified reactive species

Li-Qian-Yu Ai,Rong-Di Yuan,Xi Chen,Yun-Jia Liu,Wen-Yi Liu,Jing-Yi Zhu,Zhou Zhang,Jun Yan,Chun-Lin Chen,Sen Lin,Jian Ye

International journal of chronic obstructive pulmonary disease 14:1305-1315 PubMed31417248

2019

Cigarette smoke exposure reduces leukemia inhibitory factor levels during respiratory syncytial viral infection.

Applications

Unspecified application

Species

Unspecified reactive species

Justin Poon,Michael Campos,Robert F Foronjy,Sridesh Nath,Gayatri Gupta,Christopher Railwah,Abdoulaye J Dabo,Nathalie Baumlin,Matthias Salathe,Patrick Geraghty

Cytokine 120:130-143 PubMed31071674

2019

Tunicamycin-induced endoplasmic reticulum stress up-regulates tumour-promoting cytokines in oral squamous cell carcinoma.

Applications

IHC-P

Species

Human

Muhammed Yakin,Benedict Seo,Alison Rich
View all publications

Product promise

We are committed to supporting your work with high-quality reagents, and we're here for you every step of the way. In the unlikely event that one of our products does not perform as expected, you're protected by our Product Promise.
For full details, please see our Terms & Conditions

Please note: All products are 'FOR RESEARCH USE ONLY. NOT FOR USE IN DIAGNOSTIC OR THERAPEUTIC PROCEDURES'.

For licensing inquiries, please contact partnerships@abcam.com