JavaScript is disabled in your browser. Please enable JavaScript to view this website.
AB177946

Anti-LIG1 antibody [EPR12464]

5

(2 Reviews)

|

(6 Publications)

Rabbit Recombinant Monoclonal LIG1 antibody. Suitable for IHC-P, WB, ICC/IF and reacts with Human samples. Cited in 6 publications.

View Alternative Names

DNA ligase 1, DNA ligase I, Polydeoxyribonucleotide synthase [ATP] 1, LIG1

4 Images
Immunocytochemistry/ Immunofluorescence - Anti-LIG1 antibody [EPR12464] (AB177946)
  • ICC/IF

Supplier Data

Immunocytochemistry/ Immunofluorescence - Anti-LIG1 antibody [EPR12464] (AB177946)

Immunofluorescent analysis of HeLa cells labeling LIG1 with ab177946 at 1/100 dilution.

Immunohistochemistry (Formalin/PFA-fixed paraffin-embedded sections) - Anti-LIG1 antibody [EPR12464] (AB177946)
  • IHC-P

Supplier Data

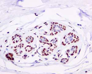
Immunohistochemistry (Formalin/PFA-fixed paraffin-embedded sections) - Anti-LIG1 antibody [EPR12464] (AB177946)

Immunohistochemical analysis of paraffin-embedded human breast tissue labeling LIG1 with ab177946 at 1/50 dilution.

Perform heat mediated antigen retrieval with citrate buffer pH 6 before commencing with IHC staining protocol.

Immunohistochemistry (Formalin/PFA-fixed paraffin-embedded sections) - Anti-LIG1 antibody [EPR12464] (AB177946)
  • IHC-P

Supplier Data

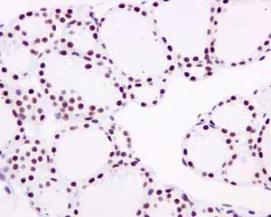
Immunohistochemistry (Formalin/PFA-fixed paraffin-embedded sections) - Anti-LIG1 antibody [EPR12464] (AB177946)

Immunohistochemical analysis of paraffin-embedded Human thyroid gland tissue labeling LIG1 with ab177946 at 1/50 dilution.

Perform heat mediated antigen retrieval with citrate buffer pH 6 before commencing with IHC staining protocol.

Western blot - Anti-LIG1 antibody [EPR12464] (AB177946)
  • WB

Supplier Data

Western blot - Anti-LIG1 antibody [EPR12464] (AB177946)

All lanes:

Western blot - Anti-LIG1 antibody [EPR12464] (ab177946) at 1/1000 dilution

Lane 1:

HeLa cell lysate at 10 µg

Lane 2:

Jurkat cell lysate at 10 µg

Lane 3:

Molt 4 cell lysate at 10 µg

Predicted band size: 102 kDa

false

Key facts

Host species

Rabbit

Clonality

Monoclonal

Clone number

EPR12464

Isotype

IgG

Carrier free

No

Reacts with

Human

Applications

ICC/IF, WB, IHC-P

applications

Immunogen

The exact immunogen used to generate this antibody is proprietary information.

Reactivity data

{ "title": "Reactivity Data", "filters": { "stats": ["", "Species", "Dilution Info", "Notes"], "tabs": { "all-applications": {"fullname" : "All Applications", "shortname": "All Applications"}, "IHCP" : {"fullname" : "Immunohistochemistry (Formalin/PFA-fixed paraffin-embedded sections)", "shortname":"IHC-P"}, "IP" : {"fullname" : "Immunoprecipitation", "shortname":"IP"}, "FlowCyt" : {"fullname" : "Flow Cytometry", "shortname":"Flow Cyt"}, "WB" : {"fullname" : "Western blot", "shortname":"WB"}, "ICCIF" : {"fullname" : "Immunocytochemistry/ Immunofluorescence", "shortname":"ICC/IF"} }, "product-promise": { "all": "all", "testedAndGuaranteed": "tested", "guaranteed": "expected", "predicted": "predicted", "notRecommended": "not-recommended" } }, "values": { "Human": { "IHCP-species-checked": "testedAndGuaranteed", "IHCP-species-dilution-info": "1/50 - 1/100", "IHCP-species-notes": "<p></p> Perform heat-mediated antigen retrieval with citrate buffer pH 6 before commencing with IHC staining protocol.", "IP-species-checked": "notRecommended", "IP-species-dilution-info": "", "IP-species-notes": "<p></p>", "FlowCyt-species-checked": "notRecommended", "FlowCyt-species-dilution-info": "", "FlowCyt-species-notes": "<p></p>", "WB-species-checked": "testedAndGuaranteed", "WB-species-dilution-info": "1/1000 - 1/10000", "WB-species-notes": "<p></p>", "ICCIF-species-checked": "testedAndGuaranteed", "ICCIF-species-dilution-info": "1/100 - 1/250", "ICCIF-species-notes": "<p></p>" }, "Mouse": { "IHCP-species-checked": "notRecommended", "IHCP-species-dilution-info": "1/50 - 1/100", "IHCP-species-notes": "<p></p> Perform heat-mediated antigen retrieval with citrate buffer pH 6 before commencing with IHC staining protocol.", "IP-species-checked": "notRecommended", "IP-species-dilution-info": "", "IP-species-notes": "<p></p>", "FlowCyt-species-checked": "notRecommended", "FlowCyt-species-dilution-info": "", "FlowCyt-species-notes": "<p></p>", "WB-species-checked": "notRecommended", "WB-species-dilution-info": "1/1000 - 1/10000", "WB-species-notes": "<p></p>", "ICCIF-species-checked": "notRecommended", "ICCIF-species-dilution-info": "1/100 - 1/250", "ICCIF-species-notes": "<p></p>" }, "Rat": { "IHCP-species-checked": "notRecommended", "IHCP-species-dilution-info": "", "IHCP-species-notes": "", "IP-species-checked": "notRecommended", "IP-species-dilution-info": "", "IP-species-notes": "", "FlowCyt-species-checked": "notRecommended", "FlowCyt-species-dilution-info": "", "FlowCyt-species-notes": "", "WB-species-checked": "notRecommended", "WB-species-dilution-info": "", "WB-species-notes": "", "ICCIF-species-checked": "notRecommended", "ICCIF-species-dilution-info": "", "ICCIF-species-notes": "" } } }

Product details

Patented technology
Our RabMAb® technology is a patented hybridoma-based technology for making rabbit monoclonal antibodies. For details on our patents, please refer to RabMAb® patents.

What are the advantages of a recombinant monoclonal antibody?
This product is a recombinant monoclonal antibody, which offers several advantages including:

  • - High batch-to-batch consistency and reproducibility
  • - Improved sensitivity and specificity
  • - Long-term security of supply
  • - Animal-free batch production

For more information, read more on recombinant antibodies.

Properties and storage information

Form
Liquid
Purification technique
Affinity purification Protein A
Storage buffer
pH: 7.2 - 7.4 Preservative: 0.01% Sodium azide Constituents: 50% Tissue culture supernatant, 40% Glycerol (glycerin, glycerine), 9% PBS, 0.05% BSA
Shipped at conditions
Blue Ice
Appropriate short-term storage duration
1-2 weeks
Appropriate short-term storage conditions
+4°C
Appropriate long-term storage conditions
-20°C
Aliquoting information
Upon delivery aliquot
Storage information
Avoid freeze / thaw cycle

Supplementary information

This supplementary information is collated from multiple sources and compiled automatically.

The 'LIG1' protein also known as DNA ligase I plays an important role in DNA replication and repair. Mechanically LIG1 is responsible for catalyzing the formation of phosphodiester bonds between adjacent DNA strands an essential step for sealing Okazaki fragments during lagging strand synthesis. This protein features a molecular weight of approximately 102 kDa. LIG1 is predominantly expressed in the nucleus of proliferating cells with presence noted in various tissues including those undergoing rapid cell division.
Biological function summary

DNA ligase I which is sometimes part of larger DNA replication complexes ensures the faithful duplication and repair of the genome. This protein assists with repairing single and double-strand breaks thereby maintaining genomic stability. In the context of DNA replication LIG1 is necessary for completing the joining of discontinuous segments preventing loss of genetic information. Mutations or deficiencies can compromise this repairing process potentially leading to genome instability.

Pathways

LIG1 participates in the DNA replication pathway and the base excision repair pathway. Within these pathways LIG1 interacts with other proteins such as proliferating cell nuclear antigen (PCNA) to facilitate its recruitment to DNA and enhance its ligation efficiency. Additionally LIG1 associates with replication factor C (RFC) which acts as a clamp loader and flap endonuclease 1 (FEN1) during DNA replication and repair ensuring proper genome maintenance.

Defective LIG1 function relates to genomic instability which can contribute to conditions such as immunodeficiency and increased cancer susceptibility. For example mutations in the LIG1 gene have been associated with Ligase I deficiency which presents with hypersensitivity to DNA-damaging agents and immunodeficiency. LIG1's activity is also connected to Bloom syndrome where defective DNA repair leads to chromosomal instability involving interactions with proteins such as the Bloom syndrome protein (BLM).

Product protocols

For this product, it's our understanding that no specific protocols are required. You can visit:

Target data

DNA ligase that seals nicks in double-stranded during DNA repair (PubMed : 30395541). Also involved in DNA replication and DNA recombination.
See full target information LIG1

Publications (6)

Recent publications for all applications. Explore the full list and refine your search

NPJ precision oncology 6:51 PubMed35853939

2022

Targeting Mre11 overcomes platinum resistance and induces synthetic lethality in XRCC1 deficient epithelial ovarian cancers.

Applications

Unspecified application

Species

Unspecified reactive species

Adel Alblihy,Reem Ali,Mashael Algethami,Ahmed Shoqafi,Michael S Toss,Juliette Brownlie,Natalie J Tatum,Ian Hickson,Paloma Ordonez Moran,Anna Grabowska,Jennie N Jeyapalan,Nigel P Mongan,Emad A Rakha,Srinivasan Madhusudan

G3 (Bethesda, Md.) 12: PubMed35666183

2022

Integrative analysis and prediction of human R-loop binding proteins.

Applications

Unspecified application

Species

Unspecified reactive species

Arun Kumar,Louis-Alexandre Fournier,Peter C Stirling

Placenta 106:7-14 PubMed33601221

2021

Downregulation of DNA ligases in trophoblasts contributes to recurrent pregnancy loss through inducing DNA damages.

Applications

Unspecified application

Species

Unspecified reactive species

Peng-Fen Li,Yun-Gai Xiang,Dan Zhang,Na Lu,Qian Dou,Li Tan

The Journal of clinical investigation 128:5489-5504 PubMed30395541

2018

Biallelic mutations in DNA ligase 1 underlie a spectrum of immune deficiencies.

Applications

Unspecified application

Species

Unspecified reactive species

Patrick Maffucci,Jose Chavez,Thomas J Jurkiw,Patrick J O'Brien,Jordan K Abbott,Paul R Reynolds,Austen Worth,Luigi D Notarangelo,Kerstin Felgentreff,Patricia Cortes,Bertrand Boisson,Lin Radigan,Aurélie Cobat,Chitra Dinakar,Mohammad Ehlayel,Tawfeg Ben-Omran,Erwin W Gelfand,Jean-Laurent Casanova,Charlotte Cunningham-Rundles

Nature communications 9:335 PubMed29362359

2018

Impaired DNA damage response signaling by FUS-NLS mutations leads to neurodegeneration and FUS aggregate formation.

Applications

WB

Species

Unspecified reactive species

Marcel Naumann,Arun Pal,Anand Goswami,Xenia Lojewski,Julia Japtok,Anne Vehlow,Maximilian Naujock,René Günther,Mengmeng Jin,Nancy Stanslowsky,Peter Reinhardt,Jared Sterneckert,Marie Frickenhaus,Francisco Pan-Montojo,Erik Storkebaum,Ina Poser,Axel Freischmidt,Jochen H Weishaupt,Karlheinz Holzmann,Dirk Troost,Albert C Ludolph,Tobias M Boeckers,Stefan Liebau,Susanne Petri,Nils Cordes,Anthony A Hyman,Florian Wegner,Stephan W Grill,Joachim Weis,Alexander Storch,Andreas Hermann

Nature communications 8:1470 PubMed29133916

2017

BRCA2 antagonizes classical and alternative nonhomologous end-joining to prevent gross genomic instability.

Applications

Unspecified application

Species

Unspecified reactive species

Jinhua Han,Chunyan Ruan,Michael S Y Huen,Jiadong Wang,Anyong Xie,Chun Fu,Ting Liu,Jun Huang
View all publications

Product promise

We are committed to supporting your work with high-quality reagents, and we're here for you every step of the way. In the unlikely event that one of our products does not perform as expected, you're protected by our Product Promise.
For full details, please see our Terms & Conditions

Associated Products

Select an associated product type
Alternative Product
Primary Antibodies

AB227133

Anti-LIG1 antibody

primary-antibodies

lig1-antibody-ab227133

0

(0 reviews)

Please note: All products are 'FOR RESEARCH USE ONLY. NOT FOR USE IN DIAGNOSTIC OR THERAPEUTIC PROCEDURES'.

For licensing inquiries, please contact partnerships@abcam.com