JavaScript is disabled in your browser. Please enable JavaScript to view this website.
AB240202

Anti-LIG1 antibody [EPR12464] - BSA and Azide free

Be the first to review this product! Submit a review

|

(1 Publication)

Rabbit Recombinant Monoclonal LIG1 antibody. Carrier free. Suitable for IHC-P, WB, ICC/IF and reacts with Human samples. Cited in 1 publication.

View Alternative Names

DNA ligase 1, DNA ligase I, Polydeoxyribonucleotide synthase [ATP] 1, LIG1

3 Images
Immunocytochemistry/ Immunofluorescence - Anti-LIG1 antibody [EPR12464] - BSA and Azide free (AB240202)
  • ICC/IF

Supplier Data

Immunocytochemistry/ Immunofluorescence - Anti-LIG1 antibody [EPR12464] - BSA and Azide free (AB240202)

Immunofluorescent analysis of HeLa cells labeling LIG1 with ab177946 at 1/100 dilution.

This data was developed using the same antibody clone in a different buffer formulation containing PBS, BSA, glycerol, and sodium azide (ab177946).

Immunohistochemistry (Formalin/PFA-fixed paraffin-embedded sections) - Anti-LIG1 antibody [EPR12464] - BSA and Azide free (AB240202)
  • IHC-P

Supplier Data

Immunohistochemistry (Formalin/PFA-fixed paraffin-embedded sections) - Anti-LIG1 antibody [EPR12464] - BSA and Azide free (AB240202)

Immunohistochemical analysis of paraffin-embedded Human gastric carcinoma tissue labeling LIG1 with ab177946 at 1/50 dilution.

This data was developed using the same antibody clone in a different buffer formulation containing PBS, BSA, glycerol, and sodium azide (ab177946).

Perform heat mediated antigen retrieval with citrate buffer pH 6 before commencing with IHC staining protocol.

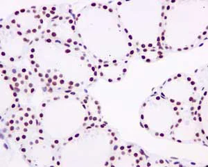
Immunohistochemistry (Formalin/PFA-fixed paraffin-embedded sections) - Anti-LIG1 antibody [EPR12464] - BSA and Azide free (AB240202)
  • IHC-P

Supplier Data

Immunohistochemistry (Formalin/PFA-fixed paraffin-embedded sections) - Anti-LIG1 antibody [EPR12464] - BSA and Azide free (AB240202)

Immunohistochemical analysis of paraffin-embedded Human thyroid gland tissue labeling LIG1 with ab177946 at 1/50 dilution.

This data was developed using the same antibody clone in a different buffer formulation containing PBS, BSA, glycerol, and sodium azide (ab177946).

Perform heat mediated antigen retrieval with citrate buffer pH 6 before commencing with IHC staining protocol.

Key facts

Host species

Rabbit

Clonality

Monoclonal

Clone number

EPR12464

Isotype

IgG

Carrier free

Yes

Reacts with

Human

Applications

ICC/IF, IHC-P, WB

applications

Immunogen

The exact immunogen used to generate this antibody is proprietary information.

Reactivity data

{ "title": "Reactivity Data", "filters": { "stats": ["", "Species", "Dilution Info", "Notes"], "tabs": { "all-applications": {"fullname" : "All Applications", "shortname": "All Applications"}, "IHCP" : {"fullname" : "Immunohistochemistry (Formalin/PFA-fixed paraffin-embedded sections)", "shortname":"IHC-P"}, "IP" : {"fullname" : "Immunoprecipitation", "shortname":"IP"}, "FlowCyt" : {"fullname" : "Flow Cytometry", "shortname":"Flow Cyt"}, "WB" : {"fullname" : "Western blot", "shortname":"WB"}, "ICCIF" : {"fullname" : "Immunocytochemistry/ Immunofluorescence", "shortname":"ICC/IF"} }, "product-promise": { "all": "all", "testedAndGuaranteed": "tested", "guaranteed": "expected", "predicted": "predicted", "notRecommended": "not-recommended" } }, "values": { "Human": { "IHCP-species-checked": "testedAndGuaranteed", "IHCP-species-dilution-info": "", "IHCP-species-notes": "<p></p> Perform heat-mediated antigen retrieval with citrate buffer pH 6 before commencing with IHC staining protocol.", "IP-species-checked": "notRecommended", "IP-species-dilution-info": "", "IP-species-notes": "<p></p>", "FlowCyt-species-checked": "notRecommended", "FlowCyt-species-dilution-info": "", "FlowCyt-species-notes": "<p></p>", "WB-species-checked": "guaranteed", "WB-species-dilution-info": "", "WB-species-notes": "<p></p>", "ICCIF-species-checked": "testedAndGuaranteed", "ICCIF-species-dilution-info": "", "ICCIF-species-notes": "<p></p>" }, "Mouse": { "IHCP-species-checked": "notRecommended", "IHCP-species-dilution-info": "", "IHCP-species-notes": "<p></p> Perform heat-mediated antigen retrieval with citrate buffer pH 6 before commencing with IHC staining protocol.", "IP-species-checked": "notRecommended", "IP-species-dilution-info": "", "IP-species-notes": "<p></p>", "FlowCyt-species-checked": "notRecommended", "FlowCyt-species-dilution-info": "", "FlowCyt-species-notes": "<p></p>", "WB-species-checked": "notRecommended", "WB-species-dilution-info": "", "WB-species-notes": "<p></p>", "ICCIF-species-checked": "notRecommended", "ICCIF-species-dilution-info": "", "ICCIF-species-notes": "<p></p>" }, "Rat": { "IHCP-species-checked": "notRecommended", "IHCP-species-dilution-info": "", "IHCP-species-notes": "", "IP-species-checked": "notRecommended", "IP-species-dilution-info": "", "IP-species-notes": "", "FlowCyt-species-checked": "notRecommended", "FlowCyt-species-dilution-info": "", "FlowCyt-species-notes": "", "WB-species-checked": "notRecommended", "WB-species-dilution-info": "", "WB-species-notes": "", "ICCIF-species-checked": "notRecommended", "ICCIF-species-dilution-info": "", "ICCIF-species-notes": "" } } }

Product details

ab240202 is the carrier-free version of ab177946.

Patented technology
Our RabMAb® technology is a patented hybridoma-based technology for making rabbit monoclonal antibodies. For details on our patents, please refer to RabMAb® patents.

What are the advantages of a recombinant monoclonal antibody?
This product is a recombinant monoclonal antibody, which offers several advantages including:

  • - High batch-to-batch consistency and reproducibility
  • - Improved sensitivity and specificity
  • - Long-term security of supply
  • - Animal-free batch production

For more information, read more on recombinant antibodies.

Conjugation ready
Our carrier-free antibodies are typically supplied in a PBS-only formulation, purified and free of BSA, sodium azide and glycerol. This conjugation-ready format is designed for use with fluorochromes, metal isotopes, oligonucleotides, and enzymes, which makes them ideal for antibody labelling, functional and cell-based assays, flow-based assays (e.g. mass cytometry) and Multiplex Imaging applications.

Use our conjugation kits for antibody conjugates that are ready-to-use in as little as 20 minutes with 1 minute hands-on-time and 100% antibody recovery: available for fluorescent dyes, HRP, biotin and gold.

Compatibility
This product is compatible with the Maxpar® Antibody Labeling Kit from Fluidigm, without the need for antibody preparation. Maxpar® is a trademark of Fluidigm Canada Inc.

Properties and storage information

Form
Liquid
Purification technique
Affinity purification Protein A
Storage buffer
pH: 7.2 - 7.4 Constituents: PBS
Shipped at conditions
Blue Ice
Appropriate short-term storage conditions
+4°C
Appropriate long-term storage conditions
+4°C
Storage information
Do Not Freeze

Supplementary information

This supplementary information is collated from multiple sources and compiled automatically.

The 'LIG1' protein also known as DNA ligase I plays an important role in DNA replication and repair. Mechanically LIG1 is responsible for catalyzing the formation of phosphodiester bonds between adjacent DNA strands an essential step for sealing Okazaki fragments during lagging strand synthesis. This protein features a molecular weight of approximately 102 kDa. LIG1 is predominantly expressed in the nucleus of proliferating cells with presence noted in various tissues including those undergoing rapid cell division.
Biological function summary

DNA ligase I which is sometimes part of larger DNA replication complexes ensures the faithful duplication and repair of the genome. This protein assists with repairing single and double-strand breaks thereby maintaining genomic stability. In the context of DNA replication LIG1 is necessary for completing the joining of discontinuous segments preventing loss of genetic information. Mutations or deficiencies can compromise this repairing process potentially leading to genome instability.

Pathways

LIG1 participates in the DNA replication pathway and the base excision repair pathway. Within these pathways LIG1 interacts with other proteins such as proliferating cell nuclear antigen (PCNA) to facilitate its recruitment to DNA and enhance its ligation efficiency. Additionally LIG1 associates with replication factor C (RFC) which acts as a clamp loader and flap endonuclease 1 (FEN1) during DNA replication and repair ensuring proper genome maintenance.

Defective LIG1 function relates to genomic instability which can contribute to conditions such as immunodeficiency and increased cancer susceptibility. For example mutations in the LIG1 gene have been associated with Ligase I deficiency which presents with hypersensitivity to DNA-damaging agents and immunodeficiency. LIG1's activity is also connected to Bloom syndrome where defective DNA repair leads to chromosomal instability involving interactions with proteins such as the Bloom syndrome protein (BLM).

Product protocols

For this product, it's our understanding that no specific protocols are required. You can visit:

Target data

DNA ligase that seals nicks in double-stranded during DNA repair (PubMed : 30395541). Also involved in DNA replication and DNA recombination.
See full target information LIG1

Publications (1)

Recent publications for all applications. Explore the full list and refine your search

Signal transduction and targeted therapy 6:375 PubMed34728602

2021

The existence of a nonclassical TCA cycle in the nucleus that wires the metabolic-epigenetic circuitry.

Applications

Unspecified application

Species

Unspecified reactive species

Xujun Liu,Wenzhe Si,Lin He,Jianguo Yang,Yani Peng,Jie Ren,Xiaoping Liu,Tong Jin,Huajing Yu,Zihan Zhang,Xiao Cheng,Wenting Zhang,Lu Xia,Yunchao Huang,Yue Wang,Shumeng Liu,Lin Shan,Yu Zhang,Xiaohan Yang,Haixia Li,Jing Liang,Luyang Sun,Yongfeng Shang
View all publications

Product promise

We are committed to supporting your work with high-quality reagents, and we're here for you every step of the way. In the unlikely event that one of our products does not perform as expected, you're protected by our Product Promise.
For full details, please see our Terms & Conditions

Please note: All products are 'FOR RESEARCH USE ONLY. NOT FOR USE IN DIAGNOSTIC OR THERAPEUTIC PROCEDURES'.

For licensing inquiries, please contact partnerships@abcam.com