JavaScript is disabled in your browser. Please enable JavaScript to view this website.
AB111562

Anti-LILRA3 antibody

Be the first to review this product! Submit a review

|

(1 Publication)

Rabbit Polyclonal LILRA3 antibody. Suitable for WB, IHC-P and reacts with Human samples. Cited in 1 publication. Immunogen corresponding to Recombinant Fragment Protein within Human LILRA3 aa 100-350.

View Alternative Names

CD85e, ILT6, LIR4, LILRA3, Leukocyte immunoglobulin-like receptor subfamily A member 3, CD85 antigen-like family member E, Immunoglobulin-like transcript 6, Leukocyte immunoglobulin-like receptor 4, Monocyte inhibitory receptor HM43/HM31, ILT-6, LIR-4

2 Images
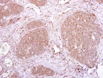
Immunohistochemistry (Formalin/PFA-fixed paraffin-embedded sections) - Anti-LILRA3 antibody (AB111562)
  • IHC-P

Unknown

Immunohistochemistry (Formalin/PFA-fixed paraffin-embedded sections) - Anti-LILRA3 antibody (AB111562)

Immunohistochemistry (Formalin/PFA-fixed paraffin-embedded sections) analysis of human colon carcinoma tissue labelling LILRA3 with ab111562 at 1/250 dilution. Antigen retrieval was performed using Trilogy™ (EDTA based, pH 8.0) buffer, for 15min.

Detects LILRA protein at cytoplasm.

Western blot - Anti-LILRA3 antibody (AB111562)
  • WB

Unknown

Western blot - Anti-LILRA3 antibody (AB111562)

All lanes:

Western blot - Anti-LILRA3 antibody (ab111562) at 1/2000 dilution

Lane 1:

Non-transfected (–) 293T whole cell extracts at 30 µg

Lane 2:

Transfected (+) 293T whole cell extracts at 30 µg

Secondary

All lanes:

HRP-conjugated anti-rabbit IgG antibody

Predicted band size: 47 kDa

false

Key facts

Host species

Rabbit

Clonality

Polyclonal

Isotype

IgG

Carrier free

No

Reacts with

Human

Applications

IHC-P, WB

applications

Immunogen

Recombinant Fragment Protein within Human LILRA3 aa 100-350. The exact immunogen used to generate this antibody is proprietary information.

Q8N6C8

Reactivity data

{ "title": "Reactivity Data", "filters": { "stats": ["", "Species", "Dilution Info", "Notes"], "tabs": { "all-applications": {"fullname" : "All Applications", "shortname": "All Applications"}, "WB" : {"fullname" : "Western blot", "shortname":"WB"}, "IHCP" : {"fullname" : "Immunohistochemistry (Formalin/PFA-fixed paraffin-embedded sections)", "shortname":"IHC-P"} }, "product-promise": { "all": "all", "testedAndGuaranteed": "tested", "guaranteed": "expected", "predicted": "predicted", "notRecommended": "not-recommended" } }, "values": { "Human": { "WB-species-checked": "testedAndGuaranteed", "WB-species-dilution-info": "1/500 - 1/3000", "WB-species-notes": "<p></p>", "IHCP-species-checked": "testedAndGuaranteed", "IHCP-species-dilution-info": "1/250", "IHCP-species-notes": "<p></p>" } } }

Properties and storage information

Form
Liquid
Purification technique
Affinity purification Immunogen
Storage buffer
pH: 7 Preservative: 0.01% Thimerosal (merthiolate) Constituents: PBS, 20% Glycerol (glycerin, glycerine), 1% BSA
Shipped at conditions
Blue Ice
Appropriate short-term storage conditions
+4°C
Appropriate long-term storage conditions
-20°C
Aliquoting information
Upon delivery aliquot
Storage information
Avoid freeze / thaw cycle

Supplementary information

This supplementary information is collated from multiple sources and compiled automatically.

LILRA3 also known as Leukocyte Immunoglobulin-Like Receptor Subfamily A Member 3 is a soluble receptor lacking a transmembrane domain. This protein has a mass of approximately 45 kDa. It is mainly expressed in immune cells such as monocytes macrophages and some lymphocytes. Researchers detect LILRA3 in serum and other body fluids which suggests its potential role outside of cellular membranes.
Biological function summary

LILRA3 modulates immune responses by binding to unknown ligands. It does not associate with any known receptor complex because it does not possess a transmembrane or cytoplasmic domain. LILRA3 may act as a natural antagonist to other LILR receptors by interfering with their ligand interactions. This antagonism helps regulate the functions of the innate and adaptive immune responses by competing with membrane-bound LILR forms for binding with common ligands.

Pathways

LILRA3 influences the pathways involved in immune regulation including the modulation of cytokine production. It has been linked to pathways associated with the inhibition of inflammation intersecting with receptors like LILRA2 and LILRB1 which are also part of the LILR family. These interactions are essential in balancing immune responses possibly by inhibiting excessive activation that could lead to inflammation or autoimmunity.

Researchers have studied LILRA3 in the context of autoimmune conditions and inflammatory disorders. Decreased levels of LILRA3 expression or activity have associations with diseases such as rheumatoid arthritis and multiple sclerosis. The interaction between LILRA3 and other family members like LILRB2 may influence disease processes by affecting immune regulation and the balance of activating and inhibitory signals within the immune system.

Product protocols

For this product, it's our understanding that no specific protocols are required. You can visit:

Target data

Acts as a soluble receptor for class I MHC antigens. Binds both classical and non-classical HLA class I molecules but with reduced affinities compared to LILRB1 or LILRB2. Binds with high affinity to the surface of monocytes, leading to abolish LPS-induced TNF-alpha production by monocytes.
See full target information LILRA3

Publications (1)

Recent publications for all applications. Explore the full list and refine your search

Experimental and therapeutic medicine 21:346 PubMed33732319

2021

Upregulated expression of leukocyte immunoglobulin-like receptor A3 in patients with severe aplastic anemia.

Applications

Unspecified application

Species

Unspecified reactive species

Hong Yu,Hui Liu,Yang Zhao,Huaquan Wang,Chunyan Liu,Weiwei Qi,Zhaoyun Liu,Yingying Sun,Shan Gao,Jinglian Tao,Rong Fu,Zonghong Shao
View all publications

Product promise

We are committed to supporting your work with high-quality reagents, and we're here for you every step of the way. In the unlikely event that one of our products does not perform as expected, you're protected by our Product Promise.
For full details, please see our Terms & Conditions

Please note: All products are 'FOR RESEARCH USE ONLY. NOT FOR USE IN DIAGNOSTIC OR THERAPEUTIC PROCEDURES'.

For licensing inquiries, please contact partnerships@abcam.com