JavaScript is disabled in your browser. Please enable JavaScript to view this website.
AB237625

Anti-LILRB1 antibody

Be the first to review this product! Submit a review

|

(1 Publication)

Rabbit Polyclonal LILRB1 antibody. Suitable for WB, IHC-P, ICC/IF and reacts with Rat, Human samples. Cited in 1 publication. Immunogen corresponding to Recombinant Fragment Protein within Human LILRB1 aa 450 to C-terminus.

View Alternative Names

CD85j, ILT2, LIR1, MIR7, LILRB1, Leukocyte immunoglobulin-like receptor subfamily B member 1, LIR-1, Leukocyte immunoglobulin-like receptor 1, CD85 antigen-like family member J, Immunoglobulin-like transcript 2, Monocyte/macrophage immunoglobulin-like receptor 7, ILT-2, MIR-7

3 Images
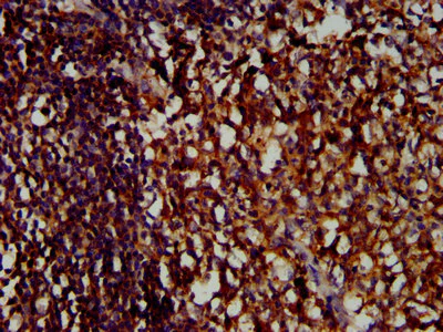
Immunohistochemistry (Formalin/PFA-fixed paraffin-embedded sections) - Anti-LILRB1 antibody (AB237625)
  • IHC-P

Supplier Data

Immunohistochemistry (Formalin/PFA-fixed paraffin-embedded sections) - Anti-LILRB1 antibody (AB237625)

Paraffin-embedded human tonsil tissue stained for LILRB1 with ab237625 at a 1/400 dilution in immunohistochemical analysis.

After dewaxing and hydration, antigen retrieval was mediated by high pressure in a citrate buffer (pH 6.0). Section was blocked with 10% normal goat serum 30 minutes at RT. Then primary antibody (1% BSA) was incubated at 4°C overnight. The primary is detected by a biotinylated secondary antibody and visualized using an HRP conjugated SP system.

Immunocytochemistry/ Immunofluorescence - Anti-LILRB1 antibody (AB237625)
  • ICC/IF

Supplier Data

Immunocytochemistry/ Immunofluorescence - Anti-LILRB1 antibody (AB237625)

HEK-293 (human epithelial cell line from embryonic kidney) cells stained for LILRB1 using ab237625 at a dilution of 1/133 in ICC/IF.

The cells were fixed in 4% formaldehyde, permeabilized using 0.2% Triton X-100 and blocked in 10% normal goat serum. The cells were then incubated with the primary antibody overnight at 4°C. Secondary used is an Alexa-Fluor®488-conjugated Goat Anti-Rabbit IgG (H+L). Counterstained with DAPI.

Western blot - Anti-LILRB1 antibody (AB237625)
  • WB

Supplier Data

Western blot - Anti-LILRB1 antibody (AB237625)

All lanes:

Western blot - Anti-LILRB1 antibody (ab237625) at 1/500 dilution

Lane 1:

THP-1 (human monocytic leukemia cell line) whole cell lysate

Lane 2:

Rat brain tissue lysate

Secondary

All lanes:

Goat polyclonal to rabbit IgG at 1/50000 dilution

Predicted band size: 71 kDa

false

Key facts

Host species

Rabbit

Clonality

Polyclonal

Isotype

IgG

Carrier free

No

Reacts with

Rat, Human

Applications

IHC-P, WB, ICC/IF

applications

Immunogen

Recombinant Fragment Protein within Human LILRB1 aa 450 to C-terminus. The exact immunogen used to generate this antibody is proprietary information.

Q8NHL6

Reactivity data

{ "title": "Reactivity Data", "filters": { "stats": ["", "Species", "Dilution Info", "Notes"], "tabs": { "all-applications": {"fullname" : "All Applications", "shortname": "All Applications"}, "WB" : {"fullname" : "Western blot", "shortname":"WB"}, "IHCP" : {"fullname" : "Immunohistochemistry (Formalin/PFA-fixed paraffin-embedded sections)", "shortname":"IHC-P"}, "ICCIF" : {"fullname" : "Immunocytochemistry/ Immunofluorescence", "shortname":"ICC/IF"} }, "product-promise": { "all": "all", "testedAndGuaranteed": "tested", "guaranteed": "expected", "predicted": "predicted", "notRecommended": "not-recommended" } }, "values": { "Human": { "WB-species-checked": "testedAndGuaranteed", "WB-species-dilution-info": "1/500 - 1/5000", "WB-species-notes": "<p></p>", "IHCP-species-checked": "testedAndGuaranteed", "IHCP-species-dilution-info": "1/200 - 1/500", "IHCP-species-notes": "<p></p>", "ICCIF-species-checked": "testedAndGuaranteed", "ICCIF-species-dilution-info": "1/50 - 1/200", "ICCIF-species-notes": "<p></p>" }, "Rat": { "WB-species-checked": "testedAndGuaranteed", "WB-species-dilution-info": "1/500 - 1/5000", "WB-species-notes": "<p></p>", "IHCP-species-checked": "guaranteed", "IHCP-species-dilution-info": "", "IHCP-species-notes": "", "ICCIF-species-checked": "guaranteed", "ICCIF-species-dilution-info": "", "ICCIF-species-notes": "" } } }

Properties and storage information

Form
Liquid
Purification technique
Affinity purification Protein G
Purification notes
Purity greater than 95%.
Storage buffer
pH: 7.4 Preservative: 0.03% Proclin 300 Constituents: PBS, 50% Glycerol (glycerin, glycerine)
Shipped at conditions
Blue Ice
Appropriate short-term storage duration
1-2 weeks
Appropriate short-term storage conditions
+4°C
Appropriate long-term storage conditions
-20°C
Aliquoting information
Upon delivery aliquot
Storage information
Avoid freeze / thaw cycle

Supplementary information

This supplementary information is collated from multiple sources and compiled automatically.

LILRB1 also known as leukocyte immunoglobulin-like receptor subfamily B member 1 or CD85j is a protein expressed mainly on myeloid cells including monocytes and dendritic cells as well as some subsets of lymphocytes. This transmembrane protein is approximately 110-120 kDa in mass and is recognized for its role in immune regulation. LILRB1 interacts with MHC class I molecules on target cells mediating inhibitory signals that prevent immune overactivation. These interactions allow LILRB1 to help maintain self-tolerance and regulate adaptive immune responses.
Biological function summary

LILRB1 functions as an inhibitory receptor that dampens immune system activation by recruiting SHP-1 and SHP-2 phosphatases. As part of a complex with other immune checkpoint molecules LILRB1 modulates the balance between activating and inhibitory signals in immune cells. Its inhibitory signaling prevents excessive inflammation by reducing cytokine production and limiting T cell proliferation.

Pathways

This protein plays a role in immune signaling pathways specifically through interactions with proteins involved in the regulation of immune responses such as KIRs (Killer-cell Immunoglobulin-like Receptors). It participates in pathways that control the inhibitory signals controlling immune activity like the NK cell cytotoxicity pathway and the Fc gamma R-mediated phagocytosis pathway. Through these mechanisms LILRB1 maintains immune equilibrium and preserves tissue integrity during immune responses.

The dysregulation of LILRB1 activity links to autoimmune conditions and infectious disease outcomes. Aberrant expression or function can impact diseases such as rheumatoid arthritis and HIV influencing the progression and severity of these conditions. In rheumatoid arthritis altered LILRB1 signaling may exacerbate inflammation while in the context of HIV it could affect immune cell exhaustion. Furthermore LILRB1 interactions with proteins like ILT2 highlight its potential involvement in modulating immune responses during these diseases.

Product protocols

For this product, it's our understanding that no specific protocols are required. You can visit:

Target data

Receptor for class I MHC antigens. Recognizes a broad spectrum of HLA-A, HLA-B, HLA-C, HLA-G and HLA-F alleles (PubMed : 16455647, PubMed : 28636952). Receptor for H301/UL18, a human cytomegalovirus class I MHC homolog. Ligand binding results in inhibitory signals and down-regulation of the immune response. Engagement of LILRB1 present on natural killer cells or T-cells by class I MHC molecules protects the target cells from lysis. Interaction with HLA-B or HLA-E leads to inhibition of FCER1A signaling and serotonin release. Inhibits FCGR1A-mediated phosphorylation of cellular proteins and mobilization of intracellular calcium ions (PubMed : 11907092, PubMed : 9285411, PubMed : 9842885). Recognizes HLA-G in complex with B2M/beta-2 microglobulin and a nonamer self-peptide (PubMed : 16455647). Upon interaction with peptide-bound HLA-G-B2M complex, triggers secretion of growth-promoting factors by decidual NK cells (PubMed : 19304799, PubMed : 29262349). Reprograms B cells toward an immune suppressive phenotype (PubMed : 24453251).
See full target information LILRB1

Publications (1)

Recent publications for all applications. Explore the full list and refine your search

Nature neuroscience 24:19-23 PubMed33318667

2020

Microglial G-dependent dynamics regulate brain network hyperexcitability.

Applications

Unspecified application

Species

Unspecified reactive species

Mario Merlini,Victoria A Rafalski,Keran Ma,Keun-Young Kim,Eric A Bushong,Pamela E Rios Coronado,Zhaoqi Yan,Andrew S Mendiola,Elif G Sozmen,Jae Kyu Ryu,Matthias G Haberl,Matthew Madany,Daniel Naranjo Sampson,Mark A Petersen,Sophia Bardehle,Reshmi Tognatta,Terry Dean,Rosa Meza Acevedo,Belinda Cabriga,Reuben Thomas,Shaun R Coughlin,Mark H Ellisman,Jorge J Palop,Katerina Akassoglou
View all publications

Product promise

We are committed to supporting your work with high-quality reagents, and we're here for you every step of the way. In the unlikely event that one of our products does not perform as expected, you're protected by our Product Promise.
For full details, please see our Terms & Conditions

Please note: All products are 'FOR RESEARCH USE ONLY. NOT FOR USE IN DIAGNOSTIC OR THERAPEUTIC PROCEDURES'.

For licensing inquiries, please contact partnerships@abcam.com