JavaScript is disabled in your browser. Please enable JavaScript to view this website.
AB271287

Anti-LILRB3 antibody [FRAS92B]

5

(2 Reviews)

|

(2 Publications)

Rat Recombinant Monoclonal LIRB3 antibody. Suitable for ICC/IF, Flow Cyt (Intra), IHC-P and reacts with Human samples. Cited in 2 publications.

View Alternative Names

CD85a, ILT5, LIR3, LILRB3, Leukocyte immunoglobulin-like receptor subfamily B member 3, LIR-3, Leukocyte immunoglobulin-like receptor 3, CD85 antigen-like family member A, Immunoglobulin-like transcript 5, Monocyte inhibitory receptor HL9, ILT-5

4 Images
Immunohistochemistry (Formalin/PFA-fixed paraffin-embedded sections) - Anti-LILRB3 antibody [FRAS92B] (AB271287)
  • IHC-P

Unknown

Immunohistochemistry (Formalin/PFA-fixed paraffin-embedded sections) - Anti-LILRB3 antibody [FRAS92B] (AB271287)

Immunohistochemical analysis of paraffin-embedded human tonsil tissue labeling LILRB3 with ab271287 at 1.762μg/ml followed by ready to use Goat Anti-Rat IgG H&L (HRP polymer) (ab214882). Positive staining on human tonsil. The section was incubated with ab271287 for 30 mins at room temperature. The immunostaining was performed on a Leica Biosystems BOND® RX instrument. Counterstained with Hematoxylin.

Secondary antibody only control : Secondary antibody is ready to use Goat Anti-Rat IgG H&L (HRP polymer) (ab214882).

Heat mediated antigen retrieval with Tris-EDTA buffer (pH 9.0, epitope retrieval solution2) for 20 mins.

Flow Cytometry (Intracellular) - Anti-LILRB3 antibody [FRAS92B] (AB271287)
  • Flow Cyt (Intra)

Unknown

Flow Cytometry (Intracellular) - Anti-LILRB3 antibody [FRAS92B] (AB271287)

Intracellular flow cytometric analysis of 4% paraformaldehyde fixed 90% methanol permeabilized 293T (Human embryonic kidney epithelial cell) transfected with myc tagged LILRB3 construct cells labelling LILRB3 with ab271287 at0.881μg/ml (Right panel) compared with a rat monoclonal IgG isotype control (Left panel). Goat F (ab)2 Anti-Rat IgG Fc (Alexa Fluor® 488, ab150161) at 1/2000 dilution was used as the secondary antibody.

Immunocytochemistry/ Immunofluorescence - Anti-LILRB3 antibody [FRAS92B] (AB271287)
  • ICC/IF

Unknown

Immunocytochemistry/ Immunofluorescence - Anti-LILRB3 antibody [FRAS92B] (AB271287)

Immunofluorescent analysis of 4% Paraformaldehyde-fixed, 0.1% Triton X-100 permeabilized 293T cells labelling LILRB3 with ab271287 at 3.524μg/ml , followed by ab150157 Goat Anti-Rat IgG H&L (Alexa Fluor® 488) antibody at 1/1000 dilution (Green).
Confocal image showing membranous and cytoplasmic staining on 293T cells transfected with LILRB3-myc plasmid.
Myc-Tag Mouse mAb (Alexa Fluor® 647) was used to counterstain Myc at 1/200 dilution (Red). The nuclear counterstain was DAPI (Blue).
Secondary antibody only control : ab150157 Goat Anti-Rat IgG H&L (Alexa Fluor® 488) at 1/1000 dilution.

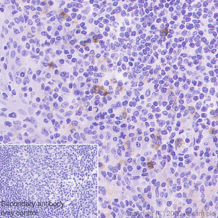
Immunohistochemistry (Formalin/PFA-fixed paraffin-embedded sections) - Anti-LILRB3 antibody [FRAS92B] (AB271287)
  • IHC-P

Unknown

Immunohistochemistry (Formalin/PFA-fixed paraffin-embedded sections) - Anti-LILRB3 antibody [FRAS92B] (AB271287)

Immunohistochemical analysis of paraffin-embedded human non-hodgkin's lymphoma tissue labeling LILRB3 with ab271287 at 1.762μg/ml followed by ready to use Goat Anti-Rat IgG H&L (HRP polymer) (ab214882). Positive staining on human non-hodgkin's lymphoma. The section was incubated with ab271287 for 30 mins at room temperature. The immunostaining was performed on a Leica Biosystems BOND® RX instrument. Counterstained with Hematoxylin.

Secondary antibody only control : Secondary antibody is ready to use Goat Anti-Rat IgG H&L (HRP polymer) (ab214882).

Heat mediated antigen retrieval with Tris-EDTA buffer (pH 9.0, epitope retrieval solution2) for 20 mins.

  • Carrier free

    Anti-LILRB3 antibody [FRAS92B] - BSA and Azide free

Key facts

Host species

Rat

Clonality

Monoclonal

Clone number

FRAS92B

Isotype

IgG1

Carrier free

No

Reacts with

Human

Applications

ICC/IF, IHC-P, Flow Cyt (Intra)

applications

Immunogen

The exact immunogen used to generate this antibody is proprietary information.

Reactivity data

{ "title": "Reactivity Data", "filters": { "stats": ["", "Species", "Dilution Info", "Notes"], "tabs": { "all-applications": {"fullname" : "All Applications", "shortname": "All Applications"}, "ICCIF" : {"fullname" : "Immunocytochemistry/ Immunofluorescence", "shortname":"ICC/IF"}, "FlowCytIntra" : {"fullname" : "Flow Cytometry (Intracellular)", "shortname":"Flow Cyt (Intra)"}, "IHCP" : {"fullname" : "Immunohistochemistry (Formalin/PFA-fixed paraffin-embedded sections)", "shortname":"IHC-P"} }, "product-promise": { "all": "all", "testedAndGuaranteed": "tested", "guaranteed": "expected", "predicted": "predicted", "notRecommended": "not-recommended" } }, "values": { "Human": { "ICCIF-species-checked": "testedAndGuaranteed", "ICCIF-species-dilution-info": "3.524 µg/mL", "ICCIF-species-notes": "<p></p>", "FlowCytIntra-species-checked": "testedAndGuaranteed", "FlowCytIntra-species-dilution-info": "0.881 µg/mL", "FlowCytIntra-species-notes": "<p></p>", "IHCP-species-checked": "testedAndGuaranteed", "IHCP-species-dilution-info": "1.762 µg/mL", "IHCP-species-notes": "<p></p>" }, "Mouse": { "ICCIF-species-checked": "notRecommended", "ICCIF-species-dilution-info": "3.524 µg/mL", "ICCIF-species-notes": "<p></p>", "FlowCytIntra-species-checked": "notRecommended", "FlowCytIntra-species-dilution-info": "", "FlowCytIntra-species-notes": "", "IHCP-species-checked": "notRecommended", "IHCP-species-dilution-info": "1.762 µg/mL", "IHCP-species-notes": "<p></p>" }, "Rat": { "ICCIF-species-checked": "notRecommended", "ICCIF-species-dilution-info": "", "ICCIF-species-notes": "", "FlowCytIntra-species-checked": "notRecommended", "FlowCytIntra-species-dilution-info": "", "FlowCytIntra-species-notes": "", "IHCP-species-checked": "notRecommended", "IHCP-species-dilution-info": "1.762 µg/mL", "IHCP-species-notes": "<p></p>" } } }

Product details

What are the advantages of a recombinant monoclonal antibody?
This product is a recombinant monoclonal antibody, which offers several advantages including:

  • - High batch-to-batch consistency and reproducibility
  • - Improved sensitivity and specificity
  • - Long-term security of supply
  • - Animal-free batch production

For more information, read more on recombinant antibodies.

Want a custom formulation?
This antibody clone is manufactured by Abcam. If you require a custom buffer formulation or conjugation for your experiments, please contact orders@abcam.com

Properties and storage information

Form
Liquid
Purification technique
Affinity purification Protein A
Storage buffer
pH: 7.2 - 7.4 Preservative: 0.01% Sodium azide Constituents: PBS, 40% Glycerol (glycerin, glycerine), 0.05% BSA
Shipped at conditions
Blue Ice
Appropriate short-term storage duration
1-2 weeks
Appropriate short-term storage conditions
+4°C
Appropriate long-term storage conditions
-20°C
Aliquoting information
Upon delivery aliquot
Storage information
Avoid freeze / thaw cycle

Supplementary information

This supplementary information is collated from multiple sources and compiled automatically.

The 'LILRB3' protein also known as Leukocyte Immunoglobulin Like Receptor B3 is an inhibitory receptor that plays a role in immune response regulation. It weighs approximately 60 kDa and expresses mainly on myeloid cells such as monocytes macrophages and dendritic cells. The receptor interacts with MHC class I molecules and helps in maintaining immune system balance by transmitting inhibitory signals to the immune cells.
Biological function summary

The LILRB3 protein participates in downregulating immune cell activation and preventing overactivation that might lead to tissue damage. It belongs to the family of leukocyte immunoglobulin-like receptors. LILRB3 cooperates with other molecules on the cell surface to form a complex that modulates immune response via the transmission of inhibitory signals.

Pathways

The LILRB3 protein is involved in the immune checkpoint pathways that regulate immune cell activity and tolerance. It has important connections with the NF-κB pathway influencing the inflammatory response and maturation of dendritic cells. LILRB3's function relates to the PD-1 pathway which is another regulatory mechanism that ensures immune cells do not become overly active.

Malfunction or dysregulation of LILRB3 can lead to autoimmune diseases and affect inflammation levels. It is associated with diseases such as rheumatoid arthritis and systemic lupus erythematosus where immune regulation becomes compromised. The interaction of LILRB3 with proteins like human leukocyte antigen (HLA) systems implies a role in autoimmunity making it a target of interest for therapeutic strategies aiming to restore immune balance.

Product protocols

For this product, it's our understanding that no specific protocols are required. You can visit:

Target data

May act as receptor for class I MHC antigens. Becomes activated upon coligation of LILRB3 and immune receptors, such as FCGR2B and the B-cell receptor. Down-regulates antigen-induced B-cell activation by recruiting phosphatases to its immunoreceptor tyrosine-based inhibitor motifs (ITIM).
See full target information LILRB3

Publications (2)

Recent publications for all applications. Explore the full list and refine your search

Journal of nanobiotechnology 23:572 PubMed40830888

2025

hUMSC-Exosomes suppress TREM1-p38 MAPK signaling via HMGB1-dependent mechanisms to reprogram microglial function and promote neuroprotection in ischemic stroke.

Applications

Unspecified application

Species

Unspecified reactive species

Zengyu Zhang,Rong Ji,Zhuohang Liu,Zhiwen Jiang,Min Chu,Yong Wang,Jing Zhao

World journal of surgical oncology 20:92 PubMed35321724

2022

Analysis of the expression and prognosis for leukocyte immunoglobulin-like receptor subfamily B in human liver cancer.

Applications

Unspecified application

Species

Unspecified reactive species

Jing Fan,Lili Wang,Miao Chen,Jiakang Zhang,Jiayan Li,Fangnan Song,Aidong Gu,Dandan Yin,Yongxiang Yi
View all publications

Product promise

We are committed to supporting your work with high-quality reagents, and we're here for you every step of the way. In the unlikely event that one of our products does not perform as expected, you're protected by our Product Promise.
For full details, please see our Terms & Conditions

Please note: All products are 'FOR RESEARCH USE ONLY. NOT FOR USE IN DIAGNOSTIC OR THERAPEUTIC PROCEDURES'.

For licensing inquiries, please contact partnerships@abcam.com