JavaScript is disabled in your browser. Please enable JavaScript to view this website.
AB271297

Anti-LILRB3 antibody [FRAS92B] - BSA and Azide free

Be the first to review this product! Submit a review

|

(0 Publication)

Rat Recombinant Monoclonal LIRB3 antibody. Carrier free. Suitable for ICC/IF, Flow Cyt (Intra), IHC-P and reacts with Human samples.

View Alternative Names

CD85a, ILT5, LIR3, LILRB3, Leukocyte immunoglobulin-like receptor subfamily B member 3, LIR-3, Leukocyte immunoglobulin-like receptor 3, CD85 antigen-like family member A, Immunoglobulin-like transcript 5, Monocyte inhibitory receptor HL9, ILT-5

4 Images
Immunohistochemistry (Formalin/PFA-fixed paraffin-embedded sections) - Anti-LILRB3 antibody [FRAS92B] - BSA and Azide free (AB271297)
  • IHC-P

Unknown

Immunohistochemistry (Formalin/PFA-fixed paraffin-embedded sections) - Anti-LILRB3 antibody [FRAS92B] - BSA and Azide free (AB271297)

Immunohistochemical analysis of paraffin-embedded human tonsil tissue labeling LILRB3 with ab271287 at 1.762μg/ml followed by ready to use Goat Anti-Rat IgG H&L (HRP polymer) (ab214882). Positive staining on human tonsil. The section was incubated with ab271287 for 30 mins at room temperature. The immunostaining was performed on a Leica Biosystems BOND® RX instrument. Counterstained with Hematoxylin.

Secondary antibody only control : Secondary antibody is ready to use Goat Anti-Rat IgG H&L (HRP polymer) (ab214882).

Heat mediated antigen retrieval with Tris-EDTA buffer (pH 9.0, epitope retrieval solution2) for 20 mins.

This data was developed using the same antibody clone in a different buffer formulation containing PBS, BSA, glycerol, and sodium azide (ab271287).

Flow Cytometry (Intracellular) - Anti-LILRB3 antibody [FRAS92B] - BSA and Azide free (AB271297)
  • Flow Cyt (Intra)

Unknown

Flow Cytometry (Intracellular) - Anti-LILRB3 antibody [FRAS92B] - BSA and Azide free (AB271297)

Intracellular flow cytometric analysis of 4% paraformaldehyde fixed 90% methanol permeabilized 293T (Human embryonic kidney epithelial cell) transfected with myc tagged LILRB3 construct cells labelling LILRB3 with ab271287 at0.881μg/ml (Right panel) compared with a ratmonoclonal IgG isotype control (Left panel). Goat F (ab)2 Anti-Rat IgG Fc (Alexa Fluor® 488, ab150161) at 1/2000 dilution was used as the secondary antibody.

This data was developed using the same antibody clone in a different buffer formulation containing PBS, BSA, glycerol, and sodium azide (ab271287).

Immunocytochemistry/ Immunofluorescence - Anti-LILRB3 antibody [FRAS92B] - BSA and Azide free (AB271297)
  • ICC/IF

Unknown

Immunocytochemistry/ Immunofluorescence - Anti-LILRB3 antibody [FRAS92B] - BSA and Azide free (AB271297)

Immunofluorescent analysis of 4% Paraformaldehyde-fixed, 0.1% Triton X-100 permeabilized 293T cells labelling LILRB3 with ab271287 at 3.524μg/ml , followed by ab150157 Goat Anti-Rat IgG H&L (Alexa Fluor® 488) antibody at 1/1000 dilution (Green).
Confocal image showing membranous and cytoplasmic staining on 293T cells transfected with LILRB3-myc plasmid.
Myc-Tag Mouse mAb (Alexa Fluor® 647) was used to counterstain Myc at 1/200 dilution (Red). The nuclear counterstain was DAPI (Blue).
Secondary antibody only control : ab150157 Goat Anti-Rat IgG H&L (Alexa Fluor® 488) at 1/1000 dilution.

This data was developed using the same antibody clone in a different buffer formulation containing PBS, BSA, glycerol, and sodium azide (ab271287).

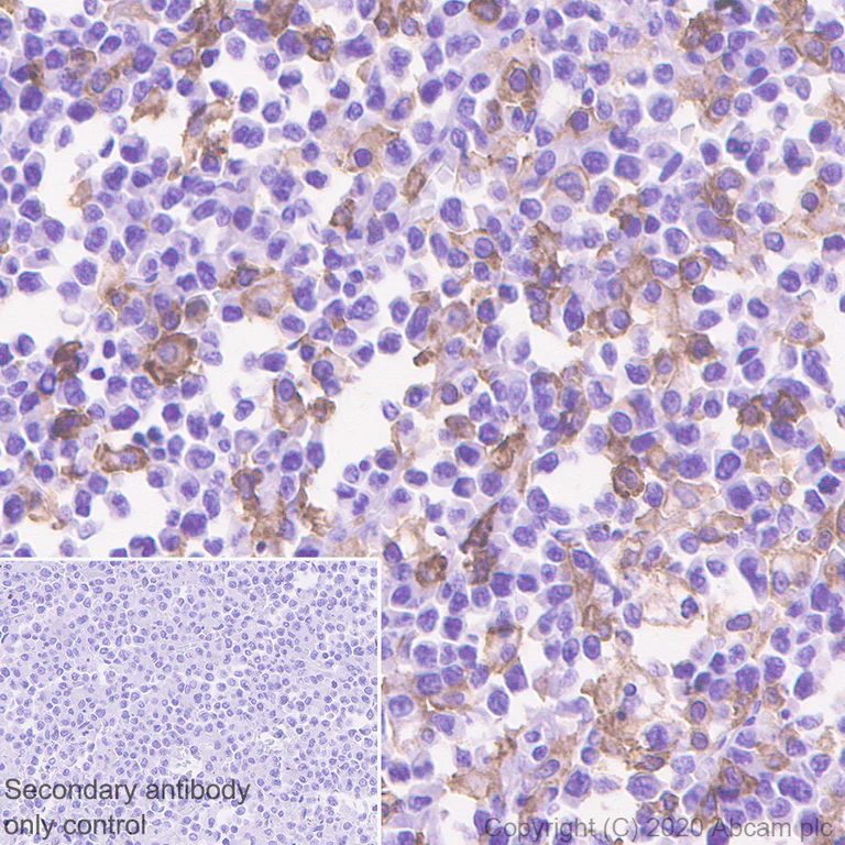
Immunohistochemistry (Formalin/PFA-fixed paraffin-embedded sections) - Anti-LILRB3 antibody [FRAS92B] - BSA and Azide free (AB271297)
  • IHC-P

Unknown

Immunohistochemistry (Formalin/PFA-fixed paraffin-embedded sections) - Anti-LILRB3 antibody [FRAS92B] - BSA and Azide free (AB271297)

Immunohistochemical analysis of paraffin-embedded human non-hodgkin's lymphoma tissue labeling LILRB3 with ab271287 at 1.762μg/ml followed by ready to use Goat Anti-Rat IgG H&L (HRP polymer) (ab214882). Positive staining on human non-hodgkin's lymphoma. The section was incubated with ab271287 for 30 mins at room temperature. The immunostaining was performed on a Leica Biosystems BOND® RX instrument. Counterstained with Hematoxylin.

Secondary antibody only control : Secondary antibody is ready to use Goat Anti-Rat IgG H&L (HRP polymer) (ab214882).

Heat mediated antigen retrieval with Tris-EDTA buffer (pH 9.0, epitope retrieval solution2) for 20 mins.

This data was developed using the same antibody clone in a different buffer formulation containing PBS, BSA, glycerol, and sodium azide (ab271287).

Key facts

Host species

Rat

Clonality

Monoclonal

Clone number

FRAS92B

Isotype

IgG1

Carrier free

Yes

Reacts with

Human

Applications

IHC-P, Flow Cyt (Intra), ICC/IF

applications

Immunogen

The exact immunogen used to generate this antibody is proprietary information.

Reactivity data

{ "title": "Reactivity Data", "filters": { "stats": ["", "Species", "Dilution Info", "Notes"], "tabs": { "all-applications": {"fullname" : "All Applications", "shortname": "All Applications"}, "ICCIF" : {"fullname" : "Immunocytochemistry/ Immunofluorescence", "shortname":"ICC/IF"}, "FlowCytIntra" : {"fullname" : "Flow Cytometry (Intracellular)", "shortname":"Flow Cyt (Intra)"}, "IHCP" : {"fullname" : "Immunohistochemistry (Formalin/PFA-fixed paraffin-embedded sections)", "shortname":"IHC-P"} }, "product-promise": { "all": "all", "testedAndGuaranteed": "tested", "guaranteed": "expected", "predicted": "predicted", "notRecommended": "not-recommended" } }, "values": { "Human": { "ICCIF-species-checked": "testedAndGuaranteed", "ICCIF-species-dilution-info": "", "ICCIF-species-notes": "<p></p>", "FlowCytIntra-species-checked": "testedAndGuaranteed", "FlowCytIntra-species-dilution-info": "", "FlowCytIntra-species-notes": "<p></p>", "IHCP-species-checked": "testedAndGuaranteed", "IHCP-species-dilution-info": "", "IHCP-species-notes": "<p></p>" }, "Mouse": { "ICCIF-species-checked": "notRecommended", "ICCIF-species-dilution-info": "", "ICCIF-species-notes": "<p></p>", "FlowCytIntra-species-checked": "notRecommended", "FlowCytIntra-species-dilution-info": "", "FlowCytIntra-species-notes": "", "IHCP-species-checked": "notRecommended", "IHCP-species-dilution-info": "", "IHCP-species-notes": "<p></p>" }, "Rat": { "ICCIF-species-checked": "notRecommended", "ICCIF-species-dilution-info": "", "ICCIF-species-notes": "", "FlowCytIntra-species-checked": "notRecommended", "FlowCytIntra-species-dilution-info": "", "FlowCytIntra-species-notes": "", "IHCP-species-checked": "notRecommended", "IHCP-species-dilution-info": "", "IHCP-species-notes": "<p></p>" } } }

Product details

ab271297 is the carrier-free version of ab271287.

What are the advantages of a recombinant monoclonal antibody?
This product is a recombinant monoclonal antibody, which offers several advantages including:

  • - High batch-to-batch consistency and reproducibility
  • - Improved sensitivity and specificity
  • - Long-term security of supply
  • - Animal-free batch production

For more information, read more on recombinant antibodies.

Want a custom formulation?
This antibody clone is manufactured by Abcam. If you require a custom buffer formulation or conjugation for your experiments, please contact orders@abcam.com

Conjugation ready
Our carrier-free antibodies are typically supplied in a PBS-only formulation, purified and free of BSA, sodium azide and glycerol. This conjugation-ready format is designed for use with fluorochromes, metal isotopes, oligonucleotides, and enzymes, which makes them ideal for antibody labelling, functional and cell-based assays, flow-based assays (e.g. mass cytometry) and Multiplex Imaging applications.

Use our conjugation kits for antibody conjugates that are ready-to-use in as little as 20 minutes with 1 minute hands-on-time and 100% antibody recovery: available for fluorescent dyes, HRP, biotin and gold.

Compatibility
This product is compatible with the Maxpar® Antibody Labeling Kit from Fluidigm, without the need for antibody preparation. Maxpar® is a trademark of Fluidigm Canada Inc.

Properties and storage information

Form
Liquid
Purification technique
Affinity purification Protein A
Storage buffer
pH: 7.2 - 7.4 Constituents: PBS
Shipped at conditions
Blue Ice
Appropriate short-term storage conditions
+4°C
Appropriate long-term storage conditions
+4°C
Storage information
Do Not Freeze

Supplementary information

This supplementary information is collated from multiple sources and compiled automatically.

The 'LILRB3' protein also known as Leukocyte Immunoglobulin Like Receptor B3 is an inhibitory receptor that plays a role in immune response regulation. It weighs approximately 60 kDa and expresses mainly on myeloid cells such as monocytes macrophages and dendritic cells. The receptor interacts with MHC class I molecules and helps in maintaining immune system balance by transmitting inhibitory signals to the immune cells.
Biological function summary

The LILRB3 protein participates in downregulating immune cell activation and preventing overactivation that might lead to tissue damage. It belongs to the family of leukocyte immunoglobulin-like receptors. LILRB3 cooperates with other molecules on the cell surface to form a complex that modulates immune response via the transmission of inhibitory signals.

Pathways

The LILRB3 protein is involved in the immune checkpoint pathways that regulate immune cell activity and tolerance. It has important connections with the NF-κB pathway influencing the inflammatory response and maturation of dendritic cells. LILRB3's function relates to the PD-1 pathway which is another regulatory mechanism that ensures immune cells do not become overly active.

Malfunction or dysregulation of LILRB3 can lead to autoimmune diseases and affect inflammation levels. It is associated with diseases such as rheumatoid arthritis and systemic lupus erythematosus where immune regulation becomes compromised. The interaction of LILRB3 with proteins like human leukocyte antigen (HLA) systems implies a role in autoimmunity making it a target of interest for therapeutic strategies aiming to restore immune balance.

Product protocols

For this product, it's our understanding that no specific protocols are required. You can visit:

Target data

May act as receptor for class I MHC antigens. Becomes activated upon coligation of LILRB3 and immune receptors, such as FCGR2B and the B-cell receptor. Down-regulates antigen-induced B-cell activation by recruiting phosphatases to its immunoreceptor tyrosine-based inhibitor motifs (ITIM).
See full target information LILRB3

Product promise

We are committed to supporting your work with high-quality reagents, and we're here for you every step of the way. In the unlikely event that one of our products does not perform as expected, you're protected by our Product Promise.
For full details, please see our Terms & Conditions

Please note: All products are 'FOR RESEARCH USE ONLY. NOT FOR USE IN DIAGNOSTIC OR THERAPEUTIC PROCEDURES'.

For licensing inquiries, please contact partnerships@abcam.com