JavaScript is disabled in your browser. Please enable JavaScript to view this website.
AB38508

Anti-LIM Kinase 1 (phospho T508) antibody

4

(2 Reviews)

|

(19 Publications)

Rabbit Polyclonal LIM Kinase 1 phospho T508 antibody. Suitable for WB, IHC-P and reacts with Human samples. Cited in 19 publications. Immunogen corresponding to Synthetic Peptide within Human LIMK1 phospho T508.

View Alternative Names

LIMK, LIMK1, LIM domain kinase 1, LIMK-1

3 Images
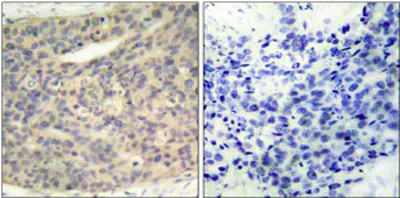
Immunohistochemistry (Formalin/PFA-fixed paraffin-embedded sections) - Anti-LIM Kinase 1 (phospho T508) antibody (AB38508)
  • IHC-P

Unknown

Immunohistochemistry (Formalin/PFA-fixed paraffin-embedded sections) - Anti-LIM Kinase 1 (phospho T508) antibody (AB38508)

ab38508 at a 1 : 50 dilution staining LIM Kinase in Human breast carcinoma tissue using Immunohistochemistry, Paraffin Embedded Tissue.

Left image : untreated.

Right image : treated with phosphopeptide.

Immunohistochemistry (Formalin/PFA-fixed paraffin-embedded sections) - Anti-LIM Kinase 1 (phospho T508) antibody (AB38508)
  • IHC-P

PubMed

Immunohistochemistry (Formalin/PFA-fixed paraffin-embedded sections) - Anti-LIM Kinase 1 (phospho T508) antibody (AB38508)

ab38508 staining LIM Kinase 1 in mouse brain tissue by Immunohistochemistry (Formalin/PFA-fixed paraffin-embedded sections).

bdKO mice were anesthetized and transcardially perfused with PBS, followed by 4% paraformaldehyde (PFA) prior to brain dissection. Brains were then postfixed in 4% PFA for 2 days, embedded in paraffin and sectioned.

Image from Mokalled MH et al, Development. 2010 Jul;137(14):2365-74. Epub 2010 Jun 9, Fig 6. DOI: 10.1242/dev.047605.

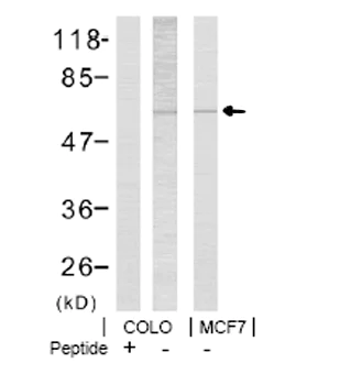
Western blot - Anti-LIM Kinase 1 (phospho T508) antibody (AB38508)
  • WB

Unknown

Western blot - Anti-LIM Kinase 1 (phospho T508) antibody (AB38508)

Lanes can be loaded with 5-30µg of total protein. The arrow next to the image points to LIM Kinase (phospho T508).

All lanes:

Western blot - Anti-LIM Kinase 1 (phospho T508) antibody (ab38508) at 1/500 dilution

Lane 1:

Extract of COLO cells + peptide. at 30 µg

Lane 2:

Extract of COLO cells. at 30 µg

Lane 3:

Extract of MCF7 cells. at 30 µg

Secondary

All lanes:

Alkaline Phosphatase AffiniPure Goat Anti-Rabbit IgG (H+L)

Predicted band size: 73 kDa

Observed band size: 65 kDa

false

Key facts

Host species

Rabbit

Clonality

Polyclonal

Isotype

IgG

Carrier free

No

Reacts with

Human

Applications

WB, IHC-P

applications

Immunogen

Synthetic Peptide within Human LIMK1 phospho T508. The exact immunogen used to generate this antibody is proprietary information.

P53667

Specificity

This antibody is specific for LIM Kinase only when phosphorylated at threonine 508. It recognizes both LIMK1 and LIMK2 from human, mouse, and rat.

Reactivity data

{ "title": "Reactivity Data", "filters": { "stats": ["", "Species", "Dilution Info", "Notes"], "tabs": { "all-applications": {"fullname" : "All Applications", "shortname": "All Applications"}, "WB" : {"fullname" : "Western blot", "shortname":"WB"}, "IHCP" : {"fullname" : "Immunohistochemistry (Formalin/PFA-fixed paraffin-embedded sections)", "shortname":"IHC-P"} }, "product-promise": { "all": "all", "testedAndGuaranteed": "tested", "guaranteed": "expected", "predicted": "predicted", "notRecommended": "not-recommended" } }, "values": { "Human": { "WB-species-checked": "testedAndGuaranteed", "WB-species-dilution-info": "1/500 - 1/1000", "WB-species-notes": "<p></p>", "IHCP-species-checked": "testedAndGuaranteed", "IHCP-species-dilution-info": "1/50 - 1/100", "IHCP-species-notes": "<p></p>" } } }

Properties and storage information

Form
Liquid
Purification technique
Affinity purification Immunogen
Purification notes
The antibody was affinity purified from rabbit antiserum by affinity chromatography using epitope specific phosphopeptide. The antibody against non phosphopeptide was removed by chromatography using non phosphopeptide corresponding to the phosphorylation site.
Storage buffer
pH: 7.4 Preservative: 0.02% Sodium azide Constituents: PBS, 50% Glycerol (glycerin, glycerine), 0.87% Sodium chloride
Shipped at conditions
Blue Ice
Appropriate short-term storage conditions
+4°C
Appropriate long-term storage conditions
-20°C
Aliquoting information
Upon delivery aliquot
Storage information
Avoid freeze / thaw cycle

Supplementary information

This supplementary information is collated from multiple sources and compiled automatically.

LIM Kinase 1 also known as LIMK1 is a serine/threonine protein kinase that plays a critical role in regulating actin cytoskeleton dynamics. Weighing approximately 72 kDa LIMK1 is expressed in various tissues with significant levels observed in the brain and spinal cord. Some studies highlight its elevated presence in neurons. The LIMK1 gene encodes the protein and its activity is often regulated through phosphorylation processes. Researchers often refer to related proteins like LIMK1/proteina in discussions about similar functions.
Biological function summary

This kinase modulates cell shape migration and differentiation by influencing actin filament networks. LIMK1 associates with regulatory complexes and interacts with several proteins to facilitate cytoskeletal reorganization. It plays an essential part in neural development and synaptic plasticity affecting learning and memory. By phosphorylating key actin-binding proteins like cofilin LIMK1 alters actin dynamics essential for various cellular functions.

Pathways

LIM Kinase 1 influences the RhoA/ROCK and Rac1/Pak pathways both critical for cytoskeletal rearrangements. Within these pathways LIMK1 interacts closely with proteins such as cofilin and is influenced by upstream activators like Rho GTPases. These pathways link it to a broader network of signaling that controls cell movement and stability important for cellular responses in various environmental contexts.

LIMK1 is linked to neurological conditions like Williams-Beuren syndrome and some forms of intellectual disability. Changes in LIMK1 expression or activity can disrupt normal brain function leading to cognitive deficits. Its connection to cofilin and other cytoskeleton-associated proteins plays a role in the pathological development of these conditions underlining its importance in maintaining normal neuronal architecture and connectivity.

Product protocols

For this product, it's our understanding that no specific protocols are required. You can visit:

Target data

Serine/threonine-protein kinase that plays an essential role in the regulation of actin filament dynamics. Acts downstream of several Rho family GTPase signal transduction pathways (PubMed : 10436159, PubMed : 11832213, PubMed : 12807904, PubMed : 15660133, PubMed : 16230460, PubMed : 18028908, PubMed : 22328514, PubMed : 23633677). Activated by upstream kinases including ROCK1, PAK1 and PAK4, which phosphorylate LIMK1 on a threonine residue located in its activation loop (PubMed : 10436159). LIMK1 subsequently phosphorylates and inactivates the actin binding/depolymerizing factors cofilin-1/CFL1, cofilin-2/CFL2 and destrin/DSTN, thereby preventing the cleavage of filamentous actin (F-actin), and stabilizing the actin cytoskeleton (PubMed : 11832213, PubMed : 15660133, PubMed : 16230460, PubMed : 23633677). In this way LIMK1 regulates several actin-dependent biological processes including cell motility, cell cycle progression, and differentiation (PubMed : 11832213, PubMed : 15660133, PubMed : 16230460, PubMed : 23633677). Phosphorylates TPPP on serine residues, thereby promoting microtubule disassembly (PubMed : 18028908). Stimulates axonal outgrowth and may be involved in brain development (PubMed : 18028908).. Isoform 3. Has a dominant negative effect on actin cytoskeletal changes. Required for atypical chemokine receptor ACKR2-induced phosphorylation of cofilin (CFL1).
See full target information LIMK1 phospho T508

Publications (19)

Recent publications for all applications. Explore the full list and refine your search

American journal of nephrology 55:345-360 PubMed38330925

2024

Klotho Stabilizes the Podocyte Actin Cytoskeleton in Idiopathic Membranous Nephropathy through Regulating the TRPC6/CatL Pathway.

Applications

Unspecified application

Species

Unspecified reactive species

Hongyun Wang,Hongyan Liu,Hong Cheng,Xue Xue,Yamei Ge,Xiaoqin Wang,Jun Yuan

Journal of Alzheimer's disease : JAD 95:1643-1656 PubMed37718806

2023

RhoA-LIMK Signaling Axis Reveals Rostral-Caudal Plane and Spatial Dysregulation in the Brain of Alzheimer's Disease Mouse Models.

Applications

Unspecified application

Species

Unspecified reactive species

Shayan Nik Akhtar,Qun Lu

EMBO reports 22:e52645 PubMed34342389

2021

Infantile spasms-linked Nedd4-2 mediates hippocampal plasticity and learning via cofilin signaling.

Applications

Unspecified application

Species

Unspecified reactive species

Kwan Young Lee,Jiuhe Zhu,Cathryn A Cutia,Catherine A Christian-Hinman,Justin S Rhodes,Nien-Pei Tsai

Neural regeneration research 16:2512-2520 PubMed33907042

2021

Environmental enrichment combined with fasudil promotes motor function recovery and axonal regeneration after stroke.

Applications

Unspecified application

Species

Unspecified reactive species

Yi-Tong Zhu,Qun Zhang,Hong-Yu Xie,Ke-Wei Yu,Gao-Jing Xu,Si-Yue Li,Yi Wu

Cell death and differentiation 28:2708-2727 PubMed33875796

2021

Mirtronic miR-4646-5p promotes gastric cancer metastasis by regulating ABHD16A and metabolite lysophosphatidylserines.

Applications

Unspecified application

Species

Unspecified reactive species

Liping Yang,Yixuan Hou,Yan-E Du,Qiao Li,Fanlin Zhou,Yu Li,Huan Zeng,Ting Jin,Xueying Wan,Shengdong Guan,Rui Wang,Manran Liu

Cellular and molecular neurobiology : PubMed33108594

2020

A Progressive Loss of phosphoSer138-Profilin Aligns with Symptomatic Course in the R6/2 Mouse Model of Huntington's Disease: Possible Sex-Dependent Signaling.

Applications

Unspecified application

Species

Unspecified reactive species

Akanksha Baharani,Zelan Wei,William J Roesler,Darrell D Mousseau

The Journal of cell biology 218:2659-2676 PubMed31270137

2019

Developmentally regulated GTP-binding protein 1 modulates ciliogenesis via an interaction with Dishevelled.

Applications

Unspecified application

Species

Unspecified reactive species

Moonsup Lee,Yoo-Seok Hwang,Jaeho Yoon,Jian Sun,Adam Harned,Kunio Nagashima,Ira O Daar

Frontiers in molecular neuroscience 12:64 PubMed30949027

2019

BDNF Induced Translation of Limk1 in Developing Neurons Regulates Dendrite Growth by Fine-Tuning Cofilin1 Activity.

Applications

Unspecified application

Species

Unspecified reactive species

Sreenath Ravindran,Vijayalaxmi C Nalavadi,Ravi S Muddashetty

International journal of oncology 53:2695-2704 PubMed30320377

2018

Curcolonol suppresses the motility of breast cancer cells by inhibiting LIM kinase 1 to downregulate cofilin 1 phosphorylation.

Applications

Unspecified application

Species

Unspecified reactive species

Hong Lu,Jie Chen,Yongming Luo,Huanjun Xu,Ling Xiong,Jianjiang Fu

Development (Cambridge, England) 145: PubMed29439133

2018

The developmental and genetic basis of 'clubfoot' in the peroneal muscular atrophy mutant mouse.

Applications

Unspecified application

Species

Unspecified reactive species

J Martin Collinson,Nils O Lindström,Carlos Neves,Karen Wallace,Caroline Meharg,Rebecca H Charles,Zoe K Ross,Amy M Fraser,Ivan Mbogo,Kadri Oras,Masaru Nakamoto,Simon Barker,Suzanne Duce,Zosia Miedzybrodzka,Neil Vargesson
View all publications

Product promise

We are committed to supporting your work with high-quality reagents, and we're here for you every step of the way. In the unlikely event that one of our products does not perform as expected, you're protected by our Product Promise.
For full details, please see our Terms & Conditions

Please note: All products are 'FOR RESEARCH USE ONLY. NOT FOR USE IN DIAGNOSTIC OR THERAPEUTIC PROCEDURES'.

For licensing inquiries, please contact partnerships@abcam.com