JavaScript is disabled in your browser. Please enable JavaScript to view this website.
AB250980

Anti-LIME antibody [EPR14713] - BSA and Azide free

Be the first to review this product! Submit a review

|

(0 Publication)

Rabbit Recombinant Monoclonal LIME antibody. Carrier free. Suitable for WB, IHC-P and reacts with Human samples.

View Alternative Names

LIME, LP8067, LIME1, Lck-interacting transmembrane adapter 1, Lck-interacting membrane protein, Lck-interacting molecule

4 Images
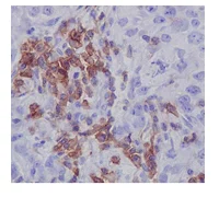
Immunohistochemistry (Formalin/PFA-fixed paraffin-embedded sections) - Anti-LIME antibody [EPR14713] - BSA and Azide free (AB250980)
  • IHC-P

Unknown

Immunohistochemistry (Formalin/PFA-fixed paraffin-embedded sections) - Anti-LIME antibody [EPR14713] - BSA and Azide free (AB250980)

This data was developed using ab188871, the same antibody clone in a different buffer formulation.

Immunohistochemical analysis of paraffin-embedded Human mammary gland infiltrating duct carcinoma tissue labeling LIME with ab188871 at 1/2000 dilution followed by pre-diluted HRP Polymer for Rabbit IgG secondary antibody and counter-stained with Hematoxylin.

Perform heat mediated antigen retrieval with Tris/EDTA buffer pH 9.0 before commencing with IHC staining protocol.

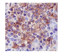
Immunohistochemistry (Formalin/PFA-fixed paraffin-embedded sections) - Anti-LIME antibody [EPR14713] - BSA and Azide free (AB250980)
  • IHC-P

Supplier Data

Immunohistochemistry (Formalin/PFA-fixed paraffin-embedded sections) - Anti-LIME antibody [EPR14713] - BSA and Azide free (AB250980)

This data was developed using ab188871, the same antibody clone in a different buffer formulation.

Immunohistochemical analysis of paraffin-embedded Human tonsil tissue labeling LIME with ab188871 at 1/2000 dilution followed by pre-diluted HRP Polymer for Rabbit IgG secondary antibody and counter-stained with Hematoxylin.

Perform heat mediated antigen retrieval with Tris/EDTA buffer pH 9.0 before commencing with IHC staining protocol.

Western blot - Anti-LIME antibody [EPR14713] - BSA and Azide free (AB250980)
  • WB

Supplier Data

Western blot - Anti-LIME antibody [EPR14713] - BSA and Azide free (AB250980)

This data was developed using ab188871, the same antibody clone in a different buffer formulation.

All lanes:

Western blot - Anti-LIME antibody [EPR14713] (<a href='/en-us/products/primary-antibodies/lime-antibody-epr14713-ab188871'>ab188871</a>) at 1/1000 dilution

All lanes:

Human thymus lysate at 10 µg

Secondary

All lanes:

Anti-Rabbit IgG (HRP), specific to the non-reduced form of IgG at 1/500 dilution

Predicted band size: 31 kDa

false

Western blot - Anti-LIME antibody [EPR14713] - BSA and Azide free (AB250980)
  • WB

Supplier Data

Western blot - Anti-LIME antibody [EPR14713] - BSA and Azide free (AB250980)

This data was developed using ab188871, the same antibody clone in a different buffer formulation.

All lanes:

Western blot - Anti-LIME antibody [EPR14713] (<a href='/en-us/products/primary-antibodies/lime-antibody-epr14713-ab188871'>ab188871</a>) at 1/10000 dilution

All lanes:

HuT-78 lysate at 20 µg

Secondary

All lanes:

Goat Anti-Rabbit IgG, (H+L), Peroxidase conjugate at 1/1000 dilution

Predicted band size: 31 kDa

false

Key facts

Host species

Rabbit

Clonality

Monoclonal

Clone number

EPR14713

Isotype

IgG

Carrier free

Yes

Reacts with

Human

Applications

WB, IHC-P

applications

Immunogen

The exact immunogen used to generate this antibody is proprietary information.

Reactivity data

{ "title": "Reactivity Data", "filters": { "stats": ["", "Species", "Dilution Info", "Notes"], "tabs": { "all-applications": {"fullname" : "All Applications", "shortname": "All Applications"}, "WB" : {"fullname" : "Western blot", "shortname":"WB"}, "IHCP" : {"fullname" : "Immunohistochemistry (Formalin/PFA-fixed paraffin-embedded sections)", "shortname":"IHC-P"} }, "product-promise": { "all": "all", "testedAndGuaranteed": "tested", "guaranteed": "expected", "predicted": "predicted", "notRecommended": "not-recommended" } }, "values": { "Human": { "WB-species-checked": "testedAndGuaranteed", "WB-species-dilution-info": "", "WB-species-notes": "<p></p> Perform heat-mediated antigen retrieval with Tris/EDTA buffer pH 9.0 before commencing with IHC staining protocol.", "IHCP-species-checked": "testedAndGuaranteed", "IHCP-species-dilution-info": "", "IHCP-species-notes": "<p></p> Perform heat-mediated antigen retrieval with Tris/EDTA buffer pH 9.0 before commencing with IHC staining protocol." } } }

Product details

ab250980 is the carrier-free version of ab188871.

Patented technology
Our RabMAb® technology is a patented hybridoma-based technology for making rabbit monoclonal antibodies. For details on our patents, please refer to RabMAb® patents.

What are the advantages of a recombinant monoclonal antibody?
This product is a recombinant monoclonal antibody, which offers several advantages including:

  • - High batch-to-batch consistency and reproducibility
  • - Improved sensitivity and specificity
  • - Long-term security of supply
  • - Animal-free batch production

For more information, read more on recombinant antibodies.

Conjugation ready
Our carrier-free antibodies are typically supplied in a PBS-only formulation, purified and free of BSA, sodium azide and glycerol. This conjugation-ready format is designed for use with fluorochromes, metal isotopes, oligonucleotides, and enzymes, which makes them ideal for antibody labelling, functional and cell-based assays, flow-based assays (e.g. mass cytometry) and Multiplex Imaging applications.

Use our conjugation kits for antibody conjugates that are ready-to-use in as little as 20 minutes with 1 minute hands-on-time and 100% antibody recovery: available for fluorescent dyes, HRP, biotin and gold.

Compatibility
This product is compatible with the Maxpar® Antibody Labeling Kit from Fluidigm, without the need for antibody preparation. Maxpar® is a trademark of Fluidigm Canada Inc.

Properties and storage information

Form
Liquid
Purification technique
Affinity purification Protein A
Storage buffer
pH: 7.2 - 7.4 Constituents: PBS
Shipped at conditions
Blue Ice
Appropriate short-term storage conditions
+4°C
Appropriate long-term storage conditions
+4°C
Storage information
Do Not Freeze

Supplementary information

This supplementary information is collated from multiple sources and compiled automatically.

LIME also known as Lck-interacting molecule is a transmembrane adaptor protein with a molecular weight of approximately 30 kDa. LIME is expressed mainly in immune cells such as T cells B cells and NK cells playing a significant role in immune system signaling. Its structural features include several tyrosine-based signaling motifs that interact with lymphocyte-specific protein tyrosine kinases. These interactions support LIME's function as a mediator in signaling cascades within immune cells.
Biological function summary

The LIME protein functions by helping to organize and transduce signals involved in lymphocyte activation proliferation and differentiation. It serves as a scaffold that aggregates proteins involved in signaling pathways forming part of larger signal transduction complexes. LIME directly associates with Src family kinases influencing cell signaling related to the immune response. This characteristic enables it to modulate various intracellular processes especially those concerning leukocytes and their responses to external stimuli.

Pathways

LIME participates in the T-cell receptor (TCR) signaling pathway and B-cell receptor (BCR) signaling pathway both important for adaptive immunity. In the TCR signaling pathway LIME interacts with ZAP-70 protein aiding T-cell activation and response to antigens. In the BCR signaling pathway LIME associates with kinases to modulate B-cell responses. Through these interactions LIME plays a role in optimizing the immune system's function and its ability to respond to pathogens or altered cells.

LIME has been linked to immune-related conditions like autoimmunity and lymphoma. Aberrant expression or mutations in LIME can disrupt normal signal transduction potentially leading to autoimmune diseases due to improper immune cell activation. Similarly altered LIME signaling has associations with lymphomas where it may impact cell proliferation and survival pathways. Changes in LIME function could affect its interacting partners such as Src family kinases contributing to the dysregulated growth and survival of immune cells seen in these disorders.

Product protocols

For this product, it's our understanding that no specific protocols are required. You can visit:

Target data

Involved in BCR (B-cell antigen receptor)-mediated signaling in B-cells and TCR (T-cell antigen receptor)-mediated T-cell signaling in T-cells. In absence of TCR signaling, may be involved in CD4-mediated inhibition of T-cell activation. Couples activation of these receptors and their associated kinases with distal intracellular events such as calcium mobilization or MAPK activation through the recruitment of PLCG2, GRB2, GRAP2, and other signaling molecules.
See full target information LIME1

Product promise

We are committed to supporting your work with high-quality reagents, and we're here for you every step of the way. In the unlikely event that one of our products does not perform as expected, you're protected by our Product Promise.
For full details, please see our Terms & Conditions

Please note: All products are 'FOR RESEARCH USE ONLY. NOT FOR USE IN DIAGNOSTIC OR THERAPEUTIC PROCEDURES'.

For licensing inquiries, please contact partnerships@abcam.com