JavaScript is disabled in your browser. Please enable JavaScript to view this website.
AB236007

Anti-LIMK2 antibody [EP969Y] - BSA and Azide free

Be the first to review this product! Submit a review

|

(1 Publication)

Rabbit Recombinant Monoclonal LIMK2 antibody. Carrier free. Suitable for IHC-P, WB, ICC/IF and reacts with Human samples. Cited in 1 publication.

View Alternative Names

LIM domain kinase 2, LIMK-2, LIMK2

2 Images
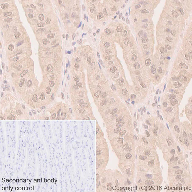
Immunohistochemistry (Formalin/PFA-fixed paraffin-embedded sections) - Anti-LIMK2 antibody [EP969Y] - BSA and Azide free (AB236007)
  • IHC-P

Lab

Immunohistochemistry (Formalin/PFA-fixed paraffin-embedded sections) - Anti-LIMK2 antibody [EP969Y] - BSA and Azide free (AB236007)

This data was developed using ab45165, the same antibody clone in a different buffer formulation.

Immunohistochemistry (Formalin/PFA-fixed paraffin-embedded sections) analysis of human endometrium cancer tissue labeling LIMK2 with ab45165 at 1/250 dilution. Heat mediated antigen retrieval was performed using Tris/EDTA buffer pH 9. ab97051, a HRP-conjugated goat anti-rabbit IgG (H+L) was used as the secondary antibody (1/500). Negative control using PBS instead of primary antibody. Counterstained with hematoxylin.

Western blot - Anti-LIMK2 antibody [EP969Y] - BSA and Azide free (AB236007)
  • WB

Lab

Western blot - Anti-LIMK2 antibody [EP969Y] - BSA and Azide free (AB236007)

This data was developed using ab45165, the same antibody clone in a different buffer formulation.

Western blot : Rabbit Monoclonal[EP969Y] to LIMK2 ab45165 staining at 1/2000 dilution, shown in green; Mouse anti GAPDH (ab8245) loading control staining at 1/20,000 dilution, shown in magenta.

A band was observed at 72 kDa in Wild-type U-87 MG cell lysates with no signal observed at this size in LIMK2 knockout U-87 MG cell line.

To generate this image, samples were run on an SDS-PAGE gel then transferred onto a nitrocellulose membrane. Membranes were blocked in 3pc Milk in TBS-0.1 % Tween® 20 (TBS-T) before incubation with primary antibodies overnight at 4 °C. Blots were washed four times in TBS-T, incubated with secondary antibodies for 1 h at room temperature, washed again four times then imaged.

Secondary antibodies used were Goat anti-Rabbit 800CW & Goat anti-Mouse 680RD at 1/20,000 dilution.

All lanes:

Western blot - Anti-LIMK2 antibody [EP969Y] - C-terminal (<a href='/en-us/products/primary-antibodies/limk2-antibody-ep969y-c-terminal-ab45165'>ab45165</a>) at 1/1000 dilution

Lane 1:

Wild-type U-87 MG at 20 µg

Lane 2:

LIMK2 knockout U-87 MG cell line at 20 µg

Lane 3:

HCT 116 at 20 µg

Lane 4:

PC-3 at 20 µg

Secondary

All lanes:

Goat anti-Rabbit 800CW & Goat anti-Mouse 680RD at 1/20000 dilution

Predicted band size: 72 kDa

Observed band size: 72 kDa

false

  • Unconjugated

    Anti-LIMK2 antibody [EP969Y] - C-terminal

  • 665 Alexa Fluor® 647

    Alexa Fluor® 647 Anti-LIMK2 antibody [EP969Y]

  • 578 PE

    PE Anti-LIMK2 antibody [EP969Y] - C-terminal

Key facts

Host species

Rabbit

Clonality

Monoclonal

Clone number

EP969Y

Isotype

IgG

Carrier free

Yes

Reacts with

Human

Applications

IHC-P, ICC/IF, WB

applications

Immunogen

The exact immunogen used to generate this antibody is proprietary information.

Reactivity data

{ "title": "Reactivity Data", "filters": { "stats": ["", "Species", "Dilution Info", "Notes"], "tabs": { "all-applications": {"fullname" : "All Applications", "shortname": "All Applications"}, "IHCP" : {"fullname" : "Immunohistochemistry (Formalin/PFA-fixed paraffin-embedded sections)", "shortname":"IHC-P"}, "WB" : {"fullname" : "Western blot", "shortname":"WB"}, "ICCIF" : {"fullname" : "Immunocytochemistry/ Immunofluorescence", "shortname":"ICC/IF"} }, "product-promise": { "all": "all", "testedAndGuaranteed": "tested", "guaranteed": "expected", "predicted": "predicted", "notRecommended": "not-recommended" } }, "values": { "Human": { "IHCP-species-checked": "testedAndGuaranteed", "IHCP-species-dilution-info": "", "IHCP-species-notes": "<p></p>", "WB-species-checked": "testedAndGuaranteed", "WB-species-dilution-info": "", "WB-species-notes": "<p></p>", "ICCIF-species-checked": "guaranteed", "ICCIF-species-dilution-info": "", "ICCIF-species-notes": "<p></p>" }, "Mouse": { "IHCP-species-checked": "predicted", "IHCP-species-dilution-info": "", "IHCP-species-notes": "", "WB-species-checked": "predicted", "WB-species-dilution-info": "", "WB-species-notes": "", "ICCIF-species-checked": "predicted", "ICCIF-species-dilution-info": "", "ICCIF-species-notes": "" }, "Rat": { "IHCP-species-checked": "predicted", "IHCP-species-dilution-info": "", "IHCP-species-notes": "", "WB-species-checked": "predicted", "WB-species-dilution-info": "", "WB-species-notes": "", "ICCIF-species-checked": "predicted", "ICCIF-species-dilution-info": "", "ICCIF-species-notes": "" } } }

Product details

ab236007 is the carrier-free version of ab45165.

Patented technology
Our RabMAb® technology is a patented hybridoma-based technology for making rabbit monoclonal antibodies. For details on our patents, please refer to RabMAb® patents.

What are the advantages of a recombinant monoclonal antibody?
This product is a recombinant monoclonal antibody, which offers several advantages including:

  • - High batch-to-batch consistency and reproducibility
  • - Improved sensitivity and specificity
  • - Long-term security of supply
  • - Animal-free batch production

For more information, read more on recombinant antibodies.

Conjugation ready
Our carrier-free antibodies are typically supplied in a PBS-only formulation, purified and free of BSA, sodium azide and glycerol. This conjugation-ready format is designed for use with fluorochromes, metal isotopes, oligonucleotides, and enzymes, which makes them ideal for antibody labelling, functional and cell-based assays, flow-based assays (e.g. mass cytometry) and Multiplex Imaging applications.

Use our conjugation kits for antibody conjugates that are ready-to-use in as little as 20 minutes with 1 minute hands-on-time and 100% antibody recovery: available for fluorescent dyes, HRP, biotin and gold.

Compatibility
This product is compatible with the Maxpar® Antibody Labeling Kit from Fluidigm, without the need for antibody preparation. Maxpar® is a trademark of Fluidigm Canada Inc.

Properties and storage information

Form
Liquid
Purification technique
Affinity purification Protein A
Storage buffer
pH: 7.2 - 7.4 Constituents: PBS
Shipped at conditions
Blue Ice
Appropriate short-term storage conditions
+4°C
Appropriate long-term storage conditions
+4°C
Storage information
Do Not Freeze

Supplementary information

This supplementary information is collated from multiple sources and compiled automatically.

LIMK2 also known as LIM domain kinase 2 is a protein that functions primarily as a serine/threonine kinase. This protein with a molecular weight of approximately 72 kDa plays an important role in regulating the cytoskeleton dynamics by phosphorylating and inactivating cofilin thereby affecting actin filament stability. LIMK2 is ubiquitously expressed with higher expression levels observed in the brain and certain types of cancer tissues indicating its importance in both normal and pathological cell processes.
Biological function summary

LIMK2 influences cell motility differentiation and division by modulating the actin cytoskeleton. It is a central component in various signaling complexes where it interacts with proteins such as ROCK and PAK which are upstream activators. By controlling actin filament assembly and disassembly LIMK2 impacts essential cellular functions including migration and invasion highlighting its potential role in cancer metastasis.

Pathways

LIMK2 integrates into signaling cascades linked to the Rho family of GTPases and the TGF-beta pathways. In these pathways it collaborates with proteins like ROCK to influence cytoskeletal reorganization. LIMK2's activity in these pathways emphasizes its role in maintaining cellular integrity and responding to extracellular stimuli which are critical components of cell cycle regulation and morphological changes.

Aberrant LIMK2 activity has connections with cancer progression and neurological disorders. In cancer upregulation can lead to increased tumor cell invasion and metastasis through its interaction with cofilin and the subsequent increase in actin filament assembly. In neurological contexts altered LIMK2 function associates with neurodegenerative diseases possibly due to its role in neuronal signaling networks and cytoskeletal dynamics. Understanding LIMK2’s interactions with proteins like cofilin offers insight into potential therapeutic targets for managing these diseases.

Product protocols

For this product, it's our understanding that no specific protocols are required. You can visit:

Target data

Serine/threonine-protein kinase that plays an essential role in the regulation of actin filament dynamics (PubMed : 10436159, PubMed : 11018042). Acts downstream of several Rho family GTPase signal transduction pathways (PubMed : 10436159, PubMed : 11018042). Involved in astral microtubule organization and mitotic spindle orientation during early stages of mitosis by mediating phosphorylation of TPPP (PubMed : 22328514). Displays serine/threonine-specific phosphorylation of myelin basic protein and histone (MBP) in vitro (PubMed : 8537403). Suppresses ciliogenesis via multiple pathways; phosphorylation of CFL1, suppression of directional trafficking of ciliary vesicles to the ciliary base, and by facilitating YAP1 nuclear localization where it acts as a transcriptional corepressor of the TEAD4 target genes AURKA and PLK1 (PubMed : 25849865).
See full target information LIMK2

Publications (1)

Recent publications for all applications. Explore the full list and refine your search

Open medicine (Warsaw, Poland) 20:20251206 PubMed40918165

2025

Peptide CCAT1-70aa promotes hepatocellular carcinoma proliferation and invasion via the MAPK/ERK pathway.

Applications

Unspecified application

Species

Unspecified reactive species

Xianjian Wu,Ruifeng Liang,Guoman Liu,Quan Fang,Zuoming Xu,Wenchuan Li,Chuan Tan,Jian Pu
View all publications

Product promise

We are committed to supporting your work with high-quality reagents, and we're here for you every step of the way. In the unlikely event that one of our products does not perform as expected, you're protected by our Product Promise.
For full details, please see our Terms & Conditions

Please note: All products are 'FOR RESEARCH USE ONLY. NOT FOR USE IN DIAGNOSTIC OR THERAPEUTIC PROCEDURES'.

For licensing inquiries, please contact partnerships@abcam.com