JavaScript is disabled in your browser. Please enable JavaScript to view this website.
AB45165

Anti-LIMK2 antibody [EP969Y] - C-terminal

3

(2 Reviews)

|

(11 Publications)

Rabbit Recombinant Monoclonal LIMK2 antibody. C-terminal. Suitable for IHC-P, WB, ICC/IF and reacts with Human samples. Cited in 11 publications.

View Alternative Names

LIM domain kinase 2, LIMK-2, LIMK2

5 Images
Immunocytochemistry/ Immunofluorescence - Anti-LIMK2 antibody [EP969Y] - C-terminal (AB45165)
  • ICC/IF

Lab

Immunocytochemistry/ Immunofluorescence - Anti-LIMK2 antibody [EP969Y] - C-terminal (AB45165)

Immunocytochemistry/ Immunofluorescence analysis of Ramos cells labeling LIMK2 with ab45165 at 1/250. Goat anti rabbit IgG(Alexa Fluor® 488); ab150077 at 1/1000 dilution was used as the secondary antibody. Cells were fixed with 4% paraformaldehyde and permeabilised with 0.1% tritonX-100. DAPI (blue) was used as a nuclear counterstain.

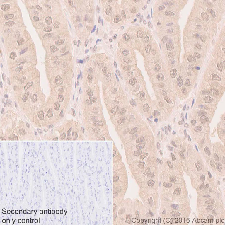
Immunohistochemistry (Formalin/PFA-fixed paraffin-embedded sections) - Anti-LIMK2 antibody [EP969Y] - C-terminal (AB45165)
  • IHC-P

Lab

Immunohistochemistry (Formalin/PFA-fixed paraffin-embedded sections) - Anti-LIMK2 antibody [EP969Y] - C-terminal (AB45165)

Immunohistochemistry (Formalin/PFA-fixed paraffin-embedded sections) analysis of human endometrium cancer tissue labeling LIMK2 with ab45165 at 1/250 dilution. Heat mediated antigen retrieval was performed using Tris/EDTA buffer pH 9. ab97051, a HRP-conjugated goat anti-rabbit IgG (H+L) was used as the secondary antibody (1/500). Negative control using PBS instead of primary antibody. Counterstained with hematoxylin.

Western blot - Anti-LIMK2 antibody [EP969Y] - C-terminal (AB45165)
  • WB

Supplier Data

Western blot - Anti-LIMK2 antibody [EP969Y] - C-terminal (AB45165)

Lane 1 : Wild-type HAP1 whole cell lysate (40 μg)
Lane 2 : LIMK2 (LIMK2) knockout HAP1 whole cell lysate (40 μg)
Lane 3 : Jurkat whole cell lysate (40 μg)

Lanes 1 - 3 : Merged signal (red and green). Green - ab45165 observed at 72 kDa. Red - loading control, ab9484, observed at 37 kDa.

ab45165 was shown to specifically recognize LIMK2 (LIMK2) in wild-type HAP1 cells along with additional cross-reactive bands. No band was observed with knockout cells were examined. Wild-type and LIMK2 (LIMK2) knockout samples were subjected to SDS-PAGE. ab45165 and ab9484 (Mouse anti GAPDH loading control) were incubated overnight at 4°C at 1/2000 dilution and 1/20,000 dilution respectively. Blots were developed with Goat anti-Rabbit IgG H&L (IRDye® 800CW) preabsorbed (ab216773) and Goat anti-Mouse IgG H&L (IRDye® 680RD) preabsorbed (ab216776) secondary antibodies at 1/20,000 dilution for 1 hour at room temperature before imaging.

All lanes:

Western blot - Anti-LIMK2 antibody [EP969Y] - C-terminal (ab45165)

Predicted band size: 72 kDa

false

Western blot - Anti-LIMK2 antibody [EP969Y] - C-terminal (AB45165)
  • WB

Lab

Western blot - Anti-LIMK2 antibody [EP969Y] - C-terminal (AB45165)

Western blot : Rabbit Monoclonal[EP969Y] to LIMK2 ab45165 staining at 1/2000 dilution, shown in green; Mouse anti GAPDH (ab8245) loading control staining at 1/20,000 dilution, shown in magenta.

A band was observed at 72 kDa in Wild-type U-87 MG cell lysates with no signal observed at this size in LIMK2 knockout U-87 MG cell line.

To generate this image, samples were run on an SDS-PAGE gel then transferred onto a nitrocellulose membrane. Membranes were blocked in 3pc Milk in TBS-0.1 % Tween® 20 (TBS-T) before incubation with primary antibodies overnight at 4 °C. Blots were washed four times in TBS-T, incubated with secondary antibodies for 1 h at room temperature, washed again four times then imaged.

Secondary antibodies used were Goat anti-Rabbit 800CW & Goat anti-Mouse 680RD at 1/20,000 dilution.

All lanes:

Western blot - Anti-LIMK2 antibody [EP969Y] - C-terminal (ab45165) at 1/1000 dilution

Lane 1:

Wild-type U-87 MG at 20 µg

Lane 2:

LIMK2 knockout U-87 MG cell line at 20 µg

Lane 3:

HCT 116 at 20 µg

Lane 4:

PC-3 at 20 µg

Secondary

All lanes:

Goat anti-Rabbit 800CW & Goat anti-Mouse 680RD at 1/20000 dilution

Predicted band size: 72 kDa

Observed band size: 72 kDa

false

Western blot - Anti-LIMK2 antibody [EP969Y] - C-terminal (AB45165)
  • WB

Unknown

Western blot - Anti-LIMK2 antibody [EP969Y] - C-terminal (AB45165)

All lanes:

Western blot - Anti-LIMK2 antibody [EP969Y] - C-terminal (ab45165) at 1/2000 dilution

All lanes:

Ramos (Human Burkitt's lymphoma cell line) membrane lysate

Predicted band size: 72 kDa

Observed band size: 70 kDa

false

  • 665 Alexa Fluor® 647

    Alexa Fluor® 647 Anti-LIMK2 antibody [EP969Y]

  • 578 PE

    PE Anti-LIMK2 antibody [EP969Y] - C-terminal

  • Carrier free

    Anti-LIMK2 antibody [EP969Y] - BSA and Azide free

Key facts

Host species

Rabbit

Clonality

Monoclonal

Clone number

EP969Y

Isotype

IgG

Carrier free

No

Reacts with

Human

Applications

WB, IHC-P, ICC/IF

applications

Immunogen

The exact immunogen used to generate this antibody is proprietary information.

Reactivity data

{ "title": "Reactivity Data", "filters": { "stats": ["", "Species", "Dilution Info", "Notes"], "tabs": { "all-applications": {"fullname" : "All Applications", "shortname": "All Applications"}, "IHCP" : {"fullname" : "Immunohistochemistry (Formalin/PFA-fixed paraffin-embedded sections)", "shortname":"IHC-P"}, "WB" : {"fullname" : "Western blot", "shortname":"WB"}, "ICCIF" : {"fullname" : "Immunocytochemistry/ Immunofluorescence", "shortname":"ICC/IF"} }, "product-promise": { "all": "all", "testedAndGuaranteed": "tested", "guaranteed": "expected", "predicted": "predicted", "notRecommended": "not-recommended" } }, "values": { "Human": { "IHCP-species-checked": "testedAndGuaranteed", "IHCP-species-dilution-info": "1/250", "IHCP-species-notes": "<p></p>", "WB-species-checked": "testedAndGuaranteed", "WB-species-dilution-info": "1/2000", "WB-species-notes": "<p></p>", "ICCIF-species-checked": "testedAndGuaranteed", "ICCIF-species-dilution-info": "1/50 - 1/100", "ICCIF-species-notes": "<p></p>" }, "Mouse": { "IHCP-species-checked": "predicted", "IHCP-species-dilution-info": "", "IHCP-species-notes": "", "WB-species-checked": "predicted", "WB-species-dilution-info": "", "WB-species-notes": "", "ICCIF-species-checked": "predicted", "ICCIF-species-dilution-info": "", "ICCIF-species-notes": "" }, "Rat": { "IHCP-species-checked": "predicted", "IHCP-species-dilution-info": "", "IHCP-species-notes": "", "WB-species-checked": "predicted", "WB-species-dilution-info": "", "WB-species-notes": "", "ICCIF-species-checked": "predicted", "ICCIF-species-dilution-info": "", "ICCIF-species-notes": "" } } }

Product details

Patented technology
Our RabMAb® technology is a patented hybridoma-based technology for making rabbit monoclonal antibodies. For details on our patents, please refer to RabMAb® patents.

Properties and storage information

Form
Liquid
Purification technique
Affinity purification Protein A
Storage buffer
pH: 7.2 - 7.4 Preservative: 0.01% Sodium azide Constituents: PBS, 40% Glycerol (glycerin, glycerine), 0.5% BSA
Shipped at conditions
Blue Ice
Appropriate short-term storage conditions
+4°C
Appropriate long-term storage conditions
-20°C
Aliquoting information
Upon delivery aliquot
Storage information
Avoid freeze / thaw cycle

Supplementary information

This supplementary information is collated from multiple sources and compiled automatically.

LIMK2 also known as LIM domain kinase 2 is a protein that functions primarily as a serine/threonine kinase. This protein with a molecular weight of approximately 72 kDa plays an important role in regulating the cytoskeleton dynamics by phosphorylating and inactivating cofilin thereby affecting actin filament stability. LIMK2 is ubiquitously expressed with higher expression levels observed in the brain and certain types of cancer tissues indicating its importance in both normal and pathological cell processes.
Biological function summary

LIMK2 influences cell motility differentiation and division by modulating the actin cytoskeleton. It is a central component in various signaling complexes where it interacts with proteins such as ROCK and PAK which are upstream activators. By controlling actin filament assembly and disassembly LIMK2 impacts essential cellular functions including migration and invasion highlighting its potential role in cancer metastasis.

Pathways

LIMK2 integrates into signaling cascades linked to the Rho family of GTPases and the TGF-beta pathways. In these pathways it collaborates with proteins like ROCK to influence cytoskeletal reorganization. LIMK2's activity in these pathways emphasizes its role in maintaining cellular integrity and responding to extracellular stimuli which are critical components of cell cycle regulation and morphological changes.

Aberrant LIMK2 activity has connections with cancer progression and neurological disorders. In cancer upregulation can lead to increased tumor cell invasion and metastasis through its interaction with cofilin and the subsequent increase in actin filament assembly. In neurological contexts altered LIMK2 function associates with neurodegenerative diseases possibly due to its role in neuronal signaling networks and cytoskeletal dynamics. Understanding LIMK2’s interactions with proteins like cofilin offers insight into potential therapeutic targets for managing these diseases.

Product protocols

For this product, it's our understanding that no specific protocols are required. You can visit:

Target data

Serine/threonine-protein kinase that plays an essential role in the regulation of actin filament dynamics (PubMed : 10436159, PubMed : 11018042). Acts downstream of several Rho family GTPase signal transduction pathways (PubMed : 10436159, PubMed : 11018042). Involved in astral microtubule organization and mitotic spindle orientation during early stages of mitosis by mediating phosphorylation of TPPP (PubMed : 22328514). Displays serine/threonine-specific phosphorylation of myelin basic protein and histone (MBP) in vitro (PubMed : 8537403). Suppresses ciliogenesis via multiple pathways; phosphorylation of CFL1, suppression of directional trafficking of ciliary vesicles to the ciliary base, and by facilitating YAP1 nuclear localization where it acts as a transcriptional corepressor of the TEAD4 target genes AURKA and PLK1 (PubMed : 25849865).
See full target information LIMK2

Publications (11)

Recent publications for all applications. Explore the full list and refine your search

Oncogene 44:3625-3639 PubMed40775397

2025

LIMK2 promotes centrosome clustering and cancer progression by activating MST4-mediated phosphorylation of NPM1.

Applications

Unspecified application

Species

Unspecified reactive species

Jie Tian,Shihui Liu,Yunqing Zhang,Huajie Jia,Wenna Nie,Ran Yang,Mengmeng Ge,Kangdong Liu,Mengqiu Song,Zigang Dong

Science advances 8:eabm3471 PubMed35427166

2022

Pressure and stiffness sensing together regulate vascular smooth muscle cell phenotype switching.

Applications

Unspecified application

Species

Unspecified reactive species

Pamela Swiatlowska,Brian Sit,Zhen Feng,Emilie Marhuenda,Ioannis Xanthis,Simona Zingaro,Matthew Ward,Xinmiao Zhou,Qingzhong Xiao,Cathy Shanahan,Gareth E Jones,Cheng-Han Yu,Thomas Iskratsch

Frontiers in molecular neuroscience 14:688050 PubMed34630032

2021

Tandem Mass Tag-Based Quantitative Proteomic Analysis Reveals Pathways Involved in Brain Injury Induced by Chest Exposure to Shock Waves.

Applications

Unspecified application

Species

Unspecified reactive species

Changci Tong,Peifang Cong,Ying Liu,Xiuyun Shi,Lin Shi,Shun Mao,Yan Zhao,Mingxiao Hou,Yunen Liu

Acta pharmaceutica Sinica. B 11:1914-1930 PubMed34386328

2021

Inhibition of LIM kinase reduces contraction and proliferation in bladder smooth muscle.

Applications

Unspecified application

Species

Unspecified reactive species

Qingfeng Yu,Chengjie Wu,Yeda Chen,Bingsheng Li,Ruixiao Wang,Ru Huang,Xuechun Li,Di Gu,Xiaolong Wang,Xiaolu Duan,Shujue Li,Yang Liu,Wenqi Wu,Martin Hennenberg,Guohua Zeng

Cell proliferation 53:e12756 PubMed31943490

2020

Co-overexpression of VEGF and GDNF in adipose-derived stem cells optimizes therapeutic effect in neurogenic erectile dysfunction model.

Applications

Unspecified application

Species

Unspecified reactive species

Wende Yang,Zehong Chen,Xiaolei Ma,Xi Ouyang,Jiafeng Fang,Hongbo Wei

Journal of cellular physiology 233:6088-6097 PubMed29319181

2018

The small GTPase RhoA regulates the LIMK1/2-cofilin pathway to modulate cytoskeletal dynamics in oocyte meiosis.

Applications

Unspecified application

Species

Unspecified reactive species

Xing Duan,Yu Zhang,Kun-Lin Chen,Hao-Lin Zhang,Lan-Lan Wu,Hong-Lin Liu,Zhen-Bo Wang,Shao-Chen Sun

Frontiers in cellular neuroscience 10:99 PubMed27147971

2016

Mitochondrial Translocation of High Mobility Group Box 1 Facilitates LIM Kinase 2-Mediated Programmed Necrotic Neuronal Death.

Applications

Unspecified application

Species

Unspecified reactive species

Hye-Won Hyun,Ah-Reum Ko,Tae-Cheon Kang

Molecular brain 8:58 PubMed26438559

2015

Endothelin-1 induces LIMK2-mediated programmed necrotic neuronal death independent of NOS activity.

Applications

IHC-FoFr

Species

Rat

Ah-Reum Ko,Hye-Won Hyun,Su-Ji Min,Ji-Eun Kim,Tae-Cheon Kang

Molecular biology of the cell 25:2393-407 PubMed24966172

2014

LIM kinase regulation of cytoskeletal dynamics is required for salivary gland branching morphogenesis.

Applications

Unspecified application

Species

Unspecified reactive species

Shayoni Ray,Joseph A Fanti,Diego P Macedo,Melinda Larsen

PloS one 8:e72850 PubMed23991158

2013

LIMK2 mediates resistance to chemotherapeutic drugs in neuroblastoma cells through regulation of drug-induced cell cycle arrest.

Applications

WB

Species

Unspecified reactive species

Cristina Gamell,Alice V Schofield,Randy Suryadinata,Boris Sarcevic,Ora Bernard
View all publications

Product promise

We are committed to supporting your work with high-quality reagents, and we're here for you every step of the way. In the unlikely event that one of our products does not perform as expected, you're protected by our Product Promise.
For full details, please see our Terms & Conditions

Please note: All products are 'FOR RESEARCH USE ONLY. NOT FOR USE IN DIAGNOSTIC OR THERAPEUTIC PROCEDURES'.

For licensing inquiries, please contact partnerships@abcam.com