JavaScript is disabled in your browser. Please enable JavaScript to view this website.
AB38499

Anti-LIMK2 (phospho T505) antibody

3

(1 Review)

|

(19 Publications)

Rabbit Polyclonal LIMK2 phospho T505 antibody. Suitable for WB, IHC-P, ICC/IF and reacts with Human samples. Cited in 19 publications. Immunogen corresponding to Synthetic Peptide within Human LIMK2 phospho T505.

View Alternative Names

LIM domain kinase 2, LIMK-2, LIMK2

3 Images
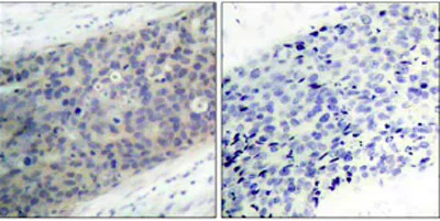
Immunohistochemistry (Formalin/PFA-fixed paraffin-embedded sections) - Anti-LIMK2 (phospho T505) antibody (AB38499)
  • IHC-P

Unknown

Immunohistochemistry (Formalin/PFA-fixed paraffin-embedded sections) - Anti-LIMK2 (phospho T505) antibody (AB38499)

ab38499 at a 1 : 50 dilution staining LIMK2 in Human breast carcinoma tissue using Immunohistochemistry, Paraffin Embedded Tissue.

Left image : untreated.

Right image : treated with phosphopeptide.

Immunocytochemistry/ Immunofluorescence - Anti-LIMK2 (phospho T505) antibody (AB38499)
  • ICC/IF

Unknown

Immunocytochemistry/ Immunofluorescence - Anti-LIMK2 (phospho T505) antibody (AB38499)

ICC/IF image of ab38499 stained HepG2 cells. The cells were 4% PFA fixed (10 min) and then incubated in 1%BSA / 10% normal goat serum / 0.3M glycine in 0.1% PBS-Tween for 1h to permeabilise the cells and block non-specific protein-protein interactions. The cells were then incubated with the antibody (ab38499, 1µg/ml) overnight at +4°C. The secondary antibody (green) was Alexa Fluor® 488 goat anti-rabbit IgG (H+L) used at a 1/1000 dilution for 1h. Alexa Fluor® 594 WGA was used to label plasma membranes (red) at a 1/200 dilution for 1h. DAPI was used to stain the cell nuclei (blue) at a concentration of 1.43µM.

Western blot - Anti-LIMK2 (phospho T505) antibody (AB38499)
  • WB

Unknown

Western blot - Anti-LIMK2 (phospho T505) antibody (AB38499)

All lanes:

Western blot - Anti-LIMK2 (phospho T505) antibody (ab38499) at 1/500 dilution

Lane 1:

MCF7 cell extract (5-30ug of total protein) pre-incubated with phosphopeptide.

Lane 2:

MCF7 cell extract (5-30ug of total protein).

Secondary

All lanes:

Alkaline Phosphatase Goat Anti-Rabbit IgG (H+L)

Predicted band size: 72 kDa

Observed band size: 70 kDa

false

Key facts

Host species

Rabbit

Clonality

Polyclonal

Isotype

IgG

Carrier free

No

Reacts with

Human

Applications

IHC-P, ICC/IF, WB

applications

Immunogen

Synthetic Peptide within Human LIMK2 phospho T505. The exact immunogen used to generate this antibody is proprietary information.

P53671

Specificity

This antibody is specific for LIMK2 only when phosphorylated at threonine 505, but may also cross react with LIMK1 phosphorylated at tyrosine 505 based on homology.

Reactivity data

{ "title": "Reactivity Data", "filters": { "stats": ["", "Species", "Dilution Info", "Notes"], "tabs": { "all-applications": {"fullname" : "All Applications", "shortname": "All Applications"}, "WB" : {"fullname" : "Western blot", "shortname":"WB"}, "IHCP" : {"fullname" : "Immunohistochemistry (Formalin/PFA-fixed paraffin-embedded sections)", "shortname":"IHC-P"}, "ICCIF" : {"fullname" : "Immunocytochemistry/ Immunofluorescence", "shortname":"ICC/IF"} }, "product-promise": { "all": "all", "testedAndGuaranteed": "tested", "guaranteed": "expected", "predicted": "predicted", "notRecommended": "not-recommended" } }, "values": { "Human": { "WB-species-checked": "testedAndGuaranteed", "WB-species-dilution-info": "1/500 - 1/1000", "WB-species-notes": "<p></p>", "IHCP-species-checked": "testedAndGuaranteed", "IHCP-species-dilution-info": "", "IHCP-species-notes": "<p></p>", "ICCIF-species-checked": "testedAndGuaranteed", "ICCIF-species-dilution-info": "1-5 µg/mL", "ICCIF-species-notes": "<p></p>" } } }

Properties and storage information

Form
Liquid
Purification technique
Affinity purification Immunogen
Purification notes
The antibody against non-phosphopeptide was removed by chromatography using non-phosphopeptide corresponding to the phosphorylation site.
Storage buffer
pH: 7 Preservative: 0.02% Sodium azide Constituents: PBS, 50% Glycerol (glycerin, glycerine), 0.87% Sodium chloride
Shipped at conditions
Blue Ice
Appropriate short-term storage conditions
+4°C
Appropriate long-term storage conditions
-20°C
Aliquoting information
Upon delivery aliquot
Storage information
Avoid freeze / thaw cycle

Supplementary information

This supplementary information is collated from multiple sources and compiled automatically.

LIMK2 also known as LIM domain kinase 2 is a protein that functions primarily as a serine/threonine kinase. This protein with a molecular weight of approximately 72 kDa plays an important role in regulating the cytoskeleton dynamics by phosphorylating and inactivating cofilin thereby affecting actin filament stability. LIMK2 is ubiquitously expressed with higher expression levels observed in the brain and certain types of cancer tissues indicating its importance in both normal and pathological cell processes.
Biological function summary

LIMK2 influences cell motility differentiation and division by modulating the actin cytoskeleton. It is a central component in various signaling complexes where it interacts with proteins such as ROCK and PAK which are upstream activators. By controlling actin filament assembly and disassembly LIMK2 impacts essential cellular functions including migration and invasion highlighting its potential role in cancer metastasis.

Pathways

LIMK2 integrates into signaling cascades linked to the Rho family of GTPases and the TGF-beta pathways. In these pathways it collaborates with proteins like ROCK to influence cytoskeletal reorganization. LIMK2's activity in these pathways emphasizes its role in maintaining cellular integrity and responding to extracellular stimuli which are critical components of cell cycle regulation and morphological changes.

Aberrant LIMK2 activity has connections with cancer progression and neurological disorders. In cancer upregulation can lead to increased tumor cell invasion and metastasis through its interaction with cofilin and the subsequent increase in actin filament assembly. In neurological contexts altered LIMK2 function associates with neurodegenerative diseases possibly due to its role in neuronal signaling networks and cytoskeletal dynamics. Understanding LIMK2’s interactions with proteins like cofilin offers insight into potential therapeutic targets for managing these diseases.

Product protocols

For this product, it's our understanding that no specific protocols are required. You can visit:

Target data

Serine/threonine-protein kinase that plays an essential role in the regulation of actin filament dynamics (PubMed : 10436159, PubMed : 11018042). Acts downstream of several Rho family GTPase signal transduction pathways (PubMed : 10436159, PubMed : 11018042). Involved in astral microtubule organization and mitotic spindle orientation during early stages of mitosis by mediating phosphorylation of TPPP (PubMed : 22328514). Displays serine/threonine-specific phosphorylation of myelin basic protein and histone (MBP) in vitro (PubMed : 8537403). Suppresses ciliogenesis via multiple pathways; phosphorylation of CFL1, suppression of directional trafficking of ciliary vesicles to the ciliary base, and by facilitating YAP1 nuclear localization where it acts as a transcriptional corepressor of the TEAD4 target genes AURKA and PLK1 (PubMed : 25849865).
See full target information LIMK2 phospho T505

Publications (19)

Recent publications for all applications. Explore the full list and refine your search

Brazilian journal of medical and biological research = Revista brasileira de pesquisas medicas e biologicas 57:e13152 PubMed38381883

2024

Inhibition of anlotinib-induced autophagy attenuates invasion and migration by regulating epithelial-mesenchymal transition and cytoskeletal rearrangement through ATG5 in human osteosarcoma cells.

Applications

Unspecified application

Species

Unspecified reactive species

Bingxin Zheng,Xiangchen Sun,Li Zhang,Guojian Qu,Chongmin Ren,Peng Yan,Chuanli Zhou,Bin Yue

Experimental and therapeutic medicine 26:448 PubMed37614420

2023

Triple‑negative breast cancer cells that survive ionizing radiation exhibit an Axl‑dependent aggressive radioresistant phenotype.

Applications

Unspecified application

Species

Unspecified reactive species

Jianfeng Ji,Yuqin Ding,Yue Kong,Min Fang,Xiaofu Yu,Xiaojing Lai,Qing Gu

Cell communication and signaling : CCS 21:163 PubMed37381027

2023

Downregulation of connexin 43-based gap junctions underlies propofol-induced excessive relaxation in hypertensive vascular smooth muscle cells.

Applications

Unspecified application

Species

Unspecified reactive species

Weiqi Zeng,Zhizhao Deng,Yingxin Gao,Guoliang Sun,Xianlong Li,Dongdong Yuan

Life sciences 274:119226 PubMed33609540

2021

O-linked N-acetylglucosaminyltransferase OGT inhibits diabetic nephropathy by stabilizing histone methyltransferases EZH2 via the HES1/PTEN axis.

Applications

Unspecified application

Species

Unspecified reactive species

Na Fang,Ping Li

Frontiers in pharmacology 11:520486 PubMed33101012

2020

Circular RNA Involved in the Protective Effect of L. on Myocardial Ischemic/Re-Perfused Injury.

Applications

Unspecified application

Species

Unspecified reactive species

Yongzhi Xiao,Diafara Boureima Oumarou,Shuang Wang,Yingzhe Liu

Aging 12:2333-2346 PubMed32019904

2020

Long non-coding RNA NNT-AS1 promotes cholangiocarcinoma cells proliferation and epithelial-to-mesenchymal transition through down-regulating miR-203.

Applications

Unspecified application

Species

Unspecified reactive species

Yulei Gu,Zhiqiang Zhu,Hui Pei,Dong Xu,Yumin Jiang,Luanluan Zhang,Lili Xiao

Journal of cellular biochemistry 120:19858-19867 PubMed31310378

2019

Long noncoding RNA Alu-mediated p21 transcriptional regulator promotes proliferation, migration, and pipe-formation of human microvascular endothelial cells by sponging miR-126.

Applications

Unspecified application

Species

Unspecified reactive species

Aiping Song,Rong Feng,Jianying Gao,Chunqing Yang

Experimental and molecular pathology 110:104281 PubMed31288012

2019

Angelica polysaccharide alleviates oxidative response damage in HaCaT cells through up-regulation of miR-126.

Applications

Unspecified application

Species

Unspecified reactive species

Xijun Zhang,Hong Xue,Ping Zhou,Li Liu,Jing Yu,Pengfei Dai,Manqing Qu

Cell death & disease 10:261 PubMed30886151

2019

Osteosarcoma cell intrinsic PD-L2 signals promote invasion and metastasis via the RhoA-ROCK-LIMK2 and autophagy pathways.

Applications

Unspecified application

Species

Unspecified reactive species

Tingting Ren,Bingxin Zheng,Yi Huang,Shidong Wang,Xing Bao,Kuisheng Liu,Wei Guo

Journal of cellular physiology 234:13525-13533 PubMed30773645

2019

MicroRNA-493-5p inhibits proliferation and metastasis of osteosarcoma cells by targeting Kruppel-like factor 5.

Applications

Unspecified application

Species

Unspecified reactive species

Zaiqing Zhang,Gongzeng Luo,Chuandong Yu,Guisheng Yu,Rui Jiang,Xuefeng Shi
View all publications

Product promise

We are committed to supporting your work with high-quality reagents, and we're here for you every step of the way. In the unlikely event that one of our products does not perform as expected, you're protected by our Product Promise.
For full details, please see our Terms & Conditions

Please note: All products are 'FOR RESEARCH USE ONLY. NOT FOR USE IN DIAGNOSTIC OR THERAPEUTIC PROCEDURES'.

For licensing inquiries, please contact partnerships@abcam.com