JavaScript is disabled in your browser. Please enable JavaScript to view this website.
AB314218

Anti-LIMPII antibody [EPR26243-125] - BSA and Azide free

  • BOND RX™ Validated
  • RabMAb
  • Recombinant
  • KO Validated
  • What is this?

Be the first to review this product! Submit a review

|

(0 Publication)

Knockout Tested Rabbit Recombinant Monoclonal LIMPII antibody. Carrier free. Suitable for WB, ICC/IF, Flow Cyt (Intra), IP, IHC-P and reacts with Human samples.

View Alternative Names

CD36, CD36L2, LIMP2, LIMPII, SCARB2, Lysosome membrane protein 2, 85 kDa lysosomal membrane sialoglycoprotein, CD36 antigen-like 2, Lysosome membrane protein II, Scavenger receptor class B member 2, LGP85, LIMP II

13 Images
Immunocytochemistry/ Immunofluorescence - Anti-LIMPII antibody [EPR26243-125] - BSA and Azide free (AB314218)
  • ICC/IF

Supplier Data

Immunocytochemistry/ Immunofluorescence - Anti-LIMPII antibody [EPR26243-125] - BSA and Azide free (AB314218)

This data was developed using ab314217, the same antibody clone in a different buffer formulation. Immunofluorescent analysis of 4% Paraformaldehyde-fixed, 0.1% TritonX-100 permeabilized SCARB2 KO MCF7 (SCARB2 knockout human breast adenocarcinoma epithelial cell) cells labelling LIMPII with ab314217 at 1/50 (10.54 ug/ml) dilution, followed by ab150081 Goat Anti-Rabbit IgG H&L (Alexa Fluor® 488) preadsorbed antibody at 1/1000 2ug/ml dilution (Green). Confocal image showing no staining in SCARB2 KO MCF7 cells, and lysosomal staining in parental MCF7 cells.Image was taken with a confocal microscope (Leica-Microsystems, TCS SP8). ab25630 Anti-LAMP1 mouse monoclonal antibody was used to counterstain tubulin at 1/200 0.2ug/ml dilution (Red). The Nuclear counterstain was DAPI (Blue). Secondary antibody only control : Secondary antibody is ab150081 Goat Anti-Rabbit IgG H&L (Alexa Fluor® 488) preadsorbed at 1/1000 2ug/ml dilution.

Immunocytochemistry/ Immunofluorescence - Anti-LIMPII antibody [EPR26243-125] - BSA and Azide free (AB314218)
  • ICC/IF

Collaborator

Immunocytochemistry/ Immunofluorescence - Anti-LIMPII antibody [EPR26243-125] - BSA and Azide free (AB314218)

This data was developed using ab314217, the same antibody clone in a different buffer formulation.

ab314217 was shown to react with SCARB2 in wild-type MCF7 cells in immunocytochemistry with loss of signal observed in SCARB2 knockout cell line ab274952. Wild-type and knockout cells were mixed and pelleted at a 1 : 1 ratio on coverslips. The cells were fixed with 4% paraformaldehyde (15 min) then permeabilized with 0.1% Triton X-100 (10min) and then blocked with 1x PBS, 0.01% Triton X-100, 5% BSA, 5% NGS. The cells were then incubated with ab314217 at 1/50 dilution overnight at 4°C followed by a further incubation at room temperature for 1h with a goat anti-rabbit secondary antibody to (Alexa Fluor® 555) at 0.5 μg/ml. Acquisition of the green (wild-type), red (antibody staining) and far-red (knockout) channels was performed. Representative grayscale images of the red channel are shown. Wild-type and knockout cells are outlined with yellow and magenta dashed line, respectively. Schematic representation of the mosaic strategy used is shown on the bottom-right panel. Image was acquired with a Zeiss(LSM-880).

This data was provided by YCharOS Inc., an open science company with the mission of characterizing commercially available antibody reagents for all human proteins. Abcam and YCharOS are working together to help address the reproducibility crisis by enabling the life science community to better evaluate commercially available antibodies.

Flow Cytometry (Intracellular) - Anti-LIMPII antibody [EPR26243-125] - BSA and Azide free (AB314218)
  • Flow Cyt (Intra)

Supplier Data

Flow Cytometry (Intracellular) - Anti-LIMPII antibody [EPR26243-125] - BSA and Azide free (AB314218)

This data was developed using ab314217, the same antibody clone in a different buffer formulation. Flow cytometric analysis of 4% paraformaldehyde fixed 90% methanol permeabilized SCARB2 KO MCF7 (human SCARB2 knockout breast adenocarcinoma epithelial cell, Left) / Parental MCF7 (Right) cells labelling LIMPII with ab314217 at 1/50 dilution (1 ug)/Red (Red) compared with a Rabbit monoclonal IgG (ab172730) (Black) isotype control and an unlabelled control (cells without incubation with primary antibody and secondary antibody) (Blue). A Goat Anti-Rabbit IgG (Alexa Fluor® 488, ab150081) at 1/5000 dilution was used as the secondary antibody.

Immunohistochemistry (Formalin/PFA-fixed paraffin-embedded sections) - Anti-LIMPII antibody [EPR26243-125] - BSA and Azide free (AB314218)
  • IHC-P

Supplier Data

Immunohistochemistry (Formalin/PFA-fixed paraffin-embedded sections) - Anti-LIMPII antibody [EPR26243-125] - BSA and Azide free (AB314218)

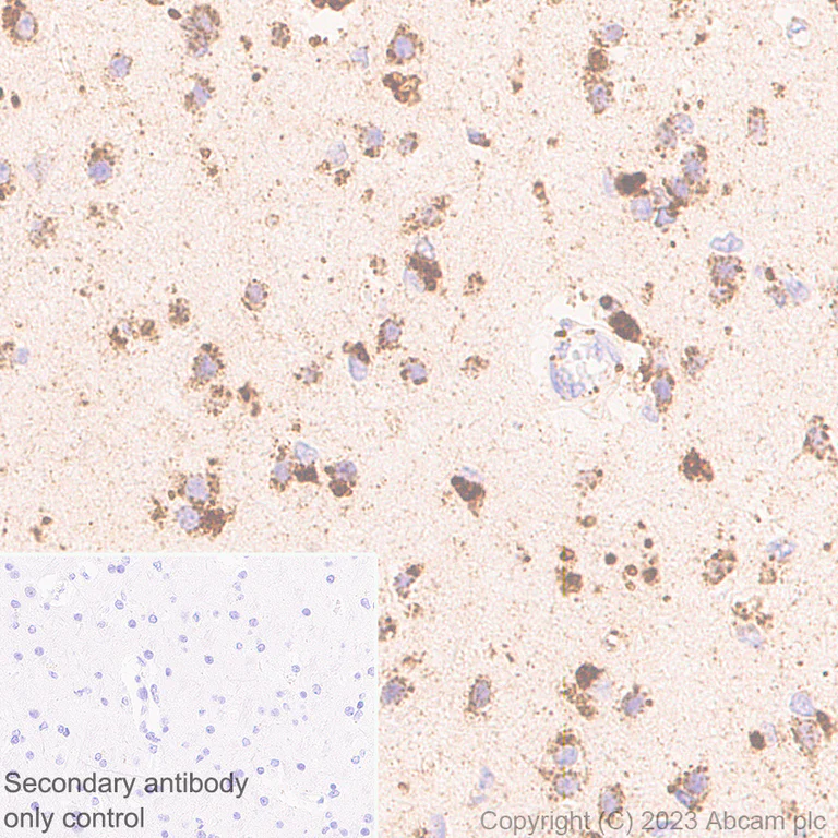
This data was developed using ab314217, the same antibody clone in a different buffer formulation. Immunohistochemical analysis of paraffin-embedded Human cerebrum tissue labeling LIMPII with ab314217 at 1/2000 (0.264 ug/ml) followed by a ready to use LeicaDS9800 (Bond™ Polymer Refine Detection). Punctate staining on human cerebrum.The section was incubated with ab314217 for 30 mins at room temperature.The immunostaining was performed on a Leica Biosystems BOND® RX instrument Counterstained with Hematoxylin. Secondary antibody only control : Secondary antibody is a ready to use LeicaDS9800 (Bond™ Polymer Refine Detection). Heat mediated antigen retrieval was performed with Tris-EDTA buffer (pH 9.0, Epitope Retrieval Solution2) for 20 mins

Immunohistochemistry (Formalin/PFA-fixed paraffin-embedded sections) - Anti-LIMPII antibody [EPR26243-125] - BSA and Azide free (AB314218)
  • IHC-P

Supplier Data

Immunohistochemistry (Formalin/PFA-fixed paraffin-embedded sections) - Anti-LIMPII antibody [EPR26243-125] - BSA and Azide free (AB314218)

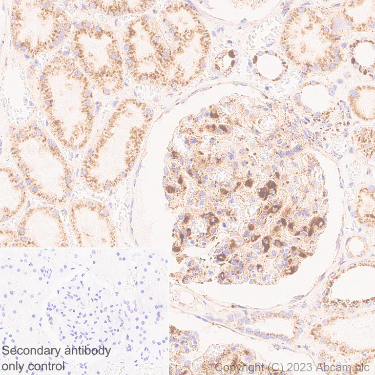
This data was developed using ab314217, the same antibody clone in a different buffer formulation. Immunohistochemical analysis of paraffin-embedded Human kindey tissue labeling LIMPII with ab314217 at 1/2000 (0.264 ug/ml) followed by a ready to use LeicaDS9800 (Bond™ Polymer Refine Detection). Punctate staining on human kidney.The section was incubated with ab314217 for 30 mins at room temperature.The immunostaining was performed on a Leica Biosystems BOND® RX instrument Counterstained with Hematoxylin. Secondary antibody only control : Secondary antibody is a ready to use LeicaDS9800 (Bond™ Polymer Refine Detection). Heat mediated antigen retrieval was performed with Tris-EDTA buffer (pH 9.0, Epitope Retrieval Solution2) for 20 mins

Immunohistochemistry (Formalin/PFA-fixed paraffin-embedded sections) - Anti-LIMPII antibody [EPR26243-125] - BSA and Azide free (AB314218)
  • IHC-P

Supplier Data

Immunohistochemistry (Formalin/PFA-fixed paraffin-embedded sections) - Anti-LIMPII antibody [EPR26243-125] - BSA and Azide free (AB314218)

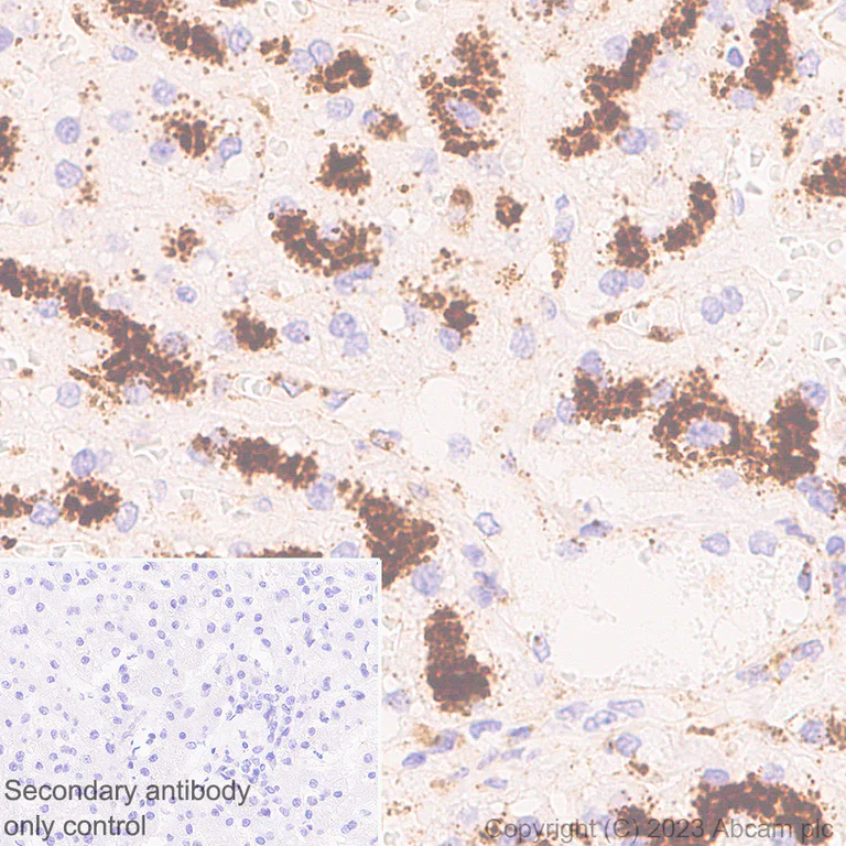
This data was developed using ab314217, the same antibody clone in a different buffer formulation. Immunohistochemical analysis of paraffin-embedded Human liver tissue labeling LIMPII with ab314217 at 1/2000 (0.264 ug/ml) followed by a ready to use LeicaDS9800 (Bond™ Polymer Refine Detection). Punctate staining on human liver.The section was incubated with ab314217 for 30 mins at room temperature.The immunostaining was performed on a Leica Biosystems BOND® RX instrument Counterstained with Hematoxylin. Secondary antibody only control : Secondary antibody is a ready to use LeicaDS9800 (Bond™ Polymer Refine Detection). Heat mediated antigen retrieval was performed with Tris-EDTA buffer (pH 9.0, Epitope Retrieval Solution2) for 20 mins.

Immunohistochemistry (Formalin/PFA-fixed paraffin-embedded sections) - Anti-LIMPII antibody [EPR26243-125] - BSA and Azide free (AB314218)
  • IHC-P

Supplier Data

Immunohistochemistry (Formalin/PFA-fixed paraffin-embedded sections) - Anti-LIMPII antibody [EPR26243-125] - BSA and Azide free (AB314218)

This data was developed using ab314217, the same antibody clone in a different buffer formulation. Immunohistochemical analysis of paraffin-embedded (A) Wild-type MCF7 (human breast adenocarcinoma epithelial cell) cell pellet (B) SCARB2 knockout MCF7 cell pellet tissue labeling LIMPII with ab314217 at 1/100 (5.27 ug/ml) followed by a ready to use LeicaDS9800 (Bond™ Polymer Refine Detection). Punctate staining on (A) MCF7 cell pellet, no staining on (B) SCARB2 knockout MCF7 cell pellet.The section was incubated with ab314217 for 30 mins at room temperature.The immunostaining was performed on a Leica Biosystems BOND® RX instrument Counterstained with Hematoxylin. Secondary antibody only control : Secondary antibody is a ready to use LeicaDS9800 (Bond™ Polymer Refine Detection). Heat mediated antigen retrieval was performed with Tris-EDTA buffer (pH 9.0, Epitope Retrieval Solution2) for 20 mins

Immunoprecipitation - Anti-LIMPII antibody [EPR26243-125] - BSA and Azide free (AB314218)
  • IP

Collaborator

Immunoprecipitation - Anti-LIMPII antibody [EPR26243-125] - BSA and Azide free (AB314218)

This data was developed using ab314217, the same antibody clone in a different buffer formulation.

Immunoprecipitation of SCARB2 in MCF7 cells. Lysates were prepared and immunoprecipitation was performed using 2 μg of ab314217 pre-coupled to Protein A beads. Samples were then washed and processed for western blot.

This data was provided by YCharOS Inc., an open science company with the mission of characterizing commercially available antibody reagents for all human proteins. Abcam and YCharOS are working together to help address the reproducibility crisis by enabling the life science community to better evaluate commercially available antibodies.

false

Immunoprecipitation - Anti-LIMPII antibody [EPR26243-125] - BSA and Azide free (AB314218)
  • IP

Supplier Data

Immunoprecipitation - Anti-LIMPII antibody [EPR26243-125] - BSA and Azide free (AB314218)

This data was developed using ab314217, the same antibody clone in a different buffer formulation. LIMPII was immunoprecipitated from 0.35 mg MCF7 (human breast adenocarcinoma epithelial cell) whole cell lysate with ab314217 at 1/30 dilution (2ug in 0.35mg lysates). Western blot was performed on the immunoprecipitate using ab314217 at 1/1000 dilution. VeriBlot for IP secondary antibody(HRP)(ab131366) was used at 1/5000 dilution. Lane 1 : MCF7 (human breast adenocarcinoma epithelial cell) whole cell lysate Lane 2 : ab314217 IP in MCF7 (human breast adenocarcinoma epithelial cell) whole cell lysate Lane 3 : Rabbit monoclonal IgG (ab172730) instead of ab314217 in MCF7 whole cell lysate Blocking and dilution buffer and concentration : 5% NFDM/TBST.

All lanes:

Immunoprecipitation - Anti-LIMPII antibody [EPR26243-125] (<a href='/en-us/products/primary-antibodies/limpii-antibody-epr26243-125-ab314217'>ab314217</a>) at 1/30 dilution

All lanes:

MCF7 (human breast adenocarcinoma epithelial cell) whole cell lysate

Secondary

All lanes:

Immunoprecipitation - VeriBlot for IP Detection Reagent (HRP) (<a href='/en-us/products/reagents/veriblot-for-ip-detection-reagent-hrp-ab131366'>ab131366</a>) at 1/5000 dilution

false

Exposure time: 8s

Western blot - Anti-LIMPII antibody [EPR26243-125] - BSA and Azide free (AB314218)
  • WB

Supplier Data

Western blot - Anti-LIMPII antibody [EPR26243-125] - BSA and Azide free (AB314218)

This data was developed using ab314217, the same antibody clone in a different buffer formulation. Blocking and diluting buffer and concentration : 5% NFDM/TBST In Western blot, Anti-GAPDH antibody [EPR16891] - Loading Control (ab181602) staining at 1/200000 dilution.

All lanes:

Western blot - Anti-LIMPII antibody [EPR26243-125] (<a href='/en-us/products/primary-antibodies/limpii-antibody-epr26243-125-ab314217'>ab314217</a>) at 1/1000 dilution

Lane 1:

A549 (human lung carcinoma epithelial cell), whole cell lysate at 20 µg

Lane 2:

U-87 MG (human glioblastoma-astrocytoma epithelial cell) whole cell lysate at 20 µg

Lane 3:

293T (human embryonic kidney epithelial cell) whole cell lysate at 20 µg

Secondary

All lanes:

Western blot - Goat Anti-Rabbit IgG H&L (HRP) (<a href='/en-us/products/secondary-antibodies/goat-rabbit-igg-h-l-hrp-ab97051'>ab97051</a>) at 1/100000 dilution

Observed band size: 75 kDa

false

Exposure time: 15s

Western blot - Anti-LIMPII antibody [EPR26243-125] - BSA and Azide free (AB314218)
  • WB

Collaborator

Western blot - Anti-LIMPII antibody [EPR26243-125] - BSA and Azide free (AB314218)

This data was developed using ab314217, the same antibody clone in a different buffer formulation.

ab314217 was shown to react with SCARB2 in wild-type MCF7 cells in Western blot with loss of signal observed in SCARB2 knockout cell line ab274952. Wild-type MCF7 and SCARB2 knockout cell lysates were subjected to SDS-PAGE. Membranes were blocked in 5% milk in TBST for 1 hr before incubation with ab314217 overnight at 4 °C at a 1/1000 dilution. Blots were incubated with secondary antibodies at 0.2 µg/mL before imaging.

This data was provided by YCharOS Inc., an open science company with the mission of characterizing commercially available antibody reagents for all human proteins. Abcam and YCharOS are working together to help address the reproducibility crisis by enabling the life science community to better evaluate commercially available antibodies.

All lanes:

Western blot - Anti-LIMPII antibody [EPR26243-125] (<a href='/en-us/products/primary-antibodies/limpii-antibody-epr26243-125-ab314217'>ab314217</a>) at 1/1000 dilution

Lane 1:

Wild-type MCF7 lysate at 30 µg

Lane 2:

SCARB2 knock-out MCF7 lysate at 30 µg

Lane 2:

Western blot - Human SCARB2 knockout MCF7 cell line (<a href='/en-us/products/cell-lines/human-scarb2-knockout-mcf7-cell-line-ab274952'>ab274952</a>) at 30 µg

false

Western blot - Anti-LIMPII antibody [EPR26243-125] - BSA and Azide free (AB314218)
  • WB

Supplier Data

Western blot - Anti-LIMPII antibody [EPR26243-125] - BSA and Azide free (AB314218)

This data was developed using ab314217, the same antibody clone in a different buffer formulation. Blocking and diluting buffer and concentration : 5% NFDM/TBST In Western blot, ab314217 was shown to bind specifically to LIMPII. A band was observed at 75 kDa in wild-type MCF7 cell lysates whereas loss of signal was observed in the SCARB2 knockout cell line ab274952(knockout cell lysate ab275010). In Western blot, Anti-GAPDH antibody [EPR16891] - Loading Control (ab181602) staining at 1/200000 dilution.

All lanes:

Western blot - Anti-LIMPII antibody [EPR26243-125] (<a href='/en-us/products/primary-antibodies/limpii-antibody-epr26243-125-ab314217'>ab314217</a>) at 1/1000 dilution

Lane 1:

MCF7 (human breast adenocarcinoma epithelial cell) whole cell lysate at 20 µg

Lane 2:

SCARB2 knockout MCF7 whole cell lysate at 20 µg

Lane 3:

HeLa (human cervical adenocarcinoma epithelial cell) whole cell lysate at 20 µg

Lane 4:

SH-SY5Y (human neuroblastoma epithelial cell) whole cell lysate at 20 µg

Secondary

All lanes:

Western blot - Goat Anti-Rabbit IgG H&L (HRP) (<a href='/en-us/products/secondary-antibodies/goat-rabbit-igg-h-l-hrp-ab97051'>ab97051</a>) at 1/100000 dilution

Observed band size: 75 kDa

false

Exposure time: 15s

Western blot - Anti-LIMPII antibody [EPR26243-125] - BSA and Azide free (AB314218)
  • WB

Supplier Data

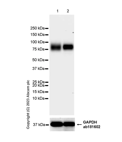
Western blot - Anti-LIMPII antibody [EPR26243-125] - BSA and Azide free (AB314218)

This data was developed using ab314217, the same antibody clone in a different buffer formulation. Blocking and diluting buffer and concentration : 5% NFDM/TBST In Western blot, Anti-GAPDH antibody [EPR16891] - Loading Control (ab181602) staining at 1/200000 dilution.

All lanes:

Western blot - Anti-LIMPII antibody [EPR26243-125] (<a href='/en-us/products/primary-antibodies/limpii-antibody-epr26243-125-ab314217'>ab314217</a>) at 1/1000 dilution

Lane 1:

Human kidney tissue lysate at 20 µg

Lane 2:

Human liver tissue lysate at 20 µg

Secondary

All lanes:

Western blot - Goat Anti-Rabbit IgG H&L (HRP) (<a href='/en-us/products/secondary-antibodies/goat-rabbit-igg-h-l-hrp-ab97051'>ab97051</a>) at 1/100000 dilution

Observed band size: 75 kDa

false

Exposure time: 15s

Key facts

Host species

Rabbit

Clonality

Monoclonal

Clone number

EPR26243-125

Isotype

IgG

Carrier free

Yes

Reacts with

Human

Applications

ICC/IF, IHC-P, WB, IP, Flow Cyt (Intra)

applications

Immunogen

The exact immunogen used to generate this antibody is proprietary information.

Reactivity data

{ "title": "Reactivity Data", "filters": { "stats": ["", "Species", "Dilution Info", "Notes"], "tabs": { "all-applications": {"fullname" : "All Applications", "shortname": "All Applications"}, "WB" : {"fullname" : "Western blot", "shortname":"WB"}, "ICCIF" : {"fullname" : "Immunocytochemistry/ Immunofluorescence", "shortname":"ICC/IF"}, "FlowCytIntra" : {"fullname" : "Flow Cytometry (Intracellular)", "shortname":"Flow Cyt (Intra)"}, "IP" : {"fullname" : "Immunoprecipitation", "shortname":"IP"}, "IHCP" : {"fullname" : "Immunohistochemistry (Formalin/PFA-fixed paraffin-embedded sections)", "shortname":"IHC-P"} }, "product-promise": { "all": "all", "testedAndGuaranteed": "tested", "guaranteed": "expected", "predicted": "predicted", "notRecommended": "not-recommended" } }, "values": { "Human": { "WB-species-checked": "testedAndGuaranteed", "WB-species-dilution-info": "", "WB-species-notes": "<p></p>", "ICCIF-species-checked": "testedAndGuaranteed", "ICCIF-species-dilution-info": "", "ICCIF-species-notes": "<p></p>", "FlowCytIntra-species-checked": "testedAndGuaranteed", "FlowCytIntra-species-dilution-info": "", "FlowCytIntra-species-notes": "<p></p>", "IP-species-checked": "testedAndGuaranteed", "IP-species-dilution-info": "", "IP-species-notes": "<p></p>", "IHCP-species-checked": "testedAndGuaranteed", "IHCP-species-dilution-info": "", "IHCP-species-notes": "<p></p>" }, "Mouse": { "WB-species-checked": "notRecommended", "WB-species-dilution-info": "", "WB-species-notes": "<p></p>", "ICCIF-species-checked": "notRecommended", "ICCIF-species-dilution-info": "", "ICCIF-species-notes": "<p></p>", "FlowCytIntra-species-checked": "notRecommended", "FlowCytIntra-species-dilution-info": "", "FlowCytIntra-species-notes": "<p></p>", "IP-species-checked": "notRecommended", "IP-species-dilution-info": "", "IP-species-notes": "", "IHCP-species-checked": "notRecommended", "IHCP-species-dilution-info": "", "IHCP-species-notes": "<p></p>" }, "Rat": { "WB-species-checked": "notRecommended", "WB-species-dilution-info": "", "WB-species-notes": "<p></p>", "ICCIF-species-checked": "notRecommended", "ICCIF-species-dilution-info": "", "ICCIF-species-notes": "", "FlowCytIntra-species-checked": "notRecommended", "FlowCytIntra-species-dilution-info": "", "FlowCytIntra-species-notes": "", "IP-species-checked": "notRecommended", "IP-species-dilution-info": "", "IP-species-notes": "", "IHCP-species-checked": "notRecommended", "IHCP-species-dilution-info": "", "IHCP-species-notes": "<p></p>" } } }

Product details

Patented technology
Our RabMAb® technology is a patented hybridoma-based technology for making rabbit monoclonal antibodies. For details on our patents, please refer to RabMAb® patents.

What are the advantages of a recombinant monoclonal antibody?
This product is a recombinant monoclonal antibody, which offers several advantages including:

  • - High batch-to-batch consistency and reproducibility
  • - Improved sensitivity and specificity
  • - Long-term security of supply
  • - Animal-free batch production

For more information, read more on recombinant antibodies.

Conjugation ready
Our carrier-free antibodies are typically supplied in a PBS-only formulation, purified and free of BSA, sodium azide and glycerol. This conjugation-ready format is designed for use with fluorochromes, metal isotopes, oligonucleotides, and enzymes, which makes them ideal for antibody labelling, functional and cell-based assays, flow-based assays (e.g. mass cytometry) and Multiplex Imaging applications.

Use our conjugation kits for antibody conjugates that are ready-to-use in as little as 20 minutes with 1 minute hands-on-time and 100% antibody recovery: available for fluorescent dyes, HRP, biotin and gold.

Compatibility
This product is compatible with the Maxpar® Antibody Labeling Kit from Fluidigm, without the need for antibody preparation. Maxpar® is a trademark of Fluidigm Canada Inc.

Properties and storage information

Form
Liquid
Purification technique
Affinity purification Protein A
Storage buffer
pH: 7.2 - 7.4 Constituents: PBS
Shipped at conditions
Blue Ice
Appropriate short-term storage conditions
+4°C
Appropriate long-term storage conditions
+4°C

Supplementary information

This supplementary information is collated from multiple sources and compiled automatically.

LIMPII also known as LIMP-2 is a lysosomal membrane protein involved in the transport and degradation processes within cells. It has an approximate molecular mass of 54 kDa. LIMPII is mainly expressed in the lysosomal membranes of a variety of tissues notably in the kidney liver and spleen. Its structural characteristics enable it to function effectively within these cellular organelles delivering enzymes and other molecules essential for cellular maintenance and function.
Biological function summary

The protein plays a critical role in lipid and protein degradation and helps maintain cellular homeostasis. As part of the lysosomal membrane LIMPII facilitates the uptake and processing of large biomolecules into the lysosome. It functions as a receptor for the uptake of β-glucocerebrosidase forming a complex to assist in its proper delivery from the endoplasmic reticulum to the lysosomes. This receptor-ligand relationship ensures efficient enzymatic activity necessary for lipid metabolism.

Pathways

One finds that LIMPII participates in the sphingolipid metabolism pathway and is vital for glucosylceramide catabolism. It interacts with glucocerebrosidase in this pathway which plays a significant role in the metabolism of glycosphingolipids. Another pathway where LIMPII has importance is the autophagy pathway where it contributes to the fusion of autophagosomes with lysosomes. Its activity supports the turnover of cellular components maintaining cellular metabolic balance.

LIMPII's dysfunction has links to Gaucher's disease and atherosclerosis. Both conditions relate to improper lipid metabolism. In Gaucher's disease the interaction between LIMPII and glucocerebrosidase becomes disrupted leading to lysosomal storage issues. In contrast altered expressions of LIMPII correlate with atherosclerosis possibly due to its role in lipid processing. These associations suggest that LIMPII could be a significant factor in therapeutic approaches for these diseases.

Product protocols

For this product, it's our understanding that no specific protocols are required. You can visit:

Target data

Acts as a lysosomal receptor for glucosylceramidase (GBA1) targeting.. (Microbial infection) Acts as a receptor for enterovirus 71.
See full target information SCARB2

Product promise

We are committed to supporting your work with high-quality reagents, and we're here for you every step of the way. In the unlikely event that one of our products does not perform as expected, you're protected by our Product Promise.
For full details, please see our Terms & Conditions

Please note: All products are 'FOR RESEARCH USE ONLY. NOT FOR USE IN DIAGNOSTIC OR THERAPEUTIC PROCEDURES'.

For licensing inquiries, please contact partnerships@abcam.com