JavaScript is disabled in your browser. Please enable JavaScript to view this website.
AB155542

Anti-Lin28A antibody

4

(3 Reviews)

|

(2 Publications)

Rabbit Polyclonal Lin28A antibody. Suitable for Flow Cyt, WB, IHC-P and reacts with Human, Mouse samples. Cited in 2 publications. Immunogen corresponding to Recombinant Fragment Protein within Human LIN28A aa 1-200.

View Alternative Names

CSDD1, LIN28, ZCCHC1, LIN28A, Protein lin-28 homolog A, Lin-28A, Zinc finger CCHC domain-containing protein 1

4 Images
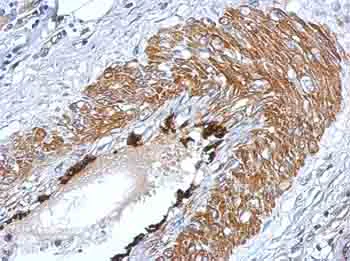
Immunohistochemistry (Formalin/PFA-fixed paraffin-embedded sections) - Anti-Lin28A antibody (AB155542)
  • IHC-P

Unknown

Immunohistochemistry (Formalin/PFA-fixed paraffin-embedded sections) - Anti-Lin28A antibody (AB155542)

Immunohistochemical analysis of paraffin-embedded Human gastric cancer tissue, labeling Lin28A with ab155542 at 1/500 dilution.

Flow Cytometry - Anti-Lin28A antibody (AB155542)
  • Flow Cyt

Unknown

Flow Cytometry - Anti-Lin28A antibody (AB155542)

Flow cytometry on Human embryonic stem cells, labeling Lin28A with ab155542 1/100 dilution (purple) or Rabbit IgG (Black)

Western blot - Anti-Lin28A antibody (AB155542)
  • WB

Supplier Data

Western blot - Anti-Lin28A antibody (AB155542)

Samples were separated by 12% SDS-PAGE.

All lanes:

Western blot - Anti-Lin28A antibody (ab155542) at 1/5000 dilution

All lanes:

hESC whole cell lysate at 20 µg

Secondary

All lanes:

HRP-conjugated anti-rabbit IgG antibody

Predicted band size: 23 kDa

false

Western blot - Anti-Lin28A antibody (AB155542)
  • WB

Unknown

Western blot - Anti-Lin28A antibody (AB155542)

12% SDS PAGE

All lanes:

Western blot - Anti-Lin28A antibody (ab155542) at 1/3000 dilution

All lanes:

Mouse ESC whole cell lysate at 20 µg

Predicted band size: 23 kDa

false

Key facts

Host species

Rabbit

Clonality

Polyclonal

Isotype

IgG

Carrier free

No

Reacts with

Mouse, Human

Applications

WB, Flow Cyt, IHC-P

applications

Immunogen

Recombinant Fragment Protein within Human LIN28A aa 1-200. The exact immunogen used to generate this antibody is proprietary information.

Q9H9Z2

Reactivity data

{ "title": "Reactivity Data", "filters": { "stats": ["", "Species", "Dilution Info", "Notes"], "tabs": { "all-applications": {"fullname" : "All Applications", "shortname": "All Applications"}, "FlowCyt" : {"fullname" : "Flow Cytometry", "shortname":"Flow Cyt"}, "WB" : {"fullname" : "Western blot", "shortname":"WB"}, "IHCP" : {"fullname" : "Immunohistochemistry (Formalin/PFA-fixed paraffin-embedded sections)", "shortname":"IHC-P"} }, "product-promise": { "all": "all", "testedAndGuaranteed": "tested", "guaranteed": "expected", "predicted": "predicted", "notRecommended": "not-recommended" } }, "values": { "Human": { "FlowCyt-species-checked": "testedAndGuaranteed", "FlowCyt-species-dilution-info": "1/50 - 1/200", "FlowCyt-species-notes": "<p><a href='/en-us/products/primary-antibodies/rabbit-igg-polyclonal-isotype-control-chip-grade-ab171870'>ab171870</a> - Rabbit polyclonal IgG, is suitable for use as an isotype control with this antibody.</p>", "WB-species-checked": "testedAndGuaranteed", "WB-species-dilution-info": "1/500 - 1/10000", "WB-species-notes": "<p></p>", "IHCP-species-checked": "testedAndGuaranteed", "IHCP-species-dilution-info": "1/100 - 1/1000", "IHCP-species-notes": "<p></p>" }, "Mouse": { "FlowCyt-species-checked": "guaranteed", "FlowCyt-species-dilution-info": "", "FlowCyt-species-notes": "", "WB-species-checked": "testedAndGuaranteed", "WB-species-dilution-info": "1/500 - 1/10000", "WB-species-notes": "<p></p>", "IHCP-species-checked": "guaranteed", "IHCP-species-dilution-info": "", "IHCP-species-notes": "" }, "Cow": { "FlowCyt-species-checked": "predicted", "FlowCyt-species-dilution-info": "", "FlowCyt-species-notes": "", "WB-species-checked": "predicted", "WB-species-dilution-info": "", "WB-species-notes": "", "IHCP-species-checked": "predicted", "IHCP-species-dilution-info": "", "IHCP-species-notes": "" } } }

Properties and storage information

Form
Liquid
Purification technique
Affinity purification Immunogen
Storage buffer
pH: 7 Preservative: 0.01% Thimerosal (merthiolate) Constituents: PBS, 20% Glycerol (glycerin, glycerine), 1% BSA
Shipped at conditions
Blue Ice
Appropriate short-term storage conditions
+4°C
Appropriate long-term storage conditions
-20°C
Aliquoting information
Upon delivery aliquot
Storage information
Avoid freeze / thaw cycle

Product protocols

For this product, it's our understanding that no specific protocols are required. You can visit:

Target data

RNA-binding protein that inhibits processing of pre-let-7 miRNAs and regulates translation of mRNAs that control developmental timing, pluripotency and metabolism (PubMed : 21247876). Seems to recognize a common structural G-quartet (G4) feature in its miRNA and mRNA targets (Probable). 'Translational enhancer' that drives specific mRNAs to polysomes and increases the efficiency of protein synthesis. Its association with the translational machinery and target mRNAs results in an increased number of initiation events per molecule of mRNA and, indirectly, in mRNA stabilization. Binds IGF2 mRNA, MYOD1 mRNA, ARBP/36B4 ribosomal protein mRNA and its own mRNA. Essential for skeletal muscle differentiation program through the translational up-regulation of IGF2 expression. Suppressor of microRNA (miRNA) biogenesis, including that of let-7, miR107, miR-143 and miR-200c. Specifically binds the miRNA precursors (pre-miRNAs), recognizing an 5'-GGAG-3' motif found in pre-miRNA terminal loop, and recruits TUT4 and TUT7 uridylyltransferases (PubMed : 18951094, PubMed : 19703396, PubMed : 22118463, PubMed : 22898984). This results in the terminal uridylation of target pre-miRNAs (PubMed : 18951094, PubMed : 19703396, PubMed : 22118463, PubMed : 22898984). Uridylated pre-miRNAs fail to be processed by Dicer and undergo degradation. The repression of let-7 expression is required for normal development and contributes to maintain the pluripotent state by preventing let-7-mediated differentiation of embryonic stem cells (PubMed : 18951094, PubMed : 19703396, PubMed : 22118463, PubMed : 22898984). Localized to the periendoplasmic reticulum area, binds to a large number of spliced mRNAs and inhibits the translation of mRNAs destined for the ER, reducing the synthesis of transmembrane proteins, ER or Golgi lumen proteins, and secretory proteins. Binds to and enhances the translation of mRNAs for several metabolic enzymes, such as PFKP, PDHA1 or SDHA, increasing glycolysis and oxidative phosphorylation. Which, with the let-7 repression may enhance tissue repair in adult tissue (By similarity).
See full target information LIN28A

Publications (2)

Recent publications for all applications. Explore the full list and refine your search

American journal of physiology. Cell physiology 319:C541-C551 PubMed32697599

2020

Regulation of Lin28a-miRNA pathway in skeletal muscle cells by peroxisome proliferator-activated receptor delta.

Applications

Unspecified application

Species

Unspecified reactive species

Hygor N Araujo,Tanes I Lima,Dimitrius Santiago P S F Guimarães,Andre G Oliveira,Bianca C Favero-Santos,Renato C S Branco,Rafaela Mariano da Silva Araújo,Alvaro F B Dantas,Alex Castro,Mara Patrícia T Chacon-Mikahil,Elaine Minatel,Murilo V Geraldo,Everardo Magalhães Carneiro,Alice C Rodrigues,Vihang A Narkar,Leonardo R Silveira

EBioMedicine 39:301-314 PubMed30502053

2018

H. pylori infection induced BMAL1 expression and rhythm disorder aggravate gastric inflammation.

Applications

Unspecified application

Species

Unspecified reactive species

Tongyu Li,Wei Shao,Shuyan Li,Lin Ma,Lixin Zheng,Wenjing Shang,Xiaxia Jia,Pengpeng Sun,Xiuming Liang,Jihui Jia
View all publications

Product promise

We are committed to supporting your work with high-quality reagents, and we're here for you every step of the way. In the unlikely event that one of our products does not perform as expected, you're protected by our Product Promise.
For full details, please see our Terms & Conditions

Please note: All products are 'FOR RESEARCH USE ONLY. NOT FOR USE IN DIAGNOSTIC OR THERAPEUTIC PROCEDURES'.

For licensing inquiries, please contact partnerships@abcam.com