JavaScript is disabled in your browser. Please enable JavaScript to view this website.
AB279647

Anti-Lin28A antibody [EPR24286-100]

  • BOND RX™ Validated
  • 20ul selling size
  • RabMAb
  • Recombinant
  • Advanced Validation
  • What is this?

Be the first to review this product! Submit a review

|

(8 Publications)

Rabbit Recombinant Monoclonal Lin28A antibody. Suitable for ICC/IF, IP, WB, IHC-Fr, Flow Cyt (Intra), IHC-P, mIHC and reacts with Mouse, Human, Rat samples. Cited in 8 publications.

View Alternative Names

CSDD1, LIN28, ZCCHC1, LIN28A, Protein lin-28 homolog A, Lin-28A, Zinc finger CCHC domain-containing protein 1

17 Images
Multiplex immunohistochemistry - Anti-Lin28A antibody [EPR24286-100] (AB279647)
  • mIHC

Lab

Multiplex immunohistochemistry - Anti-Lin28A antibody [EPR24286-100] (AB279647)

Immunohistochemistry analysis of Formalin/PFA-fixed paraffin-embedded sections Rat testis tissue labelling Lin28A with ab279647 at 1 : 1000 dilution (B), Wilms Tumor Protein with ab267377 at 1 : 500 dilution (C) and DKKL1 with ab316308 at 1 : 2000 dilution (D). Opal Polymer HRP Ms + Rb was used as a secondary antibody, and DAPI was used for a nuclear counter stain. Heat mediated antigen retrieval with Tris-EDTA buffer (pH 9.0, epitope retrieval solution2) for 20 mins.

Panel A : merged staining of anti-Lin28A (green; Opal™520), anti-Wilms Tumor Protein (magenta; Opal™690) and anti-DKKL1 (gray; Opal™570) on rat testis.

Panel B : anti-Lin28A staining undifferentiated spermatogonia in rat testis.

Panel C : ant-Wilms Tumor Protein staining Sertoli cells in rat testis.

Panel D : ant-DKKL11 staining mature sperm cells in rat testis.

Nuclear DNA was labeled with DAPI (shown in blue).

The section was incubated in three rounds of staining : in the order of ab279647, ab267377 and ab316308 for 30 mins at room temperature. Each round was followed by a separate fluorescent tyramide signal amplification system.

The immunostaining was performed on a Leica Biosystems BOND® RX instrument with an Opal™ 4-color kit. Image acquisition was performed with Leica SP8 confocal microscope.

Multiplex immunohistochemistry - Anti-Lin28A antibody [EPR24286-100] (AB279647)
  • mIHC

Lab

Multiplex immunohistochemistry - Anti-Lin28A antibody [EPR24286-100] (AB279647)

Immunohistochemistry analysis of Formalin/PFA-fixed paraffin-embedded sections Mouse testis tissue labelling Lin28A with ab279647 at 1 : 1000 dilution (B), STAT4 with ab284408 at 1 : 500 dilution (C) and SCP1 with [ab303520 at 1 : 500 dilution (D). Opal Polymer HRP Ms + Rb was used as a secondary antibody, and DAPI was used for a nuclear counter stain. Heat mediated antigen retrieval with Tris-EDTA buffer (pH 9.0, epitope retrieval solution2) for 20 mins.

Panel A : merged staining of anti-Lin28A (green; Opal™520), anti-STAT4 (magenta; Opal™690) and anti-SCP1 (gray; Opal™570) on mouse testis.

Panel B : anti-Lin28A staining undifferentiated spermatogonia in mouse testis.

Panel C : ant-STAT4 staining round spermatids (rs) and elongated spermatids (es) in mouse testis.

Panel D : ant-SCP1 staining spermatocytes in mouse testis.

Nuclear DNA was labeled with DAPI (shown in blue).

The section was incubated in three rounds of staining : in the order of ab279647, ab284408 and ab303520 for 30 mins at room temperature. Each round was followed by a separate fluorescent tyramide signal amplification system.

The immunostaining was performed on a Leica Biosystems BOND® RX instrument with an Opal™ 4-color kit. Image acquisition was performed with Leica SP8 confocal microscope.

Multiplex immunohistochemistry - Anti-Lin28A antibody [EPR24286-100] (AB279647)
  • mIHC

Lab

Multiplex immunohistochemistry - Anti-Lin28A antibody [EPR24286-100] (AB279647)

Immunohistochemistry analysis of Formalin/PFA-fixed paraffin-embedded sections Rat testis labelling Lin28A with ab279647 at 1 : 1000 dilution (B), STAT4 with ab284408 at 1 : 500 dilution (C) and SCP1 with ab303520 at 1 : 500 dilution (D). Opal Polymer HRP Ms + Rb was used as a secondary antibody, and DAPI was used for a nuclear counter stain. Heat mediated antigen retrieval with Tris-EDTA buffer (pH 9.0, epitope retrieval solution2) for 20 mins.

Panel A : merged staining of anti-Lin28A (green; Opal™520), anti-STAT4 (magenta; Opal™690) and anti-SCP1 (gray; Opal™570) on rat testis.

Panel B : anti-Lin28A staining undifferentiated spermatogonia in rat testis.

Panel C : ant-STAT4 staining round spermatids (rs) and elongated spermatids (es) in rat testis.

Panel D : ant-SCP1 staining spermatocytes in rat testis.

Nuclear DNA was labeled with DAPI (shown in blue).

The section was incubated in three rounds of staining : in the order of ab279647, ab284408 and ab303520 for 30 mins at room temperature. Each round was followed by a separate fluorescent tyramide signal amplification system.

The immunostaining was performed on a Leica Biosystems BOND® RX instrument with an Opal™ 4-color kit. Image acquisition was performed with Leica SP8 confocal microscope.

Multiplex immunohistochemistry - Anti-Lin28A antibody [EPR24286-100] (AB279647)
  • mIHC

Lab

Multiplex immunohistochemistry - Anti-Lin28A antibody [EPR24286-100] (AB279647)

Immunohistochemistry analysis of Formalin/PFA-fixed paraffin-embedded sections Mouse testis tissue labelling Lin28A with ab279647 at 1 : 1000 dilution (B), Wilms Tumor Protein with ab267377 at 1 : 500 dilution (C) and DKKL1 with ab316308 at 1 : 2000 dilution (D). Opal Polymer HRP Ms + Rb was used as a secondary antibody, and DAPI was used for a nuclear counter stain. Heat mediated antigen retrieval with Tris-EDTA buffer (pH 9.0, epitope retrieval solution2) for 20 mins.

Panel A : merged staining of anti-Lin28A (green; Opal™520), anti-Wilms Tumor Protein (magenta; Opal™690) and anti-DKKL1 (gray; Opal™570) on rat testis.

Panel B : anti-Lin28A staining undifferentiated spermatogonia in rat testis.

Panel C : ant-Wilms Tumor Protein staining Sertoli cells in rat testis.

Panel D : ant-DKKL11 staining mature sperm cells in rat testis.

Nuclear DNA was labeled with DAPI (shown in blue).

The section was incubated in three rounds of staining : in the order of ab279647, ab267377 and ab316308 for 30 mins at room temperature. Each round was followed by a separate fluorescent tyramide signal amplification system.

The immunostaining was performed on a Leica Biosystems BOND® RX instrument with an Opal™ 4-color kit. Image acquisition was performed with Leica SP8 confocal microscope.

Flow Cytometry (Intracellular) - Anti-Lin28A antibody [EPR24286-100] (AB279647)
  • Flow Cyt (Intra)

Supplier Data

Flow Cytometry (Intracellular) - Anti-Lin28A antibody [EPR24286-100] (AB279647)

Flow cytometric analysis of 4% paraformaldehyde fixed 90% methanol permeabilized HEK-293T (human embryonic kidney epithelial cell, Left panel) / NCCIT (human pluripotent embryonic carcinoma epithelial cell, Right panel) cells labeling Lin28A with ab279647 at 1/500 dilution (Red) compared with a Rabbit monoclonal IgG (ab172730) (Black) isotype control and an unlabeled control (cells without incubation with primary antibody and secondary antibody) (Blue). Goat anti rabbit IgG (Alexa Fluor® 488, ab150077) at 1/2000 dilution was used as the secondary antibody.

Negative control : HEK-293T (PMID : 25479749).

Immunohistochemistry (Formalin/PFA-fixed paraffin-embedded sections) - Anti-Lin28A antibody [EPR24286-100] (AB279647)
  • IHC-P

Supplier Data

Immunohistochemistry (Formalin/PFA-fixed paraffin-embedded sections) - Anti-Lin28A antibody [EPR24286-100] (AB279647)

Immunohistochemical analysis of paraffin-embedded rat testis tissue labeling Lin28A with ab279647 at 1/1000 dilution followed by ready to use LeicaDS9800 (Bond™ Polymer Refine Detection). Positive staining on rat undifferentiated spermatogonia. The section was incubated with ab279647 for 30 mins at room temperature. The immunostaining was performed on a Leica Biosystems BOND® RX instrument. Counterstained with Hematoxylin.

Secondary antibody only control : Secondary antibody is a ready to use LeicaDS9800 (Bond™ Polymer Refine Detection).

Heat mediated antigen retrieval with Tris-EDTA buffer (pH 9.0, epitope retrieval solution2) for 20 mins.

Flow Cytometry (Intracellular) - Anti-Lin28A antibody [EPR24286-100] (AB279647)
  • Flow Cyt (Intra)

Supplier Data

Flow Cytometry (Intracellular) - Anti-Lin28A antibody [EPR24286-100] (AB279647)

Flow cytometric analysis of 4% paraformaldehyde fixed 90% methanol permeabilized NIH/3T3 (mouse embryonic fibroblast, Left panel) / F9 (mouse embryonal carcinoma epithelial cell, Right panel) cells labeling Lin28A with ab279647 at 1/500 dilution (Red) compared with a Rabbit monoclonal IgG (ab172730) (Black) isotype control and an unlabeled control (cells without incubation with primary antibody and secondary antibody) (Blue). A Goat anti rabbit IgG (Alexa Fluor® 488, ab150077) at 1/2000 dilution was used as the secondary antibody.

Negative control : NIH/3T3 (PMID : 21962509).

Immunocytochemistry/ Immunofluorescence - Anti-Lin28A antibody [EPR24286-100] (AB279647)
  • ICC/IF

Supplier Data

Immunocytochemistry/ Immunofluorescence - Anti-Lin28A antibody [EPR24286-100] (AB279647)

Immunofluorescent analysis of 4% Paraformaldehyde-fixed, 0.1% Triton X-100 permeabilized F9 (mouse embryonal carcinoma epithelial cell line) cells labelling Lin28A with ab279647 at 1/500 dilution, followed by ab150077 Goat Anti-Rabbit IgG H&L (Alexa Fluor® 488) antibody at 1/1000 dilution (Green). Confocal image showing nucleolar and cytoplasmic staining in F9 cell line. ab195889 Anti-alpha Tubulin mouse monoclonal antibody - Microtubule Marker (Alexa Fluor® 594) was used to counterstain tubulin at 1/200 dilution (Red). The nuclear counterstain was DAPI (Blue).

Negative control : NIH/3T3 (PMID : 21962509).

Secondary antibody only control : Secondary antibody is ab150077 Goat Anti-Rabbit IgG H&L (Alexa Fluor® 488) at 1/1000 dilution.

Immunohistochemistry (Formalin/PFA-fixed paraffin-embedded sections) - Anti-Lin28A antibody [EPR24286-100] (AB279647)
  • IHC-P

Supplier Data

Immunohistochemistry (Formalin/PFA-fixed paraffin-embedded sections) - Anti-Lin28A antibody [EPR24286-100] (AB279647)

Immunohistochemical analysis of paraffin-embedded mouse testis tissue labeling Lin28A with ab279647 at 1/1000 dilution followed by ready to use LeicaDS9800 (Bond™ Polymer Refine Detection). Positive staining on mouse undifferentiated spermatogonia (PMID : 32094118). The section was incubated with ab279647 for 30 mins at room temperature. The immunostaining was performed on a Leica Biosystems BON RX instrument. Counterstained with Hematoxylin.

Secondary antibody only control : Secondary antibody is ready to use LeicaDS9800 (Bond™ Polymer Refine Detection).

Heat mediated antigen retrieval with Tris-EDTA buffer (pH 9.0, epitope retrieval solution2) for 20 mins.

Immunohistochemistry (Formalin/PFA-fixed paraffin-embedded sections) - Anti-Lin28A antibody [EPR24286-100] (AB279647)
  • IHC-P

Supplier Data

Immunohistochemistry (Formalin/PFA-fixed paraffin-embedded sections) - Anti-Lin28A antibody [EPR24286-100] (AB279647)

Immunohistochemical analysis of paraffin-embedded mouse liver tissue labeling Lin28A with ab279647 at 1/1000 dilution followed by ready to use LeicaDS9800 (Bond™ Polymer Refine Detection). The section was incubated with ab279647 for 30 mins at room temperature. The immunostaining was performed on a Leica Biosystems BOND® RX instrument. Counterstained with Hematoxylin.

Negative control : no staining on mouse liver (PMID : 11279525).

Secondary antibody only control : Secondary antibody is ready to use LeicaDS9800 (Bond™ Polymer Refine Detection).

Heat mediated antigen retrieval with Tris-EDTA buffer (pH 9.0, epitope retrieval solution2) for 20 mins.

Immunohistochemistry (Formalin/PFA-fixed paraffin-embedded sections) - Anti-Lin28A antibody [EPR24286-100] (AB279647)
  • IHC-P

Supplier Data

Immunohistochemistry (Formalin/PFA-fixed paraffin-embedded sections) - Anti-Lin28A antibody [EPR24286-100] (AB279647)

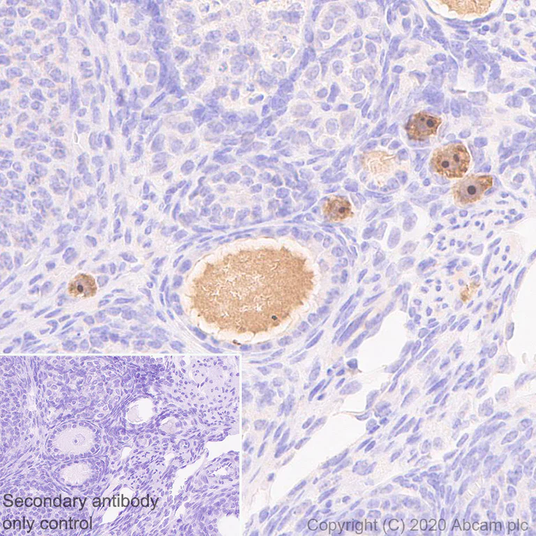
Immunohistochemical analysis of paraffin-embedded mouse ovary tissue labeling Lin28A with ab279647 at 1/1000 dilution followed by ready to use LeicaDS9800 (Bond™ Polymer Refine Detection). Positive staining on mouse oocytes (PMID : 23378032). The section was incubated with ab279647 for 30 mins at room temperature. The immunostaining was performed on a Leica Biosystems BOND® RX instrument. Counterstained with Hematoxylin.

Secondary antibody only control : Secondary antibody is a ready to use LeicaDS9800 (Bond™ Polymer Refine Detection).

Heat mediated antigen retrieval with Tris-EDTA buffer (pH 9.0, epitope retrieval solution2) for 20 mins.

Immunohistochemistry (Frozen sections) - Anti-Lin28A antibody [EPR24286-100] (AB279647)
  • IHC-Fr

Supplier Data

Immunohistochemistry (Frozen sections) - Anti-Lin28A antibody [EPR24286-100] (AB279647)

Immunohistochemical analysis of 4% PFA-fixed, 0.2% Triton X-100 permeabilized frozen mouse testis tissue labeling Lin28A with ab279647 at 1/100 dilution followed by ab150077 Goat Anti-Rabbit IgG H&L (Alexa Fluor® 488) at 1/1000 dilution (Green). Positive staining on mouse undifferentiated spermatogonia (PMID : 32094118) is observed. The nuclear counterstain was DAPI (Blue).

Secondary antibody control : Secondary antibody is ab150077 Goat Anti-Rabbit IgG H&L (Alexa Fluor® 488)at 1/1000 dilution.

Heat mediated antigen retrieval using sodium citrate buffer (10mM citrate pH 6.0 + 0.05% Tween-20).

Immunocytochemistry/ Immunofluorescence - Anti-Lin28A antibody [EPR24286-100] (AB279647)
  • ICC/IF

Supplier Data

Immunocytochemistry/ Immunofluorescence - Anti-Lin28A antibody [EPR24286-100] (AB279647)

Immunofluorescent analysis of 4% Paraformaldehyde-fixed, 0.1% Triton X-100 permeabilized NCCIT (human pluripotent embryonic carcinoma epithelial cell line) cells labeling Lin28A with ab279647 at 1/500 dilution, followed by ab150077 Goat Anti-Rabbit IgG H&L (Alexa Fluor® 488) antibody at 1/1000 dilution (Green). Confocal image showing nucleolar and cytoplasmic staining in NCCIT cell line. ab195889 Anti-alpha Tubulin mouse monoclonal antibody - Microtubule Marker (Alexa Fluor® 594) was used to counterstain tubulin at 1/200 (Red). The nuclear counterstain was DAPI (Blue).

Negative control : HEK-293T (PMID : 25479749).

Secondary antibody only control : Secondary antibody is ab150077 Goat Anti-Rabbit IgG H&L (Alexa Fluor® 488) at 1/1000 dilution.

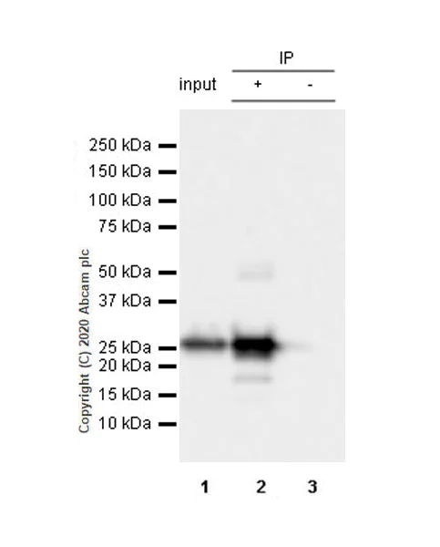
Immunoprecipitation - Anti-Lin28A antibody [EPR24286-100] (AB279647)
  • IP

Supplier Data

Immunoprecipitation - Anti-Lin28A antibody [EPR24286-100] (AB279647)

Lin28A was immunoprecipitated from 0.35 mg F9 (mouse embryonal carcinoma epithelial cell) whole cell lysate 10 μg with ab279647 at 1/30 dilution (2μg in 0.35mg lysates). Western blot was performed on the immunoprecipitate using ab279647 at 1/5000 dilution. VeriBlot for IP Detection Reagent (HRP)(ab131366) was used at 1/10000 dilution.

Lane 1 : F9 whole cell lysate 10 μg

Lane 2 : ab279647 IP in F9 whole cell lysate 10 μg

Lane 3 : Rabbit monoclonal IgG (ab172730) instead of ab279647 in F9 whole cell lysate

Blocking and dilution buffer and concentration : 5% NFDM/TBST.

Exposure time : 5.5 seconds

All lanes:

Immunoprecipitation - Anti-Lin28A antibody [EPR24286-100] (ab279647)

Predicted band size: 23 kDa

Observed band size: 25 kDa

false

Immunoprecipitation - Anti-Lin28A antibody [EPR24286-100] (AB279647)
  • IP

Supplier Data

Immunoprecipitation - Anti-Lin28A antibody [EPR24286-100] (AB279647)

Lin28A was immunoprecipitated from 0.35 mg NCCIT (human pluripotent embryonic carcinoma epithelial cell), whole cell lysate 10 μg with ab279647 at 1/30 dilution (2μg in 0.35mg lysates). Western blot was performed on the immunoprecipitate using ab279647 at 1/5000 dilution. VeriBlot for IP Detection Reagent (HRP)(ab131366) was used at 1/10000 dilution.

Lane 1 : NCCIT whole cell lysate 10 μg

Lane 2 : ab279647 IP in NCCIT whole cell lysate 10 μg

Lane 3 : Rabbit monoclonal IgG (ab172730) instead of ab279647 in NCCIT whole cell lysate

Blocking and dilution buffer and concentration : 5% NFDM/TBST.

Exposure time : 8 seconds

All lanes:

Immunoprecipitation - Anti-Lin28A antibody [EPR24286-100] (ab279647)

Predicted band size: 23 kDa

Observed band size: 25 kDa

false

Western blot - Anti-Lin28A antibody [EPR24286-100] (AB279647)
  • WB

Lab

Western blot - Anti-Lin28A antibody [EPR24286-100] (AB279647)

Blocking and diluting buffer and concentration : 5% NFDM/TBST

The observed MW is consistent with what has been described in the literature (PMID : 25479749)

Negative control : HEK-293T (PMID : 25479749)

Exposure time : 10 seconds

All lanes:

Western blot - Anti-Lin28A antibody [EPR24286-100] (ab279647) at 1/5000 dilution

Lane 1:

NCCIT (human pluripotent embryonic carcinoma epithelial cell) whole cell lysate at 10 µg

Lane 2:

JAR (human placenta choriocarcinoma epithelial cell) whole cell lysate at 10 µg

Lane 3:

HEK-293T (human embryonic kidney epithelial cell) whole cell lysate at 10 µg

Secondary

All lanes:

Western blot - Goat Anti-Rabbit IgG H&L (HRP) (<a href='/en-us/products/secondary-antibodies/goat-rabbit-igg-h-l-hrp-ab97051'>ab97051</a>) at 1/100000 dilution

Predicted band size: 23 kDa

Observed band size: 25 kDa

false

Western blot - Anti-Lin28A antibody [EPR24286-100] (AB279647)
  • WB

Lab

Western blot - Anti-Lin28A antibody [EPR24286-100] (AB279647)

Blocking and diluting buffer and concentration : 5% NFDM/TBST

The observed MW is consistent with what has been described in the literature (PMID : 21962509)

Negative control : NIH/3T3 (PMID : 21962509)

Exposure time : 3 seconds

All lanes:

Western blot - Anti-Lin28A antibody [EPR24286-100] (ab279647) at 1/1000 dilution

Lane 1:

F9 (mouse embryonal carcinoma epithelial cell) whole cell lysate at 20 µg

Lane 2:

NIH/3T3 (mouse embryonic fibroblast) whole cell lysate at 20 µg

Secondary

All lanes:

Western blot - Goat Anti-Rabbit IgG H&L (HRP) (<a href='/en-us/products/secondary-antibodies/goat-rabbit-igg-h-l-hrp-ab97051'>ab97051</a>) at 1/100000 dilution

Predicted band size: 23 kDa

Observed band size: 25 kDa

false

  • Carrier free

    Anti-Lin28A antibody [EPR24286-100] - BSA and Azide free

Key facts

Host species

Rabbit

Clonality

Monoclonal

Clone number

EPR24286-100

Isotype

IgG

Carrier free

No

Reacts with

Mouse, Rat, Human

Applications

mIHC, IP, ICC/IF, WB, IHC-Fr, IHC-P, Flow Cyt (Intra)

applications

Immunogen

The exact immunogen used to generate this antibody is proprietary information.

Reactivity data

{ "title": "Reactivity Data", "filters": { "stats": ["", "Species", "Dilution Info", "Notes"], "tabs": { "all-applications": {"fullname" : "All Applications", "shortname": "All Applications"}, "ICCIF" : {"fullname" : "Immunocytochemistry/ Immunofluorescence", "shortname":"ICC/IF"}, "IP" : {"fullname" : "Immunoprecipitation", "shortname":"IP"}, "WB" : {"fullname" : "Western blot", "shortname":"WB"}, "IHCFr" : {"fullname" : "Immunohistochemistry (Frozen sections)", "shortname":"IHC-Fr"}, "FlowCytIntra" : {"fullname" : "Flow Cytometry (Intracellular)", "shortname":"Flow Cyt (Intra)"}, "IHCP" : {"fullname" : "Immunohistochemistry (Formalin/PFA-fixed paraffin-embedded sections)", "shortname":"IHC-P"}, "mIHC" : {"fullname" : "Multiplex immunohistochemistry", "shortname":"mIHC"} }, "product-promise": { "all": "all", "testedAndGuaranteed": "tested", "guaranteed": "expected", "predicted": "predicted", "notRecommended": "not-recommended" } }, "values": { "Human": { "ICCIF-species-checked": "testedAndGuaranteed", "ICCIF-species-dilution-info": "1/500", "ICCIF-species-notes": "<p></p> Perform heat-mediated antigen retrieval with Tris/EDTA buffer pH 9.0 before commencing with IHC staining protocol.", "IP-species-checked": "testedAndGuaranteed", "IP-species-dilution-info": "1/30", "IP-species-notes": "<p></p>", "WB-species-checked": "testedAndGuaranteed", "WB-species-dilution-info": "1/1000", "WB-species-notes": "<p></p>", "IHCFr-species-checked": "guaranteed", "IHCFr-species-dilution-info": "", "IHCFr-species-notes": "", "FlowCytIntra-species-checked": "testedAndGuaranteed", "FlowCytIntra-species-dilution-info": "1/500", "FlowCytIntra-species-notes": "<p></p>", "IHCP-species-checked": "notRecommended", "IHCP-species-dilution-info": "1/1000", "IHCP-species-notes": "<p></p> Perform heat-mediated antigen retrieval with Tris/EDTA buffer pH 9.0 before commencing with IHC staining protocol.", "mIHC-species-checked": "guaranteed", "mIHC-species-dilution-info": "", "mIHC-species-notes": "" }, "Mouse": { "ICCIF-species-checked": "testedAndGuaranteed", "ICCIF-species-dilution-info": "1/500", "ICCIF-species-notes": "<p></p> Perform heat-mediated antigen retrieval with Tris/EDTA buffer pH 9.0 before commencing with IHC staining protocol.", "IP-species-checked": "testedAndGuaranteed", "IP-species-dilution-info": "1/30", "IP-species-notes": "<p></p>", "WB-species-checked": "testedAndGuaranteed", "WB-species-dilution-info": "1/1000", "WB-species-notes": "<p></p>", "IHCFr-species-checked": "testedAndGuaranteed", "IHCFr-species-dilution-info": "1/100", "IHCFr-species-notes": "<p>Heat mediated antigen retrieval using sodium citrate buffer (10mM citrate pH 6.0 + 0.05% Tween-20)</p>", "FlowCytIntra-species-checked": "testedAndGuaranteed", "FlowCytIntra-species-dilution-info": "1/500", "FlowCytIntra-species-notes": "<p></p>", "IHCP-species-checked": "testedAndGuaranteed", "IHCP-species-dilution-info": "1/1000", "IHCP-species-notes": "<p></p> Perform heat-mediated antigen retrieval with Tris/EDTA buffer pH 9.0 before commencing with IHC staining protocol.", "mIHC-species-checked": "testedAndGuaranteed", "mIHC-species-dilution-info": "1/1000", "mIHC-species-notes": "<p></p>" }, "Rat": { "ICCIF-species-checked": "guaranteed", "ICCIF-species-dilution-info": "", "ICCIF-species-notes": "", "IP-species-checked": "guaranteed", "IP-species-dilution-info": "", "IP-species-notes": "", "WB-species-checked": "guaranteed", "WB-species-dilution-info": "", "WB-species-notes": "", "IHCFr-species-checked": "notRecommended", "IHCFr-species-dilution-info": "1/100", "IHCFr-species-notes": "<p>Heat mediated antigen retrieval using sodium citrate buffer (10mM citrate pH 6.0 + 0.05% Tween-20)</p>", "FlowCytIntra-species-checked": "guaranteed", "FlowCytIntra-species-dilution-info": "", "FlowCytIntra-species-notes": "", "IHCP-species-checked": "testedAndGuaranteed", "IHCP-species-dilution-info": "1/1000", "IHCP-species-notes": "<p></p> Perform heat-mediated antigen retrieval with Tris/EDTA buffer pH 9.0 before commencing with IHC staining protocol.", "mIHC-species-checked": "testedAndGuaranteed", "mIHC-species-dilution-info": "1/1000", "mIHC-species-notes": "<p></p>" } } }

Product details

Patented technology
Our RabMAb® technology is a patented hybridoma-based technology for making rabbit monoclonal antibodies. For details on our patents, please refer to RabMAb® patents.

What are the advantages of a recombinant monoclonal antibody?
This product is a recombinant monoclonal antibody, which offers several advantages including:

  • - High batch-to-batch consistency and reproducibility
  • - Improved sensitivity and specificity
  • - Long-term security of supply
  • - Animal-free batch production

For more information, read more on recombinant antibodies.

Properties and storage information

Form
Liquid
Purification technique
Affinity purification Protein A
Storage buffer
Preservative: 0.01% Sodium azide Constituents: 59.94% PBS, 40% Glycerol (glycerin, glycerine), 0.05% BSA
Shipped at conditions
Blue Ice
Appropriate short-term storage duration
1-2 weeks
Appropriate short-term storage conditions
+4°C
Appropriate long-term storage conditions
-20°C
Aliquoting information
Upon delivery aliquot
Storage information
Avoid freeze / thaw cycle

Product protocols

For this product, it's our understanding that no specific protocols are required. You can visit:

Target data

RNA-binding protein that inhibits processing of pre-let-7 miRNAs and regulates translation of mRNAs that control developmental timing, pluripotency and metabolism (PubMed : 21247876). Seems to recognize a common structural G-quartet (G4) feature in its miRNA and mRNA targets (Probable). 'Translational enhancer' that drives specific mRNAs to polysomes and increases the efficiency of protein synthesis. Its association with the translational machinery and target mRNAs results in an increased number of initiation events per molecule of mRNA and, indirectly, in mRNA stabilization. Binds IGF2 mRNA, MYOD1 mRNA, ARBP/36B4 ribosomal protein mRNA and its own mRNA. Essential for skeletal muscle differentiation program through the translational up-regulation of IGF2 expression. Suppressor of microRNA (miRNA) biogenesis, including that of let-7, miR107, miR-143 and miR-200c. Specifically binds the miRNA precursors (pre-miRNAs), recognizing an 5'-GGAG-3' motif found in pre-miRNA terminal loop, and recruits TUT4 and TUT7 uridylyltransferases (PubMed : 18951094, PubMed : 19703396, PubMed : 22118463, PubMed : 22898984). This results in the terminal uridylation of target pre-miRNAs (PubMed : 18951094, PubMed : 19703396, PubMed : 22118463, PubMed : 22898984). Uridylated pre-miRNAs fail to be processed by Dicer and undergo degradation. The repression of let-7 expression is required for normal development and contributes to maintain the pluripotent state by preventing let-7-mediated differentiation of embryonic stem cells (PubMed : 18951094, PubMed : 19703396, PubMed : 22118463, PubMed : 22898984). Localized to the periendoplasmic reticulum area, binds to a large number of spliced mRNAs and inhibits the translation of mRNAs destined for the ER, reducing the synthesis of transmembrane proteins, ER or Golgi lumen proteins, and secretory proteins. Binds to and enhances the translation of mRNAs for several metabolic enzymes, such as PFKP, PDHA1 or SDHA, increasing glycolysis and oxidative phosphorylation. Which, with the let-7 repression may enhance tissue repair in adult tissue (By similarity).
See full target information LIN28A

Publications (8)

Recent publications for all applications. Explore the full list and refine your search

Nature communications 16:2863 PubMed40128181

2025

Microbiota-reprogrammed phosphatidylcholine inactivates cytotoxic CD8 T cells through UFMylation via exosomal SerpinB9 in multiple myeloma.

Applications

Unspecified application

Species

Unspecified reactive species

Wei Yan,Xue Shi,Yun Zhao,Xiaoyu Liu,Xueming Jia,Le Gao,Jiahe Yuan,Aijun Liao,Hiroshi Yasui,Xiaobin Wang,Xiaotian Wang,Rui Zhang,Huihan Wang

Zoological research 46:177-192 PubMed39846195

2025

Multi-omics analysis and experimental verification reveal testicular fatty acid metabolism disorder in non-obstructive azoospermia.

Applications

Unspecified application

Species

Unspecified reactive species

Zhou Li,Yi-Jian Xiang,Zhi-Chuan Zou,Yu-Ming Feng,Hui Wang,Wei-Qing Chen,Xie Ge,Jin-Zhao Ma,Jun Jing,Bing Yao

International journal of molecular sciences 25: PubMed39518967

2024

2-Bromopalmitate-Induced Intestinal Flora Changes and Testicular Dysfunction in Mice.

Applications

Unspecified application

Species

Unspecified reactive species

Yuxuan Ma,Yining Chen,Long Li,Zifang Wu,Heran Cao,Chao Zhu,Qimin Liu,Yang Wang,Shaoxian Chen,Yuyan Liu,Wuzi Dong

Journal of extracellular vesicles 13:e12409 PubMed38321535

2024

Identification of specific markers for human pluripotent stem cell-derived small extracellular vesicles.

Applications

Unspecified application

Species

Unspecified reactive species

Zhengsheng Chen,Lei Luo,Teng Ye,Jiacheng Zhou,Xin Niu,Ji Yuan,Ting Yuan,Dehao Fu,Haiyan Li,Qing Li,Yang Wang

Disease models & mechanisms 15: PubMed36398590

2022

Bortezomib-induced neurotoxicity in human neurons is the consequence of nicotinamide adenine dinucleotide depletion.

Applications

Unspecified application

Species

Unspecified reactive species

Andrew R Snavely,Keungjung Heo,Veselina Petrova,Tammy Szu-Yu Ho,Xuan Huang,Crystal Hermawan,Ruth Kagan,Tao Deng,Ilyas Singeç,Long Chen,Lee B Barret,Clifford J Woolf

Frontiers in endocrinology 13:895360 PubMed35813614

2022

LncRNA MALAT1 Aggravates Renal Tubular Injury Activating LIN28A and the Nox4/AMPK/mTOR Signaling Axis in Diabetic Nephropathy.

Applications

Unspecified application

Species

Unspecified reactive species

Panai Song,Yinyin Chen,Zhiwen Liu,Hong Liu,Li Xiao,Lin Sun,Jiali Wei,Liyu He

Experimental and therapeutic medicine 23:411 PubMed35601075

2022

LIN28A alleviates inflammation, oxidative stress, osteogenic differentiation and mineralization in lipopolysaccharide (LPS)-treated human periodontal ligament stem cells.

Applications

Unspecified application

Species

Unspecified reactive species

Ling Guo,Liang Li

Folia neuropathologica 60:35-47 PubMed35359144

2022

Mechanism of RNA-binding protein Lin28 in neuronal ferroptosis after intracerebral haemorrhage.

Applications

Unspecified application

Species

Unspecified reactive species

Luqian Feng,Likun Wang,Guofeng Wu
View all publications

Product promise

We are committed to supporting your work with high-quality reagents, and we're here for you every step of the way. In the unlikely event that one of our products does not perform as expected, you're protected by our Product Promise.
For full details, please see our Terms & Conditions

Please note: All products are 'FOR RESEARCH USE ONLY. NOT FOR USE IN DIAGNOSTIC OR THERAPEUTIC PROCEDURES'.

For licensing inquiries, please contact partnerships@abcam.com