JavaScript is disabled in your browser. Please enable JavaScript to view this website.
AB279650

Anti-Lin28A antibody [EPR24286-100] - BSA and Azide free

  • BOND RX™ Validated
  • RabMAb
  • Recombinant
  • Advanced Validation
  • What is this?

Be the first to review this product! Submit a review

|

(0 Publication)

Rabbit Recombinant Monoclonal Lin28A antibody. Carrier free. Suitable for ICC/IF, IP, WB, IHC-Fr, Flow Cyt (Intra), IHC-P, mIHC and reacts with Human, Mouse, Rat samples.

View Alternative Names

CSDD1, LIN28, ZCCHC1, LIN28A, Protein lin-28 homolog A, Lin-28A, Zinc finger CCHC domain-containing protein 1

17 Images
Multiplex immunohistochemistry - Anti-Lin28A antibody [EPR24286-100] - BSA and Azide free (AB279650)
  • mIHC

Lab

Multiplex immunohistochemistry - Anti-Lin28A antibody [EPR24286-100] - BSA and Azide free (AB279650)

This data was developed using ab279647, the same antibody clone in a different buffer formulation.

Immunohistochemistry analysis of Formalin/PFA-fixed paraffin-embedded sections Rat testis tissue labelling Lin28A with ab279647 at 1 : 1000 dilution (B), Wilms Tumor Protein with ab267377 at 1 : 500 dilution (C) and DKKL1 with ab316308 at 1 : 2000 dilution (D). Opal Polymer HRP Ms + Rb was used as a secondary antibody, and DAPI was used for a nuclear counter stain. Heat mediated antigen retrieval with Tris-EDTA buffer (pH 9.0, epitope retrieval solution2) for 20 mins.

Panel A : merged staining of anti-Lin28A (green; Opal™520), anti-Wilms Tumor Protein (magenta; Opal™690) and anti-DKKL1 (gray; Opal™570) on rat testis.

Panel B : anti-Lin28A staining undifferentiated spermatogonia in rat testis.

Panel C : ant-Wilms Tumor Protein staining Sertoli cells in rat testis.

Panel D : ant-DKKL11 staining mature sperm cells in rat testis.

Nuclear DNA was labeled with DAPI (shown in blue).

The section was incubated in three rounds of staining : in the order of ab279647, ab267377 and ab316308 for 30 mins at room temperature. Each round was followed by a separate fluorescent tyramide signal amplification system.

The immunostaining was performed on a Leica Biosystems BOND® RX instrument with an Opal™ 4-color kit. Image acquisition was performed with Leica SP8 confocal microscope.

Multiplex immunohistochemistry - Anti-Lin28A antibody [EPR24286-100] - BSA and Azide free (AB279650)
  • mIHC

Lab

Multiplex immunohistochemistry - Anti-Lin28A antibody [EPR24286-100] - BSA and Azide free (AB279650)

This data was developed using ab279647, the same antibody clone in a different buffer formulation.

Immunohistochemistry analysis of Formalin/PFA-fixed paraffin-embedded sections Mouse testis tissue labelling Lin28A with ab279647 at 1 : 1000 dilution (B), STAT4 with ab284408 at 1 : 500 dilution (C) and SCP1 with [ab303520 at 1 : 500 dilution (D). Opal Polymer HRP Ms + Rb was used as a secondary antibody, and DAPI was used for a nuclear counter stain. Heat mediated antigen retrieval with Tris-EDTA buffer (pH 9.0, epitope retrieval solution2) for 20 mins.

Panel A : merged staining of anti-Lin28A (green; Opal™520), anti-STAT4 (magenta; Opal™690) and anti-SCP1 (gray; Opal™570) on mouse testis.

Panel B : anti-Lin28A staining undifferentiated spermatogonia in mouse testis.

Panel C : ant-STAT4 staining round spermatids (rs) and elongated spermatids (es) in mouse testis.

Panel D : ant-SCP1 staining spermatocytes in mouse testis.

Nuclear DNA was labeled with DAPI (shown in blue).

The section was incubated in three rounds of staining : in the order of ab279647, ab284408 and ab303520 for 30 mins at room temperature. Each round was followed by a separate fluorescent tyramide signal amplification system.

The immunostaining was performed on a Leica Biosystems BOND® RX instrument with an Opal™ 4-color kit. Image acquisition was performed with Leica SP8 confocal microscope.

Multiplex immunohistochemistry - Anti-Lin28A antibody [EPR24286-100] - BSA and Azide free (AB279650)
  • mIHC

Lab

Multiplex immunohistochemistry - Anti-Lin28A antibody [EPR24286-100] - BSA and Azide free (AB279650)

This data was developed using ab279647, the same antibody clone in a different buffer formulation.

Immunohistochemistry analysis of Formalin/PFA-fixed paraffin-embedded sections Rat testis labelling Lin28A with ab279647 at 1 : 1000 dilution (B), STAT4 with ab284408 at 1 : 500 dilution (C) and SCP1 with ab303520 at 1 : 500 dilution (D). Opal Polymer HRP Ms + Rb was used as a secondary antibody, and DAPI was used for a nuclear counter stain. Heat mediated antigen retrieval with Tris-EDTA buffer (pH 9.0, epitope retrieval solution2) for 20 mins.

Panel A : merged staining of anti-Lin28A (green; Opal™520), anti-STAT4 (magenta; Opal™690) and anti-SCP1 (gray; Opal™570) on rat testis.

Panel B : anti-Lin28A staining undifferentiated spermatogonia in rat testis.

Panel C : ant-STAT4 staining round spermatids (rs) and elongated spermatids (es) in rat testis.

Panel D : ant-SCP1 staining spermatocytes in rat testis.

Nuclear DNA was labeled with DAPI (shown in blue).

The section was incubated in three rounds of staining : in the order of ab279647, ab284408 and ab303520 for 30 mins at room temperature. Each round was followed by a separate fluorescent tyramide signal amplification system.

The immunostaining was performed on a Leica Biosystems BOND® RX instrument with an Opal™ 4-color kit. Image acquisition was performed with Leica SP8 confocal microscope.

Multiplex immunohistochemistry - Anti-Lin28A antibody [EPR24286-100] - BSA and Azide free (AB279650)
  • mIHC

Lab

Multiplex immunohistochemistry - Anti-Lin28A antibody [EPR24286-100] - BSA and Azide free (AB279650)

This data was developed using ab279647, the same antibody clone in a different buffer formulation.

Immunohistochemistry analysis of Formalin/PFA-fixed paraffin-embedded sections Mouse testis tissue labelling Lin28A with ab279647 at 1 : 1000 dilution (B), Wilms Tumor Protein with ab267377 at 1 : 500 dilution (C) and DKKL1 with ab316308 at 1 : 2000 dilution (D). Opal Polymer HRP Ms + Rb was used as a secondary antibody, and DAPI was used for a nuclear counter stain. Heat mediated antigen retrieval with Tris-EDTA buffer (pH 9.0, epitope retrieval solution2) for 20 mins.

Panel A : merged staining of anti-Lin28A (green; Opal™520), anti-Wilms Tumor Protein (magenta; Opal™690) and anti-DKKL1 (gray; Opal™570) on rat testis.

Panel B : anti-Lin28A staining undifferentiated spermatogonia in rat testis.

Panel C : ant-Wilms Tumor Protein staining Sertoli cells in rat testis.

Panel D : ant-DKKL11 staining mature sperm cells in rat testis.

Nuclear DNA was labeled with DAPI (shown in blue).

The section was incubated in three rounds of staining : in the order of ab279647, ab267377 and ab316308 for 30 mins at room temperature. Each round was followed by a separate fluorescent tyramide signal amplification system.

The immunostaining was performed on a Leica Biosystems BOND® RX instrument with an Opal™ 4-color kit. Image acquisition was performed with Leica SP8 confocal microscope.

Immunohistochemistry (Formalin/PFA-fixed paraffin-embedded sections) - Anti-Lin28A antibody [EPR24286-100] - BSA and Azide free (AB279650)
  • IHC-P

Supplier Data

Immunohistochemistry (Formalin/PFA-fixed paraffin-embedded sections) - Anti-Lin28A antibody [EPR24286-100] - BSA and Azide free (AB279650)

This data was developed using ab279647, the same antibody clone in a different buffer formulation.

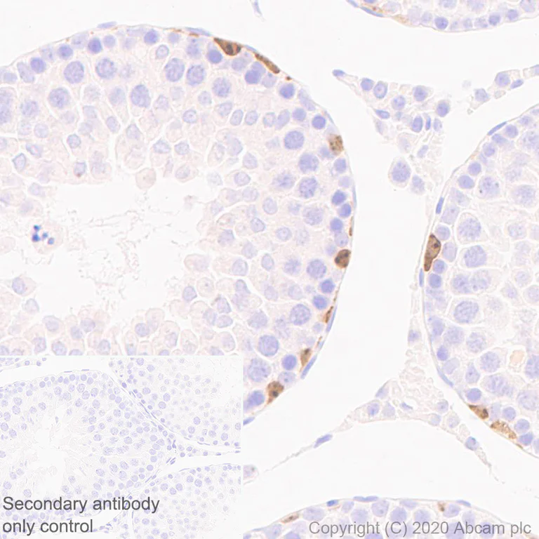
Immunohistochemical analysis of paraffin-embedded mouse testis tissue labeling Lin28A with ab279647 at 1/1000 dilution followed by ready to use LeicaDS9800 (Bond™ Polymer Refine Detection). Positive staining on mouse undifferentiated spermatogonia (PMID : 32094118). The section was incubated with ab279647 for 30 mins at room temperature. The immunostaining was performed on a Leica Biosystems BON RX instrument. Counterstained with Hematoxylin.

Secondary antibody only control : Secondary antibody is ready to use LeicaDS9800 (Bond™ Polymer Refine Detection).

Heat mediated antigen retrieval with Tris-EDTA buffer (pH 9.0, epitope retrieval solution2) for 20 mins.

Immunohistochemistry (Formalin/PFA-fixed paraffin-embedded sections) - Anti-Lin28A antibody [EPR24286-100] - BSA and Azide free (AB279650)
  • IHC-P

Supplier Data

Immunohistochemistry (Formalin/PFA-fixed paraffin-embedded sections) - Anti-Lin28A antibody [EPR24286-100] - BSA and Azide free (AB279650)

This data was developed using ab279647, the same antibody clone in a different buffer formulation.

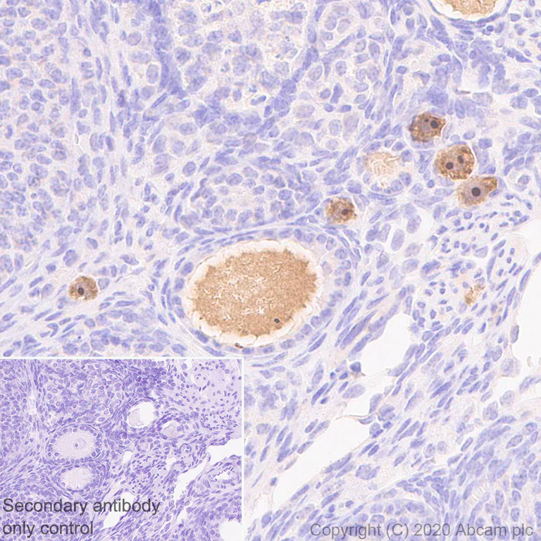
Immunohistochemical analysis of paraffin-embedded mouse ovary tissue labeling Lin28A with ab279647 at 1/1000 dilution followed by ready to use LeicaDS9800 (Bond™ Polymer Refine Detection). Positive staining on mouse oocytes (PMID : 23378032). The section was incubated with ab279647 for 30 mins at room temperature. The immunostaining was performed on a Leica Biosystems BOND® RX instrument. Counterstained with Hematoxylin.

Secondary antibody only control : Secondary antibody is a ready to use LeicaDS9800 (Bond™ Polymer Refine Detection).

Heat mediated antigen retrieval with Tris-EDTA buffer (pH 9.0, epitope retrieval solution2) for 20 mins.

Immunohistochemistry (Formalin/PFA-fixed paraffin-embedded sections) - Anti-Lin28A antibody [EPR24286-100] - BSA and Azide free (AB279650)
  • IHC-P

Supplier Data

Immunohistochemistry (Formalin/PFA-fixed paraffin-embedded sections) - Anti-Lin28A antibody [EPR24286-100] - BSA and Azide free (AB279650)

This data was developed using ab279647, the same antibody clone in a different buffer formulation.

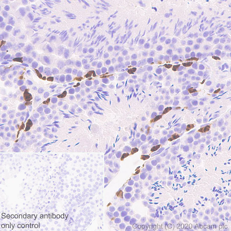
Immunohistochemical analysis of paraffin-embedded rat testis tissue labeling Lin28A with ab279647 at 1/1000 dilution followed by ready to use LeicaDS9800 (Bond™ Polymer Refine Detection). Positive staining on rat undifferentiated spermatogonia. The section was incubated with ab279647 for 30 mins at room temperature. The immunostaining was performed on a Leica Biosystems BOND® RX instrument. Counterstained with Hematoxylin.

Secondary antibody only control : Secondary antibody is a ready to use LeicaDS9800 (Bond™ Polymer Refine Detection).

Heat mediated antigen retrieval with Tris-EDTA buffer (pH 9.0, epitope retrieval solution2) for 20 mins.

Immunocytochemistry/ Immunofluorescence - Anti-Lin28A antibody [EPR24286-100] - BSA and Azide free (AB279650)
  • ICC/IF

Supplier Data

Immunocytochemistry/ Immunofluorescence - Anti-Lin28A antibody [EPR24286-100] - BSA and Azide free (AB279650)

This data was developed using ab279647, the same antibody clone in a different buffer formulation.

Immunofluorescent analysis of 4% Paraformaldehyde-fixed, 0.1% Triton X-100 permeabilized F9 (mouse embryonal carcinoma epithelial cell line) cells labelling Lin28A with ab279647 at 1/500 dilution, followed by ab150077 Goat Anti-Rabbit IgG H&L (Alexa Fluor® 488) antibody at 1/1000 dilution (Green). Confocal image showing nucleolar and cytoplasmic staining in F9 cell line. ab195889 Anti-alpha Tubulin mouse monoclonal antibody - Microtubule Marker (Alexa Fluor® 594) was used to counterstain tubulin at 1/200 dilution (Red). The nuclear counterstain was DAPI (Blue).

Negative control : NIH/3T3 (PMID : 21962509).

Secondary antibody only control : Secondary antibody is ab150077 Goat Anti-Rabbit IgG H&L (Alexa Fluor® 488) at 1/1000 dilution.

Immunohistochemistry (Formalin/PFA-fixed paraffin-embedded sections) - Anti-Lin28A antibody [EPR24286-100] - BSA and Azide free (AB279650)
  • IHC-P

Supplier Data

Immunohistochemistry (Formalin/PFA-fixed paraffin-embedded sections) - Anti-Lin28A antibody [EPR24286-100] - BSA and Azide free (AB279650)

This data was developed using ab279647, the same antibody clone in a different buffer formulation.

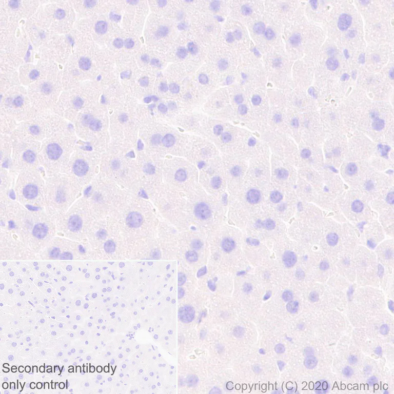
Immunohistochemical analysis of paraffin-embedded mouse liver tissue labeling Lin28A with ab279647 at 1/1000 dilution followed by ready to use LeicaDS9800 (Bond™ Polymer Refine Detection). The section was incubated with ab279647 for 30 mins at room temperature. The immunostaining was performed on a Leica Biosystems BOND® RX instrument. Counterstained with Hematoxylin.

Negative control : no staining on mouse liver (PMID : 11279525).

Secondary antibody only control : Secondary antibody is ready to use LeicaDS9800 (Bond™ Polymer Refine Detection).

Heat mediated antigen retrieval with Tris-EDTA buffer (pH 9.0, epitope retrieval solution2) for 20 mins.

Flow Cytometry (Intracellular) - Anti-Lin28A antibody [EPR24286-100] - BSA and Azide free (AB279650)
  • Flow Cyt (Intra)

Supplier Data

Flow Cytometry (Intracellular) - Anti-Lin28A antibody [EPR24286-100] - BSA and Azide free (AB279650)

This data was developed using ab279647, the same antibody clone in a different buffer formulation.

Flow cytometric analysis of 4% paraformaldehyde fixed 90% methanol permeabilized NIH/3T3 (mouse embryonic fibroblast, Left panel) / F9 (mouse embryonal carcinoma epithelial cell, Right panel) cells labeling Lin28A with ab279647 at 1/500 dilution (Red) compared with a Rabbit monoclonal IgG (ab172730) (Black) isotype control and an unlabeled control (cells without incubation with primary antibody and secondary antibody) (Blue). A Goat anti rabbit IgG (Alexa Fluor® 488, ab150077) at 1/2000 dilution was used as the secondary antibody.

Negative control : NIH/3T3 (PMID : 21962509).

Flow Cytometry (Intracellular) - Anti-Lin28A antibody [EPR24286-100] - BSA and Azide free (AB279650)
  • Flow Cyt (Intra)

Supplier Data

Flow Cytometry (Intracellular) - Anti-Lin28A antibody [EPR24286-100] - BSA and Azide free (AB279650)

This data was developed using ab279647, the same antibody clone in a different buffer formulation.

Flow cytometric analysis of 4% paraformaldehyde fixed 90% methanol permeabilized HEK-293T (human embryonic kidney epithelial cell, Left panel) / NCCIT (human pluripotent embryonic carcinoma epithelial cell, Right panel) cells labeling Lin28A with ab279647 at 1/500 dilution (Red) compared with a Rabbit monoclonal IgG (ab172730) (Black) isotype control and an unlabeled control (cells without incubation with primary antibody and secondary antibody) (Blue). Goat anti rabbit IgG (Alexa Fluor® 488, ab150077) at 1/2000 dilution was used as the secondary antibody.

Negative control : HEK-293T (PMID : 25479749).

Immunohistochemistry (Frozen sections) - Anti-Lin28A antibody [EPR24286-100] - BSA and Azide free (AB279650)
  • IHC-Fr

Supplier Data

Immunohistochemistry (Frozen sections) - Anti-Lin28A antibody [EPR24286-100] - BSA and Azide free (AB279650)

This data was developed using ab279647, the same antibody clone in a different buffer formulation.

Immunohistochemical analysis of 4% PFA-fixed, 0.2% Triton X-100 permeabilized frozen mouse testis tissue labeling Lin28A with ab279647 at 1/100 dilution followed by ab150077 Goat Anti-Rabbit IgG H&L (Alexa Fluor® 488) at 1/1000 dilution (Green). Positive staining on mouse undifferentiated spermatogonia (PMID : 32094118) is observed. The nuclear counterstain was DAPI (Blue).

Secondary antibody control : Secondary antibody is ab150077 Goat Anti-Rabbit IgG H&L (Alexa Fluor® 488)at 1/1000 dilution.

Heat mediated antigen retrieval using sodium citrate buffer (10mM citrate pH 6.0 + 0.05% Tween-20).

Immunocytochemistry/ Immunofluorescence - Anti-Lin28A antibody [EPR24286-100] - BSA and Azide free (AB279650)
  • ICC/IF

Supplier Data

Immunocytochemistry/ Immunofluorescence - Anti-Lin28A antibody [EPR24286-100] - BSA and Azide free (AB279650)

This data was developed using ab279647, the same antibody clone in a different buffer formulation.

Immunofluorescent analysis of 4% Paraformaldehyde-fixed, 0.1% Triton X-100 permeabilized NCCIT (human pluripotent embryonic carcinoma epithelial cell line) cells labeling Lin28A with ab279647 at 1/500 dilution, followed by ab150077 Goat Anti-Rabbit IgG H&L (Alexa Fluor® 488) antibody at 1/1000 dilution (Green). Confocal image showing nucleolar and cytoplasmic staining in NCCIT cell line. ab195889 Anti-alpha Tubulin mouse monoclonal antibody - Microtubule Marker (Alexa Fluor® 594) was used to counterstain tubulin at 1/200 (Red). The nuclear counterstain was DAPI (Blue).

Negative control : HEK-293T (PMID : 25479749).

Secondary antibody only control : Secondary antibody is ab150077 Goat Anti-Rabbit IgG H&L (Alexa Fluor® 488) at 1/1000 dilution.

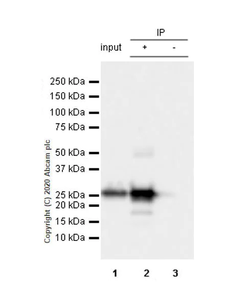
Immunoprecipitation - Anti-Lin28A antibody [EPR24286-100] - BSA and Azide free (AB279650)
  • IP

Supplier Data

Immunoprecipitation - Anti-Lin28A antibody [EPR24286-100] - BSA and Azide free (AB279650)

This data was developed using ab279647, the same antibody clone in a different buffer formulation.

Lin28A was immunoprecipitated from 0.35 mg NCCIT (human pluripotent embryonic carcinoma epithelial cell), whole cell lysate 10 μg with ab279647 at 1/30 dilution (2μg in 0.35mg lysates). Western blot was performed on the immunoprecipitate using ab279647 at 1/5000 dilution. VeriBlot for IP Detection Reagent (HRP)(ab131366) was used at 1/10000 dilution.

Lane 1 : NCCIT whole cell lysate 10 μg

Lane 2 : ab279647 IP in NCCIT whole cell lysate 10 μg

Lane 3 : Rabbit monoclonal IgG (ab172730) instead of ab279647 in NCCIT whole cell lysate

Blocking and dilution buffer and concentration : 5% NFDM/TBST.

Exposure time : 8 seconds

All lanes:

Immunoprecipitation - Anti-Lin28A antibody [EPR24286-100] (<a href='/en-us/products/primary-antibodies/lin28a-antibody-epr24286-100-ab279647'>ab279647</a>)

Predicted band size: 23 kDa

Observed band size: 25 kDa

false

Immunoprecipitation - Anti-Lin28A antibody [EPR24286-100] - BSA and Azide free (AB279650)
  • IP

Supplier Data

Immunoprecipitation - Anti-Lin28A antibody [EPR24286-100] - BSA and Azide free (AB279650)

This data was developed using ab279647, the same antibody clone in a different buffer formulation.

Lin28A was immunoprecipitated from 0.35 mg F9 (mouse embryonal carcinoma epithelial cell) whole cell lysate 10 μg with ab279647 at 1/30 dilution (2μg in 0.35mg lysates). Western blot was performed on the immunoprecipitate using ab279647 at 1/5000 dilution. VeriBlot for IP Detection Reagent (HRP)(ab131366) was used at 1/10000 dilution.

Lane 1 : F9 whole cell lysate 10 μg

Lane 2 : ab279647 IP in F9 whole cell lysate 10 μg

Lane 3 : Rabbit monoclonal IgG (ab172730) instead of ab279647 in F9 whole cell lysate

Blocking and dilution buffer and concentration : 5% NFDM/TBST.

Exposure time : 5.5 seconds

All lanes:

Immunoprecipitation - Anti-Lin28A antibody [EPR24286-100] (<a href='/en-us/products/primary-antibodies/lin28a-antibody-epr24286-100-ab279647'>ab279647</a>)

Predicted band size: 23 kDa

Observed band size: 25 kDa

false

Western blot - Anti-Lin28A antibody [EPR24286-100] - BSA and Azide free (AB279650)
  • WB

Lab

Western blot - Anti-Lin28A antibody [EPR24286-100] - BSA and Azide free (AB279650)

This data was developed using ab279647, the same antibody clone in a different buffer formulation

Blocking and diluting buffer and concentration : 5% NFDM/TBST

The observed MW is consistent with what has been described in the literature (PMID : 25479749)

Negative control : HEK-293T (PMID : 25479749)

Exposure time : 10 seconds

All lanes:

Western blot - Anti-Lin28A antibody [EPR24286-100] (<a href='/en-us/products/primary-antibodies/lin28a-antibody-epr24286-100-ab279647'>ab279647</a>) at 1/5000 dilution

Lane 1:

NCCIT (human pluripotent embryonic carcinoma epithelial cell) whole cell lysate at 10 µg

Lane 2:

JAR (human placenta choriocarcinoma epithelial cell) whole cell lysate at 10 µg

Lane 3:

HEK-293T (human embryonic kidney epithelial cell) whole cell lysate at 10 µg

Secondary

All lanes:

Western blot - Goat Anti-Rabbit IgG H&L (HRP) (<a href='/en-us/products/secondary-antibodies/goat-rabbit-igg-h-l-hrp-ab97051'>ab97051</a>) at 1/100000 dilution

Predicted band size: 23 kDa

Observed band size: 25 kDa

false

Western blot - Anti-Lin28A antibody [EPR24286-100] - BSA and Azide free (AB279650)
  • WB

Lab

Western blot - Anti-Lin28A antibody [EPR24286-100] - BSA and Azide free (AB279650)

This data was developed using ab279647, the same antibody clone in a different buffer formulation

Blocking and diluting buffer and concentration : 5% NFDM/TBST

The observed MW is consistent with what has been described in the literature (PMID : 21962509)

Negative control : NIH/3T3 (PMID : 21962509)

Exposure time : 3 seconds

All lanes:

Western blot - Anti-Lin28A antibody [EPR24286-100] (<a href='/en-us/products/primary-antibodies/lin28a-antibody-epr24286-100-ab279647'>ab279647</a>) at 1/1000 dilution

Lane 1:

F9 (mouse embryonal carcinoma epithelial cell) whole cell lysate at 20 µg

Lane 2:

NIH/3T3 (mouse embryonic fibroblast) whole cell lysate at 20 µg

Secondary

All lanes:

Western blot - Goat Anti-Rabbit IgG H&L (HRP) (<a href='/en-us/products/secondary-antibodies/goat-rabbit-igg-h-l-hrp-ab97051'>ab97051</a>) at 1/100000 dilution

Predicted band size: 23 kDa

Observed band size: 25 kDa

false

Key facts

Host species

Rabbit

Clonality

Monoclonal

Clone number

EPR24286-100

Isotype

IgG

Carrier free

Yes

Reacts with

Mouse, Rat, Human

Applications

IHC-P, WB, IP, ICC/IF, Flow Cyt (Intra), IHC-Fr, mIHC

applications

Immunogen

The exact immunogen used to generate this antibody is proprietary information.

Reactivity data

{ "title": "Reactivity Data", "filters": { "stats": ["", "Species", "Dilution Info", "Notes"], "tabs": { "all-applications": {"fullname" : "All Applications", "shortname": "All Applications"}, "ICCIF" : {"fullname" : "Immunocytochemistry/ Immunofluorescence", "shortname":"ICC/IF"}, "IP" : {"fullname" : "Immunoprecipitation", "shortname":"IP"}, "WB" : {"fullname" : "Western blot", "shortname":"WB"}, "IHCFr" : {"fullname" : "Immunohistochemistry (Frozen sections)", "shortname":"IHC-Fr"}, "FlowCytIntra" : {"fullname" : "Flow Cytometry (Intracellular)", "shortname":"Flow Cyt (Intra)"}, "IHCP" : {"fullname" : "Immunohistochemistry (Formalin/PFA-fixed paraffin-embedded sections)", "shortname":"IHC-P"}, "mIHC" : {"fullname" : "Multiplex immunohistochemistry", "shortname":"mIHC"} }, "product-promise": { "all": "all", "testedAndGuaranteed": "tested", "guaranteed": "expected", "predicted": "predicted", "notRecommended": "not-recommended" } }, "values": { "Human": { "ICCIF-species-checked": "testedAndGuaranteed", "ICCIF-species-dilution-info": "", "ICCIF-species-notes": "<p></p>", "IP-species-checked": "testedAndGuaranteed", "IP-species-dilution-info": "", "IP-species-notes": "<p></p>", "WB-species-checked": "testedAndGuaranteed", "WB-species-dilution-info": "", "WB-species-notes": "<p></p>", "IHCFr-species-checked": "guaranteed", "IHCFr-species-dilution-info": "", "IHCFr-species-notes": "", "FlowCytIntra-species-checked": "testedAndGuaranteed", "FlowCytIntra-species-dilution-info": "", "FlowCytIntra-species-notes": "<p></p>", "IHCP-species-checked": "notRecommended", "IHCP-species-dilution-info": "", "IHCP-species-notes": "<p></p>", "mIHC-species-checked": "guaranteed", "mIHC-species-dilution-info": "", "mIHC-species-notes": "" }, "Mouse": { "ICCIF-species-checked": "testedAndGuaranteed", "ICCIF-species-dilution-info": "", "ICCIF-species-notes": "<p></p>", "IP-species-checked": "testedAndGuaranteed", "IP-species-dilution-info": "", "IP-species-notes": "<p></p>", "WB-species-checked": "testedAndGuaranteed", "WB-species-dilution-info": "", "WB-species-notes": "<p></p>", "IHCFr-species-checked": "testedAndGuaranteed", "IHCFr-species-dilution-info": "", "IHCFr-species-notes": "<p>Heat mediated antigen retrieval using sodium citrate buffer (10mM citrate pH 6.0 + 0.05% Tween-20)</p>", "FlowCytIntra-species-checked": "testedAndGuaranteed", "FlowCytIntra-species-dilution-info": "", "FlowCytIntra-species-notes": "<p></p>", "IHCP-species-checked": "guaranteed", "IHCP-species-dilution-info": "", "IHCP-species-notes": "", "mIHC-species-checked": "testedAndGuaranteed", "mIHC-species-dilution-info": "", "mIHC-species-notes": "<p></p>" }, "Rat": { "ICCIF-species-checked": "guaranteed", "ICCIF-species-dilution-info": "", "ICCIF-species-notes": "", "IP-species-checked": "guaranteed", "IP-species-dilution-info": "", "IP-species-notes": "", "WB-species-checked": "guaranteed", "WB-species-dilution-info": "", "WB-species-notes": "", "IHCFr-species-checked": "notRecommended", "IHCFr-species-dilution-info": "", "IHCFr-species-notes": "<p>Heat mediated antigen retrieval using sodium citrate buffer (10mM citrate pH 6.0 + 0.05% Tween-20)</p>", "FlowCytIntra-species-checked": "guaranteed", "FlowCytIntra-species-dilution-info": "", "FlowCytIntra-species-notes": "", "IHCP-species-checked": "testedAndGuaranteed", "IHCP-species-dilution-info": "", "IHCP-species-notes": "<p></p>", "mIHC-species-checked": "testedAndGuaranteed", "mIHC-species-dilution-info": "", "mIHC-species-notes": "<p></p>" } } }

You may be interested in:

AB314374

Human Lin28A ELISA Kit

0

0 Reviews

View product

We recommend this product because it’s often used in the same experiment or related research.

We advise that you always check the datasheet to ensure it fits your experiments, or contact ourtechnical teamfor help.

Product details

ab279650 is the carrier-free version of ab279647.

Patented technology
Our RabMAb® technology is a patented hybridoma-based technology for making rabbit monoclonal antibodies. For details on our patents, please refer to RabMAb® patents.

What are the advantages of a recombinant monoclonal antibody?
This product is a recombinant monoclonal antibody, which offers several advantages including:

  • - High batch-to-batch consistency and reproducibility
  • - Improved sensitivity and specificity
  • - Long-term security of supply
  • - Animal-free batch production

For more information, read more on recombinant antibodies.

Conjugation ready
Our carrier-free antibodies are typically supplied in a PBS-only formulation, purified and free of BSA, sodium azide and glycerol. This conjugation-ready format is designed for use with fluorochromes, metal isotopes, oligonucleotides, and enzymes, which makes them ideal for antibody labelling, functional and cell-based assays, flow-based assays (e.g. mass cytometry) and Multiplex Imaging applications.

Use our conjugation kits for antibody conjugates that are ready-to-use in as little as 20 minutes with 1 minute hands-on-time and 100% antibody recovery: available for fluorescent dyes, HRP, biotin and gold.

Compatibility
This product is compatible with the Maxpar® Antibody Labeling Kit from Fluidigm, without the need for antibody preparation. Maxpar® is a trademark of Fluidigm Canada Inc.

Properties and storage information

Form
Liquid
Purification technique
Affinity purification Protein A
Storage buffer
Constituents: 100% PBS
Shipped at conditions
Blue Ice
Appropriate short-term storage conditions
+4°C
Appropriate long-term storage conditions
+4°C

Product protocols

For this product, it's our understanding that no specific protocols are required. You can visit:

Target data

RNA-binding protein that inhibits processing of pre-let-7 miRNAs and regulates translation of mRNAs that control developmental timing, pluripotency and metabolism (PubMed : 21247876). Seems to recognize a common structural G-quartet (G4) feature in its miRNA and mRNA targets (Probable). 'Translational enhancer' that drives specific mRNAs to polysomes and increases the efficiency of protein synthesis. Its association with the translational machinery and target mRNAs results in an increased number of initiation events per molecule of mRNA and, indirectly, in mRNA stabilization. Binds IGF2 mRNA, MYOD1 mRNA, ARBP/36B4 ribosomal protein mRNA and its own mRNA. Essential for skeletal muscle differentiation program through the translational up-regulation of IGF2 expression. Suppressor of microRNA (miRNA) biogenesis, including that of let-7, miR107, miR-143 and miR-200c. Specifically binds the miRNA precursors (pre-miRNAs), recognizing an 5'-GGAG-3' motif found in pre-miRNA terminal loop, and recruits TUT4 and TUT7 uridylyltransferases (PubMed : 18951094, PubMed : 19703396, PubMed : 22118463, PubMed : 22898984). This results in the terminal uridylation of target pre-miRNAs (PubMed : 18951094, PubMed : 19703396, PubMed : 22118463, PubMed : 22898984). Uridylated pre-miRNAs fail to be processed by Dicer and undergo degradation. The repression of let-7 expression is required for normal development and contributes to maintain the pluripotent state by preventing let-7-mediated differentiation of embryonic stem cells (PubMed : 18951094, PubMed : 19703396, PubMed : 22118463, PubMed : 22898984). Localized to the periendoplasmic reticulum area, binds to a large number of spliced mRNAs and inhibits the translation of mRNAs destined for the ER, reducing the synthesis of transmembrane proteins, ER or Golgi lumen proteins, and secretory proteins. Binds to and enhances the translation of mRNAs for several metabolic enzymes, such as PFKP, PDHA1 or SDHA, increasing glycolysis and oxidative phosphorylation. Which, with the let-7 repression may enhance tissue repair in adult tissue (By similarity).
See full target information LIN28A

Product promise

We are committed to supporting your work with high-quality reagents, and we're here for you every step of the way. In the unlikely event that one of our products does not perform as expected, you're protected by our Product Promise.
For full details, please see our Terms & Conditions

Please note: All products are 'FOR RESEARCH USE ONLY. NOT FOR USE IN DIAGNOSTIC OR THERAPEUTIC PROCEDURES'.

For licensing inquiries, please contact partnerships@abcam.com