JavaScript is disabled in your browser. Please enable JavaScript to view this website.
AB214230

Anti-LIN9/TGS antibody

Be the first to review this product! Submit a review

|

(1 Publication)

Rabbit Polyclonal LIN9/TGS antibody. Suitable for IHC-P, WB and reacts with Human, Mouse samples. Cited in 1 publication. Immunogen corresponding to Synthetic Peptide within Human LIN9 aa 450 to C-terminus conjugated to Keyhole Limpet Haemocyanin.

View Alternative Names

BARA, TGS, LIN9, Protein lin-9 homolog, HuLin-9, hLin-9, Beta subunit-associated regulator of apoptosis, TUDOR gene similar protein, Type I interferon receptor beta chain-associated protein, pRB-associated protein

2 Images
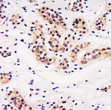
Immunohistochemistry (Formalin/PFA-fixed paraffin-embedded sections) - Anti-LIN9/TGS antibody (AB214230)
  • IHC-P

Supplier Data

Immunohistochemistry (Formalin/PFA-fixed paraffin-embedded sections) - Anti-LIN9/TGS antibody (AB214230)

Immunohistochemical analysis of formalin-fixed, paraffin-embedded Human kidney tissue sections labeling LIN9/TGS using ab214230 at a 1/200 dilution, followed by conjugation to the secondary antibody and DAB staining.

Western blot - Anti-LIN9/TGS antibody (AB214230)
  • WB

Supplier Data

Western blot - Anti-LIN9/TGS antibody (AB214230)

All lanes:

Western blot - Anti-LIN9/TGS antibody (ab214230) at 1/300 dilution

All lanes:

mouse bone lysate

Secondary

All lanes:

Goat anti-rabbit IgG (H+L) HRP conjugated at 1/10000 dilution

Predicted band size: 62 kDa

false

Key facts

Host species

Rabbit

Clonality

Polyclonal

Isotype

IgG

Carrier free

No

Reacts with

Mouse, Human

Applications

WB, IHC-P

applications

Immunogen

Synthetic Peptide within Human LIN9 aa 450 to C-terminus conjugated to Keyhole Limpet Haemocyanin. The exact immunogen used to generate this antibody is proprietary information.

Q5TKA1

Reactivity data

{ "title": "Reactivity Data", "filters": { "stats": ["", "Species", "Dilution Info", "Notes"], "tabs": { "all-applications": {"fullname" : "All Applications", "shortname": "All Applications"}, "IHCP" : {"fullname" : "Immunohistochemistry (Formalin/PFA-fixed paraffin-embedded sections)", "shortname":"IHC-P"}, "WB" : {"fullname" : "Western blot", "shortname":"WB"} }, "product-promise": { "all": "all", "testedAndGuaranteed": "tested", "guaranteed": "expected", "predicted": "predicted", "notRecommended": "not-recommended" } }, "values": { "Human": { "IHCP-species-checked": "testedAndGuaranteed", "IHCP-species-dilution-info": "1/200", "IHCP-species-notes": "<p></p> Perform heat-mediated antigen retrieval with citrate buffer pH 6 before commencing with IHC staining protocol.", "WB-species-checked": "guaranteed", "WB-species-dilution-info": "", "WB-species-notes": "" }, "Mouse": { "IHCP-species-checked": "guaranteed", "IHCP-species-dilution-info": "", "IHCP-species-notes": "", "WB-species-checked": "testedAndGuaranteed", "WB-species-dilution-info": "1/100 - 1/1000", "WB-species-notes": "<p></p>" }, "Rat": { "IHCP-species-checked": "predicted", "IHCP-species-dilution-info": "", "IHCP-species-notes": "", "WB-species-checked": "predicted", "WB-species-dilution-info": "", "WB-species-notes": "" } } }

Properties and storage information

Form
Liquid
Purification technique
Affinity purification Protein A
Storage buffer
pH: 7.4 Preservative: 0.02% Proclin 300 Constituents: 50% Glycerol (glycerin, glycerine), 48.98% TBS, 1X, 1% BSA
Shipped at conditions
Blue Ice
Appropriate short-term storage duration
1-2 weeks
Appropriate short-term storage conditions
+4°C
Appropriate long-term storage conditions
-20°C
Aliquoting information
Upon delivery aliquot
Storage information
Avoid freeze / thaw cycle

Supplementary information

This supplementary information is collated from multiple sources and compiled automatically.

LIN9 also known as TGS is a component of the multiprotein MuvB complex integral to cell cycle regulation. The protein has an approximate mass of 73 kDa and shows expression in various tissues with higher levels seen in proliferative cells. LIN9 plays a significant role in transcriptional activation particularly during the G1/S and G2/M transitions of the cell cycle. Its expression patterns suggest an important role in dividing cells.
Biological function summary

The MuvB complex where LIN9 is a part regulates genes essential for the mitotic processes. LIN9 participates in the switching of E2F target genes necessary for cell cycle entry and progression. It aids in chromatin remodeling facilitating the transcription of genes needed for DNA replication and chromosome segregation. This role places LIN9 at the heart of many cellular proliferation processes.

Pathways

Cell cycle control represents one of the core pathways involving LIN9. This protein connects with the Retinoblastoma (Rb) pathway interacting with proteins like E2F4 and p130. These interactions reflect LIN9's important role in the regulation of cell cycle genes and checkpoints helping to ensure proper DNA replication and mitosis. LIN9 also engages with other pathways such as the DNA damage response highlighting its broader impact on genomic stability.

LIN9’s misregulation associates with cancer and various proliferative disorders. In cancers alterations in LIN9 expression can lead to uncontrolled cell cycle progression contributing to tumorigenesis. Dysregulation also connects LIN9 to neurodegenerative disorders. LIN9's interaction with proteins like E2F4 establishes a link with retinoblastoma susceptibility highlighting its potential role in both neoplastic and non-neoplastic disease contexts.

Product protocols

For this product, it's our understanding that no specific protocols are required. You can visit:

Target data

Acts as a tumor suppressor. Inhibits DNA synthesis. Its ability to inhibit oncogenic transformation is mediated through its association with RB1. Plays a role in the expression of genes required for the G1/S transition.
See full target information LIN9

Publications (1)

Recent publications for all applications. Explore the full list and refine your search

Scientific reports 13:2520 PubMed36781906

2023

Tanshinone IIA-loaded nanoparticles and neural stem cell combination therapy improves gut homeostasis and recovery in a pig ischemic stroke model.

Applications

Unspecified application

Species

Unspecified reactive species

Julie H Jeon,Erin E Kaiser,Elizabeth S Waters,Xueyuan Yang,Jeferson M Lourenco,Madison M Fagan,Kelly M Scheulin,Sydney E Sneed,Soo K Shin,Holly A Kinder,Anil Kumar,Simon R Platt,Jeongyoun Ahn,Kylee J Duberstein,Michael J Rothrock,Todd R Callaway,Jin Xie,Franklin D West,Hea Jin Park
View all publications

Product promise

We are committed to supporting your work with high-quality reagents, and we're here for you every step of the way. In the unlikely event that one of our products does not perform as expected, you're protected by our Product Promise.
For full details, please see our Terms & Conditions

Please note: All products are 'FOR RESEARCH USE ONLY. NOT FOR USE IN DIAGNOSTIC OR THERAPEUTIC PROCEDURES'.

For licensing inquiries, please contact partnerships@abcam.com