JavaScript is disabled in your browser. Please enable JavaScript to view this website.
AB245249

Anti-LINE-1 ORF1p antibody [EPR22227-6]

Be the first to review this product! Submit a review

|

(4 Publications)

Anti-LINE-1 ORF1p antibody [EPR22227-6] (ab245249) is a rabbit monoclonal antibody detecting LINE-1 ORF1p in Western Blot, Flow Cytometry (Intra), Flow Cytometry, IP, IHC-P, ICC/IF. Suitable for Human.

- Biophysical QC for unrivalled batch-batch consistency

View Alternative Names

LRE1, L1RE1, LINE-1 retrotransposable element ORF1 protein, L1ORF1p, LINE retrotransposable element 1, LINE1 retrotransposable element 1

8 Images
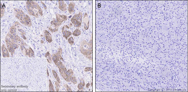
Immunohistochemistry (Formalin/PFA-fixed paraffin-embedded sections) - Anti-LINE-1 ORF1p antibody [EPR22227-6] (AB245249)
  • IHC-P

Unknown

Immunohistochemistry (Formalin/PFA-fixed paraffin-embedded sections) - Anti-LINE-1 ORF1p antibody [EPR22227-6] (AB245249)

Immunohistochemical analysis of paraffin-embedded human pancreatic cancer (Panel A) and adjacent normal tissue (Panel B) labeling LINE-1 ORF1p with ab245249 at 1/500 dilution, followed by a ready to use Goat Anti-Rabbit IgG H&L (HRP). Cytoplasmic staining in pancreatic cancer (Panel A) but negative in adjacent normal tissue (Panel B). (PMID : 24607009). Counterstained with hematoxylin.

Secondary antibody only control : Used PBS instead of primary antibody, secondary antibody is a ready to use Goat Anti-Rabbit IgG H&L (HRP).

Perform heat mediated antigen retrieval using ab93684 (Tris/EDTA buffer, pH 9.0).

Flow Cytometry (Intracellular) - Anti-LINE-1 ORF1p antibody [EPR22227-6] (AB245249)
  • Flow Cyt (Intra)

Unknown

Flow Cytometry (Intracellular) - Anti-LINE-1 ORF1p antibody [EPR22227-6] (AB245249)

Intracellular flow cytometric analysis of 4% paraformaldehyde-fixed, 90% methanol permeabilized HCT 116 (human colorectal carcinoma epithelial cell, Left panel) / NCCIT (human pluripotent embryonic carcinoma epithelial cell, Right panel) cell lines labeling LINE-1 ORF1p with ab245249 at 1/500 (red) compared with a Rabbit monoclonal IgG (ab172730) (black) and an unlabeled control (cells without incubation with primary antibody and secondary antibody) (blue). Goat anti rabbit IgG (Alexa Fluor® 488, ab150077), at 1/2000 dilution was used as the secondary antibody.

The expression level on HCT 116 (low) and NCCIT (high) is consistent with literature (PMID : 27016617).

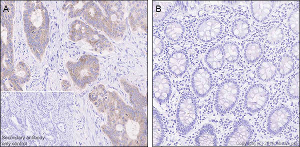
Immunohistochemistry (Formalin/PFA-fixed paraffin-embedded sections) - Anti-LINE-1 ORF1p antibody [EPR22227-6] (AB245249)
  • IHC-P

Unknown

Immunohistochemistry (Formalin/PFA-fixed paraffin-embedded sections) - Anti-LINE-1 ORF1p antibody [EPR22227-6] (AB245249)

Immunohistochemical analysis of paraffin-embedded human colon cancer (Panel A) and adjacent normal tissue (Panel B) labeling LINE-1 ORF1p with ab245249 at 1/500 dilution, followed by a ready to use Goat Anti-Rabbit IgG H&L (HRP). Cytoplasmic staining in colon cancer (Panel A) but negative in adjacent normal tissue (Panel B). (PMID : 24607009). Counterstained with hematoxylin.
Secondary antibody only control : Used PBS instead of primary antibody, secondary antibody is a ready to use Goat Anti-Rabbit IgG H&L (HRP).
Perform heat mediated antigen retrieval using ab93684 (Tris/EDTA buffer, pH 9.0).

Immunohistochemistry (Formalin/PFA-fixed paraffin-embedded sections) - Anti-LINE-1 ORF1p antibody [EPR22227-6] (AB245249)
  • IHC-P

Unknown

Immunohistochemistry (Formalin/PFA-fixed paraffin-embedded sections) - Anti-LINE-1 ORF1p antibody [EPR22227-6] (AB245249)

Immunohistochemical analysis of paraffin-embedded human lung cancer (Panel A) and adjacent normal tissue (Panel B) labeling LINE-1 ORF1p with ab245249 at 1/500 dilution, followed by a ready to use Goat Anti-Rabbit IgG H&L (HRP). Cytoplasmic staining in lung cancer (Panel A) but negative in adjacent normal tissue (Panel B). (PMID : 24607009). Counterstained with hematoxylin.

Secondary antibody only control : Used PBS instead of primary antibody, secondary antibody is a ready to use Goat Anti-Rabbit IgG H&L (HRP).

Perform heat mediated antigen retrieval using ab93684 (Tris/EDTA buffer, pH 9.0).

Immunocytochemistry/ Immunofluorescence - Anti-LINE-1 ORF1p antibody [EPR22227-6] (AB245249)
  • ICC/IF

Unknown

Immunocytochemistry/ Immunofluorescence - Anti-LINE-1 ORF1p antibody [EPR22227-6] (AB245249)

Immunofluorescent analysis of 4% paraformaldehyde-fixed, 0.1% Triton X-100 permeabilized NCCIT (human pluripotent embryonic carcinoma epithelial cell) cells labeling LINE-1 ORF1p with ab245249 at 1/100 dilution, followed by Goat Anti-Rabbit IgG H&L (Alexa Fluor® 488) (ab150077) secondary antibody at 1/1000 dilution (green). Confocal image showing cytoplasmic with punctate foci and nucleolar staining in NCCIT cells (PMID : 17562864; 15028673). The nuclear counter stain is DAPI (blue).
Counterstained with ab195889 Anti-alpha Tubulin antibody [DM1A] - Microtubule Marker (Alexa Fluor® 594) at a 1/200 dilution (red).
Secondary antibody only control : Used PBS instead of primary antibody, followed by Goat Anti-Rabbit IgG H&L (Alexa Fluor® 488) (ab150077) secondary antibody at 1/1000 dilution.

Immunocytochemistry/ Immunofluorescence - Anti-LINE-1 ORF1p antibody [EPR22227-6] (AB245249)
  • ICC/IF

Unknown

Immunocytochemistry/ Immunofluorescence - Anti-LINE-1 ORF1p antibody [EPR22227-6] (AB245249)

Immunofluorescent analysis of 4% paraformaldehyde-fixed, 0.1% Triton X-100 permeabilized MCF7 (human breast adenocarcinoma epithelial cell) cells labeling LINE-1 ORF1p with ab245249 at 1/100 dilution, followed by Goat Anti-Rabbit IgG H&L (Alexa Fluor® 488) (ab150077) secondary antibody at 1/1000 dilution (green). Confocal image showing cytoplasmic with punctate foci and nucleolar staining in MCF7 cells (PMID : 15028673; 17562864). The nuclear counter stain is DAPI (blue).
Counterstained with ab195889 Anti-alpha Tubulin antibody [DM1A] - Microtubule Marker (Alexa Fluor® 594) at a 1/200 dilution (red).
Secondary antibody only control : Used PBS instead of primary antibody, followed by Goat Anti-Rabbit IgG H&L (Alexa Fluor® 488) (ab150077) secondary antibody at 1/1000 dilution..

Immunoprecipitation - Anti-LINE-1 ORF1p antibody [EPR22227-6] (AB245249)
  • IP

Unknown

Immunoprecipitation - Anti-LINE-1 ORF1p antibody [EPR22227-6] (AB245249)

LINE-1 ORF1p was immunoprecipitated from 0.35 mg NCCIT (human pluripotent embryonic carcinoma epithelial cell) whole cell lysate with ab245249 at 1/30 dilution. Western blot was performed from the immunoprecipitate using ab245249 at 1/2000 dilution. VeriBlot for IP Detection Reagent (HRP) (ab131366), was used for detection at 1/5000 dilution.

Lane 1 : NCCIT whole cell lysate 10 μg (Input).
Lane 2 : ab245249 IP in NCCIT whole cell lysate.
Lane 3 : Rabbit monoclonal IgG (ab172730) instead of ab245249 in NCCIT whole cell lysate.

The lower 33-kDa band is likely to be the truncated form (PMID : 29505568).

Blocking/Dilution buffer : 5% NFDM/TBST.
Exposure time : 1 second.

All lanes:

Immunoprecipitation - Anti-LINE-1 ORF1p antibody [EPR22227-6] (ab245249)

Observed band size: 33 kDa,42 kDa

false

Western blot - Anti-LINE-1 ORF1p antibody [EPR22227-6] (AB245249)
  • WB

Unknown

Western blot - Anti-LINE-1 ORF1p antibody [EPR22227-6] (AB245249)

The molecular weight observed is consistent with what has been described in the literature (PMID : 29505568).

The lower 33-kDa band is likely to be a truncated form (PMID : 29505568).

Control cell line : HCT-116 (low-expression, PMID : 27016617).

Blocking/Dilution buffer : 5% NFDM/TBST.

Exposure times : Lane 1 : 5 seconds; Lane 2, 3 and 4 : 37 seconds.

All lanes:

Western blot - Anti-LINE-1 ORF1p antibody [EPR22227-6] (ab245249) at 1/1000 dilution

Lane 1:

NCCIT (human pluripotent embryonic carcinoma epithelial cell) whole cell lysate at 20 µg

Lane 2:

MCF7 (human breast adenocarcinoma epithelial cell) whole cell lysate at 20 µg

Lane 3:

K562 (human chronic myelogenous leukemia lymphoblast) whole cell lysate at 20 µg

Lane 4:

HCT 116 (human colorectal carcinoma epithelial cell) whole cell lysate at 20 µg

Secondary

All lanes:

Western blot - Goat Anti-Rabbit IgG H&L (HRP) (<a href='/en-us/products/secondary-antibodies/goat-rabbit-igg-h-l-hrp-ab97051'>ab97051</a>) at 1/100000 dilution

Predicted band size: 40 kDa

Observed band size: 33 kDa,42 kDa

false

Key facts

Host species

Rabbit

Clonality

Monoclonal

Clone number

EPR22227-6

Isotype

IgG

Carrier free

No

Reacts with

Human

Applications

IHC-P, IP, WB, ICC/IF, Flow Cyt (Intra)

applications

Immunogen

The exact immunogen used to generate this antibody is proprietary information.

Reactivity data

{ "title": "Reactivity Data", "filters": { "stats": ["", "Species", "Dilution Info", "Notes"], "tabs": { "all-applications": {"fullname" : "All Applications", "shortname": "All Applications"}, "IP" : {"fullname" : "Immunoprecipitation", "shortname":"IP"}, "WB" : {"fullname" : "Western blot", "shortname":"WB"}, "ICCIF" : {"fullname" : "Immunocytochemistry/ Immunofluorescence", "shortname":"ICC/IF"}, "FlowCytIntra" : {"fullname" : "Flow Cytometry (Intracellular)", "shortname":"Flow Cyt (Intra)"}, "IHCP" : {"fullname" : "Immunohistochemistry (Formalin/PFA-fixed paraffin-embedded sections)", "shortname":"IHC-P"} }, "product-promise": { "all": "all", "testedAndGuaranteed": "tested", "guaranteed": "expected", "predicted": "predicted", "notRecommended": "not-recommended" } }, "values": { "Human": { "IP-species-checked": "testedAndGuaranteed", "IP-species-dilution-info": "1/30", "IP-species-notes": "<p></p>", "WB-species-checked": "testedAndGuaranteed", "WB-species-dilution-info": "1/1000", "WB-species-notes": "<p></p>", "ICCIF-species-checked": "testedAndGuaranteed", "ICCIF-species-dilution-info": "1/100", "ICCIF-species-notes": "<p></p>", "FlowCytIntra-species-checked": "testedAndGuaranteed", "FlowCytIntra-species-dilution-info": "1/500", "FlowCytIntra-species-notes": "<p></p>", "IHCP-species-checked": "testedAndGuaranteed", "IHCP-species-dilution-info": "1/500", "IHCP-species-notes": "<p></p> Perform heat-mediated antigen retrieval with Tris/EDTA buffer pH 9.0 before commencing with IHC staining protocol." } } }

Product details

What is this antibody validated in?
Anti-LINE-1 ORF1p antibody [EPR22227-6] (ab245249) is a rabbit recombinant monoclonal antibody and is validated for use in Western Blot (WB), Flow Cytometry (Intra), Flow Cytometry (Flow Cyt), Immunoprecipitation (IP), Immunohistochemistry (IHC-P), Immunocytochemistry/immunofluorescence (ICC/IF) in Human samples.

What is the molecular weight of LINE-1 ORF1p?
Anti-LINE-1 ORF1p [EPR22227-6] (ab245249) specifically detects a band for LINE-1 ORF1p (UniProt: Q9UN81) at a molecular weight of 40kDa.

Trial sizes available!
Test your antibody or perform pre-screening before committing to a larger quantity. Sold in 10µl. Discover our selection of trial-size antibodies.

Other related products
We have a range of other formats of antibody clone [EPR22227-6] also available for your convenience: ab245249, Carrier free - ab246317, Alexa Fluor® 647 - ab314927, Alexa Fluor® 488 - ab315135

Patented technology
Our RabMAb® technology is a patented hybridoma-based technology for making rabbit monoclonal antibodies. For details on our patents, please refer to RabMAb® patents.

What are the advantages of a recombinant monoclonal antibody?
This product is a recombinant monoclonal antibody, which offers several advantages including:

  • - High batch-to-batch consistency and reproducibility
  • - Improved sensitivity and specificity
  • - Long-term security of supply
  • - Animal-free batch production

For more information, read more on recombinant antibodies.

Properties and storage information

Form
Liquid
Purification technique
Affinity purification Protein A
Storage buffer
pH: 7.2 - 7.4 Preservative: 0.01% Sodium azide Constituents: PBS, 40% Glycerol (glycerin, glycerine), 0.05% BSA
Shipped at conditions
Blue Ice
Appropriate short-term storage duration
1-2 weeks
Appropriate short-term storage conditions
+4°C
Appropriate long-term storage conditions
-20°C
Aliquoting information
Upon delivery aliquot
Storage information
Avoid freeze / thaw cycle

Supplementary information

This supplementary information is collated from multiple sources and compiled automatically.

The LINE-1 ORF1p also called L1 ORF1p is a protein encoded by the open reading frame 1 (ORF1) of the long interspersed nuclear element-1 (LINE-1 or L1) family. These proteins typically have a mass of around 40 kDa. They are predominantly expressed in the germ line and embryonic tissues but can also be found in various somatic tissues under abnormal conditions. L1 ORF1p plays a critical role in the retrotransposition process by forming ribonucleoprotein complexes that assist LINE-1 RNA in entering the nucleus and integrating into the genome.
Biological function summary

L1 ORF1p facilitates the mobilization of LINE-1 elements within the genome impacting genome stability and variability. This protein forms a trimeric complex that binds LINE-1 RNA protecting it from degradation. By promoting the retrotransposition of LINE-1 elements L1 ORF1p influences genomic dynamics potentially contributing to genetic diversity but also potentially causing insertions that may lead to genomic instability and associated pathologies.

Pathways

The activity of L1 ORF1p intersects with genome defense mechanisms and cellular stress response pathways. Important pathways include the single-stranded DNA break repair system and retrotransposon silencing mechanisms where proteins like TREX1 and MOV10 play related roles. These pathways help control the activity of transposable elements and maintain genomic integrity providing a first line of defense against potential disruptions caused by retrotransposition events.

Aberrant expression or dysregulation of L1 ORF1p has been linked to cancer and neurodegenerative disorders. Elevated levels of L1 ORF1p have been observed in some cancers such as lung and breast cancer where it may contribute to genomic instability. Furthermore Alzheimer's disease has shown L1 activity potentially involving interaction with amyloid precursor protein (APP) and contributing to disease pathology. Understanding these associations highlights the relevance of L1 ORF1p as a potential target for therapeutic intervention in these diseases.

Product protocols

For this product, it's our understanding that no specific protocols are required. You can visit:

Target data

Nucleic acid-binding protein which is essential for retrotransposition of LINE-1 elements in the genome. Functions as a nucleic acid chaperone binding its own transcript and therefore preferentially mobilizing the transcript from which they are encoded.
See full target information L1RE1

Publications (4)

Recent publications for all applications. Explore the full list and refine your search

American journal of reproductive immunology (New York, N.Y. : 1989) 93:e70106 PubMed40454815

2025

The Impacts of TNF-α-Induced Inflammation on Amnion Epithelial Cells: Exploring Stem Cell Gene Expression, Senescence, Inflammatory Responses, and Cellular Transition.

Applications

Unspecified application

Species

Unspecified reactive species

Madhuri Tatiparthy,Ananth Kumar Kammala,Rheanna Urrabaz-Garza,Tilu Jain Thomas,Souvik Paul,Jaganmoy Choudhury,Ramkumar Menon,Lauren S Richardson

Alzheimer's & dementia : the journal of the Alzheimer's Association 21:e14595 PubMed39985481

2025

Human herpesvirus-associated transposable element activation in human aging brains with Alzheimer's disease.

Applications

Unspecified application

Species

Unspecified reactive species

Yayan Feng,Shu-Qin Cao,Yi Shi,Anna Sun,Margaret E Flanagan,James B Leverenz,Andrew A Pieper,Jae U Jung,Jeffrey Cummings,Evandro Fei Fang,Pengyue Zhang,Feixiong Cheng

Molecular cell 84:1021-1035.e11 PubMed38359823

2024

C19ORF84 connects piRNA and DNA methylation machineries to defend the mammalian germ line.

Applications

Unspecified application

Species

Unspecified reactive species

Ansgar Zoch,Gabriela Konieczny,Tania Auchynnikava,Birgit Stallmeyer,Nadja Rotte,Madeleine Heep,Rebecca V Berrens,Martina Schito,Yuka Kabayama,Theresa Schöpp,Sabine Kliesch,Brendan Houston,Liina Nagirnaja,Moira K O'Bryan,Kenneth I Aston,Donald F Conrad,Juri Rappsilber,Robin C Allshire,Atlanta G Cook,Frank Tüttelmann,Dónal O'Carroll

Biomedicines 11: PubMed38002016

2023

The Ultraviolet Irradiation of Keratinocytes Induces Ectopic Expression of LINE-1 Retrotransposon Machinery and Leads to Cellular Senescence.

Applications

Unspecified application

Species

Unspecified reactive species

Fadi Touma,Marine Lambert,Amelia Martínez Villarreal,Jennifer Gantchev,Brandon Ramchatesingh,Ivan V Litvinov
View all publications

Product promise

We are committed to supporting your work with high-quality reagents, and we're here for you every step of the way. In the unlikely event that one of our products does not perform as expected, you're protected by our Product Promise.
For full details, please see our Terms & Conditions

Please note: All products are 'FOR RESEARCH USE ONLY. NOT FOR USE IN DIAGNOSTIC OR THERAPEUTIC PROCEDURES'.

For licensing inquiries, please contact partnerships@abcam.com