JavaScript is disabled in your browser. Please enable JavaScript to view this website.
AB246317

Anti-LINE-1 ORF1p antibody [EPR22227-6] - BSA and Azide free

Be the first to review this product! Submit a review

|

(2 Publications)

Anti-LINE-1 ORF1p antibody [EPR22227-6] - BSA and Azide free (ab246317) is a rabbit recombinant monoclonal antibody provided in a PBS only buffer for easy conjugation. Suitable for Western Blot, Flow Cytometry, IP, IHC-P, ICC/IF in Human.

- BSA, sodium azide, and glycerol-free for easy conjugation
- Biophysical QC for unrivalled batch-batch consistency

View Alternative Names

LRE1, L1RE1, LINE-1 retrotransposable element ORF1 protein, L1ORF1p, LINE retrotransposable element 1, LINE1 retrotransposable element 1

7 Images
Immunohistochemistry (Formalin/PFA-fixed paraffin-embedded sections) - Anti-LINE-1 ORF1p antibody [EPR22227-6] - BSA and Azide free (AB246317)
  • IHC-P

Unknown

Immunohistochemistry (Formalin/PFA-fixed paraffin-embedded sections) - Anti-LINE-1 ORF1p antibody [EPR22227-6] - BSA and Azide free (AB246317)

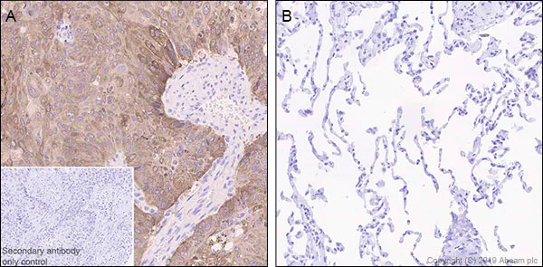
Immunohistochemical analysis of paraffin-embedded human pancreatic cancer (Panel A) and adjacent normal tissue (Panel B) labeling LINE-1 ORF1p with ab245249 at 1/500 dilution, followed by a ready to use Goat Anti-Rabbit IgG H&L (HRP). Cytoplasmic staining in pancreatic cancer (Panel A) but negative in adjacent normal tissue (Panel B). (PMID : 24607009). Counterstained with hematoxylin.
Secondary antibody only control : Used PBS instead of primary antibody, secondary antibody is a ready to use Goat Anti-Rabbit IgG H&L (HRP).
Perform heat mediated antigen retrieval using ab93684 (Tris/EDTA buffer, pH 9.0).This data was developed using the same antibody clone in a different buffer formulation containing PBS, BSA, glycerol, and sodium azide (ab245249).

Flow Cytometry (Intracellular) - Anti-LINE-1 ORF1p antibody [EPR22227-6] - BSA and Azide free (AB246317)
  • Flow Cyt (Intra)

Unknown

Flow Cytometry (Intracellular) - Anti-LINE-1 ORF1p antibody [EPR22227-6] - BSA and Azide free (AB246317)

Intracellular flow cytometric analysis of 4% paraformaldehyde-fixed, 90% methanol permeabilized HCT 116 (human colorectal carcinoma epithelial cell, Left panel) / NCCIT (human pluripotent embryonic carcinoma epithelial cell, Right panel) cell lines labeling LINE-1 ORF1p with ab245249 at 1/500 (red) compared with a Rabbit monoclonal IgG (ab172730) (black) and an unlabeled control (cells without incubation with primary antibody and secondary antibody) (blue). Goat anti rabbit IgG (Alexa Fluor® 488, ab150077), at 1/2000 dilution was used as the secondary antibody.

The expression level on HCT 116 (low) and NCCIT (high) is consistent with literature (PMID : 27016617).

This data was developed using the same antibody clone in a different buffer formulation containing PBS, BSA, glycerol, and sodium azide (ab245249).

Immunohistochemistry (Formalin/PFA-fixed paraffin-embedded sections) - Anti-LINE-1 ORF1p antibody [EPR22227-6] - BSA and Azide free (AB246317)
  • IHC-P

Unknown

Immunohistochemistry (Formalin/PFA-fixed paraffin-embedded sections) - Anti-LINE-1 ORF1p antibody [EPR22227-6] - BSA and Azide free (AB246317)

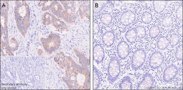
Immunohistochemical analysis of paraffin-embedded human colon cancer (Panel A) and adjacent normal tissue (Panel B) labeling LINE-1 ORF1p with ab245249 at 1/500 dilution, followed by a ready to use Goat Anti-Rabbit IgG H&L (HRP). Cytoplasmic staining in colon cancer (Panel A) but negative in adjacent normal tissue (Panel B). (PMID : 24607009). Counterstained with hematoxylin.
Secondary antibody only control : Used PBS instead of primary antibody, secondary antibody is a ready to use Goat Anti-Rabbit IgG H&L (HRP).
Perform heat mediated antigen retrieval using ab93684 (Tris/EDTA buffer, pH 9.0).This data was developed using the same antibody clone in a different buffer formulation containing PBS, BSA, glycerol, and sodium azide (ab245249).

Immunocytochemistry/ Immunofluorescence - Anti-LINE-1 ORF1p antibody [EPR22227-6] - BSA and Azide free (AB246317)
  • ICC/IF

Unknown

Immunocytochemistry/ Immunofluorescence - Anti-LINE-1 ORF1p antibody [EPR22227-6] - BSA and Azide free (AB246317)

Immunofluorescent analysis of 4% paraformaldehyde-fixed, 0.1% Triton X-100 permeabilized MCF7 (human breast adenocarcinoma epithelial cell) cells labeling LINE-1 ORF1p with ab245249 at 1/100 dilution, followed by Goat Anti-Rabbit IgG H&L (Alexa Fluor® 488) (ab150077) secondary antibody at 1/1000 dilution (green). Confocal image showing cytoplasmic with punctate foci and nucleolar staining in MCF7 cells (PMID : 15028673; 17562864). The nuclear counter stain is DAPI (blue).
Counterstained with ab195889 Anti-alpha Tubulin antibody [DM1A] - Microtubule Marker (Alexa Fluor® 594) at a 1/200 dilution (red).

Secondary antibody only control : Used PBS instead of primary antibody, followed by Goat Anti-Rabbit IgG H&L (Alexa Fluor® 488) (ab150077) secondary antibody at 1/1000 dilution.

This data was developed using the same antibody clone in a different buffer formulation containing PBS, BSA, glycerol, and sodium azide (ab245249).

Immunohistochemistry (Formalin/PFA-fixed paraffin-embedded sections) - Anti-LINE-1 ORF1p antibody [EPR22227-6] - BSA and Azide free (AB246317)
  • IHC-P

Unknown

Immunohistochemistry (Formalin/PFA-fixed paraffin-embedded sections) - Anti-LINE-1 ORF1p antibody [EPR22227-6] - BSA and Azide free (AB246317)

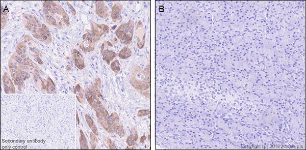
Immunohistochemical analysis of paraffin-embedded human lung cancer (Panel A) and adjacent normal tissue (Panel B) labeling LINE-1 ORF1p with ab245249 at 1/500 dilution, followed by a ready to use Goat Anti-Rabbit IgG H&L (HRP). Cytoplasmic staining in lung cancer (Panel A) but negative in adjacent normal tissue (Panel B). (PMID : 24607009). Counterstained with hematoxylin.
Secondary antibody only control : Used PBS instead of primary antibody, secondary antibody is a ready to use Goat Anti-Rabbit IgG H&L (HRP).
Perform heat mediated antigen retrieval using ab93684 (Tris/EDTA buffer, pH 9.0).This data was developed using the same antibody clone in a different buffer formulation containing PBS, BSA, glycerol, and sodium azide (ab245249).

Immunocytochemistry/ Immunofluorescence - Anti-LINE-1 ORF1p antibody [EPR22227-6] - BSA and Azide free (AB246317)
  • ICC/IF

Unknown

Immunocytochemistry/ Immunofluorescence - Anti-LINE-1 ORF1p antibody [EPR22227-6] - BSA and Azide free (AB246317)

Immunofluorescent analysis of 4% paraformaldehyde-fixed, 0.1% Triton X-100 permeabilized NCCIT (human pluripotent embryonic carcinoma epithelial cell) cells labeling LINE-1 ORF1p with ab245249 at 1/100 dilution, followed by Goat Anti-Rabbit IgG H&L (Alexa Fluor® 488) (ab150077) secondary antibody at 1/1000 dilution (green). Confocal image showing cytoplasmic with punctate foci and nucleolar staining in NCCIT cells (PMID : 17562864; 15028673). The nuclear counter stain is DAPI (blue).
Counterstained with ab195889 Anti-alpha Tubulin antibody [DM1A] - Microtubule Marker (Alexa Fluor® 594) at a 1/200 dilution (red).
Secondary antibody only control : Used PBS instead of primary antibody, followed by Goat Anti-Rabbit IgG H&L (Alexa Fluor® 488) (ab150077) secondary antibody at 1/1000 dilution.

This data was developed using the same antibody clone in a different buffer formulation containing PBS, BSA, glycerol, and sodium azide (ab245249).

Immunoprecipitation - Anti-LINE-1 ORF1p antibody [EPR22227-6] - BSA and Azide free (AB246317)
  • IP

Unknown

Immunoprecipitation - Anti-LINE-1 ORF1p antibody [EPR22227-6] - BSA and Azide free (AB246317)

LINE-1 ORF1p was immunoprecipitated from 0.35 mg NCCIT (human pluripotent embryonic carcinoma epithelial cell) whole cell lysate with ab245249 at 1/30 dilution. Western blot was performed from the immunoprecipitate using ab245249 at 1/2000 dilution. VeriBlot for IP Detection Reagent (HRP) (ab131366), was for detection at 1/5000 dilution.

Lane 1 : NCCIT whole cell lysate 10 μg (Input).
Lane 2 : ab245249 IP in NCCIT whole cell lysate.
Lane 3 : Rabbit monoclonal IgG (ab172730) instead of ab245249 in NCCIT whole cell lysate.

The lower 33-kDa band is likely to be the truncated form (PMID : 29505568).

Blocking/Dilution buffer : 5% NFDM/TBST.
Exposure time : 1 second.

This data was developed using the same antibody clone in a different buffer formulation containing PBS, BSA, glycerol, and sodium azide (ab245249).

All lanes:

Immunoprecipitation - Anti-LINE-1 ORF1p antibody [EPR22227-6] (<a href='/en-us/products/primary-antibodies/line-1-orf1p-antibody-epr22227-6-ab245249'>ab245249</a>)

Observed band size: 33 kDa,42 kDa

false

Key facts

Host species

Rabbit

Clonality

Monoclonal

Clone number

EPR22227-6

Isotype

IgG

Carrier free

Yes

Reacts with

Human

Applications

IHC-P, ICC/IF, Flow Cyt (Intra), IP, WB

applications

Immunogen

The exact immunogen used to generate this antibody is proprietary information.

Reactivity data

{ "title": "Reactivity Data", "filters": { "stats": ["", "Species", "Dilution Info", "Notes"], "tabs": { "all-applications": {"fullname" : "All Applications", "shortname": "All Applications"}, "IP" : {"fullname" : "Immunoprecipitation", "shortname":"IP"}, "WB" : {"fullname" : "Western blot", "shortname":"WB"}, "ICCIF" : {"fullname" : "Immunocytochemistry/ Immunofluorescence", "shortname":"ICC/IF"}, "FlowCytIntra" : {"fullname" : "Flow Cytometry (Intracellular)", "shortname":"Flow Cyt (Intra)"}, "IHCP" : {"fullname" : "Immunohistochemistry (Formalin/PFA-fixed paraffin-embedded sections)", "shortname":"IHC-P"} }, "product-promise": { "all": "all", "testedAndGuaranteed": "tested", "guaranteed": "expected", "predicted": "predicted", "notRecommended": "not-recommended" } }, "values": { "Human": { "IP-species-checked": "testedAndGuaranteed", "IP-species-dilution-info": "", "IP-species-notes": "<p></p> Perform heat-mediated antigen retrieval with Tris/EDTA buffer pH 9.0 before commencing with IHC staining protocol.", "WB-species-checked": "guaranteed", "WB-species-dilution-info": "", "WB-species-notes": "<p></p>", "ICCIF-species-checked": "testedAndGuaranteed", "ICCIF-species-dilution-info": "", "ICCIF-species-notes": "<p></p>", "FlowCytIntra-species-checked": "testedAndGuaranteed", "FlowCytIntra-species-dilution-info": "", "FlowCytIntra-species-notes": "<p></p>", "IHCP-species-checked": "testedAndGuaranteed", "IHCP-species-dilution-info": "", "IHCP-species-notes": "<p></p> Perform heat-mediated antigen retrieval with Tris/EDTA buffer pH 9.0 before commencing with IHC staining protocol." } } }

Product details

What is this antibody validated in?
Anti-LINE-1 ORF1p antibody [EPR22227-6] - BSA and Azide free (ab246317) is a rabbit recombinant monoclonal antibody and is validated for use in Western Blot (WB), Flow Cytometry (Intra), Flow Cytometry (Flow Cyt), Immunoprecipitation (IP), Immunohistochemistry (IHC-P), Immunocytochemistry/immunofluorescence (ICC/IF) in Human samples.

Other related products
We have a range of other formats of antibody clone [EPR22227-6] also available for your convenience: ab245249, Carrier free - ab246317, Alexa Fluor® 647 - ab314927, Alexa Fluor® 488 - ab315135

Patented technology
Our RabMAb® technology is a patented hybridoma-based technology for making rabbit monoclonal antibodies. For details on our patents, please refer to RabMAb® patents.

What are the advantages of a recombinant monoclonal antibody?
This product is a recombinant monoclonal antibody, which offers several advantages including:

  • - High batch-to-batch consistency and reproducibility
  • - Improved sensitivity and specificity
  • - Long-term security of supply
  • - Animal-free batch production

For more information, read more on recombinant antibodies.

Conjugation ready
Our carrier-free antibodies are typically supplied in a PBS-only formulation, purified and free of BSA, sodium azide and glycerol. This conjugation-ready format is designed for use with fluorochromes, metal isotopes, oligonucleotides, and enzymes, which makes them ideal for antibody labelling, functional and cell-based assays, flow-based assays (e.g. mass cytometry) and Multiplex Imaging applications.

Use our conjugation kits for antibody conjugates that are ready-to-use in as little as 20 minutes with 1 minute hands-on-time and 100% antibody recovery: available for fluorescent dyes, HRP, biotin and gold.

Compatibility
This product is compatible with the Maxpar® Antibody Labeling Kit from Fluidigm, without the need for antibody preparation. Maxpar® is a trademark of Fluidigm Canada Inc.

Properties and storage information

Form
Liquid
Purification technique
Affinity purification Protein A
Storage buffer
pH: 7.2 - 7.4 Constituents: PBS
Shipped at conditions
Blue Ice
Appropriate short-term storage conditions
+4°C
Appropriate long-term storage conditions
+4°C
Storage information
Do Not Freeze

Supplementary information

This supplementary information is collated from multiple sources and compiled automatically.

The LINE-1 ORF1p also called L1 ORF1p is a protein encoded by the open reading frame 1 (ORF1) of the long interspersed nuclear element-1 (LINE-1 or L1) family. These proteins typically have a mass of around 40 kDa. They are predominantly expressed in the germ line and embryonic tissues but can also be found in various somatic tissues under abnormal conditions. L1 ORF1p plays a critical role in the retrotransposition process by forming ribonucleoprotein complexes that assist LINE-1 RNA in entering the nucleus and integrating into the genome.
Biological function summary

L1 ORF1p facilitates the mobilization of LINE-1 elements within the genome impacting genome stability and variability. This protein forms a trimeric complex that binds LINE-1 RNA protecting it from degradation. By promoting the retrotransposition of LINE-1 elements L1 ORF1p influences genomic dynamics potentially contributing to genetic diversity but also potentially causing insertions that may lead to genomic instability and associated pathologies.

Pathways

The activity of L1 ORF1p intersects with genome defense mechanisms and cellular stress response pathways. Important pathways include the single-stranded DNA break repair system and retrotransposon silencing mechanisms where proteins like TREX1 and MOV10 play related roles. These pathways help control the activity of transposable elements and maintain genomic integrity providing a first line of defense against potential disruptions caused by retrotransposition events.

Aberrant expression or dysregulation of L1 ORF1p has been linked to cancer and neurodegenerative disorders. Elevated levels of L1 ORF1p have been observed in some cancers such as lung and breast cancer where it may contribute to genomic instability. Furthermore Alzheimer's disease has shown L1 activity potentially involving interaction with amyloid precursor protein (APP) and contributing to disease pathology. Understanding these associations highlights the relevance of L1 ORF1p as a potential target for therapeutic intervention in these diseases.

Product protocols

For this product, it's our understanding that no specific protocols are required. You can visit:

Target data

Nucleic acid-binding protein which is essential for retrotransposition of LINE-1 elements in the genome. Functions as a nucleic acid chaperone binding its own transcript and therefore preferentially mobilizing the transcript from which they are encoded.
See full target information L1RE1

Publications (2)

Recent publications for all applications. Explore the full list and refine your search

bioRxiv : the preprint server for biology : PubMed36747644

2023

Ultrasensitive detection of circulating LINE-1 ORF1p as a specific multi-cancer biomarker.

Applications

Unspecified application

Species

Unspecified reactive species

Martin S Taylor,Wu Connie,Peter C Fridy,Stephanie J Zhang,Yasmeen Senussi,Justina C Wolters,Wen-Chih Cheng,John Heaps,Bryant D Miller,Kei Mori,Limor Cohen,Hua Jiang,Kelly R Molloy,Bryanna L Norden,Brian T Chait,Michael Goggins,Irun Bhan,Joseph W Franses,Xiaoyu Yang,Mary-Ellen Taplin,Xinan Wang,David C Christiani,Bruce E Johnson,Matthew Meyerson,Ravindra Uppaluri,Ann Marie Egloff,Elyssa N Denault,Laura M Spring,Tian-Li Wang,Ie-Ming Shih,Euihye Jung,Kshitij S Arora,Lawrence R Zukerberg,Osman H Yilmaz,Gary Chi,Ursula A Matulonis,Yuhui Song,Linda Nieman,Aparna R Parikh,Matthew Strickland,Ryan B Corcoran,Tomas Mustelin,George Eng,Ã-Mer H Yilmaz,Steven J Skates,Bo R Rueda,Ronny Drapkin,Samuel J Klempner,Vikram Deshpande,David T Ting,Michael P Rout,John LaCava,David R Walt,Kathleen H Burns

Cancer discovery 12:1462-1481 PubMed35320348

2022

Reverse Transcriptase Inhibition Disrupts Repeat Element Life Cycle in Colorectal Cancer.

Applications

Unspecified application

Species

Unspecified reactive species

Mihir Rajurkar,Aparna R Parikh,Alexander Solovyov,Eunae You,Anupriya S Kulkarni,Chong Chu,Katherine H Xu,Christopher Jaicks,Martin S Taylor,Connie Wu,Katherine A Alexander,Charly R Good,Annamaria Szabolcs,Stefanie Gerstberger,Antuan V Tran,Nova Xu,Richard Y Ebright,Emily E Van Seventer,Kevin D Vo,Eric C Tai,Chenyue Lu,Jasmin Joseph-Chazan,Michael J Raabe,Linda T Nieman,Niyati Desai,Kshitij S Arora,Matteo Ligorio,Vishal Thapar,Limor Cohen,Padric M Garden,Yasmeen Senussi,Hui Zheng,Jill N Allen,Lawrence S Blaszkowsky,Jeffrey W Clark,Lipika Goyal,Jennifer Y Wo,David P Ryan,Ryan B Corcoran,Vikram Deshpande,Miguel N Rivera,Martin J Aryee,Theodore S Hong,Shelley L Berger,David R Walt,Kathleen H Burns,Peter J Park,Benjamin D Greenbaum,David T Ting
View all publications

Product promise

We are committed to supporting your work with high-quality reagents, and we're here for you every step of the way. In the unlikely event that one of our products does not perform as expected, you're protected by our Product Promise.
For full details, please see our Terms & Conditions

Please note: All products are 'FOR RESEARCH USE ONLY. NOT FOR USE IN DIAGNOSTIC OR THERAPEUTIC PROCEDURES'.

For licensing inquiries, please contact partnerships@abcam.com