JavaScript is disabled in your browser. Please enable JavaScript to view this website.
AB63929

Anti-Lipocalin-2 / NGAL antibody

4

(5 Reviews)

|

(90 Publications)

Anti-Lipocalin-2 / NGAL antibody (ab63929) is a rabbit polyclonal antibody detecting Lipocalin-2 / NGAL in Western Blot. Suitable for Mouse.

- Over 90 publications
- Trusted since 2008

View Alternative Names

Neutrophil gelatinase-associated lipocalin, NGAL, Lipocalin-2, Oncogene 24p3, SV-40-induced 24p3 protein, Siderocalin LCN2, p25, 24p3, Lcn2

3 Images
Western blot - Anti-Lipocalin-2 / NGAL antibody (AB63929)
  • WB

Supplier Data

Western blot - Anti-Lipocalin-2 / NGAL antibody (AB63929)

Blocking Buffer - 3% Milk

All lanes:

Western blot - Anti-Lipocalin-2 / NGAL antibody (ab63929) at 1 µg/mL

Lane 1:

Mouse Spleen at 20 µg

Lane 2:

Recombinant Mouse Lipocalin Protein at 10 ng

Secondary

All lanes:

Goat polyclonal to Rabbit IgG - H&L - Pre-Adsorbed (HRP) at 1/50000 dilution

Observed band size: 25 kDa

false

Western blot - Anti-Lipocalin-2 / NGAL antibody (AB63929)
  • WB

Supplier Data

Western blot - Anti-Lipocalin-2 / NGAL antibody (AB63929)

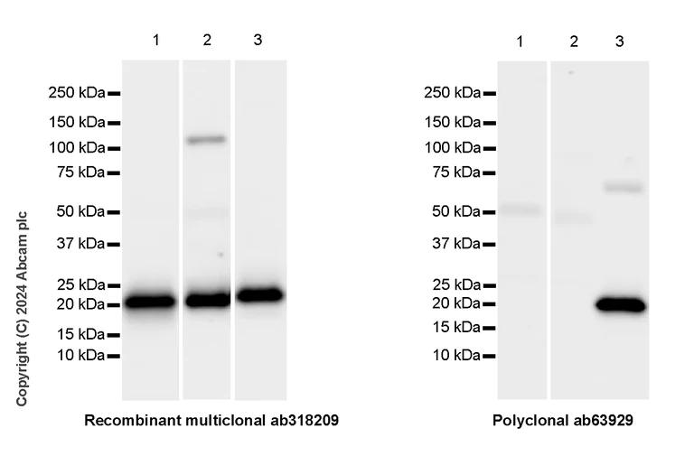
The identity of the higher MW band at approximately 100 kDa in recombinant multiclonal ab318209 (in lane 2) is unknown.

Anti-Lipocalin-2 / NGAL antibody (ab318209) staining at 1/1000 dilution can work on human species, which is better than Anti-Lipocalin-2 / NGAL antibody (ab63929) at 1/1000 dilution.

Exposure time : Recombinant multiclonal ab318209 : Lane 1 : 1 seconds; Lane 2 : 6 seconds, Lane 3 : 1 second Polyclonal ab63939 : 15 seconds

All lanes:

Western blot - Anti-Lipocalin-2 / NGAL antibody [RM1211] (<a href='/en-us/products/primary-antibodies/lipocalin-2-ngal-antibody-rm1211-ab318209'>ab318209</a>) at 1/1000 dilution

Lane 1:

Human bone marrow tissue lysate at 20 µg with NFDM/TBST

Lane 2:

Human lung tissue lysate at 20 µg with NFDM/TBST

Lane 3:

Mouse bone marrow tissue lysate at 20 µg with NFDM/TBST

Secondary

All lanes:

Western blot - Goat Anti-Rabbit IgG H&L (HRP) (<a href='/en-us/products/secondary-antibodies/goat-rabbit-igg-h-l-hrp-ab97051'>ab97051</a>) at 1/20000 dilution

Observed band size: 23 kDa

false

Western blot - Anti-Lipocalin-2 / NGAL antibody (AB63929)
  • WB

Supplier Data

Western blot - Anti-Lipocalin-2 / NGAL antibody (AB63929)

Low expression tissue : heart (PMID : 28615213), brain (PMID : 20860895, PMID : 21184133)

Anti-Lipocalin-2 / NGAL antibody (ab318209) staining at 1/1000 dilution showed better than Anti-Lipocalin-2 / NGAL antibody (ab63929) at 1/1000 dilution.

In Western blot, Anti-GAPDH antibody [EPR16891] - Loading Control (ab181602) staining at 1/200000 dilution.

All lanes:

Western blot - Anti-Lipocalin-2 / NGAL antibody [RM1211] (<a href='/en-us/products/primary-antibodies/lipocalin-2-ngal-antibody-rm1211-ab318209'>ab318209</a>) at 1/1000 dilution

Lane 1:

Mouse spleen tissue lysate at 20 µg with NFDM/TBST

Lane 2:

Mouse heart tissue lysate at 20 µg with NFDM/TBST

Lane 3:

Mouse brain tissue lysate at 20 µg with NFDM/TBST

Secondary

All lanes:

Western blot - Goat Anti-Rabbit IgG H&L (HRP) (<a href='/en-us/products/secondary-antibodies/goat-rabbit-igg-h-l-hrp-ab97051'>ab97051</a>) at 1/20000 dilution

Observed band size: 23 kDa,36 kDa

false

Key facts

Host species

Rabbit

Clonality

Polyclonal

Isotype

IgG

Carrier free

No

Reacts with

Mouse

Applications

WB

applications

Immunogen

The exact immunogen used to generate this antibody is proprietary information.

Reactivity data

{ "title": "Reactivity Data", "filters": { "stats": ["", "Species", "Dilution Info", "Notes"], "tabs": { "all-applications": {"fullname" : "All Applications", "shortname": "All Applications"}, "WB" : {"fullname" : "Western blot", "shortname":"WB"} }, "product-promise": { "all": "all", "testedAndGuaranteed": "tested", "guaranteed": "expected", "predicted": "predicted", "notRecommended": "not-recommended" } }, "values": { "Mouse": { "WB-species-checked": "testedAndGuaranteed", "WB-species-dilution-info": "1-4 µg/mL", "WB-species-notes": "<p></p>" }, "Recombinant fragment - Mouse": { "WB-species-checked": "testedAndGuaranteed", "WB-species-dilution-info": "", "WB-species-notes": "<p></p>" } } }

Product details

What is this antibody validated in?
Anti-Lipocalin-2 / NGAL antibody (ab63929) is a rabbit polyclonal antibody and is validated for use in Western Blot (WB) in Mouse samples.

What is the molecular weight of Lipocalin-2 / NGAL?
Anti-Lipocalin-2 / NGAL (ab63929) specifically detects a band for Lipocalin-2 / NGAL (UniProt: P11672) at a molecular weight of 23kDa.

Trusted by the scientific community
Anti-Lipocalin-2 / NGAL (ab63929) was first used in a scientific publication in 2008 and has been cited over 90 times in peer-reviewed journals.

Reviewed by scientists
Anti-Lipocalin-2 / NGAL (ab63929) has over 5 independent reviews from customers.

Properties and storage information

Form
Liquid
Purification technique
Affinity purification Protein A
Storage buffer
Preservative: 0.01% Thimerosal (merthiolate) Constituents: PBS, 30% Glycerol (glycerin, glycerine), 0.5% BSA
Shipped at conditions
Blue Ice
Appropriate short-term storage conditions
+4°C
Appropriate long-term storage conditions
-20°C
Aliquoting information
Upon delivery aliquot
Storage information
Avoid freeze / thaw cycle

Product protocols

For this product, it's our understanding that no specific protocols are required. You can visit:

Target data

Iron-trafficking protein involved in multiple processes such as apoptosis, innate immunity and renal development (PubMed : 12453413). Binds iron through association with 2,3-dihydroxybenzoic acid (2,3-DHBA), a siderophore that shares structural similarities with bacterial enterobactin, and delivers or removes iron from the cell, depending on the context. Iron-bound form (holo-24p3) is internalized following binding to the SLC22A17 (24p3R) receptor, leading to release of iron and subsequent increase of intracellular iron concentration. In contrast, association of the iron-free form (apo-24p3) with the SLC22A17 (24p3R) receptor is followed by association with an intracellular siderophore, iron chelation and iron transfer to the extracellular medium, thereby reducing intracellular iron concentration. Involved in apoptosis due to interleukin-3 (IL3) deprivation : iron-loaded form increases intracellular iron concentration without promoting apoptosis, while iron-free form decreases intracellular iron levels, inducing expression of the proapoptotic protein BCL2L11/BIM, resulting in apoptosis. Involved in innate immunity; limits bacterial proliferation by sequestering iron bound to microbial siderophores, such as enterobactin (PubMed : 15531878, PubMed : 16446425). Can also bind siderophores from M.tuberculosis (By similarity).
See full target information Lcn2

Publications (90)

Recent publications for all applications. Explore the full list and refine your search

Physiological reports 11:e15879 PubMed38030388

2023

Umbelliferone attenuates cisplatin-induced acute kidney injury by inhibiting oxidative stress and inflammation via NRF2.

Applications

Unspecified application

Species

Unspecified reactive species

Zhenle Yang,Ruofei Ning,Qianying Liu,Ruixian Zang,Suwen Liu,Shuzhen Sun

Frontiers in medicine 10:1195501 PubMed37746070

2023

Increased lipocalin-2 expression in pulmonary inflammation and fibrosis.

Applications

Unspecified application

Species

Unspecified reactive species

Apostolos Galaris,Dionysios Fanidis,Eliza Tsitoura,Paraskevi Kanellopoulou,Ilianna Barbayianni,Konstantinos Ntatsoulis,Katerina Touloumi,Sofia Gramenoudi,Theodoros Karampitsakos,Argyrios Tzouvelekis,Katerina Antoniou,Vassilis Aidinis

Scientific reports 13:14109 PubMed37644084

2023

Chronodisruption of the acute inflammatory response by night lighting in rats.

Applications

Unspecified application

Species

Unspecified reactive species

Viera Jerigova,Michal Zeman,Monika Okuliarova

Pharmaceutics 15: PubMed37242615

2023

The Mineralocorticoid Receptor on Smooth Muscle Cells Promotes Tacrolimus-Induced Renal Injury in Mice.

Applications

Unspecified application

Species

Unspecified reactive species

Stefanny M Figueroa,Jean-Philippe Bertocchio,Toshifumi Nakamura,Soumaya El-Moghrabi,Frédéric Jaisser,Cristián A Amador

Environmental toxicology 38:1473-1483 PubMed37087747

2023

Madecassoside ameliorates cisplatin-induced nephrotoxicity by inhibiting activation of the mitogen activated protein kinase pathway.

Applications

Unspecified application

Species

Unspecified reactive species

Hui Yuan,Yingying Zhao,Shumin Li,Jun Qin,Xiaowen Yu

Journal of neurology, neurosurgery, and psychiatry 94:550-559 PubMed37012067

2023

Molecules of senescent glial cells differentiate Alzheimer's disease from ageing.

Applications

Unspecified application

Species

Unspecified reactive species

Linbin Dai,Feng Gao,Qiong Wang,Xinyi Lv,Zhaozhao Cheng,Yan Wu,Xianliang Chai,Henrik Zetterberg,Kaj Blennow,Allan I Levey,Jiong Shi,Yong Shen

Toxics 11: PubMed36977025

2023

Hypoxia-Induced Kidney Injury in Newborn Rats.

Applications

Unspecified application

Species

Unspecified reactive species

Yi-Ting Chu,Bo-Hau Chen,Hsin-Hung Chen,Jui-Chen Lee,Tzu-Jiun Kuo,Hsiang-Chin Chiu,Wen-Hsien Lu

American journal of reproductive immunology (New York, N.Y. : 1989) 89:e13676 PubMed36621850

2023

Overexpression of lipocalin 2 in PBX1-deficient decidual NK cells promotes inflammation at the maternal-fetal interface.

Applications

Unspecified application

Species

Unspecified reactive species

Xue An,Jingkun Qin,Xinyu Hu,Yonggang Zhou,Binqing Fu,Haiming Wei

Genes to cells : devoted to molecular & cellular mechanisms 28:5-14 PubMed36318474

2022

Absence of ULK1 decreases AMPK activity in the kidney, leading to chronic kidney disease progression.

Applications

Unspecified application

Species

Unspecified reactive species

Tomoki Yanagi,Hiroaki Kikuchi,Koichiro Susa,Naohiro Takahashi,Hiroki Bamba,Takefumi Suzuki,Yuta Nakano,Tamami Fujiki,Yutaro Mori,Fumiaki Ando,Shintaro Mandai,Takayasu Mori,Koh Takeuchi,Shinya Honda,Satoru Torii,Shigeomi Shimizu,Tatemitsu Rai,Shinichi Uchida,Eisei Sohara

Antioxidants (Basel, Switzerland) 11: PubMed36358467

2022

Prevention of LPS-Induced Acute Kidney Injury in Mice by Bavachin and Its Potential Mechanisms.

Applications

Unspecified application

Species

Unspecified reactive species

Ka-Yun Ban,Ga-Young Nam,Donghee Kim,Yoon Sin Oh,Hee-Sook Jun
View all publications

Product promise

We are committed to supporting your work with high-quality reagents, and we're here for you every step of the way. In the unlikely event that one of our products does not perform as expected, you're protected by our Product Promise.
For full details, please see our Terms & Conditions

Please note: All products are 'FOR RESEARCH USE ONLY. NOT FOR USE IN DIAGNOSTIC OR THERAPEUTIC PROCEDURES'.

For licensing inquiries, please contact partnerships@abcam.com