JavaScript is disabled in your browser. Please enable JavaScript to view this website.
AB206427

Anti-Lipocalin-2 / NGAL antibody [EPR19912]

Be the first to review this product! Submit a review

|

(2 Publications)

Rabbit Recombinant Monoclonal Lipocalin-2 / NGAL antibody. Suitable for WB, IHC-P and reacts with Human samples. Cited in 2 publications.

View Alternative Names

HNL, NGAL, LCN2, Neutrophil gelatinase-associated lipocalin, 25 kDa alpha-2-microglobulin-related subunit of MMP-9, Lipocalin-2, Oncogene 24p3, Siderocalin, p25

5 Images
Immunohistochemistry (Formalin/PFA-fixed paraffin-embedded sections) - Anti-Lipocalin-2 / NGAL antibody [EPR19912] (AB206427)
  • IHC-P

Supplier Data

Immunohistochemistry (Formalin/PFA-fixed paraffin-embedded sections) - Anti-Lipocalin-2 / NGAL antibody [EPR19912] (AB206427)

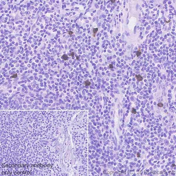
Immunohistochemical analysis of paraffin-embedded human spleen tissue labeling Lipocalin-2 / NGAL with ab206427 at 1/8000 dilution, followed by Goat Anti-Rabbit IgG H&L (HRP) (ab97051) at 1/500 dilution. Positive staining on neutrophils is observed. Counter stained with Hematoxylin.

Secondary antibody only control : Used PBS instead of primary antibody, secondary antibody is Goat Anti-Rabbit IgG H&L (HRP) (ab97051) at 1/500 dilution.

Perform heat mediated antigen retrieval with Tris/EDTA buffer pH 9.0 before commencing with IHC staining protocol.

Immunohistochemistry (Formalin/PFA-fixed paraffin-embedded sections) - Anti-Lipocalin-2 / NGAL antibody [EPR19912] (AB206427)
  • IHC-P

Supplier Data

Immunohistochemistry (Formalin/PFA-fixed paraffin-embedded sections) - Anti-Lipocalin-2 / NGAL antibody [EPR19912] (AB206427)

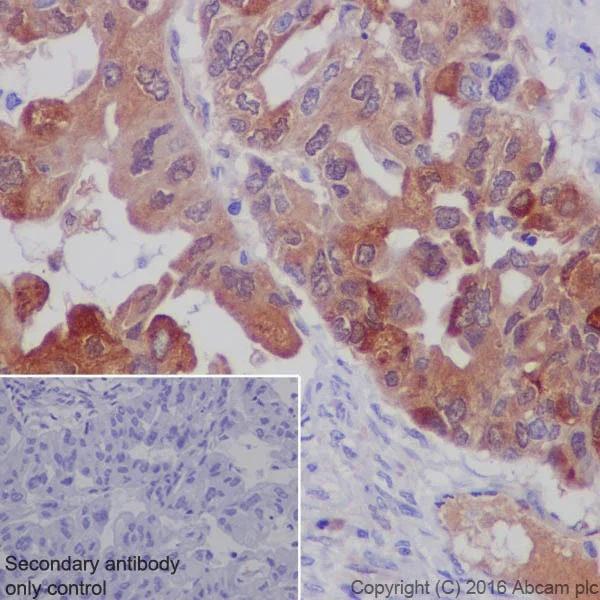
Immunohistochemical analysis of paraffin-embedded human ovary cancer tissue labeling Lipocalin-2 / NGAL with ab206427 at 1/8000 dilution, followed by Goat Anti-Rabbit IgG H&L (HRP) (ab97051) at 1/500 dilution. Cytoplasmic staining on human ovary cancer is observed. Counter stained with Hematoxylin.

Secondary antibody only control : Used PBS instead of primary antibody, secondary antibody is Goat Anti-Rabbit IgG H&L (HRP) (ab97051) at 1/500 dilution.

Perform heat mediated antigen retrieval with Tris/EDTA buffer pH 9.0 before commencing with IHC staining protocol.

Immunohistochemistry (Formalin/PFA-fixed paraffin-embedded sections) - Anti-Lipocalin-2 / NGAL antibody [EPR19912] (AB206427)
  • IHC-P

Supplier Data

Immunohistochemistry (Formalin/PFA-fixed paraffin-embedded sections) - Anti-Lipocalin-2 / NGAL antibody [EPR19912] (AB206427)

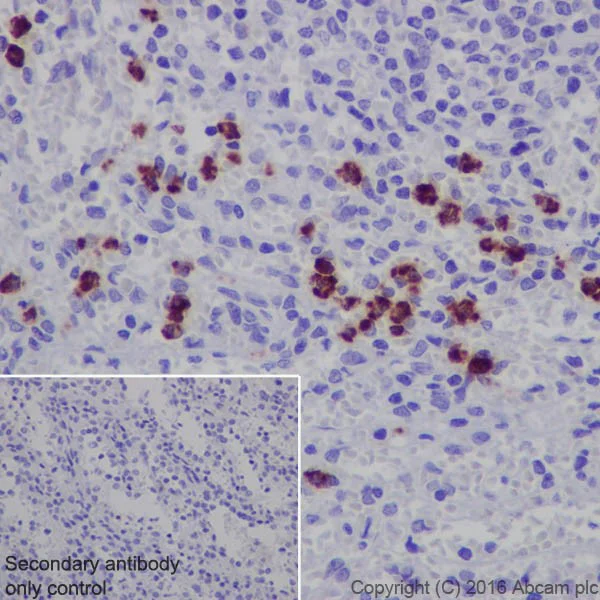
Immunohistochemical analysis of paraffin-embedded human liver tissue labeling Lipocalin-2 / NGAL with ab206427 at 1/8000 dilution, followed by Goat Anti-Rabbit IgG H&L (HRP) (ab97051) at 1/500 dilution. Positive staining on neutrophils and negative on hepatocytes. Counter stained with Hematoxylin.

Secondary antibody only control : Used PBS instead of primary antibody, secondary antibody is Goat Anti-Rabbit IgG H&L (HRP) (ab97051) at 1/500 dilution.

Perform heat mediated antigen retrieval with Tris/EDTA buffer pH 9.0 before commencing with IHC staining protocol.

Western blot - Anti-Lipocalin-2 / NGAL antibody [EPR19912] (AB206427)
  • WB

Lab

Western blot - Anti-Lipocalin-2 / NGAL antibody [EPR19912] (AB206427)

Lanes 1 - 4 : Merged signal (red and green). Green - ab206427 observed at 25 kDa. Red - loading control ab8245 (Mouse anti-GAPDH antibody [6C5]) observed at 37 kDa.

ab206427 was shown to react with Lipocalin-2 / NGAL in wild-type SW480 cells in Western blot with loss of signal observed in LCN2 knockout cell line ab270486 (knockout cell lysate ab270509). Wild-type SW480 and LCN2 knockout cell lysates were subjected to SDS-PAGE. Membranes were blocked in 3 % milk in TBS-T (0.1 % Tween®) before incubation with ab206427 and ab8245 (Mouse anti-GAPDH antibody [6C5]) overnight at 4 °C at a 1 in 1000 dilution and a 1 in 20000 dilution respectively. Blots were incubated with Goat anti-Rabbit IgG H&L (IRDye® 800CW) preabsorbed (ab216773) and Goat anti-Mouse IgG H&L (IRDye® 680RD) preabsorbed (ab216776) secondary antibodies at 1 in 20000 dilution for 1 h at room temperature before imaging.

All lanes:

Western blot - Anti-Lipocalin-2 / NGAL antibody [EPR19912] (ab206427) at 1/1000 dilution

Lane 1:

Wild-type SW480 (Human colorectal adenocarcinoma cell line) whole cell lysate at 20 µg

Lane 2:

LCN2 knockout SW480 (Human colorectal adenocarcinoma cell line) whole cell lysate at 20 µg

Lane 2:

Western blot - Human LCN2 knockout SW480 cell line (<a href='/en-us/products/cell-lines/human-lcn2-knockout-sw480-cell-line-ab270486'>ab270486</a>)

Lane 3:

A549 (Human lung carcinoma cell line) whole cell lysate at 20 µg

Lane 4:

SH-SY5Y (Human neuroblastoma cell line from bone marrow) whole cell lysate at 20 µg

Predicted band size: 22 kDa

Observed band size: 25 kDa

false

Western blot - Anti-Lipocalin-2 / NGAL antibody [EPR19912] (AB206427)
  • WB

Supplier Data

Western blot - Anti-Lipocalin-2 / NGAL antibody [EPR19912] (AB206427)

Blocking/Dilution buffer : 5% NFDM/TBST.

Exposure time : Lane 1-3 : 3 minutes; Lane 4 : 30 seconds.

All lanes:

Western blot - Anti-Lipocalin-2 / NGAL antibody [EPR19912] (ab206427) at 1/1000 dilution

Lane 1:

A431 (Human epidermoid carcinoma cell line) whole cell lysate at 10 µg

Lane 2:

Human ovary cancer lysate at 10 µg

Lane 3:

Human fetal spleen lysate at 10 µg

Lane 4:

Human colon cancer lysate at 10 µg

Secondary

Lane 1:

Western blot - Goat Anti-Rabbit IgG H&L (HRP) (<a href='/en-us/products/secondary-antibodies/goat-rabbit-igg-h-l-hrp-ab97051'>ab97051</a>) at 1/100000 dilution

Lanes 2 - 4:

Goat Anti-Rabbit IgG Peroxidase Conjugate, specific to the non-reduced form of IgG at 1/100000 dilution

Predicted band size: 22 kDa

Observed band size: 22 kDa

false

Key facts

Host species

Rabbit

Clonality

Monoclonal

Clone number

EPR19912

Isotype

IgG

Carrier free

No

Reacts with

Human

Applications

IHC-P, WB

applications

Immunogen

The exact immunogen used to generate this antibody is proprietary information.

Reactivity data

{ "title": "Reactivity Data", "filters": { "stats": ["", "Species", "Dilution Info", "Notes"], "tabs": { "all-applications": {"fullname" : "All Applications", "shortname": "All Applications"}, "WB" : {"fullname" : "Western blot", "shortname":"WB"}, "IHCP" : {"fullname" : "Immunohistochemistry (Formalin/PFA-fixed paraffin-embedded sections)", "shortname":"IHC-P"} }, "product-promise": { "all": "all", "testedAndGuaranteed": "tested", "guaranteed": "expected", "predicted": "predicted", "notRecommended": "not-recommended" } }, "values": { "Human": { "WB-species-checked": "testedAndGuaranteed", "WB-species-dilution-info": "1/1000", "WB-species-notes": "<p></p>", "IHCP-species-checked": "testedAndGuaranteed", "IHCP-species-dilution-info": "1/8000", "IHCP-species-notes": "<p></p>" } } }

Product details

Patented technology
Our RabMAb® technology is a patented hybridoma-based technology for making rabbit monoclonal antibodies. For details on our patents, please refer to RabMAb® patents.

What are the advantages of a recombinant monoclonal antibody?
This product is a recombinant monoclonal antibody, which offers several advantages including:

  • - High batch-to-batch consistency and reproducibility
  • - Improved sensitivity and specificity
  • - Long-term security of supply
  • - Animal-free batch production

For more information, read more on recombinant antibodies.

Properties and storage information

Form
Liquid
Purification technique
Affinity purification Protein A
Storage buffer
pH: 7.2 - 7.4 Preservative: 0.01% Sodium azide Constituents: PBS, 40% Glycerol (glycerin, glycerine), 0.05% BSA
Shipped at conditions
Blue Ice
Appropriate short-term storage duration
1-2 weeks
Appropriate short-term storage conditions
+4°C
Appropriate long-term storage conditions
-20°C
Aliquoting information
Upon delivery aliquot
Storage information
Avoid freeze / thaw cycle

Product protocols

For this product, it's our understanding that no specific protocols are required. You can visit:

Target data

Iron-trafficking protein involved in multiple processes such as apoptosis, innate immunity and renal development (PubMed : 12453413, PubMed : 20581821, PubMed : 27780864). Binds iron through association with 2,3-dihydroxybenzoic acid (2,3-DHBA), a siderophore that shares structural similarities with bacterial enterobactin, and delivers or removes iron from the cell, depending on the context. Iron-bound form (holo-24p3) is internalized following binding to the SLC22A17 (24p3R) receptor, leading to release of iron and subsequent increase of intracellular iron concentration. In contrast, association of the iron-free form (apo-24p3) with the SLC22A17 (24p3R) receptor is followed by association with an intracellular siderophore, iron chelation and iron transfer to the extracellular medium, thereby reducing intracellular iron concentration. Involved in apoptosis due to interleukin-3 (IL3) deprivation : iron-loaded form increases intracellular iron concentration without promoting apoptosis, while iron-free form decreases intracellular iron levels, inducing expression of the proapoptotic protein BCL2L11/BIM, resulting in apoptosis (By similarity). Involved in innate immunity; limits bacterial proliferation by sequestering iron bound to microbial siderophores, such as enterobactin (PubMed : 27780864). Can also bind siderophores from M.tuberculosis (PubMed : 15642259, PubMed : 21978368).
See full target information LCN2

Publications (2)

Recent publications for all applications. Explore the full list and refine your search

Life (Basel, Switzerland) 15: PubMed40141816

2025

Role of Bean Yellow Mosaic Virus P1 and HC-Pro in Enhancing Gene Expression and Suppressing RNA Silencing in .

Applications

Unspecified application

Species

Unspecified reactive species

Sunmee Choi,Suk Hyun Kwon,Gi Seok Kwon,Ho Seong Choi,Hyo Hyun Seo,Young Soon Kim,Jeong Hun Lee,Won Kyong Cho,Sang Hyun Moh

Journal of the American Society of Nephrology : JASN 31:2263-2277 PubMed32646856

2020

Lipocalin-2 Exacerbates Lupus Nephritis by Promoting Th1 Cell Differentiation.

Applications

Unspecified application

Species

Unspecified reactive species

Weiwei Chen,Wenchao Li,Zhuoya Zhang,Xiaojun Tang,Shufang Wu,Genhong Yao,Kang Li,Dandan Wang,Yuemei Xu,Ruihai Feng,Xiaoxiao Duan,Xiangshan Fan,Liwei Lu,WanJun Chen,Chaojun Li,Lingyun Sun
View all publications

Product promise

We are committed to supporting your work with high-quality reagents, and we're here for you every step of the way. In the unlikely event that one of our products does not perform as expected, you're protected by our Product Promise.
For full details, please see our Terms & Conditions

Please note: All products are 'FOR RESEARCH USE ONLY. NOT FOR USE IN DIAGNOSTIC OR THERAPEUTIC PROCEDURES'.

For licensing inquiries, please contact partnerships@abcam.com