JavaScript is disabled in your browser. Please enable JavaScript to view this website.
AB125075

Anti-Lipocalin-2 / NGAL antibody [EPR5084]

  • RabMAb
  • Recombinant
  • KO Validated
  • 20ul selling size
  • What is this?

5

(1 Review)

|

(26 Publications)

Anti-Lipocalin-2 / NGAL antibody [EPR5084] (ab125075) is a rabbit monoclonal antibody detecting Lipocalin-2 / NGAL in Western Blot, IHC-P, ICC/IF. Suitable for Human.

- KO validated for confirmed specificity
- Biophysical QC for unrivalled batch-batch consistency
- Over 10 publications

View Alternative Names

HNL, NGAL, LCN2, Neutrophil gelatinase-associated lipocalin, 25 kDa alpha-2-microglobulin-related subunit of MMP-9, Lipocalin-2, Oncogene 24p3, Siderocalin, p25

4 Images
Immunocytochemistry/ Immunofluorescence - Anti-Lipocalin-2 / NGAL antibody [EPR5084] (AB125075)
  • ICC/IF

Unknown

Immunocytochemistry/ Immunofluorescence - Anti-Lipocalin-2 / NGAL antibody [EPR5084] (AB125075)

Immunocytochemistry analysis of SW480 (human colorectal adenocarcinoma epithelial cell) labeling Lipocalin-2 / NGAL with purified ab125075 at 1/250 dilution (10 µg/ml). Cells were fixed with 4% Paraformaldehyde and permeabilised with 0.1% tritonX-100. Goat anti rabbit IgG (Alexa Fluor® 488, ab150077) at 1/1000 (2 µg/ml) was used as the secondary antibody. ab195889 Anti-alpha Tubulin antibody [DM1A] - Microtubule Marker (Alexa Fluor® 594) 1/200 (2.9 µg/ml) was used as counterstain. Nuclei were stained blue with DAPI.
Negative control : PBS instead of the primary antibody.

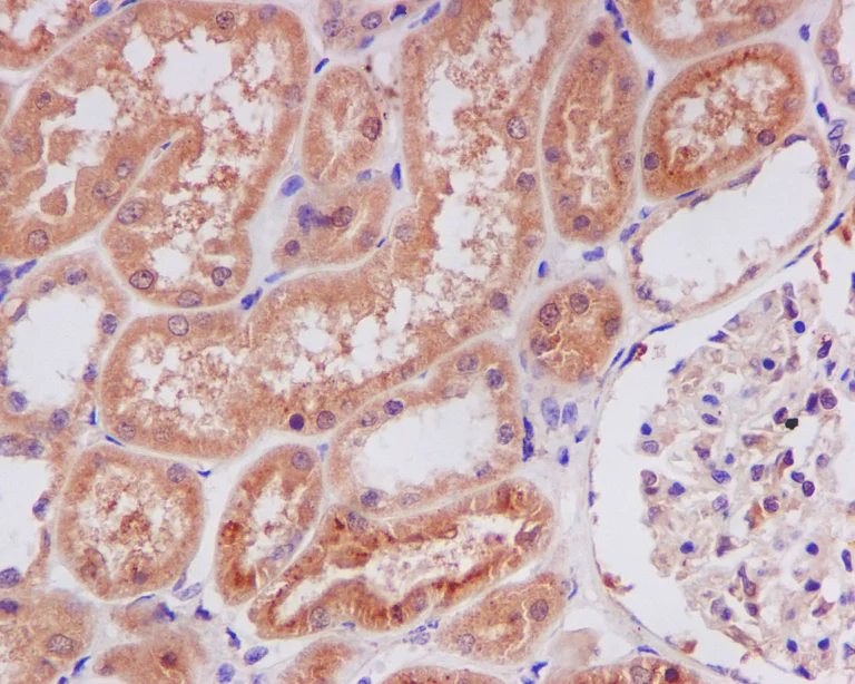
Immunohistochemistry (Formalin/PFA-fixed paraffin-embedded sections) - Anti-Lipocalin-2 / NGAL antibody [EPR5084] (AB125075)
  • IHC-P

Unknown

Immunohistochemistry (Formalin/PFA-fixed paraffin-embedded sections) - Anti-Lipocalin-2 / NGAL antibody [EPR5084] (AB125075)

Immunohistochemical analysis of paraffin-embedded human kidney tissue sections labeling Lipocalin-2 / NGAL with purified ab125075 at 1/100 dilution. ImmunoHistoProbe one step HRP Polymer (ready to use) was used as the secondary antibody. Sections were counterstained with Hematoxylin.
Antigen retrieval was heat mediated antigen retrieval using citrate buffer, pH 6.0).

Western blot - Anti-Lipocalin-2 / NGAL antibody [EPR5084] (AB125075)
  • WB

Unknown

Western blot - Anti-Lipocalin-2 / NGAL antibody [EPR5084] (AB125075)

All lanes:

Western blot - Anti-Lipocalin-2 / NGAL antibody [EPR5084] (ab125075) at 1/1000 dilution

Lane 1:

Human fetal kidney lysate at 10 µg

Lane 2:

SW480 (Human colorectal adenocarcinoma cell line) cell lysate at 10 µg

Predicted band size: 22 kDa

false

Western blot - Anti-Lipocalin-2 / NGAL antibody [EPR5084] (AB125075)
  • WB

Lab

Western blot - Anti-Lipocalin-2 / NGAL antibody [EPR5084] (AB125075)

Lanes 1 - 4 : Merged signal (red and green). Green - ab125075 observed at 23 kDa. Red - loading control ab8245 (Mouse anti-GAPDH antibody [6C5]) observed at 37 kDa.

ab125075 was shown to react with Lipocalin-2 / NGAL in wild-type SW480 cells in Western blot with loss of signal observed in LCN2 knockout cell line ab270486 (knockout cell lysate ab270509). Wild-type SW480 and LCN2 knockout cell lysates were subjected to SDS-PAGE. Membranes were blocked in 3 % milk in TBS-T (0.1 % Tween®) before incubation with ab125075 and ab8245 (Mouse anti-GAPDH antibody [6C5]) overnight at 4 °C at a 1 in 1000 dilution and a 1 in 20000 dilution respectively. Blots were incubated with Goat anti-Rabbit IgG H&L (IRDye® 800CW) preabsorbed (ab216773) and Goat anti-Mouse IgG H&L (IRDye® 680RD) preabsorbed (ab216776) secondary antibodies at 1 in 20000 dilution for 1 h at room temperature before imaging.

All lanes:

Western blot - Anti-Lipocalin-2 / NGAL antibody [EPR5084] (ab125075) at 1/1000 dilution

Lane 1:

Wild-type SW480 (Human colorectal adenocarcinoma cell line) whole cell lysate at 20 µg

Lane 2:

LCN2 knockout SW480 (Human colorectal adenocarcinoma cell line) whole cell lysate at 20 µg

Lane 2:

Western blot - Human LCN2 knockout SW480 cell line (<a href='/en-us/products/cell-lines/human-lcn2-knockout-sw480-cell-line-ab270486'>ab270486</a>)

Lane 3:

A549 (Human lung carcinoma cell line) whole cell lysate at 20 µg

Lane 4:

SH-SY5Y (Human neuroblastoma cell line from bone marrow) whole cell lysate at 20 µg

Predicted band size: 22 kDa

Observed band size: 23 kDa

false

  • 665 Alexa Fluor® 647

    Alexa Fluor® 647 Anti-Lipocalin-2 / NGAL antibody [EPR5084]

  • 519 Alexa Fluor® 488

    Alexa Fluor® 488 Anti-Lipocalin-2 / NGAL antibody [EPR5084]

  • Carrier free

    Anti-Lipocalin-2 / NGAL antibody [EPR5084] - BSA and Azide free

  • 565 Alexa Fluor® 555

    Alexa Fluor® 555 Anti-Lipocalin-2 / NGAL antibody [EPR5084]

  • 578 PE

    PE Anti-Lipocalin-2 / NGAL antibody [EPR5084]

  • 660 APC

    APC Anti-Lipocalin-2 / NGAL antibody [EPR5084]

  • 617 Alexa Fluor® 594

    Alexa Fluor® 594 Anti-Lipocalin-2 / NGAL antibody [EPR5084]

  • 775 Alexa Fluor® 750

    Alexa Fluor® 750 Anti-Lipocalin-2 / NGAL antibody [EPR5084]

Key facts

Host species

Rabbit

Clonality

Monoclonal

Clone number

EPR5084

Isotype

IgG

Carrier free

No

Reacts with

Human

Applications

IHC-P, ICC/IF, WB

applications

Immunogen

The exact immunogen used to generate this antibody is proprietary information.

Reactivity data

{ "title": "Reactivity Data", "filters": { "stats": ["", "Species", "Dilution Info", "Notes"], "tabs": { "all-applications": {"fullname" : "All Applications", "shortname": "All Applications"}, "IHCP" : {"fullname" : "Immunohistochemistry (Formalin/PFA-fixed paraffin-embedded sections)", "shortname":"IHC-P"}, "ICCIF" : {"fullname" : "Immunocytochemistry/ Immunofluorescence", "shortname":"ICC/IF"}, "IP" : {"fullname" : "Immunoprecipitation", "shortname":"IP"}, "FlowCyt" : {"fullname" : "Flow Cytometry", "shortname":"Flow Cyt"}, "WB" : {"fullname" : "Western blot", "shortname":"WB"} }, "product-promise": { "all": "all", "testedAndGuaranteed": "tested", "guaranteed": "expected", "predicted": "predicted", "notRecommended": "not-recommended" } }, "values": { "Human": { "IHCP-species-checked": "testedAndGuaranteed", "IHCP-species-dilution-info": "1/100 - 1/250", "IHCP-species-notes": "<p>Antigen retrieval is recommended.</p> Perform heat-mediated antigen retrieval with citrate buffer pH 6 before commencing with IHC staining protocol.", "ICCIF-species-checked": "testedAndGuaranteed", "ICCIF-species-dilution-info": "1/100 - 1/250", "ICCIF-species-notes": "<p></p>", "IP-species-checked": "notRecommended", "IP-species-dilution-info": "", "IP-species-notes": "<p></p>", "FlowCyt-species-checked": "notRecommended", "FlowCyt-species-dilution-info": "", "FlowCyt-species-notes": "<p></p>", "WB-species-checked": "testedAndGuaranteed", "WB-species-dilution-info": "1/1000 - 1/10000", "WB-species-notes": "<p></p>" } } }

Product details

What is this antibody validated in?
Anti-Lipocalin-2 / NGAL antibody [EPR5084] (ab125075) is a rabbit recombinant monoclonal antibody and is validated for use in Western Blot (WB), Immunohistochemistry (IHC-P), Immunocytochemistry/immunofluorescence (ICC/IF) in Human samples.

What is the molecular weight of Lipocalin-2 / NGAL?
Anti-Lipocalin-2 / NGAL [EPR5084] (ab125075) specifically detects a band for Lipocalin-2 / NGAL (UniProt: P80188) at a molecular weight of 23kDa.

Trusted by the scientific community
Anti-Lipocalin-2 / NGAL [EPR5084] (ab125075) was first used in a scientific publication in 2012 and has been cited over 10 times in peer-reviewed journals.

Trial sizes available!
Test your antibody or perform pre-screening before committing to a larger quantity. Sold in 10µl. Discover our selection of trial-size antibodies.

Specificity confirmed
The specificity of Anti-Lipocalin-2 / NGAL antibody [EPR5084] (ab125075) has been confirmed by Western blot testing in LCN2 Knockout SW480 cells.

Other related products
We have a range of other formats of antibody clone [EPR5084] also available for your convenience: ab125075, Carrier free - ab187969, Alexa Fluor® 488 - ab206085, Alexa Fluor® 647 - ab206267, APC - ab319327, PE - ab319464, Alexa Fluor® 594 - ab319820, Alexa Fluor® 555 - ab319961, Alexa Fluor® 750 - ab321001

Species reactivity
Mouse, Rat: We have preliminary internal testing data to indicate this antibody may not react with these species.
Please contact us for more information.

Patented technology
Our RabMAb® technology is a patented hybridoma-based technology for making rabbit monoclonal antibodies. For details on our patents, please refer to RabMAb® patents.

What are the advantages of a recombinant monoclonal antibody?
This product is a recombinant monoclonal antibody, which offers several advantages including:

  • - High batch-to-batch consistency and reproducibility
  • - Improved sensitivity and specificity
  • - Long-term security of supply
  • - Animal-free batch production

For more information, read more on recombinant antibodies.

Properties and storage information

Form
Liquid
Purification technique
Affinity purification Protein A
Storage buffer
pH: 7.2 - 7.4 Preservative: 0.01% Sodium azide Constituents: PBS, 40% Glycerol (glycerin, glycerine), 0.05% BSA
Shipped at conditions
Blue Ice
Appropriate short-term storage conditions
+4°C
Appropriate long-term storage conditions
-20°C
Storage information
Stable for 12 months at -20°C

Product protocols

For this product, it's our understanding that no specific protocols are required. You can visit:

Target data

Iron-trafficking protein involved in multiple processes such as apoptosis, innate immunity and renal development (PubMed : 12453413, PubMed : 20581821, PubMed : 27780864). Binds iron through association with 2,3-dihydroxybenzoic acid (2,3-DHBA), a siderophore that shares structural similarities with bacterial enterobactin, and delivers or removes iron from the cell, depending on the context. Iron-bound form (holo-24p3) is internalized following binding to the SLC22A17 (24p3R) receptor, leading to release of iron and subsequent increase of intracellular iron concentration. In contrast, association of the iron-free form (apo-24p3) with the SLC22A17 (24p3R) receptor is followed by association with an intracellular siderophore, iron chelation and iron transfer to the extracellular medium, thereby reducing intracellular iron concentration. Involved in apoptosis due to interleukin-3 (IL3) deprivation : iron-loaded form increases intracellular iron concentration without promoting apoptosis, while iron-free form decreases intracellular iron levels, inducing expression of the proapoptotic protein BCL2L11/BIM, resulting in apoptosis (By similarity). Involved in innate immunity; limits bacterial proliferation by sequestering iron bound to microbial siderophores, such as enterobactin (PubMed : 27780864). Can also bind siderophores from M.tuberculosis (PubMed : 15642259, PubMed : 21978368).
See full target information LCN2

Publications (26)

Recent publications for all applications. Explore the full list and refine your search

Molecular medicine reports 32: PubMed41070605

2025

Acute carbon monoxide poisoning induces renal inflammation and apoptosis via CCL4 upregulation and activation of the PI3K/Akt pathway in mice.

Applications

Unspecified application

Species

Unspecified reactive species

Yu Ni,Xuheng Jiang,Shuhong Wang,Tao Pu,Tiantian Yan,Anyong Yu,Qi Liu

Open medicine (Warsaw, Poland) 20:20251274 PubMed40989161

2025

Petunidin attenuates lipopolysaccharide-induced retinal microglia inflammatory response in diabetic retinopathy by targeting OGT/NF-κB/LCN2 axis.

Applications

Unspecified application

Species

Unspecified reactive species

Mengxi Yu

Redox report : communications in free radical research 30:2529618 PubMed40669859

2025

ACSF2-PGK1 interaction promotes ferroptosis in renal tubular epithelial cells of diabetic nephropathy by regulating Keap1/Nrf2 signaling.

Applications

Unspecified application

Species

Unspecified reactive species

Xinran Liu,Chaoyi Chen,Sai Zhu,Xiaomei Luo,Li Gao,Ziyun Hu,Yu Ma,Ling Jiang,Yonggui Wu

International journal of biological sciences 21:3397-3415 PubMed40520011

2025

Luteolin improves precancerous conditions of the gastric mucosa by binding STAT3 and inhibiting LCN2 expression.

Applications

Unspecified application

Species

Unspecified reactive species

Xinyu Hao,Shouli Yuan,Jing Ning,Yuanfei Zhou,Yanfei Lang,Xiurui Han,Qiao Meng,Ying Xiong,Rongli Cui,Yueqing Gong,Chao Ma,Weichao Xu,Yangang Wang,Xiaohuan Guo,Chu Wang,Jing Zhang,Weiwei Fu,Shigang Ding

Frontiers in immunology 16:1548635 PubMed40313933

2025

TGFB1/CXCL5 axis regulation by LCN2 overexpression: a promising strategy to inhibit colorectal cancer metastasis and enhance prognosis.

Applications

Unspecified application

Species

Unspecified reactive species

Xiaotian Song,Shuai Xu,Dan Song,Juan Wang,Bin Bai,Yanxin An,Bin Yang,Shiqi Wang,Qingchuan Zhao,Pengfei Yu

Renal failure 47:2483986 PubMed40148079

2025

Xuebijing injection alleviates septic acute kidney injury by modulating inflammation, mitochondrial dysfunction, and endoplasmic reticulum stress.

Applications

Unspecified application

Species

Unspecified reactive species

Lei Zhang,Guangyuan Zhang,Weipu Mao,Si Sun,Shuchun Tao,Yue Gao,Nieke Zhang,Guiya Jiang,Ming Chen,Xun Lu,Shuqiu Chen

Investigative ophthalmology & visual science 65:19 PubMed39656472

2024

Untargeted Metabolomics Reveals the Role of Lipocalin-2 in the Pathological Changes of Lens and Retina in Diabetic Mice.

Applications

Unspecified application

Species

Unspecified reactive species

Yu Yang,Cong Fan,Yue Zhang,Tianyi Kang,Jian Jiang

International journal of medical sciences 21:2770-2780 PubMed39512683

2024

LCN2 depletion aggravates sepsis-induced liver injury by regulating PTGS2-dependent ferroptosis.

Applications

Unspecified application

Species

Unspecified reactive species

Yun Jiang,Zhi-Tian Jiang,Gang Zhao,Jing-Wen Cai,Jie Song,Jing Wang,Zhen Zhou,Qian Wang,Qi-Hua Ling

Kidney international reports 9:1473-1483 PubMed38707804

2024

Kidney Tissue Proteome Profiles in Short Versus Long Duration of Delayed Graft Function - A Pilot Study in Donation After Circulatory Death Donors.

Applications

Unspecified application

Species

Unspecified reactive species

M Letizia Lo Faro,Kaithlyn Rozenberg,Honglei Huang,Sergei Maslau,Sarah Bonham,Roman Fischer,Benedikt Kessler,Henri Leuvenink,Edward Sharples,Jan H Lindeman,Rutger Ploeg

Biomedical journal 48:100730 PubMed38643825

2024

Olesoxime protects against cisplatin-induced acute kidney injury by attenuating mitochondrial dysfunction.

Applications

Unspecified application

Species

Unspecified reactive species

Peipei Wang,Jing Ouyang,Kaiqian Zhou,Dandan Hu,Shengnan Zhang,Aihua Zhang,Yunwen Yang
View all publications

Product promise

We are committed to supporting your work with high-quality reagents, and we're here for you every step of the way. In the unlikely event that one of our products does not perform as expected, you're protected by our Product Promise.
For full details, please see our Terms & Conditions

Please note: All products are 'FOR RESEARCH USE ONLY. NOT FOR USE IN DIAGNOSTIC OR THERAPEUTIC PROCEDURES'.

For licensing inquiries, please contact partnerships@abcam.com