JavaScript is disabled in your browser. Please enable JavaScript to view this website.
AB187969

Anti-Lipocalin-2 / NGAL antibody [EPR5084] - BSA and Azide free

Be the first to review this product! Submit a review

|

(0 Publication)

Rabbit Recombinant Monoclonal Lipocalin-2 / NGAL antibody. Carrier free. Suitable for IHC-P, ICC/IF, WB and reacts with Human samples.

View Alternative Names

HNL, NGAL, LCN2, Neutrophil gelatinase-associated lipocalin, 25 kDa alpha-2-microglobulin-related subunit of MMP-9, Lipocalin-2, Oncogene 24p3, Siderocalin, p25

4 Images
Immunocytochemistry/ Immunofluorescence - Anti-Lipocalin-2 / NGAL antibody [EPR5084] - BSA and Azide free (AB187969)
  • ICC/IF

Unknown

Immunocytochemistry/ Immunofluorescence - Anti-Lipocalin-2 / NGAL antibody [EPR5084] - BSA and Azide free (AB187969)

This data was developed using the same antibody clone in a different buffer formulation (ab125075).
Immunocytochemistry analysis of SW480 (human colorectal adenocarcinoma epithelial cell) labeling Lipocalin-2 / NGAL with purified ab125075 at 1/250 dilution (10 µg/ml). Cells were fixed with 4% Paraformaldehyde and permeabilised with 0.1% tritonX-100. Goat anti rabbit IgG (Alexa Fluor® 488, ab150077) at 1/1000 (2 µg/ml) was used as the secondary antibody. ab195889 Anti-alpha Tubulin antibody [DM1A] - Microtubule Marker (Alexa Fluor® 594) 1/200 (2.9 µg/ml) was used as counterstain. Nuclei were stained blue with DAPI.
Negative control : PBS instead of the primary antibody.

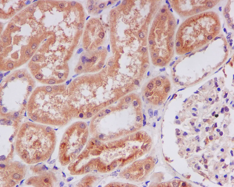
Immunohistochemistry (Formalin/PFA-fixed paraffin-embedded sections) - Anti-Lipocalin-2 / NGAL antibody [EPR5084] - BSA and Azide free (AB187969)
  • IHC-P

Unknown

Immunohistochemistry (Formalin/PFA-fixed paraffin-embedded sections) - Anti-Lipocalin-2 / NGAL antibody [EPR5084] - BSA and Azide free (AB187969)

This data was developed using the same antibody clone in a different buffer formulation (ab125075).
Immunohistochemical analysis of paraffin-embedded human kidney tissue sections labeling Lipocalin-2 / NGAL with purified ab125075 at 1/100 dilution. ImmunoHistoProbe one step HRP Polymer (ready to use) was used as the secondary antibody. Sections were counterstained with Hematoxylin.
Antigen retrieval was heat mediated antigen retrieval using citrate buffer, pH 6.0).

Western blot - Anti-Lipocalin-2 / NGAL antibody [EPR5084] - BSA and Azide free (AB187969)
  • WB

Unknown

Western blot - Anti-Lipocalin-2 / NGAL antibody [EPR5084] - BSA and Azide free (AB187969)

This data was developed using the same antibody clone in a different buffer formulation containing PBS, BSA, glycerol, and sodium azide (ab125075).

All lanes:

Western blot - Anti-Lipocalin-2 / NGAL antibody [EPR5084] (<a href='/en-us/products/primary-antibodies/lipocalin-2-ngal-antibody-epr5084-ab125075'>ab125075</a>) at 1/1000 dilution

Lane 1:

Human fetal kidney lysate at 10 µg

Lane 2:

SW480 (Human colorectal adenocarcinoma cell line) cell lysate at 10 µg

Predicted band size: 22 kDa

false

Western blot - Anti-Lipocalin-2 / NGAL antibody [EPR5084] - BSA and Azide free (AB187969)
  • WB

Lab

Western blot - Anti-Lipocalin-2 / NGAL antibody [EPR5084] - BSA and Azide free (AB187969)

This data was developed using the same antibody clone in a different buffer formulation (ab125075).

Lanes 1 - 4 : Merged signal (red and green). Green - ab125075 observed at 23 kDa. Red - loading control ab8245 (Mouse anti-GAPDH antibody [6C5]) observed at 37 kDa.

ab125075 was shown to react with Lipocalin-2 / NGAL in wild-type SW480 cells in Western blot with loss of signal observed in LCN2 knockout cell line ab270486 (knockout cell lysate ab270509). Wild-type SW480 and LCN2 knockout cell lysates were subjected to SDS-PAGE. Membranes were blocked in 3 % milk in TBS-T (0.1 % Tween®) before incubation with ab125075 and ab8245 (Mouse anti-GAPDH antibody [6C5]) overnight at 4 °C at a 1 in 1000 dilution and a 1 in 20000 dilution respectively. Blots were incubated with Goat anti-Rabbit IgG H&L (IRDye® 800CW) preabsorbed (ab216773) and Goat anti-Mouse IgG H&L (IRDye® 680RD) preabsorbed (ab216776) secondary antibodies at 1 in 20000 dilution for 1 h at room temperature before imaging.

All lanes:

Western blot - Anti-Lipocalin-2 / NGAL antibody [EPR5084] (<a href='/en-us/products/primary-antibodies/lipocalin-2-ngal-antibody-epr5084-ab125075'>ab125075</a>) at 1/1000 dilution

Lane 1:

Wild-type SW480 (Human colorectal adenocarcinoma cell line) whole cell lysate at 20 µg

Lane 2:

LCN2 knockout SW480 (Human colorectal adenocarcinoma cell line) whole cell lysate at 20 µg

Lane 2:

Western blot - Human LCN2 knockout SW480 cell line (<a href='/en-us/products/cell-lines/human-lcn2-knockout-sw480-cell-line-ab270486'>ab270486</a>)

Lane 3:

A549 (Human lung carcinoma cell line) whole cell lysate at 20 µg

Lane 4:

SH-SY5Y (Human neuroblastoma cell line from bone marrow) whole cell lysate at 20 µg

Predicted band size: 22 kDa

Observed band size: 23 kDa

false

  • Unconjugated

    Anti-Lipocalin-2 / NGAL antibody [EPR5084]

  • 660 APC

    APC Anti-Lipocalin-2 / NGAL antibody [EPR5084]

  • 617 Alexa Fluor® 594

    Alexa Fluor® 594 Anti-Lipocalin-2 / NGAL antibody [EPR5084]

  • 578 PE

    PE Anti-Lipocalin-2 / NGAL antibody [EPR5084]

  • 565 Alexa Fluor® 555

    Alexa Fluor® 555 Anti-Lipocalin-2 / NGAL antibody [EPR5084]

  • 775 Alexa Fluor® 750

    Alexa Fluor® 750 Anti-Lipocalin-2 / NGAL antibody [EPR5084]

  • 665 Alexa Fluor® 647

    Alexa Fluor® 647 Anti-Lipocalin-2 / NGAL antibody [EPR5084]

  • 519 Alexa Fluor® 488

    Alexa Fluor® 488 Anti-Lipocalin-2 / NGAL antibody [EPR5084]

Key facts

Host species

Rabbit

Clonality

Monoclonal

Clone number

EPR5084

Isotype

IgG

Carrier free

Yes

Reacts with

Human

Applications

ICC/IF, WB, IHC-P

applications

Immunogen

The exact immunogen used to generate this antibody is proprietary information.

Reactivity data

{ "title": "Reactivity Data", "filters": { "stats": ["", "Species", "Dilution Info", "Notes"], "tabs": { "all-applications": {"fullname" : "All Applications", "shortname": "All Applications"}, "IHCP" : {"fullname" : "Immunohistochemistry (Formalin/PFA-fixed paraffin-embedded sections)", "shortname":"IHC-P"}, "ICCIF" : {"fullname" : "Immunocytochemistry/ Immunofluorescence", "shortname":"ICC/IF"}, "IP" : {"fullname" : "Immunoprecipitation", "shortname":"IP"}, "FlowCyt" : {"fullname" : "Flow Cytometry", "shortname":"Flow Cyt"}, "WB" : {"fullname" : "Western blot", "shortname":"WB"} }, "product-promise": { "all": "all", "testedAndGuaranteed": "tested", "guaranteed": "expected", "predicted": "predicted", "notRecommended": "not-recommended" } }, "values": { "Human": { "IHCP-species-checked": "testedAndGuaranteed", "IHCP-species-dilution-info": "", "IHCP-species-notes": "<p>Antigen retrieval is recommended.</p>", "ICCIF-species-checked": "testedAndGuaranteed", "ICCIF-species-dilution-info": "", "ICCIF-species-notes": "<p></p>", "IP-species-checked": "notRecommended", "IP-species-dilution-info": "", "IP-species-notes": "<p></p>", "FlowCyt-species-checked": "notRecommended", "FlowCyt-species-dilution-info": "", "FlowCyt-species-notes": "<p></p>", "WB-species-checked": "testedAndGuaranteed", "WB-species-dilution-info": "", "WB-species-notes": "<p></p>" } } }

Product details

ab187969 is the carrier-free version of ab125075.

Patented technology
Our RabMAb® technology is a patented hybridoma-based technology for making rabbit monoclonal antibodies. For details on our patents, please refer to RabMAb® patents.

What are the advantages of a recombinant monoclonal antibody?
This product is a recombinant monoclonal antibody, which offers several advantages including:

  • - High batch-to-batch consistency and reproducibility
  • - Improved sensitivity and specificity
  • - Long-term security of supply
  • - Animal-free batch production

For more information, read more on recombinant antibodies.

Conjugation ready
Our carrier-free antibodies are typically supplied in a PBS-only formulation, purified and free of BSA, sodium azide and glycerol. This conjugation-ready format is designed for use with fluorochromes, metal isotopes, oligonucleotides, and enzymes, which makes them ideal for antibody labelling, functional and cell-based assays, flow-based assays (e.g. mass cytometry) and Multiplex Imaging applications.

Use our conjugation kits for antibody conjugates that are ready-to-use in as little as 20 minutes with 1 minute hands-on-time and 100% antibody recovery: available for fluorescent dyes, HRP, biotin and gold.

Compatibility
This product is compatible with the Maxpar® Antibody Labeling Kit from Fluidigm, without the need for antibody preparation. Maxpar® is a trademark of Fluidigm Canada Inc.

Properties and storage information

Form
Liquid
Purification technique
Affinity purification Protein A
Storage buffer
pH: 7.2 - 7.4 Constituents: PBS
Shipped at conditions
Blue Ice
Appropriate short-term storage conditions
+4°C
Appropriate long-term storage conditions
+4°C
Storage information
Do Not Freeze

Product protocols

For this product, it's our understanding that no specific protocols are required. You can visit:

Target data

Iron-trafficking protein involved in multiple processes such as apoptosis, innate immunity and renal development (PubMed : 12453413, PubMed : 20581821, PubMed : 27780864). Binds iron through association with 2,3-dihydroxybenzoic acid (2,3-DHBA), a siderophore that shares structural similarities with bacterial enterobactin, and delivers or removes iron from the cell, depending on the context. Iron-bound form (holo-24p3) is internalized following binding to the SLC22A17 (24p3R) receptor, leading to release of iron and subsequent increase of intracellular iron concentration. In contrast, association of the iron-free form (apo-24p3) with the SLC22A17 (24p3R) receptor is followed by association with an intracellular siderophore, iron chelation and iron transfer to the extracellular medium, thereby reducing intracellular iron concentration. Involved in apoptosis due to interleukin-3 (IL3) deprivation : iron-loaded form increases intracellular iron concentration without promoting apoptosis, while iron-free form decreases intracellular iron levels, inducing expression of the proapoptotic protein BCL2L11/BIM, resulting in apoptosis (By similarity). Involved in innate immunity; limits bacterial proliferation by sequestering iron bound to microbial siderophores, such as enterobactin (PubMed : 27780864). Can also bind siderophores from M.tuberculosis (PubMed : 15642259, PubMed : 21978368).
See full target information LCN2

Product promise

We are committed to supporting your work with high-quality reagents, and we're here for you every step of the way. In the unlikely event that one of our products does not perform as expected, you're protected by our Product Promise.
For full details, please see our Terms & Conditions

Please note: All products are 'FOR RESEARCH USE ONLY. NOT FOR USE IN DIAGNOSTIC OR THERAPEUTIC PROCEDURES'.

For licensing inquiries, please contact partnerships@abcam.com