JavaScript is disabled in your browser. Please enable JavaScript to view this website.
AB251491

Anti-Lipoprotein a antibody [EPR19731] - BSA and Azide free

Be the first to review this product! Submit a review

|

(0 Publication)

Rabbit Recombinant Monoclonal Lipoprotein a antibody. Carrier free. Suitable for IHC-P, WB and reacts with Human samples.

View Alternative Names

Apolipoprotein(a), Apo(a), Lp(a), LPA

4 Images
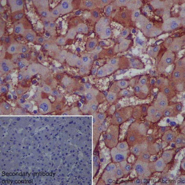
Immunohistochemistry (Formalin/PFA-fixed paraffin-embedded sections) - Anti-Lipoprotein a antibody [EPR19731] - BSA and Azide free (AB251491)
  • IHC-P

Supplier Data

Immunohistochemistry (Formalin/PFA-fixed paraffin-embedded sections) - Anti-Lipoprotein a antibody [EPR19731] - BSA and Azide free (AB251491)

This data was developed using ab208184, the same antibody clone in a different buffer formulation.

Immunohistochemical analysis of paraffin-embedded human liver tissue labeling Lipoprotein a with ab208184 at 1/1000 dilution, followed by Goat Anti-Rabbit IgG H&L (HRP) (ab97051) at 1/500 dilution. Cytoplasmic staining on human liver is observed. Counter stained with Hematoxylin.

Secondary antibody only control : Used PBS instead of primary antibody, secondary antibody is Goat Anti-Rabbit IgG H&L (HRP) (ab97051) at 1/500 dilution.

Perform heat mediated antigen retrieval with Tris/EDTA buffer pH 9.0 before commencing with IHC staining protocol.

Immunohistochemistry (Formalin/PFA-fixed paraffin-embedded sections) - Anti-Lipoprotein a antibody [EPR19731] - BSA and Azide free (AB251491)
  • IHC-P

Supplier Data

Immunohistochemistry (Formalin/PFA-fixed paraffin-embedded sections) - Anti-Lipoprotein a antibody [EPR19731] - BSA and Azide free (AB251491)

This data was developed using ab208184, the same antibody clone in a different buffer formulation.

Immunohistochemical analysis of paraffin-embedded human glioma tissue labeling Lipoprotein a with ab208184 at 1/1000 dilution, followed by Goat Anti-Rabbit IgG H&L (HRP) (ab97051) at 1/500 dilution. Cytoplasmic staining on blood vessels of human glioma is observed. Counter stained with Hematoxylin.

Secondary antibody only control : Used PBS instead of primary antibody, secondary antibody is Goat Anti-Rabbit IgG H&L (HRP) (ab97051) at 1/500 dilution.

Perform heat mediated antigen retrieval with Tris/EDTA buffer pH 9.0 before commencing with IHC staining protocol.

Western blot - Anti-Lipoprotein a antibody [EPR19731] - BSA and Azide free (AB251491)
  • WB

Supplier Data

Western blot - Anti-Lipoprotein a antibody [EPR19731] - BSA and Azide free (AB251491)

This data was developed using ab208184, the same antibody clone in a different buffer formulation.

Blocking and dilution buffer : 5% NFDM/TBST.

The expression profile observed is consistent with what has been described in the literature (PMID : 9590382, 10484779 and 10703674).

All lanes:

Western blot - Anti-Lipoprotein a antibody [EPR19731] (<a href='/en-us/products/primary-antibodies/lipoprotein-a-antibody-epr19731-ab208184'>ab208184</a>) at 1/5000 dilution

Lane 1:

Human serum at 10 µg

Lane 2:

Human plasma at 10 µg

Lane 3:

Human liver tissue lysate at 10 µg

Lane 4:

Human blood at 10 µg

Lane 5:

Human adipose tissue lysate at 10 µg

Secondary

All lanes:

Goat Anti-Rabbit IgG Peroxidase Conjugate, specific to the non-reduced form of IgG at 1/10000 dilution

Predicted band size: 501 kDa

Observed band size: 100-500 kDa

false

Exposure time: 3min

Western blot - Anti-Lipoprotein a antibody [EPR19731] - BSA and Azide free (AB251491)
  • WB

Supplier Data

Western blot - Anti-Lipoprotein a antibody [EPR19731] - BSA and Azide free (AB251491)

This data was developed using ab208184, the same antibody clone in a different buffer formulation.

Blocking and dilution buffer : 5% NFDM/TBST.

The expression profile observed is consistent with what has been described in the literature (PMID : 9590382, 10484779 and 10703674).

All lanes:

Western blot - Anti-Lipoprotein a antibody [EPR19731] (<a href='/en-us/products/primary-antibodies/lipoprotein-a-antibody-epr19731-ab208184'>ab208184</a>) at 1/5000 dilution

Lane 1:

Human serum at 10 µg

Lane 2:

Human plasma at 10 µg

Lane 3:

Human liver lysate at 10 µg

Lane 4:

Human blood at 10 µg

Lane 5:

Human adipose lysate at 10 µg

Secondary

All lanes:

Goat Anti-Rabbit IgG Peroxidase Conjugate, specific to the non-reduced form of IgG at 1/10000 dilution

Predicted band size: 501 kDa

Observed band size: 100-500 kDa

false

Exposure time: 30s

Key facts

Host species

Rabbit

Clonality

Monoclonal

Clone number

EPR19731

Isotype

IgG

Carrier free

Yes

Reacts with

Human

Applications

WB, IHC-P

applications

Immunogen

The exact immunogen used to generate this antibody is proprietary information.

Reactivity data

{ "title": "Reactivity Data", "filters": { "stats": ["", "Species", "Dilution Info", "Notes"], "tabs": { "all-applications": {"fullname" : "All Applications", "shortname": "All Applications"}, "IHCP" : {"fullname" : "Immunohistochemistry (Formalin/PFA-fixed paraffin-embedded sections)", "shortname":"IHC-P"}, "WB" : {"fullname" : "Western blot", "shortname":"WB"} }, "product-promise": { "all": "all", "testedAndGuaranteed": "tested", "guaranteed": "expected", "predicted": "predicted", "notRecommended": "not-recommended" } }, "values": { "Human": { "IHCP-species-checked": "testedAndGuaranteed", "IHCP-species-dilution-info": "", "IHCP-species-notes": "<p></p>", "WB-species-checked": "testedAndGuaranteed", "WB-species-dilution-info": "", "WB-species-notes": "<p></p>" } } }

Product details

ab251491 is the carrier-free version of ab208184.

Patented technology
Our RabMAb® technology is a patented hybridoma-based technology for making rabbit monoclonal antibodies. For details on our patents, please refer to RabMAb® patents.

What are the advantages of a recombinant monoclonal antibody?
This product is a recombinant monoclonal antibody, which offers several advantages including:

  • - High batch-to-batch consistency and reproducibility
  • - Improved sensitivity and specificity
  • - Long-term security of supply
  • - Animal-free batch production

For more information, read more on recombinant antibodies.

Conjugation ready
Our carrier-free antibodies are typically supplied in a PBS-only formulation, purified and free of BSA, sodium azide and glycerol. This conjugation-ready format is designed for use with fluorochromes, metal isotopes, oligonucleotides, and enzymes, which makes them ideal for antibody labelling, functional and cell-based assays, flow-based assays (e.g. mass cytometry) and Multiplex Imaging applications.

Use our conjugation kits for antibody conjugates that are ready-to-use in as little as 20 minutes with 1 minute hands-on-time and 100% antibody recovery: available for fluorescent dyes, HRP, biotin and gold.

Compatibility
This product is compatible with the Maxpar® Antibody Labeling Kit from Fluidigm, without the need for antibody preparation. Maxpar® is a trademark of Fluidigm Canada Inc.

Properties and storage information

Form
Liquid
Purification technique
Affinity purification Protein A
Storage buffer
pH: 7.2 - 7.4 Constituents: PBS
Shipped at conditions
Blue Ice
Appropriate short-term storage conditions
+4°C
Appropriate long-term storage conditions
+4°C
Storage information
Do Not Freeze

Product protocols

For this product, it's our understanding that no specific protocols are required. You can visit:

Target data

Apo(a) is the main constituent of lipoprotein(a) (Lp(a)). It has serine proteinase activity and is able of autoproteolysis. Inhibits tissue-type plasminogen activator 1. Lp(a) may be a ligand for megalin/Gp 330.
See full target information LPA

Product promise

We are committed to supporting your work with high-quality reagents, and we're here for you every step of the way. In the unlikely event that one of our products does not perform as expected, you're protected by our Product Promise.
For full details, please see our Terms & Conditions

Please note: All products are 'FOR RESEARCH USE ONLY. NOT FOR USE IN DIAGNOSTIC OR THERAPEUTIC PROCEDURES'.

For licensing inquiries, please contact partnerships@abcam.com