JavaScript is disabled in your browser. Please enable JavaScript to view this website.
AB117457

Anti-LIS1 antibody

Be the first to review this product! Submit a review

|

(1 Publication)

Goat Polyclonal LIS1 antibody. Suitable for IHC-P, WB and reacts with Human, Rat samples. Cited in 1 publication. Immunogen corresponding to Synthetic Peptide within Human PAFAH1B1 aa 350 to C-terminus.

View Alternative Names

LIS1, MDCR, MDS, PAFAHA, PAFAH1B1, Platelet-activating factor acetylhydrolase IB subunit beta, Lissencephaly-1 protein, PAF acetylhydrolase 45 kDa subunit, PAF-AH alpha, LIS-1, PAF-AH 45 kDa subunit, PAFAH alpha

4 Images
Immunohistochemistry (Formalin/PFA-fixed paraffin-embedded sections) - Anti-LIS1 antibody (AB117457)
  • IHC-P

Unknown

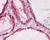
Immunohistochemistry (Formalin/PFA-fixed paraffin-embedded sections) - Anti-LIS1 antibody (AB117457)

ab117457, at 3.75 µg/ml, staining LIS1 in formalin fixed, paraffin embedded Human thyroid tissue by Immunohistochemistry using a biotinylated anti goat IgG secondary antibody, alkaline phosphatase streptavidin and chromogen.

Western blot - Anti-LIS1 antibody (AB117457)
  • WB

Unknown

Western blot - Anti-LIS1 antibody (AB117457)

All lanes:

Western blot - Anti-LIS1 antibody (ab117457) at 0.1 µg/mL

All lanes:

Rat Ovary Lysates

Predicted band size: 47 kDa

false

Immunohistochemistry (Formalin/PFA-fixed paraffin-embedded sections) - Anti-LIS1 antibody (AB117457)
  • IHC-P

Unknown

Immunohistochemistry (Formalin/PFA-fixed paraffin-embedded sections) - Anti-LIS1 antibody (AB117457)

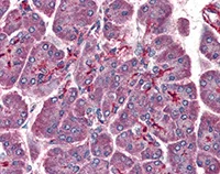
ab117457, at 3.75 μg/ml, staining LIS1 in formalin fixed, paraffin embedded Human pancreas tissue by Immunohistochemistry using a biotinylated anti goat IgG secondary antibody, alkaline phosphatase streptavidin and chromogen.

Immunohistochemistry (Formalin/PFA-fixed paraffin-embedded sections) - Anti-LIS1 antibody (AB117457)
  • IHC-P

Unknown

Immunohistochemistry (Formalin/PFA-fixed paraffin-embedded sections) - Anti-LIS1 antibody (AB117457)

ab117457, at 3.75 µg/ml, staining LIS1 in formalin fixed, paraffin embedded Human brain cortes tissue by Immunohistochemistry using a biotinylated anti goat IgG secondary antibody, alkaline phosphatase streptavidin and chromogen.

Key facts

Host species

Goat

Clonality

Polyclonal

Isotype

IgG

Carrier free

No

Reacts with

Rat, Human

Applications

WB, IHC-P

applications

Immunogen

Synthetic Peptide within Human PAFAH1B1 aa 350 to C-terminus. The exact immunogen used to generate this antibody is proprietary information.

P43034

Reactivity data

{ "title": "Reactivity Data", "filters": { "stats": ["", "Species", "Dilution Info", "Notes"], "tabs": { "all-applications": {"fullname" : "All Applications", "shortname": "All Applications"}, "IHCP" : {"fullname" : "Immunohistochemistry (Formalin/PFA-fixed paraffin-embedded sections)", "shortname":"IHC-P"}, "WB" : {"fullname" : "Western blot", "shortname":"WB"} }, "product-promise": { "all": "all", "testedAndGuaranteed": "tested", "guaranteed": "expected", "predicted": "predicted", "notRecommended": "not-recommended" } }, "values": { "Human": { "IHCP-species-checked": "testedAndGuaranteed", "IHCP-species-dilution-info": "3.75 µg/mL", "IHCP-species-notes": "<p></p> Perform heat-mediated antigen retrieval with citrate buffer pH 6 before commencing with IHC staining protocol.", "WB-species-checked": "guaranteed", "WB-species-dilution-info": "", "WB-species-notes": "" }, "Mouse": { "IHCP-species-checked": "predicted", "IHCP-species-dilution-info": "", "IHCP-species-notes": "", "WB-species-checked": "predicted", "WB-species-dilution-info": "", "WB-species-notes": "" }, "Rat": { "IHCP-species-checked": "guaranteed", "IHCP-species-dilution-info": "", "IHCP-species-notes": "", "WB-species-checked": "testedAndGuaranteed", "WB-species-dilution-info": "1-3 µg/mL", "WB-species-notes": "<p></p>" }, "Cat": { "IHCP-species-checked": "predicted", "IHCP-species-dilution-info": "", "IHCP-species-notes": "", "WB-species-checked": "predicted", "WB-species-dilution-info": "", "WB-species-notes": "" }, "Chicken": { "IHCP-species-checked": "predicted", "IHCP-species-dilution-info": "", "IHCP-species-notes": "", "WB-species-checked": "predicted", "WB-species-dilution-info": "", "WB-species-notes": "" }, "Cow": { "IHCP-species-checked": "predicted", "IHCP-species-dilution-info": "", "IHCP-species-notes": "", "WB-species-checked": "predicted", "WB-species-dilution-info": "", "WB-species-notes": "" }, "Dog": { "IHCP-species-checked": "predicted", "IHCP-species-dilution-info": "", "IHCP-species-notes": "", "WB-species-checked": "predicted", "WB-species-dilution-info": "", "WB-species-notes": "" }, "Horse": { "IHCP-species-checked": "predicted", "IHCP-species-dilution-info": "", "IHCP-species-notes": "", "WB-species-checked": "predicted", "WB-species-dilution-info": "", "WB-species-notes": "" }, "Pig": { "IHCP-species-checked": "predicted", "IHCP-species-dilution-info": "", "IHCP-species-notes": "", "WB-species-checked": "predicted", "WB-species-dilution-info": "", "WB-species-notes": "" }, "Xenopus laevis": { "IHCP-species-checked": "predicted", "IHCP-species-dilution-info": "", "IHCP-species-notes": "", "WB-species-checked": "predicted", "WB-species-dilution-info": "", "WB-species-notes": "" } } }

Properties and storage information

Form
Liquid
Purification technique
Affinity purification Immunogen
Storage buffer
pH: 7.3 Preservative: 0.02% Sodium azide Constituents: 99% Tris buffered saline, 0.5% BSA
Shipped at conditions
Blue Ice
Appropriate short-term storage conditions
+4°C
Appropriate long-term storage conditions
-20°C
Aliquoting information
Upon delivery aliquot
Storage information
Avoid freeze / thaw cycle

Supplementary information

This supplementary information is collated from multiple sources and compiled automatically.

LIS1 also known as PAFAH1B1 is a protein with a molecular mass of approximately 45 kDa. It plays a significant role in cellular and developmental processes by stabilizing microtubules and facilitating intracellular transport. LIS1 expresses ubiquitously with notable presence in the brain and other neural tissues. It interacts with dynein motor complexes guiding the transport of cellular components along microtubules and is essential in mitosis and neuronal migration.
Biological function summary

LIS1 influences neuronal migration during brain development. It forms a complex with dynein and other proteins like NDEL1 which is important for distributing organelles and proteins in the neuron. This dynein-LIS1 complex ensures proper positioning of the nucleus during cell division and migration. It also regulates the alignment of chromosomes warranting correct cytoskeleton organization and cell polarity.

Pathways

LIS1 is deeply involved in neurodevelopmental pathways and the stabilization of the cytoskeleton. The protein is a central player in the Reelin signaling pathway which is essential for layering neurons during cortical development. LIS1 cooperates with other components such as the DISC1 and DCX to ensure proper functioning within these pathways. These interactions are vital for maintaining proper brain structure and neural circuitry.

LIS1 mutations are linked to lissencephaly a disorder characterized by abnormal neuronal migration resulting in a smooth brain structure. This condition stems from disruptions in the mechanisms regulating microtubule dynamics and nuclear positioning during neuronal development. The protein interacts with TUBA1A another protein implicated in lissencephaly affecting the stability and function of microtubules. Disorders such as Miller-Dieker syndrome also relate to abnormalities in LIS1 highlighting its critical role in neurodevelopment.

Product protocols

For this product, it's our understanding that no specific protocols are required. You can visit:

Target data

Regulatory subunit (beta subunit) of the cytosolic type I platelet-activating factor (PAF) acetylhydrolase (PAF-AH (I)), an enzyme that catalyzes the hydrolyze of the acetyl group at the sn-2 position of PAF and its analogs and participates in PAF inactivation. Regulates the PAF-AH (I) activity in a catalytic dimer composition-dependent manner (By similarity). Required for proper activation of Rho GTPases and actin polymerization at the leading edge of locomoting cerebellar neurons and postmigratory hippocampal neurons in response to calcium influx triggered via NMDA receptors (By similarity). Positively regulates the activity of the minus-end directed microtubule motor protein dynein. May enhance dynein-mediated microtubule sliding by targeting dynein to the microtubule plus end. Required for several dynein- and microtubule-dependent processes such as the maintenance of Golgi integrity, the peripheral transport of microtubule fragments and the coupling of the nucleus and centrosome. Required during brain development for the proliferation of neuronal precursors and the migration of newly formed neurons from the ventricular/subventricular zone toward the cortical plate. Neuronal migration involves a process called nucleokinesis, whereby migrating cells extend an anterior process into which the nucleus subsequently translocates. During nucleokinesis dynein at the nuclear surface may translocate the nucleus towards the centrosome by exerting force on centrosomal microtubules. May also play a role in other forms of cell locomotion including the migration of fibroblasts during wound healing. Required for dynein recruitment to microtubule plus ends and BICD2-bound cargos (PubMed : 22956769). May modulate the Reelin pathway through interaction of the PAF-AH (I) catalytic dimer with VLDLR (By similarity).
See full target information PAFAH1B1

Publications (1)

Recent publications for all applications. Explore the full list and refine your search

Journal of advanced research 60:215-231 PubMed37479180

2023

Procyanidin C1 inhibits tumor growth and metastasis in colon cancer via modulating miR-501-3p/HIGD1A axis.

Applications

Unspecified application

Species

Unspecified reactive species

Jun-Lin Lv,Yu-Jun Tan,Yu-Shan Ren,Ru Ma,Xiao Wang,Shu-Yan Wang,Wan-Qing Liu,Qiu-Sheng Zheng,Jing-Chun Yao,Jun Tian,Jie Li
View all publications

Product promise

We are committed to supporting your work with high-quality reagents, and we're here for you every step of the way. In the unlikely event that one of our products does not perform as expected, you're protected by our Product Promise.
For full details, please see our Terms & Conditions

Please note: All products are 'FOR RESEARCH USE ONLY. NOT FOR USE IN DIAGNOSTIC OR THERAPEUTIC PROCEDURES'.

For licensing inquiries, please contact partnerships@abcam.com