JavaScript is disabled in your browser. Please enable JavaScript to view this website.
AB203490

Anti-Liver Arginase antibody [EPR19652]

Be the first to review this product! Submit a review

|

(24 Publications)

Rabbit Recombinant Monoclonal Liver Arginase antibody. Suitable for WB, IHC-Fr, IHC-P and reacts with Mouse, Rat samples. Cited in 24 publications.

View Alternative Names

Arginase-1, Liver-type arginase, Type I arginase, Arg1

8 Images
Immunohistochemistry (Frozen sections) - Anti-Liver Arginase antibody [EPR19652] (AB203490)
  • IHC-Fr

Supplier Data

Immunohistochemistry (Frozen sections) - Anti-Liver Arginase antibody [EPR19652] (AB203490)

Immunohistochemical analysis of 4% PFA-fixed, 0.2% Triton X-100 permeabilized frozen mouse small intestine tissue labeling Liver Arginase with ab203490 at 1/100 dilution (green), followed by ab150077 AlexaFluor®488 Goat anti-Rabbit secondary at a 1/1000 dilution. Negative staining on mouse small intestine (PMID : 21975054) is observed. Counter stained with DAPI (blue).
Secondary antibody only control : Used PBS instead of primary antibody, secondary antibody is ab150077 AlexaFluor®488 Goat anti-Rabbit used at a 1/1000 dilution.

Perform heat-mediated antigen retrieval by using sodium citrate buffer (10mM citrate pH 6.0 + 0.05% Tween-20).

Immunohistochemistry (Frozen sections) - Anti-Liver Arginase antibody [EPR19652] (AB203490)
  • IHC-Fr

Supplier Data

Immunohistochemistry (Frozen sections) - Anti-Liver Arginase antibody [EPR19652] (AB203490)

Immunohistochemical analysis of 4% PFA-fixed, 0.2% Triton X-100 permeabilized frozen mouse liver tissue labeling Liver Arginase with ab203490 at 1/100 dilution (green), followed by ab150077 AlexaFluor®488 Goat anti-Rabbit secondary at a 1/1000 dilution. Positive cytoplasmic staining in the hepatic cells of mouse liver (PMID : 21975054) is observed. Counter stained with DAPI (blue).
Secondary antibody only control : Used PBS instead of primary antibody, secondary antibody is ab150077 AlexaFluor®488 Goat anti-Rabbit used at a 1/1000 dilution.

Perform heat-mediated antigen retrieval by using sodium citrate buffer (10mM citrate pH 6.0 + 0.05% Tween-20).

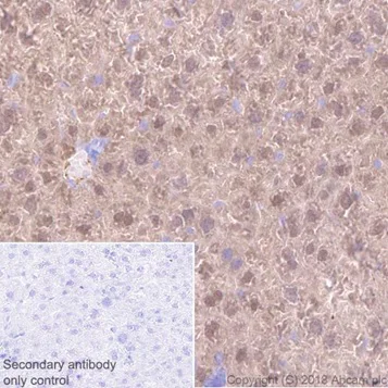
Immunohistochemistry (Formalin/PFA-fixed paraffin-embedded sections) - Anti-Liver Arginase antibody [EPR19652] (AB203490)
  • IHC-P

Supplier Data

Immunohistochemistry (Formalin/PFA-fixed paraffin-embedded sections) - Anti-Liver Arginase antibody [EPR19652] (AB203490)

Immunohistochemical analysis of paraffin-embedded mouse liver tissue labeling Liver Arginase with ab203490 at 1/2000 dilution, followed by a ready to use Goat Anti-Rabbit IgG H&L (HRP). Positive staining on mouse liver (PMID : 20661013; PMID : 21975054). Counter stained with Hematoxylin.
Secondary antibody only control : Used PBS instead of primary antibody, secondary antibody is a ready to use Goat Anti-Rabbit IgG H&L (HRP).
Perform heat mediated antigen retrieval using ab93684 (Tris/EDTA buffer, pH 9.0).

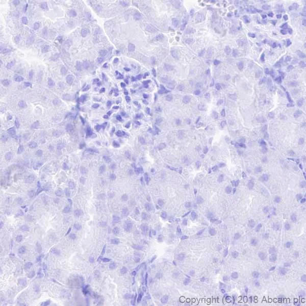
Immunohistochemistry (Formalin/PFA-fixed paraffin-embedded sections) - Anti-Liver Arginase antibody [EPR19652] (AB203490)
  • IHC-P

Supplier Data

Immunohistochemistry (Formalin/PFA-fixed paraffin-embedded sections) - Anti-Liver Arginase antibody [EPR19652] (AB203490)

Immunohistochemical analysis of paraffin-embedded mouse kidney tissue labeling Liver Arginase with ab203490 at 1/2000 dilution, followed by a ready to use Goat Anti-Rabbit IgG H&L (HRP). Negative control : No staining on mouse kidney (PMID : 21975054). Counter stained with Hematoxylin.
Secondary antibody only control : Used PBS instead of primary antibody, secondary antibody is a ready to use Goat Anti-Rabbit IgG H&L (HRP).
Perform heat mediated antigen retrieval using ab93684 (Tris/EDTA buffer, pH 9.0).

Immunohistochemistry (Formalin/PFA-fixed paraffin-embedded sections) - Anti-Liver Arginase antibody [EPR19652] (AB203490)
  • IHC-P

Supplier Data

Immunohistochemistry (Formalin/PFA-fixed paraffin-embedded sections) - Anti-Liver Arginase antibody [EPR19652] (AB203490)

Immunohistochemical analysis of paraffin-embedded rat liver tissue labeling Liver Arginase with ab203490 at 1/2000 dilution, followed by a ready to use Goat Anti-Rabbit IgG H&L (HRP). Positive staining on rat liver (PMID : 20661013; PMID : 21975054). Counter stained with Hematoxylin.
Secondary antibody only control : Used PBS instead of primary antibody, secondary antibody is a ready to use Goat Anti-Rabbit IgG H&L (HRP).
Perform heat mediated antigen retrieval using ab93684 (Tris/EDTA buffer, pH 9.0).

Western blot - Anti-Liver Arginase antibody [EPR19652] (AB203490)
  • WB

Supplier Data

Western blot - Anti-Liver Arginase antibody [EPR19652] (AB203490)

Blocking/Dilution buffer and concentration : 5% NFDM/TBST.

All lanes:

Western blot - Anti-Liver Arginase antibody [EPR19652] (ab203490) at 1/5000 dilution

All lanes:

Rat liver lysate at 10 µg

Secondary

All lanes:

Western blot - Goat Anti-Rabbit IgG H&L (HRP) (<a href='/en-us/products/secondary-antibodies/goat-rabbit-igg-h-l-hrp-ab97051'>ab97051</a>) at 1/100000 dilution

Predicted band size: 35 kDa

false

Exposure time: 2s

Western blot - Anti-Liver Arginase antibody [EPR19652] (AB203490)
  • WB

Supplier Data

Western blot - Anti-Liver Arginase antibody [EPR19652] (AB203490)

Blocking/ Dilution buffer and concentration : 5% NFDM/TBST.

Negative control : Mouse kidney (PMID : 21975054).

All lanes:

Western blot - Anti-Liver Arginase antibody [EPR19652] (ab203490) at 1/1000 dilution

Lane 1:

Mouse liver lysate at 20 µg

Lane 2:

Mouse kidney lysate at 20 µg

Secondary

All lanes:

Western blot - Goat Anti-Rabbit IgG H&L (HRP) (<a href='/en-us/products/secondary-antibodies/goat-rabbit-igg-h-l-hrp-ab97051'>ab97051</a>) at 1/100000 dilution

Predicted band size: 35 kDa

false

Exposure time: 3s

Western blot - Anti-Liver Arginase antibody [EPR19652] (AB203490)
  • WB

Lab

Western blot - Anti-Liver Arginase antibody [EPR19652] (AB203490)

Blocking/Diluting buffer and concentration : 5% NFDM/TBST

The expression profile observed in RAW 264.7 is consistent with the literatures (PMID : 28032600, PMID : 27166374, PMID : 9814991, PMID : 11080091).
Negative control : RAW 264.7 (PMID : 28032600, PMID : 27166374, PMID : 9814991, PMID : 11080091).

All lanes:

Western blot - Anti-Liver Arginase antibody [EPR19652] (ab203490) at 1/1000 dilution

Lane 1:

Mouse liver tissue lysate at 20 µg

Lane 2:

RAW 264.7 (Mouse Abelson murine leukemia virus-induced tumor macrophage) whole cell lysate at 20 µg

Secondary

All lanes:

Western blot - Goat Anti-Rabbit IgG H&L (HRP) (<a href='/en-us/products/secondary-antibodies/goat-rabbit-igg-h-l-hrp-ab97051'>ab97051</a>) at 1/20000 dilution

Predicted band size: 35 kDa

Observed band size: 37 kDa

false

Exposure time: 1s

  • Carrier free

    Anti-Liver Arginase antibody [EPR19652] - BSA and Azide free

Key facts

Host species

Rabbit

Clonality

Monoclonal

Clone number

EPR19652

Isotype

IgG

Carrier free

No

Reacts with

Mouse, Rat

Applications

WB, IHC-Fr, IHC-P

applications

Immunogen

The exact immunogen used to generate this antibody is proprietary information.

Reactivity data

{ "title": "Reactivity Data", "filters": { "stats": ["", "Species", "Dilution Info", "Notes"], "tabs": { "all-applications": {"fullname" : "All Applications", "shortname": "All Applications"}, "WB" : {"fullname" : "Western blot", "shortname":"WB"}, "IHCFr" : {"fullname" : "Immunohistochemistry (Frozen sections)", "shortname":"IHC-Fr"}, "IHCP" : {"fullname" : "Immunohistochemistry (Formalin/PFA-fixed paraffin-embedded sections)", "shortname":"IHC-P"} }, "product-promise": { "all": "all", "testedAndGuaranteed": "tested", "guaranteed": "expected", "predicted": "predicted", "notRecommended": "not-recommended" } }, "values": { "Mouse": { "WB-species-checked": "testedAndGuaranteed", "WB-species-dilution-info": "1/1000", "WB-species-notes": "<p></p>", "IHCFr-species-checked": "testedAndGuaranteed", "IHCFr-species-dilution-info": "1/100", "IHCFr-species-notes": "<p></p>", "IHCP-species-checked": "testedAndGuaranteed", "IHCP-species-dilution-info": "1/2000", "IHCP-species-notes": "<p></p>" }, "Rat": { "WB-species-checked": "testedAndGuaranteed", "WB-species-dilution-info": "1/1000", "WB-species-notes": "<p></p>", "IHCFr-species-checked": "guaranteed", "IHCFr-species-dilution-info": "", "IHCFr-species-notes": "", "IHCP-species-checked": "testedAndGuaranteed", "IHCP-species-dilution-info": "1/2000", "IHCP-species-notes": "<p></p>" } } }

Product details

Patented technology
Our RabMAb® technology is a patented hybridoma-based technology for making rabbit monoclonal antibodies. For details on our patents, please refer to RabMAb® patents.

What are the advantages of a recombinant monoclonal antibody?
This product is a recombinant monoclonal antibody, which offers several advantages including:

  • - High batch-to-batch consistency and reproducibility
  • - Improved sensitivity and specificity
  • - Long-term security of supply
  • - Animal-free batch production

For more information, read more on recombinant antibodies.

Properties and storage information

Form
Liquid
Purification technique
Affinity purification Protein A
Storage buffer
pH: 7.2 - 7.4 Preservative: 0.01% Sodium azide Constituents: PBS, 40% Glycerol (glycerin, glycerine), 0.05% BSA
Shipped at conditions
Blue Ice
Appropriate short-term storage duration
1-2 weeks
Appropriate short-term storage conditions
+4°C
Appropriate long-term storage conditions
-20°C
Aliquoting information
Upon delivery aliquot
Storage information
Avoid freeze / thaw cycle

Product protocols

For this product, it's our understanding that no specific protocols are required. You can visit:

Target data

Key element of the urea cycle converting L-arginine to urea and L-ornithine, which is further metabolized into metabolites proline and polyamides that drive collagen synthesis and bioenergetic pathways critical for cell proliferation, respectively; the urea cycle takes place primarily in the liver and, to a lesser extent, in the kidneys.. Functions in L-arginine homeostasis in nonhepatic tissues characterized by the competition between nitric oxide synthase (NOS) and arginase for the available intracellular substrate arginine. Arginine metabolism is a critical regulator of innate and adaptive immune responses. Involved in an antimicrobial effector pathway in polymorphonuclear granulocytes (PMN). Upon PMN cell death is liberated from the phagolysosome and depletes arginine in the microenvironment leading to suppressed T cell and natural killer (NK) cell proliferation and cytokine secretion (By similarity). In group 2 innate lymphoid cells (ILC2s) promotes acute type 2 inflammation in the lung and is involved in optimal ILC2 proliferation but not survival (PubMed : 27043409). Plays a role in the immune response of alternatively activated or M2 macrophages in processes such as wound healing and tissue regeneration, immune defense against multicellular pathogens and parasites, and immune suppression and allergic inflammation; the regulatory outcome seems to be organ specific (PubMed : 19360123, PubMed : 20483789, PubMed : 23552798, PubMed : 23637937, PubMed : 7537672). In tumor-infiltrating dendritic cells (DCs) and myeloid-derived suppressor cells (MDSCs) plays a role in suppression of T cell-mediated antitumor immunity (PubMed : 19414774, PubMed : 23248265).
See full target information Arg1

Publications (24)

Recent publications for all applications. Explore the full list and refine your search

Journal of cell communication and signaling 19:e70034 PubMed40692714

2025

UBD-mediated glycolytic reprogramming promotes M2 macrophage polarization in ovarian cancer immune evasion.

Applications

Unspecified application

Species

Unspecified reactive species

Nana Zhang,Fengming Zhao,Hailong Chen,Juli Wang,Haiyan Li

Journal of thoracic disease 17:4238-4248 PubMed40688289

2025

Effect of pirfenidone on pulmonary fibrosis in acute lung injury via the regulation of the miR-34a-5p/TGF-β1/SMAD pathway.

Applications

Unspecified application

Species

Unspecified reactive species

Chengyue Yu,Yonghuai Li,Youhui Tu,Mengyuan Dai,Liming Fei

Cell biology and toxicology 41:31 PubMed39820591

2025

Innovative treatment of age-related hearing loss using MSCs and EVs with Apelin.

Applications

Unspecified application

Species

Unspecified reactive species

Shengqun Xu,Dongliang Liu,Fang Zhang,Yuan Tian

Acta biochimica et biophysica Sinica 57:261-273 PubMed39439416

2024

Germacrone ameliorates acute lung injury induced by intestinal ischemia-reperfusion by regulating macrophage M1 polarization and mitochondrial defects.

Applications

Unspecified application

Species

Unspecified reactive species

Yunguang Wang,Xinxin He,Hua Zhang,Wei Hu

Journal of orthopaedic surgery and research 19:517 PubMed39198853

2024

Novel insights into vancomycin-loaded calcium sulfate and negative pressure wound therapy in preventing infections in open fractures.

Applications

Unspecified application

Species

Unspecified reactive species

Bei Jia,Rui Xue,Jia Li,Jichao Guo,Jianning Liu

Molecular cancer therapeutics 23:1854-1865 PubMed39162011

2024

Trametinib Potentiates Anti-PD-1 Efficacy in Tumors Established from Chemotherapy-Primed Pancreatic Cancer Cells.

Applications

Unspecified application

Species

Unspecified reactive species

Thao D Pham,Anastasia E Metropulos,Nida Mubin,Jeffrey H Becker,Dhavan Shah,Christina Spaulding,Mario A Shields,David J Bentrem,Hidayatullah G Munshi

ACS pharmacology & translational science 7:797-808 PubMed38481693

2024

Linderane Attenuates Complete Freund's Adjuvant-Induced Pain and Anxiety in Mice by Restoring Anterior Cingulate Cortex Microglia M2 Polarization through Activating Cannabinoid 2 Receptor.

Applications

Unspecified application

Species

Unspecified reactive species

Yue Chen,Yan Qin,Ying Gao,Saiying Wang,Qinhui Wang,Xiuling Tang,Zheng Rong,Caiyan Cheng,Longfei Li,Yuan Xu,Qi Yang,Yuping Tang,Minggao Zhao,Le Yang

Frontiers in bioengineering and biotechnology 12:1358802 PubMed38425992

2024

Inhibition of PTEN promotes osteointegration of titanium implants in type 2 diabetes by enhancing anti-inflammation and osteogenic capacity of adipose-derived stem cells.

Applications

Unspecified application

Species

Unspecified reactive species

Guanhua Zhang,Shuang Song,Zijun Chen,Xiangdong Liu,Jian Zheng,Yuxi Wang,Xutao Chen,Yingliang Song

Aging 15:15525-15534 PubMed38159254

2024

M-CSF secreted by gastric cancer cells exacerbates the progression of gastric cancer by increasing the expression of SHP2 in tumor-associated macrophages.

Applications

Unspecified application

Species

Unspecified reactive species

Shaohua Zhang,Dongfei Ren,Huiyu Hou,Li Yao,Hufang Yuan

BioMed research international 2023:2883623 PubMed38027040

2023

Exosomes from miR-23 Overexpressing Stromal Cells Suppress M1 Macrophage and Inhibit Calcium Oxalate Deposition in Hyperoxaluria Rat Model.

Applications

Unspecified application

Species

Unspecified reactive species

Zhang Yifan,Zhang Shengli,Wang Min,Cheng Wenjie,Sun Yi,Xu Luwei,Jia Ruipeng
View all publications

Product promise

We are committed to supporting your work with high-quality reagents, and we're here for you every step of the way. In the unlikely event that one of our products does not perform as expected, you're protected by our Product Promise.
For full details, please see our Terms & Conditions

Please note: All products are 'FOR RESEARCH USE ONLY. NOT FOR USE IN DIAGNOSTIC OR THERAPEUTIC PROCEDURES'.

For licensing inquiries, please contact partnerships@abcam.com