JavaScript is disabled in your browser. Please enable JavaScript to view this website.
AB259271

Anti-Liver Arginase antibody [EPR22033-369] - BSA and Azide free

5

(1 Review)

|

(3 Publications)

Rabbit Recombinant Monoclonal Liver Arginase antibody. Carrier free. Suitable for IP, WB, IHC-P, Flow Cyt (Intra) and reacts with Mouse, Rat samples. Cited in 3 publications.

View Alternative Names

Arginase-1, Liver-type arginase, Type I arginase, Arg1

6 Images
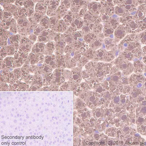
Immunohistochemistry (Formalin/PFA-fixed paraffin-embedded sections) - Anti-Liver Arginase antibody [EPR22033-369] - BSA and Azide free (AB259271)
  • IHC-P

Unknown

Immunohistochemistry (Formalin/PFA-fixed paraffin-embedded sections) - Anti-Liver Arginase antibody [EPR22033-369] - BSA and Azide free (AB259271)

Immunohistochemical analysis of paraffin-embedded Rat liver tissue labeling Liver Arginase with ab233548 at 1/2000 dilution (0.333 ug/ml) followed by a ready to use Rabbit specific IHC polymer detection kit HRP/DAB (ab209101). Nuclear and cytoplasmic staining in rat liver (PMID/ 22298472, 23637937, 21975054) is observed. The section was incubated with ab233548 for 15 mins at RT. The immunostaining was performed on a Leica Biosystems BOND® RX instrument. Counterstained with Hematoxylin.

Secondary antibody only control : Secondary antibody is a ready to use Rabbit specific IHC polymer detection kit HRP/DAB (ab209101)

Heat mediated antigen retrieval with Tris-EDTA buffer (pH 9.0, epitope retrieval solution 2) for 20 mins.

This data was developed using the same antibody clone in a different buffer formulation containing PBS, BSA, glycerol, and sodium azide (ab233548).

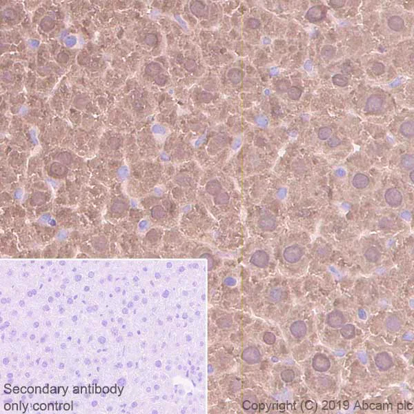
Immunohistochemistry (Formalin/PFA-fixed paraffin-embedded sections) - Anti-Liver Arginase antibody [EPR22033-369] - BSA and Azide free (AB259271)
  • IHC-P

Unknown

Immunohistochemistry (Formalin/PFA-fixed paraffin-embedded sections) - Anti-Liver Arginase antibody [EPR22033-369] - BSA and Azide free (AB259271)

Immunohistochemical analysis of paraffin-embedded Mouse liver tissue labeling Liver Arginase with ab233548 at 1/2000 dilution (0.333 ug/ml) followed by a ready to use Rabbit specific IHC polymer detection kit HRP/DAB (ab209101). Nuclear and cytoplasmic staining in mouse liver (PMID/ 22298472, 23637937, 21975054). The section was incubated with ab233548 for 15 mins at RT. The immunostaining was performed on a Leica Biosystems BOND® RX instrument. Counterstained with Hematoxylin.

Secondary antibody only control/ Secondary antibody is a ready to use Rabbit specific IHC polymer detection kit HRP/DAB (ab209101)

Heat mediated antigen retrieval with Tris-EDTA buffer (pH 9.0, epitope retrieval solution 2) for 20 mins.

This data was developed using the same antibody clone in a different buffer formulation containing PBS, BSA, glycerol, and sodium azide (ab233548).

Flow Cytometry (Intracellular) - Anti-Liver Arginase antibody [EPR22033-369] - BSA and Azide free (AB259271)
  • Flow Cyt (Intra)

Unknown

Flow Cytometry (Intracellular) - Anti-Liver Arginase antibody [EPR22033-369] - BSA and Azide free (AB259271)

Intracellular flow cytometric analysis of 4% paraformaldehyde fixed 90% methanol permeabilized Hepa1-6 (mouse epithelial hepatoma) cells labeling Liver Arginase with ab233548 at 1/60 dilution (Red) compared with a Rabbit monoclonal IgG (ab172730, Black) isotype control and an unlabelled control (cells without incubation with primary antibody and secondary antibody) (Blue). A Goat anti rabbit IgG (Alexa Fluor® 488, ab150077) at 1/2000 dilution was used as the secondary antibody.

This data was developed using the same antibody clone in a different buffer formulation containing PBS, BSA, glycerol, and sodium azide (ab233548).

Flow Cytometry (Intracellular) - Anti-Liver Arginase antibody [EPR22033-369] - BSA and Azide free (AB259271)
  • Flow Cyt (Intra)

Lab

Flow Cytometry (Intracellular) - Anti-Liver Arginase antibody [EPR22033-369] - BSA and Azide free (AB259271)

This data was developed using ab233548, the same antibody clone in a different buffer formulation.

Flow cytometry staining of C57BL/6 Mouse Bone Marrow Cell-derived Macrophages (M1 polarisation) (top) or C57BL/6 Mouse Bone Marrow Cell-derived Macrophages (M2 polarisation) (bottom) with ab233548 (right) or Recombinant Rabbit IgG, monoclonal [EPR25A] - Isotype Control (left). Cells were fixed and permeabilised with BD Cytofix/Cytoperm™ for 20 min. Cells were incubated for 30min on ice in 1x PBS containing 10μg/ml anti CD16/CD32 and 10% normal goat serum to block FC receptors and non-specific protein-protein interaction followed by the antibody ab233548 or Recombinant Rabbit IgG, monoclonal [EPR25A] - Isotype Control (1x 106in 100 μl at 5.0 μg/ml (1/472)) for 30min at 22°C. The cells were simultaneously stained with F4/80.

The secondary antibody Goat Anti-Rabbit IgG H&L (Alexa Fluor® 488) preadsorbed was incubated at 1/4000 for 30min at 22°C

Acquisition of >30000 events were collected using a 50 mW Blue laser (488nm) and 525/40 bandpass filter. Events were gated on live cells.

Immunoprecipitation - Anti-Liver Arginase antibody [EPR22033-369] - BSA and Azide free (AB259271)
  • IP

Unknown

Immunoprecipitation - Anti-Liver Arginase antibody [EPR22033-369] - BSA and Azide free (AB259271)

Liver Arginase was immunoprecipitated from 0.35 mg Mouse liver tissue lysate with ab233548 at 1/30 dilution (2ug in 0.35mg lysates). Western blot was performed on the immunoprecipitate using ab233548 at 1/1000 dilution. VeriBlot for IP Detection Reagent (HRP) (ab131366) was used at 1/5000 dilution.

Lane 1 : Mouse liver tissue lysate 10ug

Lane 2 : ab233548 IP in Mouse liver tissue lysate

Lane 3 : Rabbit monoclonal IgG (ab172730) instead of ab233548 in Mouse liver tissue lysate

Blocking and dilution buffer and concentration : 5% NFDM/TBST

Exposure time : 3 seconds

This data was developed using the same antibody clone in a different buffer formulation containing PBS, BSA, glycerol, and sodium azide (ab233548).

All lanes:

Immunoprecipitation - Anti-Liver Arginase antibody [EPR22033-369] (<a href='/en-us/products/primary-antibodies/liver-arginase-antibody-epr22033-369-ab233548'>ab233548</a>)

Predicted band size: 35 kDa

false

Western blot - Anti-Liver Arginase antibody [EPR22033-369] - BSA and Azide free (AB259271)
  • WB

Lab

Western blot - Anti-Liver Arginase antibody [EPR22033-369] - BSA and Azide free (AB259271)

Blocking/Diluting buffer and concentration : 5% NFDM/TBST.

The expression profile observed in RAW 264.7 is consistent with the literature (PMID : 28032600, PMID : 27166374, PMID : 9814991, PMID : 11080091).

This data was developed using the same antibody clone in a different buffer formulation containing PBS, BSA, glycerol, and sodium azide (ab233548).

All lanes:

Western blot - Anti-Liver Arginase antibody [EPR22033-369] (<a href='/en-us/products/primary-antibodies/liver-arginase-antibody-epr22033-369-ab233548'>ab233548</a>) at 1/1000 dilution

Lane 1:

Mouse liver tissue lysate at 20 µg

Lane 2:

RAW 264.7 (Mouse Abelson murine leukemia virus-induced tumor macrophage) whole cell lysate at 20 µg

Secondary

All lanes:

Western blot - Goat Anti-Rabbit IgG H&L (HRP) (<a href='/en-us/products/secondary-antibodies/goat-rabbit-igg-h-l-hrp-ab97051'>ab97051</a>) at 1/20000 dilution

Predicted band size: 35 kDa

Observed band size: 37 kDa

false

Exposure time: 1s

Key facts

Host species

Rabbit

Clonality

Monoclonal

Clone number

EPR22033-369

Isotype

IgG

Carrier free

Yes

Reacts with

Mouse, Rat

Applications

Flow Cyt (Intra), WB, IP, IHC-P

applications

Immunogen

The exact immunogen used to generate this antibody is proprietary information.

Reactivity data

{ "title": "Reactivity Data", "filters": { "stats": ["", "Species", "Dilution Info", "Notes"], "tabs": { "all-applications": {"fullname" : "All Applications", "shortname": "All Applications"}, "IP" : {"fullname" : "Immunoprecipitation", "shortname":"IP"}, "WB" : {"fullname" : "Western blot", "shortname":"WB"}, "IHCP" : {"fullname" : "Immunohistochemistry (Formalin/PFA-fixed paraffin-embedded sections)", "shortname":"IHC-P"}, "ICCIF" : {"fullname" : "Immunocytochemistry/ Immunofluorescence", "shortname":"ICC/IF"}, "FlowCytIntra" : {"fullname" : "Flow Cytometry (Intracellular)", "shortname":"Flow Cyt (Intra)"} }, "product-promise": { "all": "all", "testedAndGuaranteed": "tested", "guaranteed": "expected", "predicted": "predicted", "notRecommended": "not-recommended" } }, "values": { "Mouse": { "IP-species-checked": "testedAndGuaranteed", "IP-species-dilution-info": "", "IP-species-notes": "<p></p>", "WB-species-checked": "testedAndGuaranteed", "WB-species-dilution-info": "", "WB-species-notes": "<p></p>", "IHCP-species-checked": "testedAndGuaranteed", "IHCP-species-dilution-info": "", "IHCP-species-notes": "<p></p>", "ICCIF-species-checked": "notRecommended", "ICCIF-species-dilution-info": "", "ICCIF-species-notes": "<p></p>", "FlowCytIntra-species-checked": "testedAndGuaranteed", "FlowCytIntra-species-dilution-info": "", "FlowCytIntra-species-notes": "<p></p>" }, "Rat": { "IP-species-checked": "guaranteed", "IP-species-dilution-info": "", "IP-species-notes": "<p></p>", "WB-species-checked": "guaranteed", "WB-species-dilution-info": "", "WB-species-notes": "<p></p>", "IHCP-species-checked": "testedAndGuaranteed", "IHCP-species-dilution-info": "", "IHCP-species-notes": "<p></p>", "ICCIF-species-checked": "notRecommended", "ICCIF-species-dilution-info": "", "ICCIF-species-notes": "<p></p>", "FlowCytIntra-species-checked": "guaranteed", "FlowCytIntra-species-dilution-info": "", "FlowCytIntra-species-notes": "<p></p>" } } }

Product details

ab259271 is the carrier-free version of ab233548.

Patented technology
Our RabMAb® technology is a patented hybridoma-based technology for making rabbit monoclonal antibodies. For details on our patents, please refer to RabMAb® patents.

What are the advantages of a recombinant monoclonal antibody?
This product is a recombinant monoclonal antibody, which offers several advantages including:

  • - High batch-to-batch consistency and reproducibility
  • - Improved sensitivity and specificity
  • - Long-term security of supply
  • - Animal-free batch production

For more information, read more on recombinant antibodies.

Conjugation ready
Our carrier-free antibodies are typically supplied in a PBS-only formulation, purified and free of BSA, sodium azide and glycerol. This conjugation-ready format is designed for use with fluorochromes, metal isotopes, oligonucleotides, and enzymes, which makes them ideal for antibody labelling, functional and cell-based assays, flow-based assays (e.g. mass cytometry) and Multiplex Imaging applications.

Use our conjugation kits for antibody conjugates that are ready-to-use in as little as 20 minutes with 1 minute hands-on-time and 100% antibody recovery: available for fluorescent dyes, HRP, biotin and gold.

Compatibility
This product is compatible with the Maxpar® Antibody Labeling Kit from Fluidigm, without the need for antibody preparation. Maxpar® is a trademark of Fluidigm Canada Inc.

Properties and storage information

Form
Liquid
Purification technique
Affinity purification Protein A
Storage buffer
pH: 7.2 - 7.4 Constituents: PBS
Shipped at conditions
Blue Ice
Appropriate short-term storage conditions
+4°C
Appropriate long-term storage conditions
+4°C
Storage information
Do Not Freeze

Product protocols

For this product, it's our understanding that no specific protocols are required. You can visit:

Target data

Key element of the urea cycle converting L-arginine to urea and L-ornithine, which is further metabolized into metabolites proline and polyamides that drive collagen synthesis and bioenergetic pathways critical for cell proliferation, respectively; the urea cycle takes place primarily in the liver and, to a lesser extent, in the kidneys.. Functions in L-arginine homeostasis in nonhepatic tissues characterized by the competition between nitric oxide synthase (NOS) and arginase for the available intracellular substrate arginine. Arginine metabolism is a critical regulator of innate and adaptive immune responses. Involved in an antimicrobial effector pathway in polymorphonuclear granulocytes (PMN). Upon PMN cell death is liberated from the phagolysosome and depletes arginine in the microenvironment leading to suppressed T cell and natural killer (NK) cell proliferation and cytokine secretion (By similarity). In group 2 innate lymphoid cells (ILC2s) promotes acute type 2 inflammation in the lung and is involved in optimal ILC2 proliferation but not survival (PubMed : 27043409). Plays a role in the immune response of alternatively activated or M2 macrophages in processes such as wound healing and tissue regeneration, immune defense against multicellular pathogens and parasites, and immune suppression and allergic inflammation; the regulatory outcome seems to be organ specific (PubMed : 19360123, PubMed : 20483789, PubMed : 23552798, PubMed : 23637937, PubMed : 7537672). In tumor-infiltrating dendritic cells (DCs) and myeloid-derived suppressor cells (MDSCs) plays a role in suppression of T cell-mediated antitumor immunity (PubMed : 19414774, PubMed : 23248265).
See full target information Arg1

Publications (3)

Recent publications for all applications. Explore the full list and refine your search

International journal of biological sciences 21:5476-5495 PubMed40959275

2025

Increased CAPG inhibits ferroptosis to drive tumor proliferation and sorafenib resistance in hepatocellular carcinoma via the WDR74-p53-SLC7A11 pathway.

Applications

Unspecified application

Species

Unspecified reactive species

Bing Quan,Fan Yao,Wenfeng Liu,Bei Tang,Miao Li,Shenxin Lu,Jinghuan Li,Rongxin Chen,Zhenggang Ren,Xin Yin

Cellular & molecular biology letters 28:91 PubMed37946128

2023

Irf7 regulates the expression of Srg3 and ferroptosis axis aggravated sepsis-induced acute lung injury.

Applications

Unspecified application

Species

Unspecified reactive species

Xinyu Ling,Shiyou Wei,Dandan Ling,Siqi Cao,Rui Chang,Qiuyun Wang,Zhize Yuan

Aging 15:3715-3737 PubMed37166426

2023

Plasmon-activated water as a therapeutic strategy in Alzheimer's disease by altering gut microbiota.

Applications

Unspecified application

Species

Unspecified reactive species

Chia-Hsiung Cheng,Yu-Chuan Liu,Yu-Chen S H Yang,Kun-Ju Lin,Dean Wu,Yun-Ru Liu,Chun-Chao Chang,Chien-Tai Hong,Chaur-Jong Hu
View all publications

Product promise

We are committed to supporting your work with high-quality reagents, and we're here for you every step of the way. In the unlikely event that one of our products does not perform as expected, you're protected by our Product Promise.
For full details, please see our Terms & Conditions

Please note: All products are 'FOR RESEARCH USE ONLY. NOT FOR USE IN DIAGNOSTIC OR THERAPEUTIC PROCEDURES'.

For licensing inquiries, please contact partnerships@abcam.com