JavaScript is disabled in your browser. Please enable JavaScript to view this website.
AB315110

Anti-Liver Arginase antibody [RM1096]

  • BOND RX™ Validated
  • 20ul selling size
  • RabMAb
  • KO Validated
  • Recombinant
  • What is this?

Be the first to review this product! Submit a review

|

(4 Publications)

Knockout Tested Rabbit Recombinant Multiclonal Liver Arginase antibody. Suitable for WB, IHC-P, IP and reacts with Human, Mouse, Rat samples. Cited in 4 publications.

View Alternative Names

Arginase-1, Liver-type arginase, Type I arginase, ARG1

12 Images
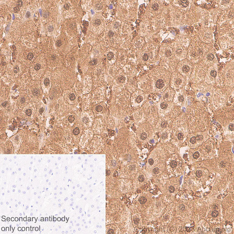
Immunohistochemistry (Formalin/PFA-fixed paraffin-embedded sections) - Anti-Liver Arginase antibody [RM1096] (AB315110)
  • IHC-P

Supplier Data

Immunohistochemistry (Formalin/PFA-fixed paraffin-embedded sections) - Anti-Liver Arginase antibody [RM1096] (AB315110)

Immunohistochemical analysis of paraffin-embedded human liver tissue labeling Liver Arginase with ab315110 at 1/5000 (0.093 ug/ml) followed by a ready to use LeicaDS9800 (Bond™ Polymer Refine Detection). Positive cytoplasmic and nuclear staining on human liver. The section was incubated with ab315110 for 30 mins at room temperature. The immunostaining was performed on a Leica Biosystems BOND® RX instrument. Counterstained with Hematoxylin. Secondary antibody only control : Secondary antibody is a ready to use LeicaDS9800 (Bond™ Polymer Refine Detection). Heat mediated antigen retrieval was performed with Tris-EDTA buffer (pH 9.0, Epitope Retrieval Solution2) for 20 mins.

Immunohistochemistry (Formalin/PFA-fixed paraffin-embedded sections) - Anti-Liver Arginase antibody [RM1096] (AB315110)
  • IHC-P

Supplier Data

Immunohistochemistry (Formalin/PFA-fixed paraffin-embedded sections) - Anti-Liver Arginase antibody [RM1096] (AB315110)

Immunohistochemical analysis of paraffin-embedded human brain tissue labeling liver arginase with ab315110 at 1/5000 (0.093 ug/ml) followed by a ready to use LeicaDS9800 (Bond™ Polymer Refine Detection). Negative control : no staining on human brain. The section was incubated with ab315110 for 30 mins at room temperature. The immunostaining was performed on a Leica Biosystems BOND® RX instrument. Counterstained with Hematoxylin. Secondary antibody only control : Secondary antibody is a ready to use LeicaDS9800 (Bond™ Polymer Refine Detection). Heat mediated antigen retrieval was performed with Tris-EDTA buffer (pH 9.0, Epitope Retrieval Solution2) for 20 mins.

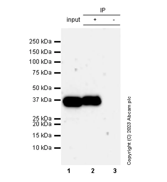
Immunoprecipitation - Anti-Liver Arginase antibody [RM1096] (AB315110)
  • IP

Supplier Data

Immunoprecipitation - Anti-Liver Arginase antibody [RM1096] (AB315110)

Liver Arginase was immunoprecipitated from 0.35 mg human liver tissue lysate with ab315110 at 1/30 dilution (2ug in 0.35mg lysates). Western blot was performed on the immunoprecipitate using ab315110 at 1/1000 dilution. VeriBlot for IP secondary antibody(HRP)(ab131366) was used at 1/5000 dilution. Lane 1 : Human liver tissue lysate Lane 2 : ab315110 IP in Human liver tissue lysate Lane 3 : Rabbit monoclonal IgG (ab172730) instead of ab315110 in human liver whole cell lysate Blocking and dilution buffer and concentration : 5% NFDM/TBST.

All lanes:

Immunoprecipitation - Anti-Liver Arginase antibody [RM1096] (ab315110) at 1/30 dilution

All lanes:

Human liver tissue lysate

Secondary

All lanes:

Immunoprecipitation - VeriBlot for IP Detection Reagent (HRP) (<a href='/en-us/products/reagents/veriblot-for-ip-detection-reagent-hrp-ab131366'>ab131366</a>) at 1/5000 dilution

false

Exposure time: 180s

Immunohistochemistry (Formalin/PFA-fixed paraffin-embedded sections) - Anti-Liver Arginase antibody [RM1096] (AB315110)
  • IHC-P

Supplier Data

Immunohistochemistry (Formalin/PFA-fixed paraffin-embedded sections) - Anti-Liver Arginase antibody [RM1096] (AB315110)

Immunohistochemical analysis of paraffin-embedded rat liver tissue labeling liver arginase with ab315110 at 1/5000 (0.093 ug/ml) followed by a ready to use LeicaDS9800 (Bond™ Polymer Refine Detection). Positive cytoplasmic and nuclear staining on rat liver. The section was incubated with ab315110 for 30 mins at room temperature. The immunostaining was performed on a Leica Biosystems BOND® RX instrument. Counterstained with Hematoxylin. Secondary antibody only control : Secondary antibody is a ready to use LeicaDS9800 (Bond™ Polymer Refine Detection). Heat mediated antigen retrieval was performed with Tris-EDTA buffer (pH 9.0, Epitope Retrieval Solution2) for 20 mins.

Immunohistochemistry (Formalin/PFA-fixed paraffin-embedded sections) - Anti-Liver Arginase antibody [RM1096] (AB315110)
  • IHC-P

Supplier Data

Immunohistochemistry (Formalin/PFA-fixed paraffin-embedded sections) - Anti-Liver Arginase antibody [RM1096] (AB315110)

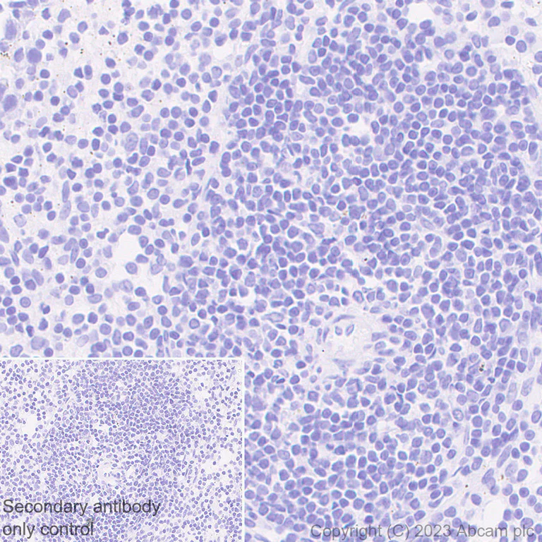
Immunohistochemical analysis of paraffin-embedded mouse spleen tissue labeling liver arginase with ab315110 at 1/5000 (0.093 ug/ml) followed by a ready to use LeicaDS9800 (Bond™ Polymer Refine Detection). Negative control : no staining on mouse spleen. The section was incubated with ab315110 for 30 mins at room temperature. The immunostaining was performed on a Leica Biosystems BOND® RX instrument. Counterstained with Hematoxylin. Secondary antibody only control : Secondary antibody is a ready to use LeicaDS9800 (Bond™ Polymer Refine Detection). Heat mediated antigen retrieval was performed with Tris-EDTA buffer (pH 9.0, Epitope Retrieval Solution2) for 20 mins.

Immunohistochemistry (Formalin/PFA-fixed paraffin-embedded sections) - Anti-Liver Arginase antibody [RM1096] (AB315110)
  • IHC-P

Supplier Data

Immunohistochemistry (Formalin/PFA-fixed paraffin-embedded sections) - Anti-Liver Arginase antibody [RM1096] (AB315110)

Immunohistochemical analysis of paraffin-embedded mouse liver tissue labeling Liver Arginase with ab315110 at 1/5000 (0.093 ug/ml) followed by a ready to use LeicaDS9800 (Bond™ Polymer Refine Detection). Positive cytoplasmic and nuclear staining on mouse liver. The section was incubated with ab315110 for 30 mins at room temperature. The immunostaining was performed on a Leica Biosystems BOND® RX instrument. Counterstained with Hematoxylin. Secondary antibody only control : Secondary antibody is a ready to use LeicaDS9800 (Bond™ Polymer Refine Detection). Heat mediated antigen retrieval was performed with Tris-EDTA buffer (pH 9.0, Epitope Retrieval Solution2) for 20 mins.

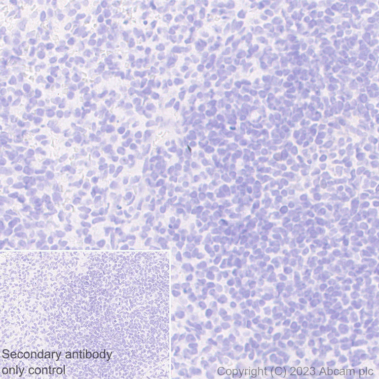
Immunohistochemistry (Formalin/PFA-fixed paraffin-embedded sections) - Anti-Liver Arginase antibody [RM1096] (AB315110)
  • IHC-P

Supplier Data

Immunohistochemistry (Formalin/PFA-fixed paraffin-embedded sections) - Anti-Liver Arginase antibody [RM1096] (AB315110)

Immunohistochemical analysis of paraffin-embedded rat spleen tissue labeling liver arginase with ab315110 at 1/5000 (0.093 ug/ml) followed by a ready to use LeicaDS9800 (Bond™ Polymer Refine Detection). Negative control : no staining on rat spleen. The section was incubated with ab315110 for 30 mins at room temperature. The immunostaining was performed on a Leica Biosystems BOND® RX instrument. Counterstained with Hematoxylin. Secondary antibody only control : Secondary antibody is a ready to use LeicaDS9800 (Bond™ Polymer Refine Detection). Heat mediated antigen retrieval was performed with Tris-EDTA buffer (pH 9.0, Epitope Retrieval Solution2) for 20 mins.

Immunoprecipitation - Anti-Liver Arginase antibody [RM1096] (AB315110)
  • IP

Supplier Data

Immunoprecipitation - Anti-Liver Arginase antibody [RM1096] (AB315110)

Liver Arginase was immunoprecipitated from 0.35 mg mouse liver tissue lysate with ab315110 at 1/30 dilution (2ug in 0.35mg lysates). Western blot was performed on the immunoprecipitate using ab315110 at 1/1000 dilution. VeriBlot for IP secondary antibody(HRP)(ab131366) was used at 1/5000 dilution. Lane 1 : Mouse liver tissue lysate Lane 2 : ab315110 IP in Mouse liver tissue lysate Lane 3 : Rabbit monoclonal IgG (ab172730) instead of ab315110 in mouse liver whole cell lysate Blocking and dilution buffer and concentration : 5% NFDM/TBST.

All lanes:

Immunoprecipitation - Anti-Liver Arginase antibody [RM1096] (ab315110) at 1/30 dilution

All lanes:

Mouse liver tissue lysate

Secondary

All lanes:

Immunoprecipitation - VeriBlot for IP Detection Reagent (HRP) (<a href='/en-us/products/reagents/veriblot-for-ip-detection-reagent-hrp-ab131366'>ab131366</a>) at 1/5000 dilution

false

Exposure time: 32s

Immunoprecipitation - Anti-Liver Arginase antibody [RM1096] (AB315110)
  • IP

Supplier Data

Immunoprecipitation - Anti-Liver Arginase antibody [RM1096] (AB315110)

Liver Arginase was immunoprecipitated from 0.35 mg rat liver tissue lysate with ab315110 at 1/30 dilution (2ug in 0.35mg lysates). Western blot was performed on the immunoprecipitate using ab315110 at 1/1000 dilution. VeriBlot for IP secondary antibody(HRP)(ab131366) was used at 1/5000 dilution. Lane 1 : Rat liver tissue lysate Lane 2 : ab315110 IP in Rat liver tissue lysate Lane 3 : Rabbit monoclonal IgG (ab172730) instead of ab315110 in rat liver whole cell lysate Blocking and dilution buffer and concentration : 5% NFDM/TBST.

All lanes:

Immunoprecipitation - Anti-Liver Arginase antibody [RM1096] (ab315110) at 1/30 dilution

All lanes:

Rat liver tissue lysate

Secondary

All lanes:

Immunoprecipitation - VeriBlot for IP Detection Reagent (HRP) (<a href='/en-us/products/reagents/veriblot-for-ip-detection-reagent-hrp-ab131366'>ab131366</a>) at 1/5000 dilution

false

Exposure time: 32s

Western blot - Anti-Liver Arginase antibody [RM1096] (AB315110)
  • WB

Supplier Data

Western blot - Anti-Liver Arginase antibody [RM1096] (AB315110)

Blocking and diluting buffer and concentration : Intercept® (TBS) Blocking Buffer diluted with an equal volume of TBS. Western blot : Anti-Liver Arginase antibody (ab315110) staining at 1/1000 dilution, shown in green; Mouse anti-GAPDH antibody [6C5](ab8245) loading control staining at 1/20000 dilution, shown in red. In Western blot, ab315110 was shown to bind specifically to Liver Arginase. Target of interest was observed at 35 kDa in wild-type HepG2 cell lysates (lane 1) with no signal observed at this size in ARG1 knockout cell line (lane 2, knockout cell line ab281603/ knockout cell lysate ab283099). To generate this image, samples were first run on an SDS-PAGE gel then transferred onto an immobilon-FL PVDF membrane. Membranes were blocked in a fluorescent western blot (TBS-based) blocking solution before incubation with primary antibodies overnight at 4 °C. Blots were washed in TBS-T, incubated with secondary antibodies Goat anti-Rabbit IgG H&L 800CW and Goat anti-Mouse IgG H&L 680RD at 1/20000 dilution for 1 h at room temperature, washed again then imaged.

All lanes:

Western blot - Anti-Liver Arginase antibody [RM1096] (ab315110) at 1/1000 dilution

Lane 1:

Wild-type HepG2 (human hepatocellar carcinoma epithelial cell) whole cell lysate at 20 µg

Lane 2:

Western blot - Human ARG1 knockout Hep G2 cell lysate (ab283099) at 20 µg

Secondary

All lanes:

Goat Anti-Rabbit IgG H&L (800CW) and Goat Anti-Mouse IgG H&L (680RD) at 1/20000 dilution

Observed band size: 35 kDa,36 kDa

false

Western blot - Anti-Liver Arginase antibody [RM1096] (AB315110)
  • WB

Supplier Data

Western blot - Anti-Liver Arginase antibody [RM1096] (AB315110)

Blocking and diluting buffer and concentration : 5% NFDM/TBST Low expression : spleen (PMID : 21975054). In Western blot, Anti-GAPDH antibody [EPR16891] - Loading Control (ab181602) staining at 1/200000 dilution.

All lanes:

Western blot - Anti-Liver Arginase antibody [RM1096] (ab315110) at 1/1000 dilution

Lane 1:

Human liver tissue lysates at 20 µg

Lane 2:

Human spleen tissue lysates at 20 µg

Secondary

All lanes:

Goat Anti-Rabbit IgG (HRP) with minimal cross-reactivity with human IgG at 1/2000 dilution

Observed band size: 35 kDa,36 kDa

false

Exposure time: 6s

Western blot - Anti-Liver Arginase antibody [RM1096] (AB315110)
  • WB

Supplier Data

Western blot - Anti-Liver Arginase antibody [RM1096] (AB315110)

Blocking and diluting buffer and concentration : 5% NFDM/TBST Low expression : kidney and spleen (PMID : 21975054). In Western blot, Anti-GAPDH antibody [EPR16891] - Loading Control (ab181602) staining at 1/200000 dilution.

All lanes:

Western blot - Anti-Liver Arginase antibody [RM1096] (ab315110) at 1/1000 dilution

Lane 1:

Mouse liver tissue lysates at 20 µg

Lane 2:

Mouse kidney tissue lysates at 20 µg

Lane 3:

Mouse spleen tissue lysates at 20 µg

Lane 4:

Rat liver tissue lysates at 20 µg

Lane 5:

Rat kidney tissue lysates at 20 µg

Lane 6:

Rat spleen tissue lysates at 20 µg

Secondary

All lanes:

Western blot - Goat Anti-Rabbit IgG H&L (HRP) (<a href='/en-us/products/secondary-antibodies/goat-rabbit-igg-h-l-hrp-ab97051'>ab97051</a>) at 1/100000 dilution

Observed band size: 35 kDa,36 kDa

false

Exposure time: 15s

  • Carrier free

    Anti-Liver Arginase antibody [RM1096] - BSA and Azide free

Key facts

Host species

Rabbit

Clonality

Multiclonal

Clone number

RM1096

Isotype

IgG

Carrier free

No

Reacts with

Human, Mouse, Rat

Applications

WB, IP, IHC-P

applications

Immunogen

The exact immunogen used to generate this antibody is proprietary information.

Reactivity data

{ "title": "Reactivity Data", "filters": { "stats": ["", "Species", "Dilution Info", "Notes"], "tabs": { "all-applications": {"fullname" : "All Applications", "shortname": "All Applications"}, "WB" : {"fullname" : "Western blot", "shortname":"WB"}, "IHCP" : {"fullname" : "Immunohistochemistry (Formalin/PFA-fixed paraffin-embedded sections)", "shortname":"IHC-P"}, "IP" : {"fullname" : "Immunoprecipitation", "shortname":"IP"}, "ICCIF" : {"fullname" : "Immunocytochemistry/ Immunofluorescence", "shortname":"ICC/IF"}, "FlowCytIntra" : {"fullname" : "Flow Cytometry (Intracellular)", "shortname":"Flow Cyt (Intra)"} }, "product-promise": { "all": "all", "testedAndGuaranteed": "tested", "guaranteed": "expected", "predicted": "predicted", "notRecommended": "not-recommended" } }, "values": { "Human": { "WB-species-checked": "testedAndGuaranteed", "WB-species-dilution-info": "1/1000", "WB-species-notes": "<p></p>", "IHCP-species-checked": "testedAndGuaranteed", "IHCP-species-dilution-info": "1/5000", "IHCP-species-notes": "<p></p> Perform heat-mediated antigen retrieval with Tris/EDTA buffer pH 9.0 before commencing with IHC staining protocol.", "IP-species-checked": "testedAndGuaranteed", "IP-species-dilution-info": "1/30", "IP-species-notes": "<p></p>", "ICCIF-species-checked": "notRecommended", "ICCIF-species-dilution-info": "", "ICCIF-species-notes": "<p></p>", "FlowCytIntra-species-checked": "notRecommended", "FlowCytIntra-species-dilution-info": "", "FlowCytIntra-species-notes": "<p></p>" }, "Mouse": { "WB-species-checked": "testedAndGuaranteed", "WB-species-dilution-info": "1/1000", "WB-species-notes": "<p></p>", "IHCP-species-checked": "testedAndGuaranteed", "IHCP-species-dilution-info": "1/5000", "IHCP-species-notes": "<p></p> Perform heat-mediated antigen retrieval with Tris/EDTA buffer pH 9.0 before commencing with IHC staining protocol.", "IP-species-checked": "testedAndGuaranteed", "IP-species-dilution-info": "1/30", "IP-species-notes": "<p></p>", "ICCIF-species-checked": "notRecommended", "ICCIF-species-dilution-info": "", "ICCIF-species-notes": "", "FlowCytIntra-species-checked": "notRecommended", "FlowCytIntra-species-dilution-info": "", "FlowCytIntra-species-notes": "" }, "Rat": { "WB-species-checked": "testedAndGuaranteed", "WB-species-dilution-info": "1/1000", "WB-species-notes": "<p></p>", "IHCP-species-checked": "testedAndGuaranteed", "IHCP-species-dilution-info": "1/5000", "IHCP-species-notes": "<p></p> Perform heat-mediated antigen retrieval with Tris/EDTA buffer pH 9.0 before commencing with IHC staining protocol.", "IP-species-checked": "testedAndGuaranteed", "IP-species-dilution-info": "1/30", "IP-species-notes": "<p></p>", "ICCIF-species-checked": "notRecommended", "ICCIF-species-dilution-info": "", "ICCIF-species-notes": "", "FlowCytIntra-species-checked": "notRecommended", "FlowCytIntra-species-dilution-info": "", "FlowCytIntra-species-notes": "" } } }

Product details

What are recombinant multiclonals?
Recombinant multiclonals are a mixture of recombinant antibodies co-expressed from a library of heavy and light chains. They offer several advantages including:

  • - The sensitivity of polyclonal antibodies by recognising multiple epitopes
  • - High batch-to-batch consistency and reproducibility
  • - Improved sensitivity and specificity
  • - Long-term security of supply
  • - Animal-free batch production

View our range of recombinant multiclonal antibodies.

Patented technology
Our RabMAb® technology is a patented hybridoma-based technology for making rabbit monoclonal antibodies. For details on our patents, please refer to RabMAb® patents.

Properties and storage information

Form
Liquid
Purification technique
Affinity purification Protein A
Storage buffer
pH: 7.2 - 7.4 Preservative: 0.01% Sodium azide Constituents: PBS, 40% Glycerol (glycerin, glycerine), 0.05% BSA
Shipped at conditions
Blue Ice
Appropriate short-term storage duration
1-2 weeks
Appropriate short-term storage conditions
+4°C
Appropriate long-term storage conditions
-20°C
Aliquoting information
Upon delivery aliquot
Storage information
Avoid freeze / thaw cycle

Product protocols

For this product, it's our understanding that no specific protocols are required. You can visit:

Target data

Key element of the urea cycle converting L-arginine to urea and L-ornithine, which is further metabolized into metabolites proline and polyamides that drive collagen synthesis and bioenergetic pathways critical for cell proliferation, respectively; the urea cycle takes place primarily in the liver and, to a lesser extent, in the kidneys.. Functions in L-arginine homeostasis in nonhepatic tissues characterized by the competition between nitric oxide synthase (NOS) and arginase for the available intracellular substrate arginine. Arginine metabolism is a critical regulator of innate and adaptive immune responses. Involved in an antimicrobial effector pathway in polymorphonuclear granulocytes (PMN). Upon PMN cell death is liberated from the phagolysosome and depletes arginine in the microenvironment leading to suppressed T cell and natural killer (NK) cell proliferation and cytokine secretion (PubMed : 15546957, PubMed : 16709924, PubMed : 19380772). In group 2 innate lymphoid cells (ILC2s) promotes acute type 2 inflammation in the lung and is involved in optimal ILC2 proliferation but not survival (By similarity). In humans, the immunological role in the monocytic/macrophage/dendritic cell (DC) lineage is unsure.
See full target information ARG1

Publications (4)

Recent publications for all applications. Explore the full list and refine your search

iScience 28:112131 PubMed40276767

2025

Rapgef3 modulates macrophage reprogramming and exacerbates synovitis and osteoarthritis under excessive mechanical loading.

Applications

Unspecified application

Species

Unspecified reactive species

Wen Tang,Jian-Bin Yin,Ren-Gui Lin,Chun-Yu Wu,Jia-Luo Huang,Jin-Jian Zhu,Ling-Feng Yang,Guang-Ming Li,Dao-Zhang Cai,Liang-Liang Liu,Yan-Li Liu,Hai-Yan Zhang

Diabetic medicine : a journal of the British Diabetic Association 42:e70014 PubMed40065730

2025

LncRNA CASC2 mediates SOCS6 mRNA stabilization via U2AF2 recruitment to modulate macrophage polarisation in diabetic retinopathy.

Applications

Unspecified application

Species

Unspecified reactive species

Fan Xiao,Feipeng Wu,Peipei Zhong,Tian Hu,Rong Luo

Journal of bone oncology 50:100655 PubMed39850453

2025

Using β-Elemene to reduce stemness and drug resistance in osteosarcoma: A focus on the AKT/FOXO1 signaling pathway and immune modulation.

Applications

Unspecified application

Species

Unspecified reactive species

Shaochun Zhang,Zhijie Xing,Jing Ke

Phytotherapy research : PTR 38:1990-2006 PubMed38372204

2024

Quercetin as a promising intervention for rat osteoarthritis by decreasing M1-polarized macrophages via blocking the TRPV1-mediated P2X7/NLRP3 signaling pathway.

Applications

Unspecified application

Species

Unspecified reactive species

Wenjun Li,Hebei He,Min Du,Mu Gao,Qijie Sun,Yeyang Wang,Hanyu Lu,Shuanji Ou,Changliang Xia,Changpeng Xu,Qi Zhao,Hongtao Sun
View all publications

Product promise

We are committed to supporting your work with high-quality reagents, and we're here for you every step of the way. In the unlikely event that one of our products does not perform as expected, you're protected by our Product Promise.
For full details, please see our Terms & Conditions

Please note: All products are 'FOR RESEARCH USE ONLY. NOT FOR USE IN DIAGNOSTIC OR THERAPEUTIC PROCEDURES'.

For licensing inquiries, please contact partnerships@abcam.com