JavaScript is disabled in your browser. Please enable JavaScript to view this website.
AB222517

Anti-liver FABP antibody [EPR20464]

  • BOND RX™ Validated
  • 20ul selling size
  • RabMAb
  • Advanced Validation
  • Recombinant
  • What is this?

Be the first to review this product! Submit a review

|

(3 Publications)

Rabbit Recombinant Monoclonal liver FABP antibody. Suitable for mIHC, WB, ICC/IF, IHC-P and reacts with Human, Mouse, Rat samples. Cited in 3 publications.

View Alternative Names

FABPL, FABP1, Fatty acid-binding protein 1, Liver-type fatty acid-binding protein, L-FABP

12 Images
Multiplex immunohistochemistry - Anti-liver FABP antibody [EPR20464] (AB222517)
  • mIHC

Lab

Multiplex immunohistochemistry - Anti-liver FABP antibody [EPR20464] (AB222517)

Fluorescence multiplex immunohistochemical analysis of the human colon (Formalin/PFA-fixed paraffin-embedded sections). Panel A : merged staining of anti-liver FABP (ab240401 gray; Opal™690), anti-CD3 epsilon (ab16669 green; Opal™520) and anti-CD68 (ab213363 red; Opal™570) on human colon. Panel B : anti-liver FABP stained on enterocytes. Panel C : anti-CD3 epsilon stained on T cells. Panel D : anti-CD68 stained on macrophages. Opal Polymer HRP Ms + Rb was used as a secondary antibody. The immunostaining was performed on a Leica Biosystems BOND® RX instrument with an Opal™ 4-color kit. The section was incubated in three rounds of staining : in the order of ab240401 (1/8000 dilution), ab16669 (1/150 dilution) and ab213363 (1/500 dilution) for 30 mins at room temperature. Each round was followed by a separate fluorescent tyramide signal amplification system. Heat mediated antigen retrieval with Tris-EDTA buffer (pH 9.0 epitope retrieval solution2) for 20 mins. DAPI (blue) was used as a nuclear counter stain. Image acquisition was performed with Leica SP8 confocal microscope.

Immunohistochemistry (Formalin/PFA-fixed paraffin-embedded sections) - Anti-liver FABP antibody [EPR20464] (AB222517)
  • IHC-P

Lab

Immunohistochemistry (Formalin/PFA-fixed paraffin-embedded sections) - Anti-liver FABP antibody [EPR20464] (AB222517)

Immunohistochemical analysis of paraffin-embedded human colon cancer tissue labeling liver FABP with ab222517 at 1/3000 dilution, followed by Goat Anti-Rabbit IgG H&L (HRP) ready to use. Cytoplasmic and nuclear staining on human colon cancer (PMID : 15138477). Counter stained with Hematoxylin.

Perform heat mediated antigen retrieval using ab93684 (Tris/EDTA buffer, pH 9.0).

Secondary antibody only control : Used PBS instead of primary antibody, secondary antibody is Goat Anti-Rabbit IgG H&L (HRP) ready to use.

Immunohistochemistry (Formalin/PFA-fixed paraffin-embedded sections) - Anti-liver FABP antibody [EPR20464] (AB222517)
  • IHC-P

Lab

Immunohistochemistry (Formalin/PFA-fixed paraffin-embedded sections) - Anti-liver FABP antibody [EPR20464] (AB222517)

Immunohistochemical analysis of paraffin-embedded human gastric cancer tissue labeling liver FABP with ab222517 at 1/3000 dilution, followed by Goat Anti-Rabbit IgG H&L (HRP) ready to use. Nuclear and cytoplasmic staining on human gastric cancer (PMID : 15051923). Counter stained with Hematoxylin.

Perform heat mediated antigen retrieval using ab93684 (Tris/EDTA buffer, pH 9.0).

Secondary antibody only control : Used PBS instead of primary antibody, secondary antibody is Goat Anti-Rabbit IgG H&L (HRP) ready to use.

Multiplex immunohistochemistry - Anti-liver FABP antibody [EPR20464] (AB222517)
  • mIHC

Lab

Multiplex immunohistochemistry - Anti-liver FABP antibody [EPR20464] (AB222517)

Fluorescence multiplex immunohistochemical analysis of the human colon (Formalin/PFA-fixed paraffin-embedded sections). Panel A : merged staining of anti-Villin (ab245749, gray; Opal™690), anti-liver FABP (ab240401, green; Opal™520) and anti-MUC2 (ab272692, red; Opal™570) on human colon. Panel B : anti-liver FABP stained on enterocytes. Panel C : anti-Villin stained on apical border. Panel D : anti-MUC2 stained on goblet cells. Rabbit specific IHC polymer detection kit HRP/DAB (ab209101) was used as a secondary antibody. The immunostaining was performed on a Leica Biosystems BOND® RX instrument with an Opal™ 4-color kit. The section was incubated in three rounds of staining : in the order of ab245749 (1/1000 dilution), ab240401 (1/8000 dilution), and ab272692 (1/5000 dilution) for 30 mins at room temperature. Each round was followed by a separate fluorescent tyramide signal amplification system. Heat mediated antigen retrieval with Tris-EDTA buffer (pH 9.0, epitope retrieval solution2) for 20 mins. DAPI (blue) was used as a nuclear counter stain. Image acquisition was performed with Leica SP8 confocal microscope.

Multiplex immunohistochemistry - Anti-liver FABP antibody [EPR20464] (AB222517)
  • mIHC

Lab

Multiplex immunohistochemistry - Anti-liver FABP antibody [EPR20464] (AB222517)

Fluorescence multiplex immunohistochemical analysis of the human duodenum (Formalin/PFA-fixed paraffin-embedded sections). Panel A : merged staining of anti-liver FABP (ab240401 gray; Opal™690), anti-CD3 epsilon (ab16669 green; Opal™520) and anti-CD68 (ab213363 red; Opal™570) on human duodenum. Panel B : anti-liver FABP stained on enterocytes. Panel C : anti-CD3 epsilon stained on T cells. Panel D : anti-CD68 stained on macrophages. Opal Polymer HRP Ms + Rb was used as a secondary antibody. The immunostaining was performed on a Leica Biosystems BOND® RX instrument with an Opal™ 4-color kit. The section was incubated in three rounds of staining : in the order of ab240401 (1/8000 dilution), ab16669 (1/150 dilution) and ab213363 (1/500 dilution) for 30 mins at room temperature. Each round was followed by a separate fluorescent tyramide signal amplification system. Heat mediated antigen retrieval with Tris-EDTA buffer (pH 9.0 epitope retrieval solution2) for 20 mins. DAPI (blue) was used as a nuclear counter stain. Image acquisition was performed with Leica SP8 confocal microscope.

Immunohistochemistry (Formalin/PFA-fixed paraffin-embedded sections) - Anti-liver FABP antibody [EPR20464] (AB222517)
  • IHC-P

Lab

Immunohistochemistry (Formalin/PFA-fixed paraffin-embedded sections) - Anti-liver FABP antibody [EPR20464] (AB222517)

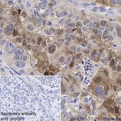
Immunohistochemical analysis of paraffin-embedded human hepatocellular carcinoma tissue labeling liver FABP with ab222517 at 1/3000 dilution, followed by Goat Anti-Rabbit IgG H&L (HRP) ready to use. Cytoplasmic and weak nuclear staining on human hepatocellular carcinoma. Counter stained with Hematoxylin.

Perform heat mediated antigen retrieval using ab93684 (Tris/EDTA buffer, pH 9.0).

Secondary antibody only control : Used PBS instead of primary antibody, secondary antibody is Goat Anti-Rabbit IgG H&L (HRP) ready to use.

Immunocytochemistry/ Immunofluorescence - Anti-liver FABP antibody [EPR20464] (AB222517)
  • ICC/IF

Lab

Immunocytochemistry/ Immunofluorescence - Anti-liver FABP antibody [EPR20464] (AB222517)

Immunofluorescent analysis of 4% paraformaldehyde fixed, 0.1% tritonX-100 permeabilized HepG2 (human hepatocellular carcinoma epithelial cell) cells labeling liver FABP with ab222517 at 1/100 dilution, followed by AlexaFluor®488 Goat anti-Rabbit secondary (ab150077) secondary antibody at 1/1000 dilution (green). Confocal image showing nuclear and cytoplasmic staining on HepG2 cell line. Nuclear counterstain DAPI (blue). Counterstain Anti-alpha Tubulin antibody [DM1A] - Microtubule Marker (Alexa Fluor® 594) at 1/200 dilution (red).

The negative control was secondary antibody only.

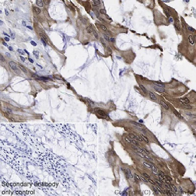
Immunohistochemistry (Formalin/PFA-fixed paraffin-embedded sections) - Anti-liver FABP antibody [EPR20464] (AB222517)
  • IHC-P

Lab

Immunohistochemistry (Formalin/PFA-fixed paraffin-embedded sections) - Anti-liver FABP antibody [EPR20464] (AB222517)

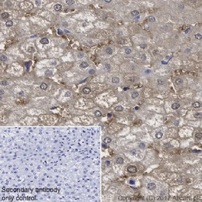
Immunohistochemical analysis of paraffin-embedded human liver tissue labeling liver FABP with ab222517 at 1/3000 dilution, followed by Goat Anti-Rabbit IgG H&L (HRP) ready to use. Cytoplasmic staining on human hepatocytes and sinusoids (PMID : 3123629). Counter stained with Hematoxylin.

Perform heat mediated antigen retrieval using ab93684 (Tris/EDTA buffer, pH 9.0).

Secondary antibody only control : Used PBS instead of primary antibody, secondary antibody is Goat Anti-Rabbit IgG H&L (HRP) ready to use.

Immunohistochemistry (Formalin/PFA-fixed paraffin-embedded sections) - Anti-liver FABP antibody [EPR20464] (AB222517)
  • IHC-P

Lab

Immunohistochemistry (Formalin/PFA-fixed paraffin-embedded sections) - Anti-liver FABP antibody [EPR20464] (AB222517)

Immunohistochemical analysis of paraffin-embedded human colon tissue labeling liver FABP with ab222517 at 1/3000 dilution, followed by Goat Anti-Rabbit IgG H&L (HRP) ready to use. Cytoplasmic and weak nuclear staining on human colon (PMID : 15138477). Counter stained with Hematoxylin.

Perform heat mediated antigen retrieval using ab93684 (Tris/EDTA buffer, pH 9.0).

Secondary antibody only control : Used PBS instead of primary antibody, secondary antibody is Goat Anti-Rabbit IgG H&L (HRP) ready to use.

Multiplex immunohistochemistry - Anti-liver FABP antibody [EPR20464] (AB222517)
  • mIHC

Lab

Multiplex immunohistochemistry - Anti-liver FABP antibody [EPR20464] (AB222517)

Fluorescence multiplex immunohistochemical analysis of the human duodenum (Formalin/PFA-fixed paraffin-embedded sections). Panel A : merged staining of anti-liver FABP (ab240401, gray; Opal™690), anti-Lysozyme (ab242430, green; Opal™520) and anti-Chromogranin A (ab254557, red; Opal™570) on human duodenum. Panel B : anti-liver FABP stained on enterocytes. Panel C : anti-Lysozyme stained on Paneth cells. Panel D : anti-Chromogranin A stained on neuroendocrine cells. Opal Polymer HRP Ms + Rb was used as a secondary antibody. The immunostaining was performed on a Leica Biosystems BOND® RX instrument with an Opal™ 4-color kit. The section was incubated in three rounds of staining : in the order of ab240401 (1/8000 dilution), ab242430 (1 : 250 dilution), and ab254557 (1/5000 dilution) for 30 mins at room temperature. Each round was followed by a separate fluorescent tyramide signal amplification system. Heat mediated antigen retrieval with Tris-EDTA buffer (pH 9.0, epitope retrieval solution2) for 20 mins. DAPI (blue) was used as a nuclear counter stain. Image acquisition was performed with Leica SP8 confocal microscope.

Immunohistochemistry (Formalin/PFA-fixed paraffin-embedded sections) - Anti-liver FABP antibody [EPR20464] (AB222517)
  • IHC-P

Lab

Immunohistochemistry (Formalin/PFA-fixed paraffin-embedded sections) - Anti-liver FABP antibody [EPR20464] (AB222517)

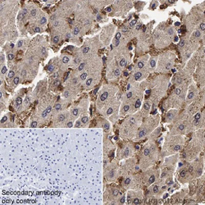
Immunohistochemical analysis of paraffin-embedded rat liver tissue labeling liver FABP with ab222517 at 1/3000 dilution, followed by Goat Anti-Rabbit IgG H&L (HRP) ready to use. Nuclear and cytoplasmic staining on rat liver is observed. Counter stained with Hematoxylin.

Perform heat mediated antigen retrieval using ab93684 (Tris/EDTA buffer, pH 9.0).

Secondary antibody only control : Used PBS instead of primary antibody, secondary antibody is Goat Anti-Rabbit IgG H&L (HRP) ready to use.

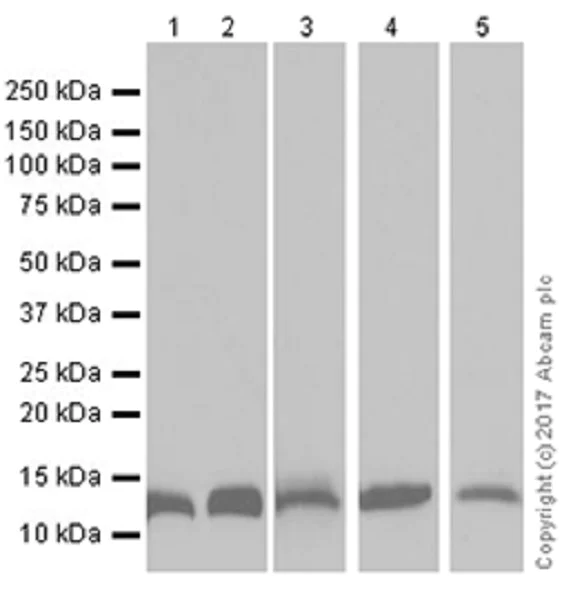
Western blot - Anti-liver FABP antibody [EPR20464] (AB222517)
  • WB

Lab

Western blot - Anti-liver FABP antibody [EPR20464] (AB222517)

Blocking buffer : 5% NFDM/TBST.

Exposure time :

Lanes 1-2 : 1 minute

Lane 3 : 30 seconds

Lane 4 : 5 seconds

Lane 5 : 1 second

The molecular weight observed is consistent with the literature (PMID : 21504868).

Lanes 1 - 4:

Western blot - Anti-liver FABP antibody [EPR20464] (ab222517) at 1/1000 dilution

Lane 5:

Western blot - Anti-liver FABP antibody [EPR20464] (ab222517) at 1/2000 dilution

Lane 1:

Human fetal colon lysate at 20 µg

Lane 2:

HepG2 (human hepatocellular carcinoma epithelial cell), whole cell lysate at 20 µg

Lane 3:

Human fetal liver lysate at 20 µg

Lane 4:

Rat liver lysate at 20 µg

Lane 5:

Mouse liver lysate at 20 µg

Secondary

All lanes:

Western blot - Goat Anti-Rabbit IgG H&L (HRP) (<a href='/en-us/products/secondary-antibodies/goat-rabbit-igg-h-l-hrp-ab97051'>ab97051</a>) at 1/100000 dilution

Predicted band size: 14 kDa

false

  • Carrier free

    Anti-liver FABP antibody [EPR20464] - BSA and Azide free

Key facts

Host species

Rabbit

Clonality

Monoclonal

Clone number

EPR20464

Isotype

IgG

Carrier free

No

Reacts with

Mouse, Rat, Human

Applications

IHC-P, ICC/IF, WB, mIHC

applications

Immunogen

The exact immunogen used to generate this antibody is proprietary information.

Specificity

We don’t recommend this antibody for mouse in IHC. In our hands mouse testis and heart tissue samples showed non-specific staining.

Reactivity data

{ "title": "Reactivity Data", "filters": { "stats": ["", "Species", "Dilution Info", "Notes"], "tabs": { "all-applications": {"fullname" : "All Applications", "shortname": "All Applications"}, "mIHC" : {"fullname" : "Multiplex immunohistochemistry", "shortname":"mIHC"}, "WB" : {"fullname" : "Western blot", "shortname":"WB"}, "ICCIF" : {"fullname" : "Immunocytochemistry/ Immunofluorescence", "shortname":"ICC/IF"}, "IHCP" : {"fullname" : "Immunohistochemistry (Formalin/PFA-fixed paraffin-embedded sections)", "shortname":"IHC-P"} }, "product-promise": { "all": "all", "testedAndGuaranteed": "tested", "guaranteed": "expected", "predicted": "predicted", "notRecommended": "not-recommended" } }, "values": { "Human": { "mIHC-species-checked": "testedAndGuaranteed", "mIHC-species-dilution-info": "", "mIHC-species-notes": "<p></p>", "WB-species-checked": "testedAndGuaranteed", "WB-species-dilution-info": "1/1000", "WB-species-notes": "<p></p>", "ICCIF-species-checked": "testedAndGuaranteed", "ICCIF-species-dilution-info": "1/100", "ICCIF-species-notes": "<p></p>", "IHCP-species-checked": "testedAndGuaranteed", "IHCP-species-dilution-info": "1/3000", "IHCP-species-notes": "<p></p>" }, "Mouse": { "mIHC-species-checked": "guaranteed", "mIHC-species-dilution-info": "", "mIHC-species-notes": "", "WB-species-checked": "testedAndGuaranteed", "WB-species-dilution-info": "1/1000", "WB-species-notes": "<p></p>", "ICCIF-species-checked": "guaranteed", "ICCIF-species-dilution-info": "", "ICCIF-species-notes": "", "IHCP-species-checked": "guaranteed", "IHCP-species-dilution-info": "", "IHCP-species-notes": "" }, "Rat": { "mIHC-species-checked": "guaranteed", "mIHC-species-dilution-info": "", "mIHC-species-notes": "", "WB-species-checked": "testedAndGuaranteed", "WB-species-dilution-info": "1/1000", "WB-species-notes": "<p></p>", "ICCIF-species-checked": "guaranteed", "ICCIF-species-dilution-info": "", "ICCIF-species-notes": "", "IHCP-species-checked": "testedAndGuaranteed", "IHCP-species-dilution-info": "1/3000", "IHCP-species-notes": "<p></p>" } } }

Product details

Patented technology
Our RabMAb® technology is a patented hybridoma-based technology for making rabbit monoclonal antibodies. For details on our patents, please refer to RabMAb® patents.

What are the advantages of a recombinant monoclonal antibody?
This product is a recombinant monoclonal antibody, which offers several advantages including:

  • - High batch-to-batch consistency and reproducibility
  • - Improved sensitivity and specificity
  • - Long-term security of supply
  • - Animal-free batch production

For more information, read more on recombinant antibodies.

Properties and storage information

Form
Liquid
Purification technique
Affinity purification Protein A
Storage buffer
pH: 7.2 - 7.4 Preservative: 0.01% Sodium azide Constituents: PBS, 40% Glycerol (glycerin, glycerine), 0.02% BSA
Shipped at conditions
Blue Ice
Appropriate short-term storage duration
1-2 weeks
Appropriate short-term storage conditions
+4°C
Appropriate long-term storage conditions
-20°C
Aliquoting information
Upon delivery aliquot
Storage information
Avoid freeze / thaw cycle

Supplementary information

This supplementary information is collated from multiple sources and compiled automatically.

Liver fatty acid binding protein (liver FABP) also known as L-FABP or FABP1 is a small protein with a mass of approximately 14 kilodaltons. It functions mainly in the liver where it binds free fatty acids and other lipophilic substances facilitating their transport within cells. This protein is highly expressed in hepatocytes and also found in the small intestine and kidneys. Its role in binding fatty acids positions it as an important mediator in lipid metabolism making it of interest in a variety of metabolic studies.
Biological function summary

Liver FABP is essential for maintaining lipid homeostasis within cells. It is not part of a larger complex but acts by itself to regulate the intracellular concentration of lipids and protect cells from lipotoxicity. By sequestering fatty acids it prevents these molecules from disrupting cellular membranes or signaling pathways. Liver FABP also participates in the uptake transport and metabolic conversion of fatty acids and their metabolites influencing energy homeostasis and other vital processes.

Pathways

Liver FABP plays a significant role in the fatty acid metabolism and peroxisome proliferator-activated receptor (PPAR) signaling pathways. It acts by modulating the availability of lipid ligands necessary for PPAR activation linking it functionally to these nuclear receptors that control gene expression involved in lipid and glucose metabolism. Liver FABP's association with proteins like FABP2 and FABP4 within these pathways provides insight into its broader metabolic network highlighting its interactions in fatty acid transport and metabolism.

Liver FABP shows a strong connection to metabolic conditions particularly non-alcoholic fatty liver disease (NAFLD) and type 2 diabetes. Its dysregulation is often observed in these disorders which include altered lipid profiles and insulin resistance. Liver FABP is also linked to certain forms of cancer with aberrant expression levels found in some tumor types. The interactions of liver FABP with proteins such as FABP5 in these diseases suggest a potential role in the pathogenesis of metabolic disorders and tumor development making it a candidate for further research and therapeutic targeting.

Product protocols

For this product, it's our understanding that no specific protocols are required. You can visit:

Target data

Plays a role in lipoprotein-mediated cholesterol uptake in hepatocytes (PubMed : 25732850). Binds cholesterol (PubMed : 25732850). Binds free fatty acids and their coenzyme A derivatives, bilirubin, and some other small molecules in the cytoplasm. May be involved in intracellular lipid transport (By similarity).
See full target information FABP1

Publications (3)

Recent publications for all applications. Explore the full list and refine your search

Nature communications 16:616 PubMed39805830

2025

CPSF6-RARγ interacts with histone deacetylase 3 to promote myeloid transformation in RARG-fusion acute myeloid leukemia.

Applications

Unspecified application

Species

Unspecified reactive species

Tianhui Liu,Tanzhen Wang,Lijuan Qi,Yujie Liu,Meng Shan,Fuqiang Wang,Yanglan Fang,Sining Liu,Lijun Wen,Suning Chen,Depei Wu,Yang Xu

Nature metabolism 3:1202-1216 PubMed34552271

2021

Diet-induced alteration of intestinal stem cell function underlies obesity and prediabetes in mice.

Applications

Unspecified application

Species

Unspecified reactive species

Alexandra Aliluev,Sophie Tritschler,Michael Sterr,Lena Oppenländer,Julia Hinterdobler,Tobias Greisle,Martin Irmler,Johannes Beckers,Na Sun,Axel Walch,Kerstin Stemmer,Alida Kindt,Jan Krumsiek,Matthias H Tschöp,Malte D Luecken,Fabian J Theis,Heiko Lickert,Anika Böttcher

Cellular and molecular gastroenterology and hepato 8:407-426 PubMed31195149

2019

Single-Cell Analysis Reveals Regional Reprogramming During Adaptation to Massive Small Bowel Resection in Mice.

Applications

Unspecified application

Species

Unspecified reactive species

Kristen M Seiler,Sarah E Waye,Wenjun Kong,Kenji Kamimoto,Adam Bajinting,William H Goo,Emily J Onufer,Cathleen Courtney,Jun Guo,Brad W Warner,Samantha A Morris
View all publications

Product promise

We are committed to supporting your work with high-quality reagents, and we're here for you every step of the way. In the unlikely event that one of our products does not perform as expected, you're protected by our Product Promise.
For full details, please see our Terms & Conditions

Please note: All products are 'FOR RESEARCH USE ONLY. NOT FOR USE IN DIAGNOSTIC OR THERAPEUTIC PROCEDURES'.

For licensing inquiries, please contact partnerships@abcam.com