JavaScript is disabled in your browser. Please enable JavaScript to view this website.
AB268055

Anti-liver FABP antibody [FABP1/3482]

Be the first to review this product! Submit a review

|

(1 Publication)

Mouse Monoclonal liver FABP antibody. Suitable for WB, Protein Array, IHC-P and reacts with Human, Recombinant full length protein - Human samples. Cited in 1 publication. Immunogen corresponding to Recombinant Fragment Protein within Human FABP1 aa 1 to C-terminus.

View Alternative Names

FABPL, FABP1, Fatty acid-binding protein 1, Liver-type fatty acid-binding protein, L-FABP

3 Images
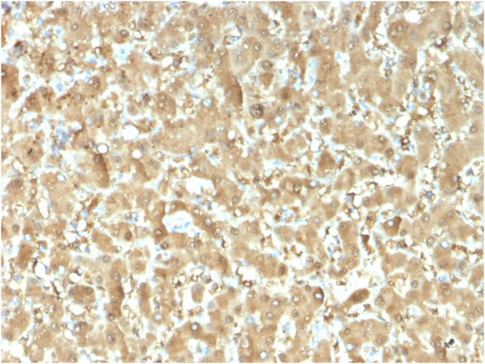
Immunohistochemistry (Formalin/PFA-fixed paraffin-embedded sections) - Anti-liver FABP antibody [FABP1/3482] (AB268055)
  • IHC-P

Unknown

Immunohistochemistry (Formalin/PFA-fixed paraffin-embedded sections) - Anti-liver FABP antibody [FABP1/3482] (AB268055)

Formalin-fixed, paraffin-embedded human liver carcinoma tissue stained for liver FABP using ab268055 at 2 μg/ml in immunohistochemical analysis.

Western blot - Anti-liver FABP antibody [FABP1/3482] (AB268055)
  • WB

Unknown

Western blot - Anti-liver FABP antibody [FABP1/3482] (AB268055)

All lanes:

Western blot - Anti-liver FABP antibody [FABP1/3482] (ab268055) at 2 µg/mL

All lanes:

Human kidney tissue lysate

Predicted band size: 14 kDa

false

Protein Array - Anti-liver FABP antibody [FABP1/3482] (AB268055)
  • Protein Array

Supplier Data

Protein Array - Anti-liver FABP antibody [FABP1/3482] (AB268055)

Protein Array containing more than 19,000 full-length human proteins using ab268055. Z- and S- Score : The Z-score represents the strength of a signal that a monoclonal antibody (MAb) (in combination with a fluorescently-tagged anti-IgG secondary antibody) produces when binding to a particular protein on the HuProtTM array. Z-scores are described in units of standard deviations (SD's) above the mean value of all signals generated on that array. If targets on HuProtTM are arranged in descending order of the Z-score, the S-score is the difference (also in units of SD's) between the Z-score. S-score therefore represents the relative target specificity of a MAb to its intended target. A MAb is considered to specific to its intended target, if the MAb has an S-score of at least 2.5. For example, if a MAb binds to protein X with a Z-score of 43 and to protein Y with a Z-score of 14, then the S-score for the binding of that MAb to protein X is equal to 29.

Key facts

Host species

Mouse

Clonality

Monoclonal

Clone number

FABP1/3482

Isotype

IgG2b

Light chain type

kappa

Carrier free

No

Reacts with

Human

Applications

WB, Protein Array, IHC-P

applications

Immunogen

Recombinant Fragment Protein within Human FABP1 aa 1 to C-terminus. The exact immunogen used to generate this antibody is proprietary information.

P07148

Reactivity data

{ "title": "Reactivity Data", "filters": { "stats": ["", "Species", "Dilution Info", "Notes"], "tabs": { "all-applications": {"fullname" : "All Applications", "shortname": "All Applications"}, "WB" : {"fullname" : "Western blot", "shortname":"WB"}, "ProteinArray" : {"fullname" : "Protein Array", "shortname":"Protein Array"}, "IHCP" : {"fullname" : "Immunohistochemistry (Formalin/PFA-fixed paraffin-embedded sections)", "shortname":"IHC-P"} }, "product-promise": { "all": "all", "testedAndGuaranteed": "tested", "guaranteed": "expected", "predicted": "predicted", "notRecommended": "not-recommended" } }, "values": { "Human": { "WB-species-checked": "testedAndGuaranteed", "WB-species-dilution-info": "1-2 µg/mL", "WB-species-notes": "<p></p>", "ProteinArray-species-checked": "guaranteed", "ProteinArray-species-dilution-info": "", "ProteinArray-species-notes": "", "IHCP-species-checked": "testedAndGuaranteed", "IHCP-species-dilution-info": "1-2 µg/mL", "IHCP-species-notes": "<p></p> Perform heat-mediated antigen retrieval with Tris/EDTA buffer pH 9.0 before commencing with IHC staining protocol." }, "Recombinant full length protein - Human": { "WB-species-checked": "notRecommended", "WB-species-dilution-info": "", "WB-species-notes": "", "ProteinArray-species-checked": "testedAndGuaranteed", "ProteinArray-species-dilution-info": "", "ProteinArray-species-notes": "<p></p>", "IHCP-species-checked": "notRecommended", "IHCP-species-dilution-info": "", "IHCP-species-notes": "" } } }

Properties and storage information

Form
Liquid
Purification technique
Affinity purification Protein A/G
Purification notes
Purified from Bioreactor concentrate
Storage buffer
pH: 7.2 - 7.4 Preservative: 0.05% Sodium azide Constituents: PBS, 0.05% BSA
Shipped at conditions
Blue Ice
Appropriate short-term storage duration
1-2 weeks
Appropriate short-term storage conditions
+4°C
Appropriate long-term storage conditions
-20°C
Aliquoting information
Upon delivery aliquot
Storage information
Avoid freeze / thaw cycle

Supplementary information

This supplementary information is collated from multiple sources and compiled automatically.

Liver fatty acid binding protein (liver FABP) also known as L-FABP or FABP1 is a small protein with a mass of approximately 14 kilodaltons. It functions mainly in the liver where it binds free fatty acids and other lipophilic substances facilitating their transport within cells. This protein is highly expressed in hepatocytes and also found in the small intestine and kidneys. Its role in binding fatty acids positions it as an important mediator in lipid metabolism making it of interest in a variety of metabolic studies.
Biological function summary

Liver FABP is essential for maintaining lipid homeostasis within cells. It is not part of a larger complex but acts by itself to regulate the intracellular concentration of lipids and protect cells from lipotoxicity. By sequestering fatty acids it prevents these molecules from disrupting cellular membranes or signaling pathways. Liver FABP also participates in the uptake transport and metabolic conversion of fatty acids and their metabolites influencing energy homeostasis and other vital processes.

Pathways

Liver FABP plays a significant role in the fatty acid metabolism and peroxisome proliferator-activated receptor (PPAR) signaling pathways. It acts by modulating the availability of lipid ligands necessary for PPAR activation linking it functionally to these nuclear receptors that control gene expression involved in lipid and glucose metabolism. Liver FABP's association with proteins like FABP2 and FABP4 within these pathways provides insight into its broader metabolic network highlighting its interactions in fatty acid transport and metabolism.

Liver FABP shows a strong connection to metabolic conditions particularly non-alcoholic fatty liver disease (NAFLD) and type 2 diabetes. Its dysregulation is often observed in these disorders which include altered lipid profiles and insulin resistance. Liver FABP is also linked to certain forms of cancer with aberrant expression levels found in some tumor types. The interactions of liver FABP with proteins such as FABP5 in these diseases suggest a potential role in the pathogenesis of metabolic disorders and tumor development making it a candidate for further research and therapeutic targeting.

Product protocols

For this product, it's our understanding that no specific protocols are required. You can visit:

Target data

Plays a role in lipoprotein-mediated cholesterol uptake in hepatocytes (PubMed : 25732850). Binds cholesterol (PubMed : 25732850). Binds free fatty acids and their coenzyme A derivatives, bilirubin, and some other small molecules in the cytoplasm. May be involved in intracellular lipid transport (By similarity).
See full target information FABP1

Publications (1)

Recent publications for all applications. Explore the full list and refine your search

Reproductive medicine and biology 22:e12548 PubMed38107653

2023

Combined histological and DNA methylome profiling approaches may provide insights into the pathophysiology of ovarian endometriomas.

Applications

Unspecified application

Species

Unspecified reactive species

Ryo Maekawa,Yoshiaki Ota,Ikuko Ota,Yumiko Mihara,Hitomi Takasaki,Shun Sato,Isao Tamura,Yuichiro Shirafuta,Masahiro Shinagawa,Taishi Fujimura,Amon Shiroshita,Toshihide Yoneda,Mai Kawamoto-Jozaki,Fuka Matsui,Toshiaki Taketani,Norihiro Sugino
View all publications

Product promise

We are committed to supporting your work with high-quality reagents, and we're here for you every step of the way. In the unlikely event that one of our products does not perform as expected, you're protected by our Product Promise.
For full details, please see our Terms & Conditions

Please note: All products are 'FOR RESEARCH USE ONLY. NOT FOR USE IN DIAGNOSTIC OR THERAPEUTIC PROCEDURES'.

For licensing inquiries, please contact partnerships@abcam.com